Unsupported Browser
The American College of Surgeons website is not compatible with Internet Explorer 11, IE 11. For the best experience please update your browser.
Menu
Become a member and receive career-enhancing benefits

Our top priority is providing value to members. Your Member Services team is here to ensure you maximize your ACS member benefits, participate in College activities, and engage with your ACS colleagues. It's all here.

Become a Member
Become a member and receive career-enhancing benefits

Our top priority is providing value to members. Your Member Services team is here to ensure you maximize your ACS member benefits, participate in College activities, and engage with your ACS colleagues. It's all here.

Become a Member
ACS
ACS Case Reviews

Binocular Amaurosis Fugax Treated with Staged Bilateral Transcarotid Artery Revascularization

March 20, 2024

Abstract

Background

A 70-year-old man with a 50-pack-year smoking history and recent tongue cancer resection awaiting workup for disease extent and possible adjuvant radiation. His medical history also includes hypertension, Type 2 diabetes mellitus, cataracts, and presbyopia, with no prior surgical procedures.

Summary

The patient experienced intermittent, painless vision loss for several months, initially in the right eye and, more recently, in the left. Episodes involved a gradual, partial loss of vision field, occurring randomly and lasting less than ten minutes, with complete recovery to baseline vision afterward. The latest episode occurred in the left eye a few days prior to presentation.

Carotid artery duplex demonstrated >80% bilateral internal carotid artery (ICA) stenoses (right ICA peak systolic velocities/end-diastolic velocities (PSV/EDV) 475/180 cm/s, left ICA PSV/EDV 576/241 cm/s). Computed tomography (CT) angiogram showed severe bilateral ICA stenoses and focal dissection of the left distal ICA at the level of the mid-C2 vertebral body. Both carotid bifurcations were at the level of the C3-C4 intervertebral space and without heavy calcifications. Common carotid arteries and the circle of Willis were without disease.

Staged, bilateral carotid revascularization was scheduled, starting with the left side due to more severe stenosis and recent symptoms. Given concerns about potential neck radiation, the high left internal carotid artery (ICA) dissection, and the benefits of flow reversal for symptomatic lesions, transcarotid artery revascularization (TCAR) was selected over surgical endarterectomy. The left-sided intervention was completed after medical optimization, and the right side was staged three months later.

Conclusion

This unique case of a patient with severe bilateral carotid artery stenosis highlights the unusual ways binocular amaurosis fugax can present. Staged TCAR can be an effective strategy for carotid revascularization in patients who meet anatomic criteria. Understanding the various manifestations of symptomatic carotid disease remains crucial to the timely intervention and prevention of major, lasting complications from ischemic cerebrovascular events.

Key Words

amaurosis fugax; transcarotid artery revascularization; symptomatic carotid artery disease; binocular vision loss; transient monocular blindness; transient ischemic attack

Abbreviations

ICA: internal carotid artery
PSV/EDV: peak systolic velocities/end-diastolic velocities
TCAR: transcarotid artery revascularization
TIA: transient ischemic attack


Case Description

A 70-year-old man presented with several months of multiple episodes of transient, painless vision loss alternating between eyes. Initially, he experienced symptoms more often in his right eye, but in the past month, he observed an increase in incidents involving his left eye. He described these episodes as gradual, partial loss of the visual field, unrelated to the time of day. Episodes started before his tongue resection for malignancy two months prior and did not significantly change afterward. Each episode lasted less than ten minutes and was followed by complete recovery to baseline vision. The latest episode occurred in his left eye in the past few days. He denied weakness or paresthesias of his extremities, facial drooping, or speech difficulties. Additionally, he was not using antiplatelet or statin medications. Medical history was notable for hypertension, type II diabetes mellitus, cataracts, astigmatism, presbyopia, and a recent diagnosis of tongue cancer status post per oral excision with further workup of cervical node involvement in progress. He has no other surgical history but is a current 50 pack-year smoker.

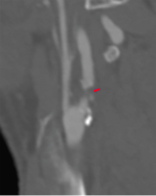
Bilateral carotid artery duplex demonstrated right internal carotid artery (ICA) peak systolic velocities (PSV) of 475 cm/s and end-diastolic velocities (EDV) of 180 cm/s, and left ICA PSV of 576 cm/s and EDV of 241 cm/s, consistent with >80% stenosis bilaterally. Vertebral artery flow was antegrade bilaterally. Dual antiplatelet therapy with aspirin 81 mg daily and clopidogrel 75 mg daily was initiated for stroke prevention upon review of this initial workup. CT angiogram corroborated severe stenosis of bilateral ICAs associated with ulcerated calcified plaque (Figure 1) and a focal dissection of the left distal ICA at the cervical level of mid-C2. Bilateral carotid bifurcations were at the level of the intervertebral space between C3 and C4 without heavy calcifications. Common carotid arteries were without disease, and the circle of Willis was intact.

Figure 1. Sagittal View of Preoperative Cervical CT Angiogram Demonstrating Severe Left A) and Right B) ICA Stenosis. Published with Permission

A.

B.

Staged, bilateral carotid revascularization was recommended, with the left carotid first based on its more concerning appearance and hemodynamics on imaging and the most recently symptomatic. Anatomically, the patient met the criteria for both carotid endarterectomy (CEA) and stenting. However, the left ICA dissection would prevent safe shunting in a patient with severe and symptomatic contralateral disease. It would require very high open exposure with the associated risks of this (most notably nerve injuries). In addition, the possibility of radiation therapy to the neck for his recent diagnosis of oral cancer would negatively impact the postoperative healing of a neck incision. Therefore, carotid stenting was elected to be more appropriate. The patient also met anatomic criteria for transcarotid artery revascularization (TCAR), which employs direct cervical carotid access for self-expanding carotid stent deployment with the benefit of a flow reversal system for cerebral protection in a symptomatic patient.

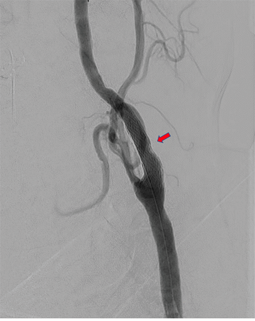
After expedited preoperative evaluation and medical optimization, the patient was taken to the hybrid suite for left TCAR under general anesthesia with cerebral oximetry. Carotid angiogram via direct proximal cervical common carotid artery exposure demonstrated severe focal ICA stenosis, corresponding with preoperative imaging (Figure 2A). After systemic anticoagulation and initiation of flow reversal via right femoral vein access, angioplasty of the left ICA was performed with a 5 × 20 mm balloon, followed by deployment of a 10 × 40 mm ENROUTE Transcarotid Stent (Silk Road Medical, Sunnyvale, CA) across the stenosis extending from the distal common carotid to the mid-ICA (in order to incorporate the ICA dissection). Completion angiogram demonstrated successful stent deployment with widely patent common, internal, and external carotid arteries (Figure 2B). The patient awoke without neurologic deficits. After surgery, he reported no headaches or further episodes of amaurosis fugax or other neurological events. Following one more day of blood pressure control management, he was discharged home with a prescription for clopidogrel. A plan was made for elective Right TCAR after a minimum of six weeks. The decision for a six-week interval was based on surgeon preference. While there is no conclusive data supporting simultaneous carotid interventions, many surgeons concur that waiting for recovery and monitoring hemodynamic and neurological function afterward may be safer, particularly for high-risk patients with severe stenotic lesions prone to reperfusion syndrome.

Figure 2. Left Carotid Angiogram During TCAR Procedure Before A) and After B) Angioplasty and Stent Deployment. Published with Permission

A.

B.

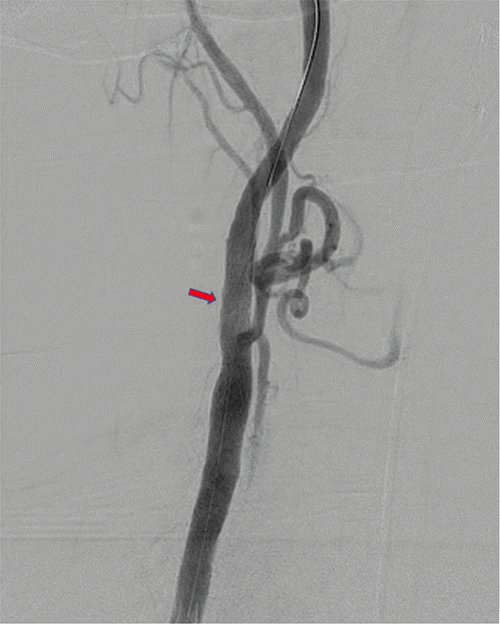
After recovering from his left TCAR and being seen in follow-up, he then underwent an elective right TCAR. Right carotid angiogram demonstrated severe focal ICA stenosis consistent with preoperative imaging (Figure 3A). Angioplasty was performed with a 5 × 20 mm balloon, followed by deployment of a 9 × 30 mm ENROUTE Transcarotid Stent (Silk Road Medical, Sunnyvale, CA). The completion angiogram demonstrated a satisfactory result (Figure 3B). He was hemodynamically stable and discharged home on postoperative day 2 without new neurologic symptoms. The patient was discharged on dual antiplatelet therapy with aspirin 81 mg once daily and clopidogrel bisulfate 75 mg once per day.

Figure 3. Right Carotid Angiogram During TCAR Procedure Before A) and After B) Angioplasty and Stent Deployment. Published with Permission

A.

B.

Discussion

Amaurosis fugax, also known as transient monocular blindness, is a classic transient ischemic attack (TIA) symptom that presents as sudden, temporary, and painless vision loss.1 The term “amaurosis fugax” is widely used for any form of transient vision loss associated with autoimmune diseases, hypercoagulable disorders, and ocular or neurologic pathologies. The most common etiology is atherosclerosis of the carotid artery with downstream thromboembolic occlusion of the ipsilateral retinal artery.2 However, the underlying pathophysiology is usually a transient ischemic occlusive event involving the retina, choroid, or optic nerve, most often secondary to ipsilateral atherosclerotic carotid disease.1-3 More commonly, this occurs due to thromboembolic dislodgement from a plaque in the ipsilateral ICA, causing a temporary infarct in the ophthalmic circulation. Less frequently, hemodynamic changes such as those brought on by changes in posture can exacerbate hypoperfusion distal to the area of stenosis.3,4

The prevalence of carotid artery stenosis in the setting of amaurosis fugax is not well-established; however, a recent single-center retrospective study found that 18.9% of patients with amaurosis fugax had carotid artery stenosis diagnosed via carotid duplex ultrasound.1 Carotid plaque phenotype in patients with amaurosis fugax was previously shown to resemble that of asymptomatic patients, calling into question the consideration of amaurosis fugax as a symptomatic event that increases a patient’s risk for subsequent stroke.5 However, further evidence has demonstrated that amaurosis fugax is associated with brain infarcts of a cardiac or vascular origin.6,7

Although alternating transient vision loss has been reported in association with other conditions such as Trousseau syndrome8 and temporal arteritis,9 it has not yet been reported in the setting of bilateral carotid artery stenosis. As much as 15.8% of patients with carotid artery stenosis have severe bilateral stenosis, defined as greater than 70% stenosis.5 A thorough knowledge and understanding of all possible manifestations of carotid artery disease are essential for timely diagnosis and intervention before developing potentially devastating and irreversible neurologic sequelae from disease progression.

This report describes a rare case of binocular and alternating amaurosis fugax in a patient with bilateral severe carotid artery stenosis. Despite the patient’s history of multiple ocular pathologies (i.e., cataracts, presbyopia, astigmatism), the reported episodes of vision loss were more consistent with amaurosis fugax due to their sudden, painless nature and transient duration. His presentation, in conjunction with multiple cardiovascular risk factors including age, male sex, hypertension, diabetes mellitus, and extensive smoking history,1 raised a high clinical suspicion for atherosclerotic carotid disease. Imaging subsequently confirmed the diagnosis of severe bilateral carotid artery stenosis.

Staged carotid revascularization remains the recommendation for the treatment of bilateral carotid artery stenosis due to the risk of cerebral hyperperfusion syndrome.10 However, the time frame between interventions remains controversial.11,12 Further high-quality research is needed to determine the optimal timing for staged bilateral carotid revascularizations, whether endarterectomy or stenting.

Conclusion

This unique case of a patient with bilateral severe carotid artery stenosis showcases the rare presentation with binocular amaurosis fugax. TCAR performed in the staged fashion can be an effective strategy for carotid revascularization in such patients.

Lessons Learned

Bilateral carotid artery stenosis may showcase in the rare presentation with binocular amaurosis fugax. Understanding the various manifestations of symptomatic carotid disease remains crucial to timely intervention and preventing major, lasting complications from ischemic cerebrovascular events.

Authors

Brea Fb; Forsyth AMb; Haqqani Mb; Carlson SJa; McPhee JTa; Raffetto JDa,c,d; Alfson DBa,b; Martin MCa

Author Affiliations

  1. Veteran Affairs Boston Healthcare System, West Roxbury, MA 02132
  2. Boston University School of Medicine, Boston, MA 02118
  3. Harvard Medical School, Boston, MA 02115
  4. Brigham and Women’s Hospital, Boston, MA 02115

Corresponding Author

Michelle C. Martin, MD
Boston VA Medical Center
Surgical Service 112
1400 VWF Parkway
West Roxbury, MA 02132
Email: michelle.martin8@va.gov

Disclosure Statement

The authors have no conflicts of interest to disclose.

Funding/Support

The authors have no relevant financial relationships or in-kind support to disclose.

Received: January 1, 2021
Revision received: February 25, 2021
Accepted: March 25, 2021

References

  1. Kvickström P, Lindblom B, Bergström G, Zetterberg M. Amaurosis fugax: risk factors and prevalence of significant carotid stenosis. Clin Ophthalmol. 2016;10:2165-2170. Published 2016 Oct 31. doi:10.2147/OPTH.S115656
  2. Sidawy AN, Perler BA. Rutherford’s Vascular Surgery and Endovascular Therapy. Volume 2. 9th edition. Elseiver: 2018
  3. Terao S, Takeda A, Miura N, et al. Clinical and pathophysiological features of amaurosis fugax in Japanese stroke patients. Intern Med. 2000;39(2):118-122. doi:10.2169/internalmedicine.39.118
  4. Hoya K, Morikawa E, Tamura A, Saito I. Common carotid artery stenosis and amaurosis fugax. J Stroke Cerebrovasc Dis. 2008;17(1):1-4. doi:10.1016/j.jstrokecerebrovasdis.2007.08.003
  5. Verhoeven B, Hellings WE, Moll FL, et al. Carotid atherosclerotic plaques in patients with transient ischemic attacks and stroke have unstable characteristics compared with plaques in asymptomatic and amaurosis fugax patients. J Vasc Surg. 2005;42(6):1075-1081. doi:10.1016/j.jvs.2005.08.009
  6. Helenius J, Arsava EM, Goldstein JN, et al. Concurrent acute brain infarcts in patients with monocular visual loss. Ann Neurol. 2012;72(2):286-293. doi:10.1002/ana.23597
  7. Lee J, Kim SW, Lee SC, Kwon OW, Kim YD, Byeon SH. Co-occurrence of acute retinal artery occlusion and acute ischemic stroke: diffusion-weighted magnetic resonance imaging study. Am J Ophthalmol. 2014;157(6):1231-1238. doi:10.1016/j.ajo.2014.01.033
  8. Kunitake K, Inagaki R, Furukawa S, Kitagawa S, Oguchi H, Ito Y. Alternating Amaurosis Fugax in Trousseau Syndrome: A Case Report. J Stroke Cerebrovasc Dis. 2019;28(7):e92-e94. doi:10.1016/j.jstrokecerebrovasdis.2019.04.018
  9. Finelli PF. Alternating amaurosis fugax and temporal arteritis. Am J Ophthalmol. 1997;123(6):850-851. doi:10.1016/s0002-9394(14)71143-2
  10. Liu B, Wei W, Wang Y, Yang X, Yue S, Zhang J. Treatment Strategy for Bilateral Severe Carotid Artery Stenosis: One Center’s Experience. World Neurosurg. 2015;84(3):820-825. doi:10.1016/j.wneu.2015.03.067
  11. Kim A, Kwon TW, Han Y, et al. Clinical outcomes of staged bilateral carotid endarterectomy for bilateral carotid artery stenosis. Ann Surg Treat Res. 2015;89(5):261-267. doi:10.4174/astr.2015.89.5.261
  12. Oshita J, Sakamoto S, Okazaki T, Ishii D, Kurisu K. Safety of simultaneous bilateral carotid artery stenting for bilateral carotid artery stenosis. Interv Neuroradiol. 2020;26(1):19-25. doi:10.1177/1591019919869478