Unsupported Browser
The American College of Surgeons website is not compatible with Internet Explorer 11, IE 11. For the best experience please update your browser.
Menu
Become a member and receive career-enhancing benefits

Our top priority is providing value to members. Your Member Services team is here to ensure you maximize your ACS member benefits, participate in College activities, and engage with your ACS colleagues. It's all here.

Become a Member
Become a member and receive career-enhancing benefits

Our top priority is providing value to members. Your Member Services team is here to ensure you maximize your ACS member benefits, participate in College activities, and engage with your ACS colleagues. It's all here.

Become a Member
ACS
ACS Case Reviews

Pancreatic Adenocarcinoma Complicated by Portal Vein Thrombosis and Cavernous Malformation Treated with TIPS Placement

March 20, 2024

Abstract

Background

A 47-year-old male with a pancreatic head adenocarcinoma presented with chronic portal vein (PV) near occlusive stenosis with cavernous transformation and pancreatic varices secondary to postendoscopic retrograde cholangiopancreatography (ERCP) induced pancreatitis. The patient required transjugular intrahepatic portosystemic shunt (TIPS) placement and PV angioplasty with stent prior to definitive pancreaticoduodenectomy.

Summary

A 47-year-old male presented with back pain, nausea with occasional vomiting, and tea-colored urine. Computerized tomography (CT) of the abdomen showed a 2.5 cm pancreatic head mass and dilated common bile duct (CBD) on imaging. He then underwent endoscopic ultrasound (EUS) and ERCP for stenting of the CBD. He developed post-ERCP pancreatitis, which led to acute PV occlusion only one week later. Biopsy confirmed pancreatic adenocarcinoma, which appeared borderline resectable upon initial imaging. He was anticoagulated with Lovenox and completed a course of neoadjuvant-modified FOLFIRINOX chemotherapy followed by chemoradiation. However, he continued to have chronic PV stenosis secondary to his original thrombosis and thus developed PV cavernous transformation with large peripancreatic varices that would have made pancreaticoduodenectomy not only difficult, but dangerous. He underwent a TIPS placement with PV recanalization from a transplenic approach with PV angioplasty and stenting by interventional radiology (IR). This led to the decompression of these pancreatic varices allowing for the safe completion of pancreaticoduodenectomy seven weeks later.

Conclusion

Workup and diagnosis of pancreatic adenocarcinoma carries its own set of risks and complications. Chronic PV occlusion with cavernous transformation and large peripancreatic varices secondary to thrombosis can undergo successful recanalization and decompression with TIPS placement and PV stenting, allowing for a safer approach to successful pancreaticoduodenectomy in this very select patient subset.

Key Words

TIPS; shunt; Whipple procedure; pancreatic adenocarcinoma; portal vein stenosis


Case Description

The treatment of borderline resectable pancreatic adenocarcinoma is typically treated with neoadjuvant chemotherapy with or without chemoradiation followed by surgery rather than an upfront surgical approach followed by adjuvant chemotherapy.1 Neoadjuvant treatment of pancreatic cancer overall has become a preferred approach at multiple cancer centers over recent years and is the treatment choice at our institution.2 ERCP is performed for preoperative biliary drainage. Pancreatitis is the most common post ERCP complication, with rates ranging from as low as 2% to as high as 24%, varying based on the patient, procedure, and operator-dependent risk factors.3,4 Acute pancreatitis remains a significant risk factor for PV thrombosis.5 Pancreatic adenocarcinoma also confers a risk for the development of visceral thrombosis, particularly of the PV.6 Thus, we report a case of a male patient with pancreatic adenocarcinoma who developed acute pancreatitis post ERCP followed by PV thrombosis, which, despite therapeutic lovenox, led to cavernous transformation with large peripancreatic varices. This necessitated a TIPS placement with portal vein recanalization from a transplenic approach with a PV angioplasty and stent prior to definitive pancreaticoduodenectomy.

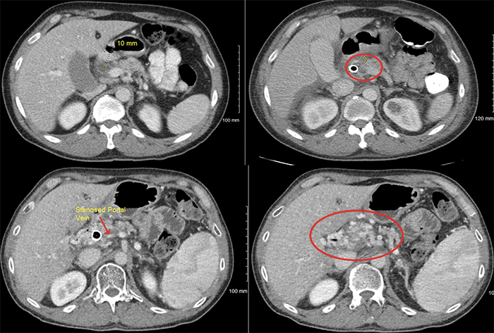
This patient is a 47-year-old male who presented to urgent care with intermittent abdominal pain and jaundice for almost one month. Subsequent workup revealed elevated liver function tests with a total bilirubin of 17.8 and a CA 19-9 of 44. An initial CT scan of the abdomen/pelvis revealed a pancreatic mass in the uncinate process (Figure 1A). The patient underwent ERCP with stent placement and EUS with biopsy that would prove to be adenocarcinoma. Days later, the patient developed acute pancreatitis with a new PV thrombosis (Figure 1B). He was placed on Lovenox and subsequently underwent neoadjuvant therapy with modified FOLFIRINOX followed by chemoradiation for margin augmentation. Upon surveillance during his neoadjuvant treatment, he was found to have occlusion of the PV (Figure 1C) and cavernous transformation, which is the formation of periportal or intrahepatic venous collaterals (Figure 1D).7

Figure 1. CT Scans at Various Points in Treatment. Published with Permission

Clockwise: A) CT initial diagnosis showing mass; B) CT showing PV thrombosis; C) CT showing PV stenosis; D) CT peripancreatic varices
Clockwise: A) CT initial diagnosis showing mass; B) CT showing PV thrombosis; C) CT showing PV stenosis; D) CT peripancreatic varices

A TIPS placement with PV recanalization from a transplenic approach with PV angioplasty and stenting was performed by IR to decompress the varices and facilitate dissection (Figure 2). Access was obtained into the splenic vein, and an angled catheter and Glidewire were used to catheterize the occluded main and right PV. A 10 mm gooseneck stent was advanced into the right intrahepatic PV. Access was then obtained into the internal jugular vein down to the right hepatic vein. Using a Ring TIPS access set, the shunt was performed from the right hepatic vein to the now stented right branch of the PV. The patient was admitted for 24-hour observation and subsequently discharged home.

This procedure was complicated just over a week later by the development of sepsis secondary to an infected biloma that was successfully treated by percutaneous drainage and antibiotics. Liver function tests, particularly total and direct bilirubin, improved quickly after drainage. A follow-up CT was performed six weeks after the initial TIPS procedure and showed successful decompression of the pancreatic varices (Figure 3). He subsequently underwent successful pancreaticoduodenectomy with lateral PV resection. Final pathology revealed 1.3 cm moderately differentiated ductal carcinoma with negative margins and 24 negative lymph nodes. Surveillance duplex revealed a patent TIPS and left PV five months postop with no evidence of disease at six months postop.

Figure 2. IR TIPS and PV Angioplasty. Published with Permission

Figure 3. CT Showing Decompression of Peripancreatic Varices 3 Weeks after TIPS. Published with Permission

Discussion

EUS with biopsy combined with ERCP with biliary stenting is often required for evaluation and management of head of the pancreas tumors. The use of EUS overall has continued to increase over recent years, with an evaluation of the pancreas accounting for a large percentage of its indications.8 These procedures, although necessary, are not without risk. Even in the most experienced hands, post ERCP pancreatitis is seen in 10% of patients.9

Although pancreatitis may be self-limiting, patients may suffer from delays in treatments or worsening morbidity as a result. Ding L et al. found that of 140 patients with early-stage severe acute pancreatitis, 17.86% developed some form of portosplenomesenteric vein thrombosis in patients without cancer.5 Pancreatic adenocarcinoma has a reported incidence of visceral thrombosis as high as 22.9%, and even though most are incidentally found, there is a strong association with increased mortality.10 Acute PV thrombosis treated with anticoagulation typically has a rate of recanalization of about 33%.11 Cavernous transformation can develop as early as 6 to 20 days after nearly complete PV obstruction.7

TIPS placement has been performed in patients with cavernous transformation, particularly for attempts to decrease esophageal varices.7 It remains a complex endovascular procedure but is technically successful almost 98% of the time when performed in experienced hands (>100 TIPS procedures).12 Potential complications include acute hemorrhage or hematoma, hepatic encephalopathy, shunt stenosis or migration, perihepatic abscess, or rarely TIPS stent infection.13 Acute management of TIPS complications requires lactulose for encephalopathy, antibiotics for any infection, supportive blood transfusion for any hematoma or GI bleed, as well prompt imaging with both CT and Ultrasound duplex studies to evaluate for any abscess and flow issues, respectively.14

To our knowledge, this is the first case reported for which TIPS and PV angioplasty and stenting were performed to safely facilitate pancreaticoduodenectomy as the final definitive therapy for a noncirrhotic patient with pancreatic adenocarcinoma that would have been potentially unresectable due to peripancreatic varices rather than the tumor morphology. Although rare, this case demonstrates the feasibility and effectiveness of utilizing this unique approach to optimize the patient’s chances of survival, particularly in the context of pancreatic adenocarcinoma.

Conclusion

Using biliary instrumentation during pancreatic adenocarcinoma treatment raises the risk of acute pancreatitis and further complicates the likelihood of portal vein thrombosis. We describe a case where portal vein thrombosis occurred after TIPS and portal vein angioplasty were performed to alleviate left-sided hypertension and peripancreatic varices, facilitating a safer definitive pancreaticoduodenectomy.

Lessons Learned

PV thrombosis, resulting in cavernous transformation and peripancreatic varices, is a rare but possible complication of pancreatic adenocarcinoma in the setting of ERCP-induced pancreatitis. TIPS and PV angioplasty allow for venous decompression to provide a safer approach for definitive pancreaticoduodenectomy.

Authors

Bellini Ga; Sich Na; Huffman Sb; Howenstein Mb; Gueyikian Sb; Chevinsky Aa; Besur Sc; Gunabushanam Va; Papenfuss Wa

Author Affiliations

  1. Aurora St. Luke’s Medical Center/Aurora Surgical Specialists, Milwaukee, WI 53215
  2. Interventional Radiology, Aurora St. Luke’s Medical Center, Milwaukee, WI 53215
  3. Hepatology, Aurora St. Luke’s Medical Center, Milwaukee, WI 53215

Corresponding Author

Geoffrey Bellini, MD
Aurora Surgical Specialists
2801 W. Kinnickinnic River Parkway
Ste. 575
Milwaukee, WI 53215
Email: geoff.bellini@gmail.com

Disclosure Statement

The authors have no conflicts of interest to disclose.

Funding/Support

The authors have no relevant financial relationships or in-kind support to disclose.

Received: February 23, 2021
Revision received: May 4, 2021
Accepted: June 22, 2021

References

  1. NCCN Clinical Practice Guidelines in Oncology (NCCN Guidelines). Pancreatic Adenocarcinoma. NCCN Guidelines. https://www.nccn.org/professionals/physician_gls/pdf/pancreatic_blocks.pdf. Published November 26, 2019. Accessed January 20, 2020.
  2. Raufi AG, Manji GA, Chabot JA, Bates SE. Neoadjuvant Treatment for Pancreatic Cancer. Semin Oncol. 2019;46(1):19-27. doi:10.1053/j.seminoncol.2018.12.002
  3. Parekh PJ, Majithia R, Sikka SK, Baron TH. The “Scope” of Post-ERCP Pancreatitis. Mayo Clin Proc. 2017;92(3):434-448. doi:10.1016/j.mayocp.2016.10.028
  4. Tryliskyy Y, Bryce GJ. Post-ERCP pancreatitis: Pathophysiology, early identification and risk stratification. Adv Clin Exp Med. 2018;27(1):149-154. doi:10.17219/acem/66773
  5. Ding L, Deng F, Yu C, et al. Portosplenomesenteric vein thrombosis in patients with early-stage severe acute pancreatitis. World J Gastroenterol. 2018;24(35):4054-4060. doi:10.3748/wjg.v24.i35.4054
  6. Mier-Hicks A, Raj M, Do RK, et al. Incidence, Management, and Implications of Visceral Thrombosis in Pancreatic Ductal Adenocarcinoma. Clin Colorectal Cancer. 2018;17(2):121-128. doi:10.1016/j.clcc.2018.01.008
  7. Li ZP, Wang SS, Wang GC, Huang GJ, Cao JQ, Zhang CQ. Transjugular intrahepatic portosystemic shunt for the prevention of recurrent esophageal variceal bleeding in patients with cavernous transformation of portal vein. Hepatobiliary Pancreat Dis Int. 2018;17(6):517-523. doi:10.1016/j.hbpd.2018.09.008
  8. D’Souza SL, Holub JL, Pavic BT, Rodriguez SA. Multicenter evaluation of the utilization of endoscopic ultrasound. Dig Endosc
  9. Domagk D, Oppong KW, Aabakken L, et al. Performance measures for ERCP and endoscopic ultrasound: a European Society of Gastrointestinal Endoscopy (ESGE) Quality Improvement Initiative. Endoscopy. 2018;50(11):1116-1127. doi:10.1055/a-0749-8767
  10. Menapace LA, Peterson DR, Berry A, Sousou T, Khorana AA. Symptomatic and incidental thromboembolism are both associated with mortality in pancreatic cancer. Thromb Haemost. 2011;106(2):371-378. doi:10.1160/TH10-12-0789
  11. Plessier A, Darwish-Murad S, Hernandez-Guerra M, et al. Acute portal vein thrombosis unrelated to cirrhosis: a prospective multicenter follow-up study. Hepatology. 2010;51(1):210-218. doi:10.1002/hep.23259
  12. Keller FS, Farsad K, Rösch J. The Transjugular Intrahepatic Portosystemic Shunt: Technique and Instruments. Tech Vasc Interv Radiol. 2016;19(1):2-9. doi:10.1053/j.tvir.2016.01.001
  13. Suhocki PV, Lungren MP, Kapoor B, Kim CY. Transjugular intrahepatic portosystemic shunt complications: prevention and management. Semin Intervent Radiol. 2015;32(2):123-132. doi:10.1055/s-0035-1549376
  14. Chen EH, Nemeth A. Complications of percutaneous procedures. Am J Emerg Med. 2011;29(7):802-810. doi:10.1016/j.ajem.2010.05.010