Unsupported Browser
The American College of Surgeons website is not compatible with Internet Explorer 11, IE 11. For the best experience please update your browser.
Menu
Become a member and receive career-enhancing benefits

Our top priority is providing value to members. Your Member Services team is here to ensure you maximize your ACS member benefits, participate in College activities, and engage with your ACS colleagues. It's all here.

Become a Member
Become a member and receive career-enhancing benefits

Our top priority is providing value to members. Your Member Services team is here to ensure you maximize your ACS member benefits, participate in College activities, and engage with your ACS colleagues. It's all here.

Become a Member
ACS
ACS Case Reviews

Successful Treatment of Traumatic Abdominal Wall Hernia and Concurrent Abdominal Morel-Lavallée Lesions

March 20, 2024

Abstract

Background

Traumatic abdominal wall hernias (TAWHs) are a rare type of injury caused by blunt abdominal wall trauma, characterized by herniation of bowel or abdominal organs through disrupted musculature and fascia. First reported in 1906, literature on TAWHs remains limited despite case reports published on this topic since. These injuries are difficult to diagnose on clinical exam and lack established treatment algorithms. This case report details the diagnosis and treatment of an individual who was the restrained passenger of a motor vehicle collision and sustained a TAWH along with several other associated injuries, including a Morel-Lavallée lesion (MLL)—an association previously documented in only one prior case report.

Summary

A 31-year-old female presented after a motor vehicle collision with severe abdominal pain. CT imaging was concerning for a large traumatic abdominal wall hernia, and she was taken emergently to the operative suite. Intraoperative findings included a significant disruption of the abdominal wall with herniation of small and large bowel into bilateral subcutaneous degloving injuries (Morel-Lavallée lesions) as well as multiple segments of devascularized bowel with associated mesentery defects. There are currently no widely accepted treatment algorithms for TAWHs and MLLs of the abdomen. This article discusses the risks versus benefits between conservative management and immediate operative repair. We also discuss the use of mesh versus no mesh in trauma cases and present a treatment approach for managing concurrent abdominal Morel-Lavallée lesions. This method has only been reported in one other case study linked to a TAWH.

Conclusion

Traumatic abdominal wall hernias and abdominal Morel-Lavallée lesions are rare injuries associated with blunt abdominal trauma, such as those seen in motor vehicle accidents. While there are no standardized treatments for this injury, we found success with our early partial closure of transected musculature with bridging biological mesh followed by serial negative pressure wound therapy.

Key Words

traumatic abdominal wall hernias; Morel-Lavallée lesions; biologic mesh


Case Description

A 31-year-old female presented to the emergency department as a trauma activation after a motor vehicle crash. Immediately after the accident, the patient endorsed severe abdominal pain radiating across the lower abdomen. On primary survey, she was found to have ecchymosis over her right breast, sternum, and lower abdomen in the distribution of where her seat belt was in place. These findings were consistent with a “seat belt sign,” a pattern of injury associated with high-impact trauma after a motor vehicle collision; it’s presence demonstrated a high likelihood of underlying visceral injury. Given these findings and her hemodynamic stability, she was expedited to the CT scanner as early diagnosis of her injuries was crucial in her treatment course. CT imaging revealed complete disruption of the abdominal wall musculature with transverse dehiscence at the approximate level of the umbilicus, retraction of both rectus abdominis muscles, and violation of the peritoneum. Fluid and gas were found within the peritoneal space, which was hypothesized to be from hollow viscus injury.

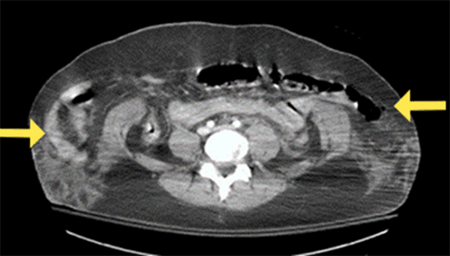
Figure 1. Abdominal/Pelvic CT Scan. Published with Permission

 This image demonstrates herniation of viscera through the abdominal musculature with markedly lateral displacement into the subcutaneous space, as indicated by the yellow arrows
 This image demonstrates herniation of viscera through the abdominal musculature with markedly lateral displacement into the subcutaneous space, as indicated by the yellow arrows

After the CT results, the patient was taken to the operative suite for further intervention. Intraoperative findings included a very large traumatic disruption of the abdominal wall with horizontal transection of rectus muscles, internal and external obliques, as well as the transversalis muscles, which had all significantly retracted at the time of exploration. There was internal degloving of subcutaneous tissues from underlying abdominal wall musculature bilaterally, creating significant potential space with the lateral areas containing herniated bowel, consistent with a Morel-Lavallée lesion. Additionally, three small bucket handle injuries, a small bowel perforation, and descending colon bucket hand injury were found and repaired. Attempts were made to reapproximate the rectus muscle, but they were found to be severely retracted and failed to be brought together. After extensive washout and source control, the decision was made to apply a temporary abdominal closure ABThera wound VAC and return to the operating room within 24 hours for a second look. No attempt at repair of the abdominal wall was made because of the amount of contamination encountered.

Figure 2. Multiple Devascularized Segments of Small Bowel. Published with Permission

Note associated mesenteric defects (bucket handle injuries) indicated by yellow arrows
Note associated mesenteric defects (bucket handle injuries) indicated by yellow arrows

Figure 3. Retraction of Rectus Muscle Inferior; Ridge Indicated by Yellow Arrow. Published with Permission

Figure 4. Left-sided Degloving Injury. Published with Permission

Note retracted abdominal wall musculature (yellow arrow) away from overlying subcutaneous tissue (blue arrow), creating significant potential space
Note retracted abdominal wall musculature (yellow arrow) away from overlying subcutaneous tissue (blue arrow), creating significant potential space

On hospital day 2, the patient underwent a take-back operation; the original size of the transection was found to be 28 cm horizontally and 18 cm vertically. After primarily approximating the musculature both vertically and horizontally with interrupted sutures, significant tension was met, and the remaining deficit was 20 × 13 cm. At this point, the decision was made to bridge the remaining deficit with a 20 × 20 cm biologic porcine small bowel submucosa mesh (Cook Medical). At that point, it was unclear if the patient would need further reconstructive surgery. A negative pressure wound therapy device (wound VAC) was placed over the mesh as well as in the bilateral Morel-Lavallée lesions of the lateral abdominal wall.

The wound VAC was changed in the operating suite on hospital days 4 and 7. By day 10, the patient could tolerate wound VAC changes at the bedside. It was observed that the potential space decreased with each subsequent change. On day 14, a partial closure of the abdominal wall skin was performed at the bedside. Eventually, the patient’s condition stabilized, and she was discharged to an LTACH.

The patient has done remarkably well postoperatively. She continues to follow up regularly at our trauma clinic for wound care. Four months postoperatively, she was seen, and her wound has healed completely closed. Upon physical exam, her abdominal musculature healed, and no areas of fascial deficits were detected. The patient has no subjective complaints. At this time, it is believed she will need no further reconstructive surgery. The patient regained full function and can complete her daily activities with minimal assistance.

Discussion

Traumatic abdominal wall hernias (TAWHs) are a rare type of injury caused by blunt abdominal wall trauma and are defined as bowel or abdominal organ herniation through disruption of musculature and fascia following adequate trauma.1 The first incidence of TAWHs was reported in 1906,2 and while several reports have been published on this topic since then, literature on this injury remains scarce overall. This is likely due to the infrequency of this injury during blunt abdominal traumas, possibly related to the elastic nature of the abdominal wall. Furthermore, serious intraabdominal injuries are often found concurrently with TAWHs and thus distract from the hernia itself, leading to underreporting.3

These injuries are difficult to diagnose on clinical exam, and additionally, there is currently no established algorithm to treat TAWHs. The failure to detect TAWHs can result in delayed complications such as bowel incarceration and strangulation. Furthermore, TAWHs are often associated with serious underlying intra-abdominal injuries that are often difficult to diagnose on CT imaging, such as bucket handle injuries and hollow viscus perforations, which necessitate timely repair.

This case report details the diagnosis and treatment of an individual who was the restrained passenger of a motor vehicle collision and suffered a TAWH in addition to several other associated injuries, including a Morel-Lavallée of the abdomen that has only been described occurring in conjunction with a TAWH in one prior case report.

The published literature on traumatic abdominal wall hernias and abdominal Morel-Lavallée lesions remains scarce. The reported incidence of traumatic abdominal wall hernias is 1 in 10,000 hernias and 2 in 3522 accidents.3 Overall, approximately 15,000 patients every year sustain TAWHs.5 The clinical diagnosis can be very difficult. An important finding on physical exam is the “seat belt sign,” which provides a clue of more serious underlying injury.

Currently, there is no consensus on the preferred treatment algorithms for these injuries. Conflicting data exists regarding the urgency of hernia repair versus conservative management. Additionally, there is ongoing debate regarding the use of mesh repair and the choice between biologic and synthetic mesh materials. In a study examining 50 case reports, Kumar et al. discovered that when vascular compromise or hollow viscus injuries were suspected alongside a sustained TAWH, 90% of surgeons opted for surgical intervention. Among these cases, 66% underwent immediate surgery, while 24% underwent surgery after a period of conservative management. Additionally, 10% of cases were successfully managed conservatively. The reasons for conservative management or a delayed operation included the surgeon’s preference, delay in diagnosis, the patient being medically unfit for surgery, other serious injuries that prevented an early exploration, and the patient refusing the operation.3 In cases where there was no suspicion of concurrent life-threatening injury, both Netto et al. and Coleman et al. observed that 70.6% and 71.3% of their patients diagnosed with traumatic abdominal wall hernias (TAWHs), respectively, were managed nonoperatively. Among the nonoperative patients, 91% and 100% did not experience any symptoms or complications from the hernia.5 Despite the documented success at conservative management, it remains imperative for the examiner to maintain a low threshold to bring patients for operative intervention, as the association of intraabdominal injuries to TAWHs is very common. Honaker et al. found in their retrospective study that 89.5% had associated intra-abdominal, spinal, or pelvic injuries, and 68.4% underwent surgical repair. Furthermore, 46.7% of this group underwent an initial damage-control operation for their injuries, which implicates the severity of the sustained injuries in conjunction with the TAWH.6 In our specific case, the patient had multiple bowel injuries, including an enterotomy, devitalized bowel, and mesenteric injuries that were not specifically detected on CT imaging and only discovered during operative intervention.

The debate continues about whether the benefits of mesh repair outweigh the risks in emergency trauma situations. Historically, emergency surgical mesh was avoided due to contamination risks. However, recent studies suggest that biological mesh may be safely used even in contaminated cases, despite concerns about its long-term durability.4 This avoids a no-mesh technique for large defects that might lead to increased recurrence rates and cause abdominal compartment syndrome in the setting of a patient with multiple intra-abdominal injuries, such as in our case.1 We used a Biodesign® mesh, which is composed of porcine small intestine submucosa that serves as a naturally occurring extracellular matrix, is easily absorbed, and supports early and abundant new vessel growth, all contributing to collagen growth and constructive remodeling of the abdominal wall fascia. In a comparative study conducted by Rice et al., this mesh demonstrated higher baseline tensile strength than Vicryl mesh. Additionally, it exhibited superior collagen deposition and organization and increased neovascularization compared to all other meshes analyzed in the study.12 We believe that utilizing this biologic mesh helped significantly in the patient’s current clinical outcome.

In cases of extensive destruction of abdominal wall tissue in TAWHs, where re-approximation of facial and muscle tissues is not feasible with or without the placement of mesh as described previously, opting for a planned ventral hernia repair with delayed reconstruction is a reasonable approach. This strategy involves a staged repair, initially leaving the abdominal fascial layer unclosed and covering the viscera with original or grafted skin. Subsequently, closure of the abdominal wall can be achieved through a component separation technique, placement of prosthetic mesh, or a combination of both in an elective setting.13 Delaying a component separation surgery has a reported fascial closure rate of 75%.14

Finally, our patient sustained a large abdominal wall internal degloving injury known as a Morel-Lavallée lesion. These lesions were first described in 1853, characterized by a traumatic separation of the skin and subcutaneous tissue from the underlying fascia.7 The primary causes of MLLs are high-energy blunt force traumas and crush injuries.9 Significant morbidity is associated with this injury because the disruption of lymphatics and blood vessels in the abdominal wall leads to hematoma and seroma formation. If allowed to progress, the lesions form a fibrotic capsule, and skin necrosis results from the disruption of blood supply.8 In a review encompassing more than 200 reported cases of Morel-Lavallée lesions (MLLs), Vanhegan et al. observed that the majority (30.4%) of these lesions were located over the greater trochanter/hip region. Conversely, occurrences in the abdominal area were comparatively rare, constituting only 1.4% of cases.10 Upon further review of the literature, it appears that this is only the second case report to describe a TAWH occurring in conjunction with an MLL of the abdominal wall.11 Like TAWHs, treatment for MLLs lacks specific guidelines. Current literature indicates that percutaneous aspiration is recommended for small acute lesions, whereas sclerodesis with doxycycline is suitable for both chronic and acute lesions up to 400 ml in size. Lesions larger than 400 ml are recommended to undergo open surgical drainage or removal.9 We found successful results with utilizing the wound VAC device in helping to close the potential space and prevent seroma formation. Based on our experience, we suggest considering this intervention for treating MLLs of the abdomen.

Conclusion

This case illustrates the extent of injuries that can be associated with traumatic abdominal wall hernias and the importance of high clinical suspicion in diagnosis and prompt operative repair. Furthermore, our case demonstrates the successful early partial closure of traumatic abdominal wall hernia using bridging biological mesh followed by serial negative pressure wound therapy to repair a large bilateral Morel-Lavallée lesion of the abdomen.

Lessons Learned

There are currently no established treatment algorithms for traumatic abdominal wall hernias and abdominal Morel-Lavallée lesions. However, in our experience, early partial closure of the abdominal wall, followed by the placement of a biologic mesh and serial negative pressure wound therapy, proved successful in treating a TAWH with associated MLL.

Acknowledgments

Special thanks to Drs. Saad A. Shebrain and Robert G. Sawyer.

Authors

Gao RRa; Rice RAa; Davidson SBa,b

Author Affiliations

  1. Department of General Surgery, Western Michigan University Homer Stryker M.D. School of Medicine, Kalamazoo, MI 49008
  2. Department of Trauma Surgery, Bronson Methodist Hospital, Kalamazoo, MI 49007

Corresponding Author

Raisa R. Gao, DO
Department of General Surgery
1000 Oakland Drive
Kalamazoo, MI 49008
Email: raisa.gao@wmed.edu

Disclosure Statement

The authors have no conflicts of interest to disclose.

Funding/Support

The authors have no relevant financial relationships or in-kind support to disclose.

Received: June 23, 2021
Revision received: August 30, 2021
Accepted: January 24, 2022

References

  1. Liasis L, Tierris I, Lazarioti F, Clark CC, Papaconstantinou HT. Traumatic abdominal wall hernia: Is the treatment strategy a real problem?. J Trauma Acute Care Surg. 2013;74(4):1156-1162. doi:10.1097/TA.0b013e318283d88d
  2. Selby CD. Direct abdominal hernia of traumatic origin. JAMA. 1906;47:1485–6. doi:10.1001/jama.1906.25210180061002c
  3. Kumar A, Hazrah P, Bal S, Seth A, Parshad R. Traumatic abdominal wall hernia: a reappraisal. Hernia. 2004;8(3):277-280. doi:10.1007/s10029-003-0203-4
  4. Rosen MJ, Krpata DM, Ermlich B, Blatnik JA. A 5-year clinical experience with single-staged repairs of infected and contaminated abdominal wall defects utilizing biologic mesh. Ann Surg. 2013;257(6):991-996. doi:10.1097/SLA.0b013e3182849871
  5. Coleman JJ, Fitz EK, Zarzaur BL, et al. Traumatic abdominal wall hernias: Location matters. J Trauma Acute Care Surg. 2016;80(3):390-397. doi:10.1097/TA.0000000000000946
  6. Honaker D, Green J. Blunt traumatic abdominal wall hernias: Associated injuries and optimal timing and method of repair. J Trauma Acute Care Surg. 2014;77(5):701-704. doi:10.1097/TA.0000000000000431
  7. Nickerson TP, Zielinski MD, Jenkins DH, Schiller HJ. The Mayo Clinic experience with Morel-Lavallée lesions: establishment of a practice management guideline. J Trauma Acute Care Surg. 2014;76(2):493-497. doi:10.1097/TA.0000000000000111
  8. Hudson DA, Knottenbelt JD, Krige JE. Closed degloving injuries: results following conservative surgery. Plast Reconstr Surg. 1992;89(5):853-855. doi:10.1097/00006534-199205000-00013
  9. Singh R, Rymer B, Youssef B, Lim J. The Morel-Lavallée lesion and its management: A review of the literature. J Orthop. 2018;15(4):917-921. Published 2018 Aug 28. doi:10.1016/j.jor.2018.08.032
  10. Vanhegan IS, Dala-Ali B, Verhelst L, Mallucci P, Haddad FS. The morel-lavallée lesion as a rare differential diagnosis for recalcitrant bursitis of the knee: case report and literature review. Case Rep Orthop. 2012;2012:593193. doi:10.1155/2012/593193
  11. Shaban Y, Elkbuli A, Ovakimyan V, Hai S, McKenney M, Boneva D. The First Reported Case of Morel-Lavallée Lesion and Traumatic Abdominal Wall Hernia: A Case Report and Review of the Literature. Am J Case Rep. 2019;20:1492-1496. Published 2019 Oct 10. doi:10.12659/AJCR.918223
  12. Rice RD, Ayubi FS, Shaub ZJ, Parker DM, Armstrong PJ, Tsai JW. Comparison of Surgisis, AlloDerm, and Vicryl Woven Mesh grafts for abdominal wall defect repair in an animal model. Aesthetic Plast Surg. 2010;34(3):290-296. doi:10.1007/s00266-009-9449-2
  13. Leppäniemi A, Tukiainen E. Planned hernia repair and late abdominal wall reconstruction. World J Surg. 2012;36(3):511-515. doi:10.1007/s00268-011-1177-5
  14. Coccolini F, Roberts D, Ansaloni L, et al. The open abdomen in trauma and non-trauma patients: WSES guidelines. World J Emerg Surg. 2018;13:7. Published 2018 Feb 2. doi:10.1186/s13017-018-0167-4