Unsupported Browser
The American College of Surgeons website is not compatible with Internet Explorer 11, IE 11. For the best experience please update your browser.
Menu
Become a member and receive career-enhancing benefits

Our top priority is providing value to members. Your Member Services team is here to ensure you maximize your ACS member benefits, participate in College activities, and engage with your ACS colleagues. It's all here.

Become a Member
Become a member and receive career-enhancing benefits

Our top priority is providing value to members. Your Member Services team is here to ensure you maximize your ACS member benefits, participate in College activities, and engage with your ACS colleagues. It's all here.

Become a Member
ACS
ACS Case Reviews

The Chamberlain Procedure to Diagnose Primary Mediastinal Seminoma Presenting as Chest Pain

January 31, 2024

Abstract

Background

Approximately 50% of mediastinal masses are found in the anterior compartment. GCTs comprise 1-4% of all mediastinal malignancies and rarely present as a singular mediastinal mass without a testicular primary. First described over 50 years ago, PMS account for 37% of all mediastinal GCTs and occur second only to teratomas. PMS most commonly affects males in their third to fourth decade of life, with 20% to 40% of cases asymptomatic at the time of diagnosis. Herein we report a rare case of primary seminoma of the anterior mediastinum diagnosed via the Chamberlain procedure (anterior mediastinotomy) in a patient who presented with left-sided chest pain.

Summary

A 20-year-old male presented to the ED with nonspecific left-sided chest pain and dyspnea. There were no other associated symptoms. The patient reported no past medical history or use of tobacco. He had no significant environmental or occupational exposures. His physical exam was unremarkable. A mildly elevated alkaline phosphatase of 172 IU/L was noted. CT imaging of the chest revealed a large anterior mediastinal mass measuring 8.5 × 8.3 × 7.2 cm. CT imaging of the abdomen and pelvis was unremarkable. No testicular mass was noted on ultrasound. Following a non-diagnostic CT-guided percutaneous biopsy, the patient underwent a Chamberlain procedure to obtain a definitive tissue diagnosis. Immunohistological stains of the specimen were positive for CD117 and D2-40 markers, indicative of a seminoma. The patient subsequently completed four cycles of etoposide and cisplatin adjuvant chemotherapy. Follow-up CT imaging revealed a substantial decrease in the size of the anterior mediastinal mass.

Conclusion

PMS should be considered in the differential diagnosis of mediastinal tumors, particularly in the absence of testicular lesions. Given its slow-growing nature and excellent response to chemotherapy, prompt diagnosis and initiation of treatment is essential for optimal patient outcomes. The Chamberlain procedure remains the gold standard diagnostic tool for the biopsy of mediastinal lesions despite the advent of CT-guided FNAC/CNB, VATS, and robotic thoracoscopic surgery.

Key Words

posterior mediastinal mass; VATS

Abbreviations

GCTs: germ cell tumors
PMS: primary mediastinal seminoma
CT: computed tomography
β-hCG: beta human chorionic gonadotropin
LDH: lactate dehydrogenase
ALP: placental alkaline phosphatase
MRI: magnetic resonance imaging
VATS: video-assisted thoracoscopic surgery
FNAC: fine needle aspiration cytology
CNB: core needle biopsy


Case Description

A 20-year-old male presented with dyspnea and chest pain that radiated to the left shoulder and back. He denied fever, cough, nausea, vomiting, night sweats, or weight loss and reported no tobacco or environmental exposures. Laboratory values were all within normal limits apart from an elevated alkaline phosphatase (172 IU/L, normal: 20-140 IU/L). Alpha-fetoprotein marker was found to be 1.20 ng/mL (normal: <10 ng/mL), lactate dehydrogenase (LDH) was found to be 142 U/L (normal: 140-280), and beta-human chorionic gonadotropin (ß-hCG) was negative. Plain radiograph (Figure 1) was significant for a left paratracheal lobulated mediastinal mass causing right tracheal deviation. Chest computed tomography (CT) revealed a large anterior mediastinal mass measuring 8.5 × 8.3 × 7.2 cm (Figure 2 and Figure 3). Scrotal ultrasound revealed no masses, though nonspecific scattered bilateral testicular microcalcifications were noted. A CT-guided biopsy of the mass was performed however was non-diagnostic. Due to a high index of suspicion for malignancy, an incisional biopsy via Chamberlain procedure was performed.

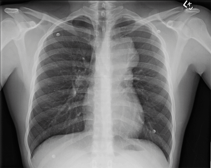
Figure 1. Chest X ray Image with Left Paratracheal Lobulated Mediastinal Mass Causing Rightward Tracheal Deviation. Published with Permission

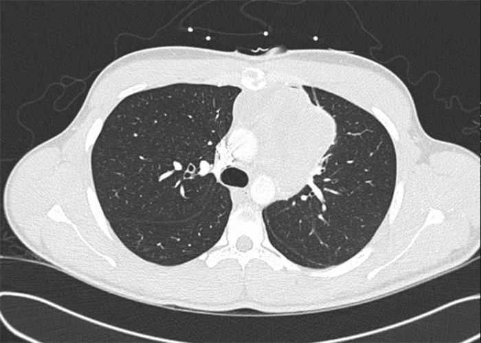
Figure 2. Axial CT Image with Large Heterogeneous Anterior Mediastinal Mass. Published with Permission

Pulmonary nodules 11.0 × 9.0 mm left posterior apical juxtapleural, 2.0 mm left anterior upper lobe, and 3.0 mm subpleural left lower lobe were also noted
Pulmonary nodules 11.0 × 9.0 mm left posterior apical juxtapleural, 2.0 mm left anterior upper lobe, and 3.0 mm subpleural left lower lobe were also noted

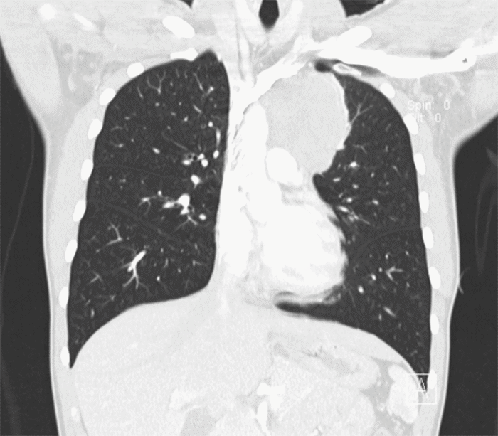
Figure 3. Coronal CT Image. Published with Permission

Mass is shown abutting the thoracic aorta; also no well-defined fat plane between the mass and origin of the left subclavian artery or left common carotid artery
Mass is shown abutting the thoracic aorta; also no well-defined fat plane between the mass and origin of the left subclavian artery or left common carotid artery

Immunohistochemical analysis was positive for seminoma markers CD117 and D2-40 (Figure 4). The specimen was negative for carcinoma AE1/AEE, thymoma epithelial CK5/CK6 markers, and embryonal carcinoma markers CD3, CD20, and CD30. The patient subsequently completed four cycles of cisplatin (100 mg/m2 per day) and etoposide (20 mg/m2 per day) neoadjuvant chemotherapy without complication. Follow-up imaging revealed a significant decrease in the size of the mass, measuring 4.6 × 1.4 cm. Eight months after his initial workup, the patient underwent resection of the residual mediastinal seminoma with partial hemi-thymectomy and lymph node resection. Imaging one year and three months after surgery revealed no evidence of recurrence or residual disease.

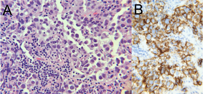
Figure 4. A) Microscopic Examination (Hematoxylin and Eosin Stain). B) Immunohistochemistry Positive for Seminoma Markers. Published with Permission

Discussion

Approximately 50% of mediastinal masses are located in the anterior compartment. Differential diagnoses include thymoma, thymic carcinoma, thymic cysts, thymic hyperplasia, mature teratoma, malignant germ cell tumors (GCTs), lymphomas,1 and infectious or inflammatory etiologies. GCTs comprise only 1-4% of all mediastinal malignancies. Seminomas, malignant GCTs of the testicle, are rarely found in the mediastinum or present without a testicular source.2 Approximately 2-5% of GCT are of extragonadal origin and have been described in the pineal gland, retroperitoneum, sacrum, vagina, prostate, liver, gastrointestinal tract, or orbit.3,4 The origin of extragonadal GCTs remains uncertain. It is postulated that the disease process may relate to the arrest of migrating germ cells in the midline of the chest during puberty or may be due to gene reactivation of normally inactive germ cells occurring within the chest.

The first case of primary mediastinal seminoma (PMS) was described by Woolner et al. in 1955.5 PMS is one of the most common mediastinal GCTs, second only to teratomas.3 The majority of PMS occurs in the anterior mediastinum affecting males in their third to fourth decade.3 The disease is unique as the primary tumor lies within the mediastinum with no involvement of the testes, though there have been reports of testicular metastasis from a mediastinal primary. Additionally, PMS has occurred in patients with testicular atrophy.6

Previous reports have cited that 20% to 40% of cases are asymptomatic and, therefore, typically large upon diagnosis. Presenting symptoms are generally nonspecific and can manifest as substernal chest pain, dyspnea, cough, hoarseness, dysphagia, tachycardia, superior vena cava syndrome, arm pain, upper respiratory infection, or vocal cord paralysis.3,6,7

ß-hCG has been shown to be elevated in up to 38% of patients with PMS and has been used as a marker of tumor regression.7 LDH is typically elevated in testicular seminoma, though it has no efficacy in detecting or monitoring PMS. Placental alkaline phosphatase (ALP) is nonspecific and can be elevated for many reasons. Immunohistology was positive for CD117, also known as c-kit, and D2-40, which has been identified in human seminomas but not embryonal carcinomas.8

Seminomas generally manifest as bulky lobulated homogeneous mediastinal masses that uncommonly invade adjacent structures and can metastasize to regional lymph nodes. CT imaging is considered superior to magnetic resonance imaging (MRI) in diagnosing anterior mediastinal tumors, except for thymic cysts. However, the overall reported diagnostic accuracy of malignant GCT was relatively low, with 35% identified by CT, 27% by MRI, and 31% by both.2

Modalities for tissue diagnosis include CT-guided fine needle aspiration cytology/core needle biopsy, mediastinoscopy, video-assisted thoracoscopic surgery (VATS), robotic thoracoscopic surgery, Chamberlain procedure, and rarely thoracotomy.9 The Chamberlain procedure, also known as an anterior mediastinotomy, is an operation where a transverse skin incision is created over the second intercostal space 1.0-1.5 cm lateral to the sternum. Biopsies are obtained once the second costal cartilage is reached and entry into the anterior-superior mediastinum is achieved, either directly or via a mediastinoscope.10 Level 5 and 6 thoracic lymph nodes can readily be accessed via extended mediastinoscopy or Chamberlain procedure1. In pediatric populations, the Chamberlain procedure has been reported to diagnose mediastinal masses in patients aged 2 to 13 with 100% accuracy.8 Despite the advent of VATS for biopsy, the Chamberlain procedure remains an important tool in the armamentarium of thoracic surgeons for the diagnosis of anterior mediastinal masses.9

Patients may undergo surgical resection as first-line therapy followed by chemotherapy with BEP protocol (bleomycin, etoposide, and cisplatin) and/or radiation. Some studies have found that those with neoadjuvant chemotherapy had superior outcomes to those who were initially treated with surgery.11 Tumors that spontaneously regressed were found to have a higher sensitivity to chemotherapy.12 Current recommendations state that testicular biopsy or orchiectomy is not indicated when no palpable masses are within the testes.6 Some recommend conservative management in asymptomatic patients due to the slow-growing indolent nature of the tumor and the potential for spontaneous regression.13

Though pathologically similar to the primary seminoma of the testes, patients with PMS have a poorer prognosis for unknown reasons.11 Studies have found a five-year survival rate of approximately 90%, though the typical ten-year relapse-free survival rate was found to be only 67%.14 Patients diagnosed at a later age typically have a worse prognosis.3

Conclusion

We report an unusual case of PMS of the anterior mediastinum in a patient without testicular mass who presented with chest pain diagnosed using a Chamberlain procedure. PMS should be considered in the differential diagnosis of mediastinal tumors, particularly in the absence of testicular lesions. Given its good response to chemotherapy, prompt diagnosis and initiation of treatment are essential for optimal patient outcomes. Clinicians should continue to remain facile with the Chamberlain procedure as current practice trends toward thoracoscopic procedures.

Lessons Learned

Because primary mediastinal seminoma typically presents in an indolent fashion, diagnosis requires a high index of suspicion. Chamberlain procedure remains an important diagnostic tool for anterior mediastinal masses.

Authors

Seng SSa; Carrillo ACb; Papa ACc; Parinella AHa; Enofe Na; Geller CMa

Author Affiliations

  1. Department of Surgery, Crozer-Keystone Health System, Upland, PA 19013
  2. Department of Medicine, Franciscan Health, Lafayette, IN 47905
  3. Philadelphia College of Osteopathic Medicine, Philadelphia, PA 19131

Corresponding Author

Charles M. Geller, MD, FACC, FCCP, FACS
Department of Surgery
Vivacqua Pavilion, Ste. 440
One Medical Center Boulevard
Upland, PA 19013
Email: charles.geller@crozer.org

Disclosure Statement

The authors have no conflicts of interest to disclose.

Funding/Support

The authors have no relevant financial relationships or in-kind support to disclose.

Received: March 9, 2021
Revision received: June 1, 2021
Accepted: June 22, 2021

 

References

  1. Vyas KS, Davenport DL, Ferraris VA, Saha SP. Mediastinoscopy: trends and practice patterns in the United States. South Med J. 2013;106(10):539-544. doi:10.1097/SMJ.0000000000000000
  2. Tomiyama N, Honda O, Tsubamoto M, et al. Anterior mediastinal tumors: diagnostic accuracy of CT and MRI. Eur J Radiol. 2009;69(2):280-288. doi:10.1016/j.ejrad.2007.10.002
  3. Moran CA, Suster S, Przygodzki RM, Koss MN. Primary germ cell tumors of the mediastinum: II. Mediastinal seminomas--a clinicopathologic and immunohistochemical study of 120 cases. Cancer. 1997;80(4):691-698. doi:10.1002/(sici)1097-0142(19970815)80:4<691::aid-cncr7>3.0.co;2-q
  4. Kannan J, Karkuzhali P, Lakshminarasimhan S. Thymic seminoma. Indian J Med Paediatr Oncol. 2009;30(1):46-49. doi:10.4103/0971-5851.56338
  5. Woolner LB, Jamplis RW, Kirklin JW. Seminoma (germinoma) apparently primary in the anterior mediastinum. N Engl J Med. 1955;252(16):653-7. doi: 10.1056/NEJM195504212521602
  6. Aygun C, Slawson RG, Bajaj K, Salazar OM. Primary mediastinal seminoma. Urology. 1984;23(2):109-117.
  7. Napieralska A, Majewski W, Osewski W, Miszczyk L. Primary mediastinal seminoma. J Thorac Dis. 2018;10(7):4335-4341. doi:10.21037/jtd.2018.06.120
  8. Idrees M, Saxena R, Cheng L, Ulbright TM, Badve S. Podoplanin, a novel marker for seminoma: A comparison study evaluating immunohistochemical expression of podoplanin and OCT3/4. Ann Diagn Pathol. 2010;14(5):331-336. doi:10.1016/j.anndiagpath.2010.05.008
  9. Haridas AK, Bhat BS. Modified Chamberlain Procedure Is an Alternative Option with or Without VATS Still a Gold Standard Technique: A 10 Years Experience. Int J Cardio Thorac Surg. 2018; 4(2): 14-19. doi: 10.11648/j.ijcts.20180402.11
  10. Salas Valverde S, Gamboa Y, Vega S, Barrantes M, Gonzalez M, Zamora JB. Diagnosis of anterior mediastinal mass lesions using the Chamberlain procedure in children. Pediatr Surg Int. 2008;24(8):935-937. doi:10.1007/s00383-008-2179-8
  11. Tanaka Y, Okamura T, Nagai T, et al. A Study of Patients with Primary Mediastinal Germ Cell Tumors Treated Using Multimodal Therapy. Adv Urol. 2017;2017:1404610. doi:10.1155/2017/1404610
  12. Yu Z, Kimura D, Tsushima T, Fukuda I. Spontaneous regression of anterior mediastinal seminoma with normalization of β-human chorionic gonadotropin levels. Int J Surg Case Rep. 2017;39:199-202. doi:10.1016/j.ijscr.2017.08.024
  13. Henschke CI, Lee IJ, Wu N, et al. CT screening for lung cancer: prevalence and incidence of mediastinal masses. Radiology. 2006;239(2):586-590. doi:10.1148/radiol.2392050261
  14. Rivera C, Arame A, Jougon J, et al. Prognostic factors in patients with primary mediastinal germ cell tumors, a surgical multicenter retrospective study. Interact Cardiovasc Thorac Surg. 2010;11(5):585-589. doi:10.1510/icvts.2010.238717