Unsupported Browser
The American College of Surgeons website is not compatible with Internet Explorer 11, IE 11. For the best experience please update your browser.
Menu
Become a member and receive career-enhancing benefits

Our top priority is providing value to members. Your Member Services team is here to ensure you maximize your ACS member benefits, participate in College activities, and engage with your ACS colleagues. It's all here.

Become a Member
Become a member and receive career-enhancing benefits

Our top priority is providing value to members. Your Member Services team is here to ensure you maximize your ACS member benefits, participate in College activities, and engage with your ACS colleagues. It's all here.

Become a Member
ACS
ACS Case Reviews

Colobronchial Fistula: When Inflammatory Bowel Disease and Traumatic Abdominal Injuries Collide

January 31, 2024

Abstract

Background

Colobronchial fistulas are rare clinical entities that occur when a fistulous tract presents between the respiratory tree and the colon. Reports in the literature are sparse but include traumatic, inflammatory, and malignant etiologies. We present a case report of a patient with a history of abdominal trauma and inflammatory bowel disease resulting in a colobronchial fistula.

Summary

A 31-year-old female with a previous history of ulcerative colitis and remote abdominal trauma as a child presented with fever, cough, diarrhea, and abdominal pain. A CT scan at the time of presentation was significant for pancolitis with adjacent stranding and a cavitary lesion in the left lower lobe with findings concerning for colobronchial fistula. A barium enema was obtained, which confirmed the presence of a colobronchial fistula. She was taken to the operating room for an open total abdominal colectomy, end ileostomy, takedown of colobronchial fistula, left thoracotomy, total pulmonary decortication, left lower lobe basilar segmentectomy, and intercostal muscle flap. The patient recovered on the ward postoperatively. Her course was complicated by empyema requiring pigtail chest tube placement and ileus. She was discharged home after the resolution of these issues with the plan for initiating biologic therapy as an outpatient.

Conclusion

Colobronchial fistulas are rare, with multiple possible etiologies and varied clinical presentations. High suspicion should prompt the clinician to obtain high-resolution CT and/or barium enema imaging. Treatment should be tailored to the etiology of the fistula but ultimately requires surgical intervention in most cases.

Key Words

colobronchial fistula; inflammatory bowel disease; lung infection


Case Description

A 31-year-old female with a previous history of ulcerative colitis and remote abdominal trauma as a child presented with fever, cough, diarrhea, and abdominal pain. She had a history of having suffered remote abdominal trauma as a child resulting in a gastric perforation requiring multiple operations for repair. More recently, her ulcerative colitis was diagnosed several years prior by flexible sigmoidoscopy and biopsy. CT imaging at that time was consistent with colitis from the distal to the hepatic flexure extending to the rectum. She improved with a course of Solu-Medrol but was lost to follow-up with no further treatment identified.

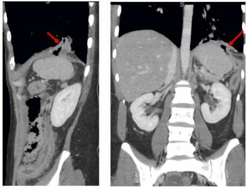
Upon admission for the aforementioned symptoms, stool studies, including C. diff, were negative. CT scan at the time of presentation was significant for pancolitis with adjacent stranding and a cavitary lung lesion in the left lower lobe measuring 2.1 × 5.4 cm with adjacent bronchiectasis and findings concerning for a colobronchial fistula (Figure 1).

Figure 1. Sagittal and Coronal High-Resolution CT Scans. Published with Permission

Image demonstrates fistulous communication between splenic flexure and left lower lobe bronchus with intact diaphragm
Image demonstrates fistulous communication between splenic flexure and left lower lobe bronchus with intact diaphragm

After she was admitted to the hospital and started on Solu-Medrol, her abdominal pain and diarrhea improved, but she continued to cough up bilious secretions. Her sputum gram stain contained 2+ species of Gram-negative rods. She underwent colonoscopy prep, which incited increasing respiratory symptoms, including coughing up copious amounts of secretions. This, along with sputum Gram stain, increased the suspicion for colobronchial fistula and prompted further workup. A barium enema was obtained, which confirmed the presence of a colobronchial fistula (Figure 2.)

Figure 2. Barium Enema Confirming Presence of Colobronchial Fistula. Published with Permission

A thoracic surgery consult was obtained, and she was taken to the operating room for an open total abdominal colectomy, end ileostomy, takedown of colobronchial fistula, left thoracotomy, total pulmonary decortication, left lower lobe basilar segmentectomy, and intercostal muscle flap.

During the abdominal portion of the case, the colonic mucosa was found to be friable and inflamed. The fistulous tract was identified in the LUQ and transected. Upon transection of the tract, immediate bubbling was noted, along with difficulty in ventilation and oxygenation of the patient. Digital occlusion was performed until double lumen endotracheal tube placement to facilitate single lung ventilation was able to be accomplished. During the thoracic portion of the case, there was an immense amount of scarring and inflammation. The left lower lobe was densely adhered to the diaphragm. The fistulous tract was, however, identified (Figure 3), and a left lower lobe basilar segmentectomy was performed. Given the gross fecal contamination of the lung parenchyma and subsegmental airways, the stump was buttressed with an intercostal muscle flap.

Figure 3. Intraoperative Visualization of A) Colobronchial Fistulous Tract and B) Involved Left Lower Lobe Bronchus (denoted by probe) After Left Thoracotomy. Published with Permission

The patient recovered on the ward postoperatively. Her course was complicated by empyema requiring pigtail chest tube placement and ileus. She was discharged home after the resolution of these issues with the plan for consideration of initiating biologic therapy as an outpatient. She has had no further issues within her pleural space.

Final colonic pathology was consistent with diffuse chronic pan colitis with severe activity, extensive ulceration, and pseudopolyp formation predominantly limited to the mucosa and submucosa. The left lower lobe showed evidence of chronic pneumonitis with associated foreign material consistent with barium and stool as well as a colo-bronchial fistula identified grossly and macroscopically.

Discussion

Colobronchial fistulas are rare clinical entities that occur when a fistulous tract presents between the respiratory tree and the colon. Reports in the literature are sparse but include traumatic, inflammatory, and malignant etiologies.1-4 The presentation is often variable and requires a thoughtful workup. Colobronchial fistula is a rare and insidious disease process. There is a paucity of literature regarding the management and treatment of this rare sequela of IBD.4-6 The etiologies of colobronchial fistulas include Crohn disease, colonic malignancy, postoperative complications, and traumatic and infectious causes. Of the available data, Crohn disease, as the only identifiable etiology, accounted for 18% of total cases.5-8 Infectious causes have been classified as secondary to tuberculosis or primary pulmonary infection or abscess.

A classification scheme has been suggested and includes four types of colobronchial fistula. Type I involves an adhesive process with an intact diaphragm. Type II is secondary to a diaphragmatic hernia. Type III is secondary to subdiaphragmatic abscess, and type IV is secondary to colonic interposition.1 The case presented here would be classified as Type I, given the finding of an intact diaphragm on exploration. The most likely etiology is a sequela of Crohn disease previously diagnosed as ulcerative colitis. Although the pathology result was nonspecific and not entirely diagnostic of Crohn disease, we recognize that the diagnosis of IBD is clinical, with fistulation being a rare event in patients with ulcerative colitis.

Clinical presentation of a colobronchial fistula is often variable, likely secondary to diverse etiologies; however, most cases involve pulmonary manifestations as the presenting symptom.5 These include cough, fever, chest pain, shortness of breath, and hemoptysis. In this case, a colonoscopy prep incited symptoms, leading to further imaging demonstrating findings concerning for a colobronchial fistula. Sputum cultures with enteric pathogens are often present if sought. Diagnosis is often delayed as the focus is initially aimed at the treatment of recurrent pneumonia. Diagnosis can be made with CT imaging, but confirmatory testing may be completed with a barium enema.

Treatment involves a multimodal approach and often a search for underlying pathology. Infectious causes should be sought and ruled out. Diaphragmatic disruption should be identifiable on imaging, and attention should be paid to prior surgical interventions. Colobronchial fistula as a sequela of prior surgical intervention has been demonstrated after colonic interposition, cytoreductive surgery and heated intraperitoneal chemotherapy as well as sleeve gastrectomy.2-4 The vast majority of cases in the literature were treated with surgical intervention. The basic tenants of intervention involve takedown of the fistulous tract and resection of the originating nidus (colon or lung parenchyma). A prior study suggested that approximately 57.6% of patients did not require lung resection.1 In this case, lung resection was necessary, given the large size of the fistula and the inability to ventilate intraoperatively.

Conclusion

Colobronchial fistulas are rare, with multiple possible etiologies and varied clinical presentations. High suspicion should prompt the clinician to obtain imaging in the form of high-resolution CT and/or barium enema. Treatment should be tailored to the etiology of the fistula but ultimately requires surgical intervention in most cases.

Lessons Learned

Colobronchial fistulas are rare and require a high index of suspicion for prompt diagnosis. Etiologies are varied, but trauma and Crohn's disease are among the most common. Treatment is often surgical and often requires resection of the inciting nidus.

Authors

Koerner CPa; Griffin JAa; Bograd AJb; Hawkins Ma

Author Affiliations

  1. Department of Colon and Rectal Surgery, Swedish Medical Center, Seattle, WA 98104
  2. Department of Thoracic Surgery, Swedish Medical Center, Seattle, WA 98104

Corresponding Author

Crystal P. Koerner, MD
Piedmont Colorectal Associates
5 Collier Road NW, Ste. 475
Atlanta, GA 30309
Email: cdp07d@gmail.com

Disclosure Statement

The authors have no conflicts of interest to disclose.

Funding/Support

The authors have no relevant financial relationships or in-kind support to disclose.

Received: March 11, 2021
Revision received: June 3, 2021
Accepted: July 13, 2021

References

  1. Zhao J, Ma N, Zhao Z, et al. Colobronchial fistula: the pathogenesis, clinical presentations, diagnosis and treatment. J Thorac Dis. 2017;9(1):187-193. doi:10.21037/jtd.2017.01.11
  2. Zhao X, Sandhu B, Kiev J. Colobronchial fistula as a rare complication of coloesophageal interposition: a unique treatment with a review of the medical literature. Am Surg. 2005;71(12):1058-1059.
  3. Laterza B, Baratti D, Cozzi G, et al. Colobronchial fistula: an unusual complication after peritonectomy and hyperthermic intra-peritoneal chemotherapy (HIPEC). In Vivo. 2009;23(1):151-153.
  4. Mohammed AA, Arif SH. Gastro-colo-bronchial fistula after laparoscopic sleeve gastrectomy; case report. Ann Med Surg (Lond). 2020;55:219-222. Published 2020 May 30. doi:10.1016/j.amsu.2020.05.033
  5. Gumbo T, Rice TW, Mawhorter S. Recurrent pneumonia from an ileobronchial fistula complicating Crohn's disease. J Clin Gastroenterol. 2001;32(4):365-367. doi:10.1097/00004836-200104000-00021
  6. Domej W, Kullnig P, Petritsch W, et al. Colobronchial fistula: a rare complication of Crohn's colitis. Am Rev Respir Dis. 1990;142(5):1225-1227. doi:10.1164/ajrccm/142.5.1225
  7. Flueckiger F, Kullnig P, Melzer G, Posch E. Colobronchial and gastrocolic fistulas: rare complication of Crohn's disease. Gastrointest Radiol. 1990;15(4):288-290. doi:10.1007/BF01888799
  8. Mera A, Sugimoto M, Fukuda K, et al. Crohn's disease associated with colo-bronchial fistula. Intern Med. 1996;35(12):957-960. doi:10.2169/internalmedicine.35.957