Unsupported Browser
The American College of Surgeons website is not compatible with Internet Explorer 11, IE 11. For the best experience please update your browser.
Menu
Become a member and receive career-enhancing benefits

Our top priority is providing value to members. Your Member Services team is here to ensure you maximize your ACS member benefits, participate in College activities, and engage with your ACS colleagues. It's all here.

Become a Member
Become a member and receive career-enhancing benefits

Our top priority is providing value to members. Your Member Services team is here to ensure you maximize your ACS member benefits, participate in College activities, and engage with your ACS colleagues. It's all here.

Become a Member
ACS
ACS Case Reviews

A Rare Case of Abdominal Actinomycosis Mimicking Cancer

January 31, 2024

Abstract

Background

Abdominal actinomycosis is a rare form of chronic granulomatous disease often mistaken for inflammatory bowel disease, malignancy, local perforation, or inflammation, such as appendicitis or diverticulitis. Clinical manifestations are nonspecific, and diagnosis can be challenging. We present a case of a 72-year-old man with actinomycosis of the right colon, mimicking colon cancer.

Summary

A 72-year-old Hispanic male with chronic kidney disease and type II diabetes presented to the colon and rectal surgery clinic due to a suspicious colonic mass near the hepatic flexure. The patient experienced left flank pain and weight loss. A CT scan revealed a 3.5 × 3.5 cm lesion at the hepatic flexure with fat stranding, indicating local infiltration. Multiple mesenteric lymph nodes were affected, but there was no distant metastasis. Biopsies were negative for malignancy. Percutaneous biopsy of liver lesions was performed by interventional radiology. Based on discussions, an oncologic resection was scheduled, leading to an open right hemicolectomy. The procedure went well without complications. The patient was discharged on postoperative day 7 after experiencing a prolonged ileus. Final pathology revealed acute inflammation with mucosal ulceration, bacterial colonies within an abscess, and fibrous adhesions consistent with actinomycosis in two areas of the colon.

Conclusion

Actinomycosis is a rare bacterial infection caused by Actinomyces species in humans. It does not spread from person to person and usually occurs when there is a break in the mucosal barrier. Abdominal actinomycosis commonly affects the ileocecal region and is often mistaken for inflammatory bowel disease (IBD), malignancy, or appendicitis. Diagnosis is challenging because laboratory, radiologic, and endoscopic findings are nonspecific, with surgery being necessary in 90% of cases to confirm the infection. Actinomycosis typically invades surrounding tissues without spreading through the bloodstream or lymphatic system. A definitive diagnosis requires identifying sulfur granules in the abscess culture.

Key Words

actinomycosis; abdominal actinomycosis; chronic granulomatous disease; rare abdominal disease


Case Description

A 72-year-old Hispanic male with chronic kidney disease and type II diabetes was seen at the colon and rectal surgery clinic at John H. Stroger Hospital of Cook County for a suspicious colonic mass near the hepatic flexure. The patient initially complained of left flank pain and weight loss. A computerized tomography (CT) scan of the chest, abdomen, and pelvis showed a 3.5 × 3.5 cm lesion at the hepatic flexure associated with fat stranding, likely representative of direct local infiltration, multiple mesenteric lymph nodes and no sign of distant metastasis (Figure 1). Carcinoembryonic antigen level (CEA) was 1.34 ng/mL. He underwent a diagnostic colonoscopy with a biopsy of the lesion, revealing findings consistent with an inflammatory process (Figure 2).

Figure 1. First Abdominal CT Scan Showing Hepatic Flexure Lesion. Published with Permission

Figure 2. First Colonoscopy Showing Intraluminal Mass. Published with Permission

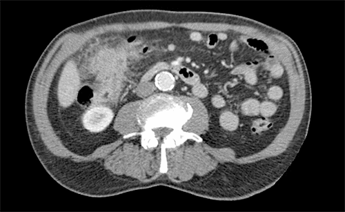
The patient was discussed at our multidisciplinary cancer conference (MDC), and the plan was to repeat the colonoscopy and CT scans. At that time, a repeat CT scan of the abdomen showed progression of the disease, with the mass now measuring 4.3 × 4.3 cm, abutting the inferior vena cava, with multiple enlarged mesenteric lymph nodes. Hepatic lesions concerning for metastases were also found (Figure 3 and Figure 4). Positron emission tomography (PET) scan showed hypermetabolic activity at the hepatic flexure, but PET could not differentiate between malignancy, inflammation, or infectious process. PET also showed nonspecific hypermetabolic liver foci. A repeat colonoscopy showed increased luminal edema, indicating a concerning advancement of the disease (Figure 5). Once again, multiple biopsies were taken, all negative for malignancy. Interventional radiology was consulted to perform a percutaneous biopsy of these new liver lesions; however, at the time of the procedure, no liver lesion was visualized, so a biopsy was not performed.

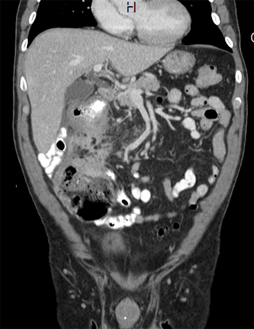
Figure 3. Second Abdominal CT Scan Showing Right-Sided Colonic Mass, Increasing in Size and Abutting IVC and Duodenum. Published with Permission

Figure 4. Coronal View of Second Abdominal CT Scan. Published with Permission

Right-sided colonic mass, increased in size, abutting the IVC and duodenum
Right-sided colonic mass, increased in size, abutting the IVC and duodenum

Figure 5. Second Colonoscopy Showing Progression of Intraluminal Process. Published with Permission

The patient was discussed again at the MDC meeting. Given the appearance of the lesion endoscopically and radiographically, the lack of definitive pathology with potential sampling error, and the presence of local lymphadenopathy and new liver lesions, it was determined that this process could be inflammatory, but to ignore potentially malignant characteristics would be detrimental. It was agreed to proceed with oncologic resection, and the patient was scheduled for an open right hemicolectomy, considering all of these elements.

The procedure was performed without any operative complications. During the operation, a short segment of small bowel adherent to the mass was resected en bloc with the suspected tumor; the IVC inferior vena cava (IVC) and duodenum were uninvolved. He was discharged on postoperative day 7 after a prolonged ileus in the postoperative period. Final pathology showed two areas of nodular colonic transmural acute inflammation, 2.0 × 1.0 cm and 2.4 × 2.0 cm in size, with mucosal ulceration, abundant filamentous bacterial colonies within an abscess, and fibrous adhesions consistent with actinomycosis. Twenty-three lymph nodes were harvested with the specimen, all negative for malignancy.

Discussion

Actinomycosis is an uncommon, chronic suppurative disease caused by the Actinomyces species. Israel first isolated the disease in 1878; the most frequent pathogen in humans, Actinomyces israelii, bears his name. Since then, more than 30 species of this filamentous gram-positive anaerobic bacteria have been identified worldwide. Actinomyces are not found in nature (soil or water) but rather in the normal oropharynx, gastrointestinal, and genital tract flora. Men are two to four times more likely to become infected than women and are most often middle-aged. There are four clinical forms of actinomycosis: the most common being cervicofacial (50%), followed by abdominopelvic (20%), thoracic (15-20%), joint, bone, and finally, cerebral involvements. Actinomycosis is typically localized to a single organ. There is no person-to-person transmission of the pathogen, and the portal of entry is usually by a break in the mucosa.

Actinomycosis typically infects immunocompetent patients and usually appears after surgery, trauma, neoplasia, dental procedures, aspiration of secretions, presence of an intrauterine device, or infections such as appendicitis or diverticulitis. Typically, there is no associated lymphadenopathy, and the disease tends to spread locally, invading the surrounding tissues; hematogenous spread is rare. Microscopically, Actinomyces organisms grow in clusters of tangled filaments and are surrounded by polymorphonuclear neutrophils. Acute to chronic inflammation with granulomatous tissue, extensive fibrosis, and fistulous tract formation are commonly present.

Culture makes the definitive diagnosis, but growth is slow, taking up to 15 to 20 days to continue the culture. Because of this, an incubation period of at least ten days is mandatory to rule out a positive test. Sulfur granules in the culture of purulent material also make the diagnosis definitive. Still, they are not pathognomonic to actinomycosis since they can also be found in nocardiosis, chromomycosis, eumycetoma, and botryomycosis. More recently, molecular techniques, such as 16S rRNA sequencing, have been developed, which allow direct detection of Actinomyces. The absence of sulfur granules does not exclude the diagnosis and is more frequent with cerebral infections.1

Abdominal actinomycosis is the most indolent of the clinical forms and can take years to diagnose. The infection has a high predilection for ileocecal involvement and is frequently mistaken for inflammatory bowel disease, chronic appendicitis, carcinoma, focal perforation (e.g., foreign object, fishbone), or tuberculosis (TB). As mentioned before, actinomycosis is typically localized to a single organ. A paucity of symptoms makes diagnosing even more difficult, as less than 10% of actinomycosis infections are diagnosed preoperatively. Laboratory and radiologic findings are nonspecific. Mild anemia and leucocytosis are commonly found. CT may show inflammation with infiltration of the surrounding tissue. If an abscess is present, aspiration can be a diagnostic and therapeutic tool by identifying sulfur granules and therefore avoiding a surgical procedure. Typical colonoscopic findings include mucosal ulceration, nodular lesions, and button-like elevation of an inverted appendiceal orifice. Biopsies often show nonspecific chronic inflammation.2

Anorectal actinomycosis is not uncommon and usually presents as perirectal or ischiorectal abscess, rectal stricture, and sinuses/fistulas. The source of infection is anal crypts and may extend intraabdominally. Pelvic actinomycosis is also described, occurring more commonly in women with intrauterine devices. Additionally, actinomycosis can preferentially affect the right adnexa (80%) by direct contact with an ileocecal infection. Rare cases of subdiaphragmatic, myocardial, lung abscesses, and cutaneous fistulas have also been reported. Gastric, hepatic, splenic, and renal involvement is extremely rare.

The gold standard treatment of actinomycosis is IV penicillin G (10 to 20 million units every 6 hours) for 6 to 12 months. Typically, the treatment should last one to two months after the complete resolution of the infection. Ceftriaxone is a good alternative for penicillin-allergic patients. If a polymicrobial infection is found, piperacillin-tazobactam is the agent of choice. Drug resistance is rarely seen with Actinomyces sp.3 The disease needs to be monitored by either imaging (CT scan or magnetic resonance imaging [MRI]) or endoscopy every four to six weeks or more frequently, depending on the patient’s progress. PET-CT has also been used to monitor the response to treatment but can be misleading and therefore needs to be used judiciously. Surgical debridement may be required if the patient fails to respond to antimicrobial treatment. Usually, a combined medical-surgical approach is used for actinomycosis involving the abdomen, pelvis, chest, and brain. Surgical resection is recommended for failure of medical management, symptomatic stenosis, necrosis, fistulas, or sinus tracts. Finally, if there is any suspicion for malignancy, the affected part of the intestinal tract should be resected oncologically. Cure rate and long-term prognosis are excellent; once treatment is completed, there is no recommended long-term follow-up. There are no known cases of malignant degeneration of actinomycosis yet, nor specific measures for preventing the infection. Clinicians should encourage patients to keep good oro-dental hygiene and be aware that patients with a mucosal barrier breach are at risk of infection.

Conclusion

Actinomycosis is a rare bacterial infection found in humans from the Actinomyces species. There is no person-to-person transmission, and patients are at risk for infection after a break in the mucosal barrier. Abdominal actinomycosis typically involves the ileocecal region and is frequently mistaken for IBD, malignancy, or appendicitis. Laboratory, radiologic, and endoscopic findings are nonspecific, and diagnosis is made after surgery in 90% of cases. The infection typically invades the surrounding tissue without hematogenous or lymphatic spread. A definitive diagnosis is made with the identification of sulfur granules in the abscess culture.

Lessons Learned

Surgeons should have a high index of suspicion for actinomycosis in right-sided colonic lesions with chronic inflammation on biopsies. Malignancy should always be ruled out since actinomycosis is a rare infection. If neoplasm is not found, the primary treatment consists of long-term administration of penicillin G or amoxicillin/clavulanic acid and monitoring the response. If the patient is symptomatic or found to have a complication from the disease, surgery may be required.

Authors

Gagnon-Konamna M, Abcarian A

Author Affiliations

John H. Stroger Hospital of Cook County, Chicago, IL 60612

Corresponding Author

Marianne Gagnon-Konamna, MD
Colon and Rectal Surgery
John H. Stroger Hospital of Cook County
1969 W. Ogden Avenue
Chicago, IL 60612
Email: konamna@me.com

Disclosure Statement

The authors have no conflicts of interest to disclose.

Funding/Support

The authors have no relevant financial relationships or in-kind support to disclose.

Received: February 20, 2021
Revision received: April 21, 2021
Accepted: August 19, 2021

References

  1. Smego RA Jr, Foglia G. Actinomycosis. Clin Infect Dis. 1998;26(6):1255-1263. doi:10.1086/516337
  2. Valour F, Sénéchal A, Dupieux C, et al. Actinomycosis: etiology, clinical features, diagnosis, treatment, and management. Infect Drug Resist. 2014;7:183-197. Published 2014 Jul 5. doi:10.2147/IDR.S39601
  3. Hamid D, Baldauf JJ, Cuenin C, Ritter J. Treatment strategy for pelvic actinomycosis: case report and review of the literature. Eur J Obstet Gynecol Reprod Biol. 2000;89(2):197-200. doi:10.1016/s0301-2115(99)00173-6
  4. Wong VK, Turmezei TD, Weston VC. Actinomycosis. BMJ. 2011;343:d6099. Published 2011 Oct 11. doi:10.1136/bmj.d6099
  5. Cintron JR, Del Pino A, Duarte B, Wood D. Abdominal actinomycosis. Dis Colon Rectum. 1996;39(1):105-108. doi:10.1007/BF02048278