Unsupported Browser
The American College of Surgeons website is not compatible with Internet Explorer 11, IE 11. For the best experience please update your browser.
Menu
Become a member and receive career-enhancing benefits

Our top priority is providing value to members. Your Member Services team is here to ensure you maximize your ACS member benefits, participate in College activities, and engage with your ACS colleagues. It's all here.

Become a Member
Become a member and receive career-enhancing benefits

Our top priority is providing value to members. Your Member Services team is here to ensure you maximize your ACS member benefits, participate in College activities, and engage with your ACS colleagues. It's all here.

Become a Member
ACS
ACS Case Reviews

Chylous Ascites Secondary to Small Bowel Volvulus around a Jejunal Diverticulum

January 31, 2024

Abstract

Background

Jejunal diverticula are a rare entity whose presentation can range from clinically silent to a surgical emergency. A very rare complication of jejunal diverticula is small bowel volvulus, with a few cases reported in the literature. Chylous ascites is a known sequela of both malignancy and traumatic injury to the bowel. It is highly uncommon for chylous ascites to result from a small bowel volvulus. Here we present a clinical scenario in which a patient presented with a unique case of chylous ascites secondary to small bowel volvulus caused by a jejunal diverticulum.

Summary

Here we examine a case of a 55-year-old female who presented with three days of constipation and abdominal discomfort and was found to have small bowel volvulus caused by a jejunal diverticulum. Imaging was nonspecific, with a "whirlpool sign" seen on abdominal CT. The patient was surgically managed with diagnostic laparoscopy converted to exploratory laparotomy with resection of the jejunal segment containing the diverticulum. Postoperatively, the patient had an excellent recovery and had no long-term consequences to bowel function.

Conclusion

This patient's presentation represents a multilayered, rare clinical scenario. Her case highlights that we must be aware that small bowel obstruction may have non-classical presentations and etiologies. While imaging and laboratory workup did not yield a clear diagnosis on initial presentation, she was ultimately diagnosed via laparoscopy. For the surgeon, diagnostic laparoscopy is an indispensable tool to shed light on unclear diagnoses and rare surgical pathologies.

Key Words

chylous ascites; diverticulum; volvulus; laparoscopy; laparotomy


Case Description

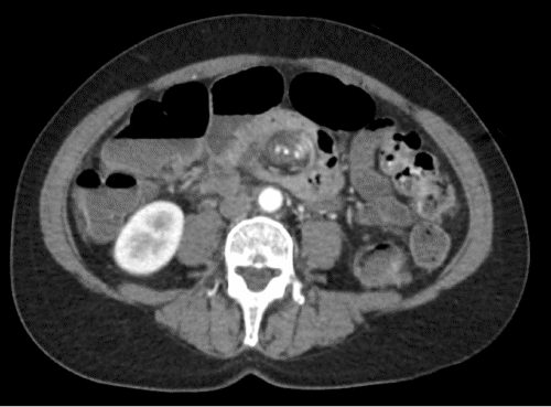
The patient is a 55-year-old female with rheumatoid arthritis, hypertension, and hemorrhoids who presented to our institution in 2020 with three days of constipation and abdominal pain. She reported that she attempted to use an unknown laxative and enemas to no avail. The patient denied nausea or vomiting. On presentation, she was afebrile and hemodynamically stable. Laboratory workup was unremarkable, with no leukocytosis and normal lactate. She was given lactulose in the emergency department, had a large bowel movement, passed gas, and reported feeling better. An abdominal CT was performed, demonstrating a midgut "whirlpool sign."

Figure 1. Axial Cut of Abdominal CT Showing Whirlpool Sign. Published with Permission

An acute care-surgery service was consulted and examined the patient in the emergency department. The patient was admitted for observation and serial abdominal examinations. The subsequent abdominal examinations were unremarkable. The patient denied significant pain. She was advanced to a clear liquid diet and passed flatus and stool. On hospital day 2, the patient's abdominal examinations worsened, and she became increasingly distended. She consented to diagnostic laparoscopy with the possibility of exploratory laparotomy.

Upon entry into the abdomen, a whitish, murky fluid with extensive whitish staining of the bowel was noted. The decision was made to convert to mini-laparotomy. Approximately 1100 mL of the fluid was aspirated and sent for triglyceride, amylase, and cultures. The small bowel was then inspected and was noted to be twisted around a diverticulum at the level of proximal jejunum approximately 20-40 cm from the ligament of Treitz. An off-white stain on the mesentery appeared to originate from the lymphatics. The diverticulum was resected and sent for pathologic examination.

Laboratory analysis of the fluid demonstrated a triglyceride count of 991, confirming the diagnosis of chylous ascites. The pathology report confirmed the diagnosis of jejunal diverticulum. On postoperative day 4, the patient returned to normal bowel function. She tolerated a regular diet, her surgical site pain improved, and she ambulated without difficulty. The patient was discharged home independently on postoperative day 4. During outpatient follow-up, the patient had regular bowel function, the pain had improved, and the surgical site was healing appropriately.

Discussion

The preceding case is notable for several reasons. First, jejunal diverticula are a rare clinical entity. Small bowel diverticula are discovered on 2% of abdominal CT scans and occur more commonly in the ileum.1 Jejunal diverticula are often clinically silent but can also cause a wide range of clinical symptoms. In one study of 28 cases of radiographically diagnosed jejunal diverticula, 54% had abdominal pain, 36% had chronic diarrhea, 32% had weight loss, 29% had abdominal distention, and 4% had melena.1 Our patient had none of these specific findings but rather presented with constipation and nonspecific abdominal pain. While large bowel diverticula are well studied, there is a dearth of research on the causes and clinical course of small bowel diverticula. Jejunal diverticula are poorly understood. More research is needed to fill in this gap.

This patient's presentation is remarkable because her chylous ascites resulted from a small bowel volvulus. Chylous ascites are caused by the interruption of the intestinal lacteals carrying chylomicrons from the alimentary tract. Causes include malignancy (two-thirds of cases in Europe and North America), trauma, congenital abnormalities, infectious processes, postoperative complications, cirrhosis, and cardiogenic origins.2 The patient previously described did not have any of these underlying clinical conditions, again highlighting the uniqueness of the case. Only five cases of chylous ascites secondary to small intestinal volvulus have been reported in the literature, the most recent being from a Japanese study in 2017.3 Surgical management for chylous ascites is atypical. Medical management with octreotide, paracentesis, and a low-fat diet are more common.2

Small bowel volvulus is an uncommon cause of small bowel obstruction in adults. Only 1.7-6.2% of small bowel obstruction cases in adults are caused by volvulus. Classically, volvulus is a pediatric surgical disease secondary to congenital malrotation. Our patient did not present with typical findings of small bowel obstruction. She did not have nausea or vomiting, and her constipation resolved following the administration of lactulose in the emergency department. Of note, the CT scan performed at the initial presentation revealed a "whirlpool sign," a radiographic finding associated with (but not specific to) small bowel volvulus. The whirlpool sign is also associated with closed-loop small bowel obstruction or, very rarely, enteritis. It is described as the clockwise rotation of the superior mesenteric vein and small bowel mesentery around the superior mesenteric artery.5 In one review in an oncologic population, the association between the whirlpool sign and small bowel volvulus was assessed.6 It was identified in 33 of 1493 patients evaluated for small bowel obstruction secondary to volvulus, and 11 were identified on surgery to have a volvulus. The lesson is that while a whirlpool sign suggests a small bowel volvulus, it is not diagnostic. For this reason, we initially chose to observe and serially examine the patient.

Conclusion

This case is notable for the rarity of the clinical presentation and underlying etiologies. The patient had an atypical small bowel diverticulum that caused an atypical presentation of small bowel volvulus. Moreover, the symptoms she experienced prior to presentation were unusual in that she had no nausea, did not vomit, and had a large bowel movement after lactulose. The fact that her small bowel volvulus resulted in chylous ascites is also a rare phenomenon, with a handful of cases diagnosed in the literature.

Lessons Learned

Through diagnostic laparoscopy, the diagnosis was reached, and the intervention was planned. This outcome highlights the importance of laparoscopy as a diagnostic modality for surgical presentations with multiple possible etiologies, especially for rare conditions. Subsequent conversion to laparotomy is neither a complication nor a failed operative intervention. Diagnostic laparoscopy is vital to determine if an open operation is required.

Authors

Kirkorowicz JM; Ruffo J; Kalani A

Author Affiliations

  1. Department of General Surgery, GME, Kaweah Delta Medical Center, Visalia, CA 93291
  2. Department of Acute Care and Trauma Surgery, Kaweah Delta Medical Center, Visalia, CA 93291

Corresponding Author

Jacob M. Kirkorowicz, MD, MSc
2150 East Sweet Avenue
Visalia, CA 93292
Email: jkirkoro@kdhcd.org

Disclosure Statement

The authors have no conflicts of interest to disclose.

Funding/Support

The authors have no relevant financial relationships or in-kind support to disclose.

Received: April 1, 2021
Revision received: July 29, 2021
Accepted: August 19, 2021

References

  1. Fintelmann F, Levine MS, Rubesin SE. Jejunal diverticulosis: findings on CT in 28 patients. AJR Am J Roentgenol. 2008;190(5):1286-1290. doi:10.2214/AJR.07.3087
  2. Bhardwaj R, Vaziri H, Gautam A, Ballesteros E, Karimeddini D, Wu GY. Chylous Ascites: A Review of Pathogenesis, Diagnosis and Treatment. J Clin Transl Hepatol. 2018;6(1):105-113. doi:10.14218/JCTH.2017.00035
  3. Hayama T, Shioya T, Hankyo M, et al. Primary Volvulus of the Small Intestine Exhibiting Chylous Ascites: A Case Report. J Nippon Med Sch. 2017;84(2):83-86. doi:10.1272/jnms.84.83
  4. Valsdottir E, Marks JH. Volvulus: small bowel and colon. Clin Colon Rectal Surg. 2008;21(2):91-93. doi:10.1055/s-2008-1075856
  5. Rokade ML, Yamgar S, Tawri D. Ultrasound "Whirlpool Sign" for Midgut Volvulus. J Med Ultrasound. 2011;19(1):24–26. doi:10.1016/j.jmu.2011.01.001
  6. Gollub MJ, Yoon S, Smith LM, Moskowitz CS. Does the CT whirl sign really predict small bowel volvulus?: Experience in an oncologic population. J Comput Assist Tomogr. 2006;30(1):25-32. doi:10.1097/01.rct.0000191680.28344.f0