Unsupported Browser
The American College of Surgeons website is not compatible with Internet Explorer 11, IE 11. For the best experience please update your browser.
Menu
Become a member and receive career-enhancing benefits

Our top priority is providing value to members. Your Member Services team is here to ensure you maximize your ACS member benefits, participate in College activities, and engage with your ACS colleagues. It's all here.

Become a Member
Become a member and receive career-enhancing benefits

Our top priority is providing value to members. Your Member Services team is here to ensure you maximize your ACS member benefits, participate in College activities, and engage with your ACS colleagues. It's all here.

Become a Member
ACS
ACS Case Reviews

Deep Venous Thrombosis After Repair of Abdominal Bulge with Fascial Plication and Onlay Mesh Placement

January 31, 2024

Abstract

Background

A 70-year-old female patient developed deep vein thrombosis (DVT) after undergoing abdominal bulge repair with fascial plication and placement of onlay mesh.

Summary

Abdominal bulge after abdomen-based autologous breast reconstruction is a well-known complication that contributes to donor site morbidity. Our patient presented with a symptomatic abdominal bulge and contour deformity after a pedicled left transverse rectus abdominis muscle (TRAM) flap for right breast reconstruction. She underwent abdominal bulge repair via fascial plication with onlay mesh placement for reinforcement. On postoperative day (POD) 6, she developed bilateral lower extremity swelling. Bilateral lower extremity DVTs were confirmed via venous duplex ultrasound imaging on POD 18, and she required three months of oral anticoagulation. Abdominal wall plication-associated increased intra-abdominal pressure is thought to be the main contributing factor in the increased risk of venous thromboembolism (VTE) associated with abdominoplasty by causing lower extremity venous stasis. High-tension abdominal wall closures, bed position, binder placement, and general anesthesia have also been implicated as risk factors. These abdominoplasty techniques are frequently used in abdominal bulge repair surgery. This case report demonstrates that patients undergoing abdominal bulge repair operations might warrant increased utilization of risk-stratifying measures and a heightened level of awareness for DVT.

Conclusion

Risk factors for VTE in abdominoplasty patients, particularly fascial plication, are well-recognized. The risk of DVT in patients undergoing abdominal bulge repair with similar techniques is not well studied and may be underreported. This reported case should encourage plastic surgeons to be more cognizant of VTE risk and consider performing risk stratification in patients undergoing repair of abdominal wall bulge.

Key Words

deep vein thrombosis; venous thromboembolism; fascial plication; abdominal wall bulge; autologous breast reconstruction


Case Description

Autologous breast reconstruction with abdomen-based flaps is recognized as the gold standard for breast reconstruction.1 While improvements in surgical flap harvesting techniques have reduced donor site morbidity overall, 52% of women still experience clinically important worsening of physical well-being of the abdomen after abdomen-based free flap for breast reconstruction.2 Among donor site complications, abdominal bulge/hernia rate ranges from 4.2% to 16.6%, depending on flap type, and up to 3.1% to 10% of bulges require surgical intervention.3

Maximizing donor-site aesthetic outcomes has become an important component of autologous breast reconstruction. Hernia repair techniques and abdominoplasty techniques, such as abdominal wall plication, are frequently implemented to improve abdominal donor site contour and prevent or correct an abdominal bulge.4-12 Abdominal wall plication-associated increased intra-abdominal pressure is also thought to be the main contributing factor in the increased risk of deep vein thrombosis (DVT) associated with abdominoplasty by causing lower extremity venous stasis.13

We hypothesize that the use of abdominoplasty techniques, such as abdominal wall plication, to address the complication of abdominal bulge after abdominal-based autologous breast reconstruction puts these patients at increased risk for perioperative venous thromboembolism (VTE). To our knowledge, deep vein thrombosis after abdominal bulge repair has not been previously reported in the literature. Thromboembolic disease, its management, and its prevention have recently become an important topic of discussion in plastic surgery.14 We present a case demonstrating that the risk of perioperative DVT might deserve an increased level of awareness.

A 70-year-old female presented to our clinic with a symptomatic abdominal bulge and contour deformity after a pedicled left transverse rectus abdominis muscle (TRAM) flap for right breast reconstruction. The patient underwent right breast-conserving therapy in 2016 for invasive ductal carcinoma. She developed severe radiation-induced contracture of the right breast, for which she underwent reconstruction with a pedicled left TRAM flap in 2019. From records available to us from the prior surgeon who performed the rectus abdominis flap harvest, the abdominal donor site was reinforced with a 30 × 30 cm piece of Prolene mesh doubled up on itself and inset in an inlay position encompassing the entire rectus sheath up to the costal margin.

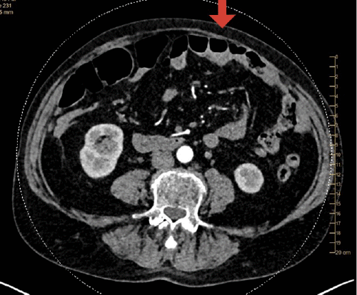
The patient complained of persistent pain in the abdomen with distention, a bulge in the upper abdomen, difficulty standing upright, and difficulty taking a deep breath since the time of her breast reconstruction surgery. On physical exam, an abdominal bulge was apparent on stress testing in the epigastrium and left hemi-abdomen. CT scan of the abdomen and pelvis demonstrated asymmetric abdominal wall musculature consistent with her previous TRAM flap but no evidence of a hernia (Figure 1).

Figure 1. Abdominopelvic CT Scan. Published with Permission

Left rectus abdominal musculature smaller than right consistent with left pedicled transverse rectus abdominis muscle (TRAM) flap surgery. No anterior abdominal wall hernia or mass
Left rectus abdominal musculature smaller than right consistent with left pedicled transverse rectus abdominis muscle (TRAM) flap surgery. No anterior abdominal wall hernia or mass

She elected to undergo abdominal wall reconstruction with onlay Prolene mesh for correction of the abdominal bulge and improvement in abdominal wall contour in 2021. Sequential compression devices were placed on the bilateral lower extremities prior to initiation of general anesthesia. Intraoperatively, she was noted to have an abdominal bulge and weak fascia, especially on the left side. The abdominal wall bulge was marked on both sides and in the midline and was then serially plicated with 0-PDS sutures. A 15 × 15 cm Prolene Bard soft mesh was placed over the abdominal wall repair and sutured in place with 0-PDS to reinforce the repair. The abdominal wall flap was re-draped with the excision of excess infraumbilical skin, and the umbilicus was brought out through a U incision at the level of the iliac crests. The patient was flexed at the hips for closure of the abdominal wall. Of note, flank liposuction for fat grafting to the breast was also performed. She was placed in an abdominal binder at the completion of the case.

On POD 6, the patient started complaining of fatigue, hypotension, and lower extremity swelling. A bilateral lower extremity venous duplex was ordered. The imaging demonstrated acute deep vein thromboses of the right popliteal, right peroneal, and left posterior tibial veins. Her risk factors included recent surgery and a sedentary position with neuropathy limiting ambulation. She was treated with a single dose of subcutaneous enoxaparin and started on oral systemic anticoagulation with apixaban. Repeat bilateral lower extremity venous duplex at three months revealed the resolution of DVTs, and the patient's anticoagulation was discontinued. Her abdominal pain and discomfort with ambulation resolved, and her bulge was absent on follow-up examination.

Discussion

The venous thromboembolism (VTE) rate in autologous breast reconstruction ranges from 0.1%-4%,15-18 comparable to the VTE rate in abdominoplasty of 0.35%-5%.14,18,19 Similarly, the VTE rate in patients undergoing simultaneous ventral hernia repair and panniculectomy is 1.2%.20 Techniques used in these surgeries have significant similarities to abdominal bulge repair following abdomen-based autologous breast reconstruction.

The 2005 modification of the Caprini Risk Assessment Model has been validated in plastic surgery patients.18 In the plastic surgery population, a significantly increased risk of VTE with a rate of 11.3% exists for patients with a modified Caprini score >8 who do not receive chemoprophylaxis. Additionally, there is a significantly increased risk of VTE in patients with a score of 7-8 compared to a score of 3-4.18 Significant differences in VTE incidence have been seen between patients with Caprini scores of 5 to 6, 7 to 8, and >8.21

Patients with a score >8 are recognized as "super high risk" and should be considered for chemoprophylaxis on a case-by-case basis.18,22 It has also been recommended that in addition to considering chemoprophylaxis, surgeons should consider risk factor modification or avoiding surgery in patients with a Caprini score of 8 or higher.18,23 Additionally, 30 days of postoperative chemoprophylaxis is recommended for a score of >8.18

In plastic surgery patients with a Caprini score of 7 to 8, 2.7% had a symptomatic VTE event between 0 and 60 days postoperatively.18 Our patient had a modified Caprini score of 7 (BMI>25, age 60-74 years, previous or present malignancy, major surgery >45 minutes), placing her at a relatively high risk of VTE but not reaching the threshold score of 8 or higher where recommendations state there should be consideration for chemoprophylaxis.18,22 However, the patient admitted that her history of significant neuropathy limited her ambulation at baseline. It could be argued that the patient's Caprini score was 1 to 2 points higher, given her baseline sedentary lifestyle and postoperative status, further limiting ambulation.

No validated VTE risk model exists specifically for the outpatient surgery population, and practice varies regarding the use of anticoagulation in the immediate postoperative period.24,25 Current guidelines state that routinely administering chemoprophylaxis for all plastic surgery patients is not recommended nor recommended for TRAM flaps and body contouring surgeries. Additionally, chemoprophylaxis for patients with a Caprini score >8 is recommended only individually.22 Our patient did have mechanical prophylaxis in accordance with current practice recommendations.22 In our practice, we typically administer perioperative subcutaneous heparin only for patients with a Caprini score of 8 and above. We will endeavor to revise this practice as more evidence becomes available.

Agrawal et al.23 propose the need for closer evaluation of the role of the following factors on VTE risk in plastic surgery patients: the effects of muscle relaxation, long flights immediately after surgery, estrogen use, the type of surgery, and the use of tranexamic acid. Abdominal wall plication-associated increased intra-abdominal pressure is thought to be the main contributing factor in the increased risk of deep vein thrombosis (DVT) associated with abdominoplasty by causing lower extremity venous stasis.13 However, plication of the musculoaponeurotic system is also a core technique for improving abdominal wall contour24 in cosmetic abdominoplasty and transverse rectus abdominis muscle (TRAM) flap patients.25-28

Abdominal wall plication has been shown to cause deep venous stasis in the proximal femoral vein, indicated by decreased flow and increased proximal femoral vein diameter.13 In addition to high-tension abdominal closures and rectus plication, tight compression garments have been implicated in decreasing venous return and may be involved in lower extremity DVT formation. Ultrasound has demonstrated proximal vessel dilation, decreased flow, and loss of normal venous flow within the popliteal vein with compression garments in place. Additionally, 92% of surgeons use rectus plication with their abdominoplasties, and 95% of surgeons use postoperative compression garments for patients getting liposuction and/or abdominal binder with abdominoplasties.29 Another study that demonstrated rectus plication increases intraabdominal pressures also exposes bed position, binder placement, and general anesthesia as risk factors for DVT.27

While some studies have suggested that plastic surgeons may underutilize chemoprophylaxis in high-risk patients, miss risk factors when present, and/or fail to modify risk factors prior to surgery,18,30-32 the risk of venous thromboembolism in abdominal bulge repair operations may be underreported. This reported case and available evidence should encourage plastic surgeons to consider performing risk stratification and have heightened vigilance for VTE in patients undergoing repair of abdominal wall bulge after abdomen-based autologous breast reconstruction.

Conclusion

Risk factors for venous thromboembolism (VTE) in abdominoplasty patients, particularly fascial plication, are well-recognized. While abdominoplasty techniques are commonly implemented in abdominal bulge repair, the risk of DVT in this patient population is not well studied and may be underreported. This reported case should compel plastic surgeons to be more cognizant of VTE threat and consider performing risk stratification in patients undergoing repair of abdominal wall bulge after abdomen-based autologous breast reconstruction.

Lessons Learned

Fascial plication is one of several technical factors that increase VTE risk in abdominoplasty. Surgeons should recognize these abdominoplasty techniques similarly increase VTE risk when utilized in abdominal wall bulge repair after abdominal-based autologous breast reconstruction. Enhanced surveillance and risk stratification in this patient population should be amply considered.

Authors

Kapsalis C; Ogunleye A

Author Affiliations

Department of Surgery, University of North Carolina, Chapel Hill, NC 27514

Corresponding Author

Christina Kapsalis, MD
Department of Surgery
4001 Burnett-Womack Building
CB #7050
Chapel Hill, NC 27599
Email: christina.kapsalis@unchealth.unc.edu

Disclosure Statement

The authors have no conflicts of interest to disclose.

Funding/Support

The authors have no relevant financial relationships or in-kind support to disclose.

Received: March 20, 2022
Revision received: May 3, 2022
Accepted: May 25, 2022

References

  1. Atisha DM, Rushing CN, Samsa GP, et al. A national snapshot of satisfaction with breast cancer procedures. Ann Surg Oncol. 2015;22(2):361-369. doi:10.1245/s10434-014-4246-9
  2. Stone JP, Bello RJ, Siotos C, et al. Patient-Related Risk Factors for Worsened Abdominal Well-Being after Autologous Breast Reconstruction. Plast Reconstr Surg. 2020;145(3):475e-480e. doi:10.1097/PRS.0000000000006536
  3. Macadam SA, Zhong T, Weichman K, et al. Quality of Life and Patient-Reported Outcomes in Breast Cancer Survivors: A Multicenter Comparison of Four Abdominally Based Autologous Reconstruction Methods. Plast Reconstr Surg. 2016;137(3):758-771. doi:10.1097/01.prs.0000479932.11170.8f
  4. Christie B, Shulzhenko NO, Poore SO, Afifi AM. Divulge the bulge: an international survey of abdominal donor site morbidity in free autologous breast reconstruction. J Plast Surg Hand Surg. 2019;53(5):265-270. doi:10.1080/2000656X.2019.1597372
  5. Zienowicz RJ, May JW Jr. Hernia prevention and aesthetic contouring of the abdomen following TRAM flap breast reconstruction by the use of polypropylene mesh. Plast Reconstr Surg. 1995;96(6):1346-1350. doi:10.1097/00006534-199511000-00017
  6. Boehmler JH 4th, Butler CE, Ensor J, Kronowitz SJ. Outcomes of various techniques of abdominal fascia closure after TRAM flap breast reconstruction. Plast Reconstr Surg. 2009;123(3):773-781. doi:10.1097/PRS.0b013e318199ef4f
  7. Israeli R, Hazani R, Feingold RS, DeNoto G 3rd, Scheiner MS. Extended mesh repair with external oblique muscle reinforcement for abdominal wall contour abnormalities following TRAM flap. Ann Plast Surg. 2009;63(6):654-658. doi:10.1097/SAP.0b013e31819ae08e
  8. Haddock NT, Culver AJ, Teotia SS. Abdominal weakness, bulge, or hernia after DIEP flaps: An algorithm of management, prevention, and surgical repair with classification. J Plast Reconstr Aesthet Surg. 2021;74(9):2194-2201. doi:10.1016/j.bjps.2020.12.044
  9. Chang EI, Chang EI, Soto-Miranda MA, et al. Comprehensive analysis of donor-site morbidity in abdominally based free flap breast reconstruction. Plast Reconstr Surg. 2013;132(6):1383-1391. doi:10.1097/PRS.0b013e3182a805a3
  10. Munhoz AM, Sturtz G, Montag E, et al. Clinical outcome of abdominal wall after DIEP flap harvesting and immediate application of abdominoplasty techniques. Plast Reconstr Surg. 2005;116(7):1881-1893. doi:10.1097/01.prs.0000191186.20698.0d
  11. Visconti G, Tomaselli F, Monda A, Barone-Adesi L, Salgarello M. Deep inferior epigastric artery perforator flap donor-site closure with cannula-assisted, limited undermining, and progressive high-tension sutures versus standard abdominoplasty: complications, sensitivity, and cosmetic outcomes. Plast Reconstr Surg. 2015;135(1):1-12. doi:10.1097/PRS.0000000000000806
  12. Kotsougiani-Fischer D, Sieber L, Fischer S, Hirche C, Maraka S, Kneser U. Safety of a Modified Lipoabdominoplasty Technique for Donor-Site Closure in Abdominal-Based Free Flap Breast Reconstruction. Aesthetic Plast Surg. 2021;45(4):1431-1440. doi:10.1007/s00266-020-02117-y
  13. Pannucci CJ, Alderman AK, Brown SL, Wakefield TW, Wilkins EG. The effect of abdominal wall plication on intra-abdominal pressure and lower extremity venous flow: a case report. J Plast Reconstr Aesthet Surg. 2012;65(3):392-394. doi:10.1016/j.bjps.2011.08.013
  14. Hatef DA, Trussler AP, Kenkel JM. Procedural risk for venous thromboembolism in abdominal contouring surgery: a systematic review of the literature. Plast Reconstr Surg. 2010;125(1):352-362. doi:10.1097/PRS.0b013e3181c2a3b4
  15. Mehrara BJ, Santoro TD, Arcilla E, Watson JP, Shaw WW, Da Lio AL. Complications after microvascular breast reconstruction: experience with 1195 flaps. Plast Reconstr Surg. 2006;118(5):1100-1109. doi:10.1097/01.prs.0000236898.87398.d6
  16. Pannucci CJ, Chang EY, Wilkins EG. Venous thromboembolic disease in autogenous breast reconstruction. Ann Plast Surg. 2009;63(1):34-38. doi:10.1097/SAP.0b013e318188bedf
  17. Rochlin DH, Sheckter CC, Pannucci C, Momeni A. Venous Thromboembolism following Microsurgical Breast Reconstruction: A Longitudinal Analysis of 12,778 Patients. Plast Reconstr Surg. 2020;146(3):465-473. doi:10.1097/PRS.0000000000007051
  18. Pannucci CJ, Bailey SH, Dreszer G, et al. Validation of the Caprini risk assessment model in plastic and reconstructive surgery patients. J Am Coll Surg. 2011;212(1):105-112. doi:10.1016/j.jamcollsurg.2010.08.018
  19. Winocour J, Gupta V, Ramirez JR, Shack RB, Grotting JC, Higdon KK. Abdominoplasty: Risk Factors, Complication Rates, and Safety of Combined Procedures. Plast Reconstr Surg. 2015;136(5):597e-606e. doi:10.1097/PRS.0000000000001700
  20. Sosin M, Termanini KM, Black CK, Thanik V, Saadeh PB, Levine JP. Simultaneous Ventral Hernia Repair and Panniculectomy: A Systematic Review and Meta-Analysis of Outcomes. Plast Reconstr Surg. 2020;145(4):1059-1067. doi:10.1097/PRS.0000000000006677
  21. Bahl V, Hu HM, Henke PK, Wakefield TW, Campbell DA Jr, Caprini JA. A validation study of a retrospective venous thromboembolism risk scoring method. Ann Surg. 2010;251(2):344-350. doi:10.1097/SLA.0b013e3181b7fca6
  22. Pannucci CJ, MacDonald JK, Ariyan S, et al. Benefits and Risks of Prophylaxis for Deep Venous Thrombosis and Pulmonary Embolus in Plastic Surgery: A Systematic Review and Meta-Analysis of Controlled Trials and Consensus Conference. Plast Reconstr Surg. 2016;137(2):709-730. doi:10.1097/01.prs.0000475790.54231.28
  23. Agrawal NA, Hillier K, Kumar R, Izaddoost SA, Rohrich RJ. A Review of Venous Thromboembolism Risk Assessment and Prophylaxis in Plastic Surgery. Plast Reconstr Surg. 2022;149(1):121e-129e. doi:10.1097/PRS.0000000000008663
  24. Boudreault DJ, Sieber DA. Getting the Best Results in Abdominoplasty: Current Advanced Concepts. Plast Reconstr Surg. 2019;143(3):628e-636e. doi:10.1097/PRS.0000000000005378
  25. Losken A, Carlson GW, Tyrone JW, et al. The significance of intraabdominal compartment pressure after free versus pedicled TRAM flap breast reconstruction. Plast Reconstr Surg. 2005;115(1):261-263.
  26. Losken A, Carlson GW, Jones GE, Hultman CS, Culbertson JH, Bostwick J 3rd. Significance of intraabdominal compartment pressures following TRAM flap breast reconstruction and the correlation of results. Plast Reconstr Surg. 2002;109(7):2257-2264. doi:10.1097/00006534-200206000-00014
  27. Huang GJ, Bajaj AK, Gupta S, Petersen F, Miles DAG. Increased intraabdominal pressure in abdominoplasty: delineation of risk factors. Plast Reconstr Surg. 2007;119(4):1319-1325. doi:10.1097/01.prs.0000254529.51696.43
  28. Al-Basti HB, El-Khatib HA, Taha A, Sattar HA, Bener A. Intraabdominal pressure after full abdominoplasty in obese multiparous patients. Plast Reconstr Surg. 2004;113(7):2145-2155. doi:10.1097/01.prs.0000122543.44977.46
  29. Clayman MA, Clayman ES, Seagle BM, Sadove R. The pathophysiology of venous thromboembolism: implications with compression garments. Ann Plast Surg. 2009;62(5):468-472. doi:10.1097/SAP.0b013e31818cd08c
  30. Broughton G 2nd, Rios JL, Rohrich RJ, Brown SA. Deep venous thrombosis prophylaxis practice and treatment strategies among plastic surgeons: survey results. Plast Reconstr Surg. 2007;119(1):157-174. doi:10.1097/01.prs.0000240810.52392.51
  31. Pannucci CJ, Oppenheimer AJ, Wilkins EG. Practice patterns in venous thromboembolism prophylaxis: a survey of 606 reconstructive breast surgeons. Ann Plast Surg. 2010;64(6):732-737. doi:10.1097/SAP.0b013e3181ba57a0
  32. Clavijo-Alvarez JA, Pannucci CJ, Oppenheimer AJ, Wilkins EG, Rubin JP. Prevention of venous thromboembolism in body contouring surgery: a national survey of 596 ASPS surgeons. Ann Plast Surg. 2011;66(3):228-232. doi:10.1097/SAP.0b013e3181e35c64