Unsupported Browser
The American College of Surgeons website is not compatible with Internet Explorer 11, IE 11. For the best experience please update your browser.
Menu
Become a member and receive career-enhancing benefits

Our top priority is providing value to members. Your Member Services team is here to ensure you maximize your ACS member benefits, participate in College activities, and engage with your ACS colleagues. It's all here.

Become a Member
Become a member and receive career-enhancing benefits

Our top priority is providing value to members. Your Member Services team is here to ensure you maximize your ACS member benefits, participate in College activities, and engage with your ACS colleagues. It's all here.

Become a Member
ACS
ACS Case Reviews

Gastric Outlet Obstruction Secondary to an Incarcerated Pylorus in an Umbilical Port Site Hernia

January 31, 2024

Abstract

Background

An 81-year-old woman presents with a gastric outlet obstruction secondary to an incarcerated pylorus in an umbilical port site hernia.

Summary

An 81-year-old woman presented with a syncopal event precipitated by an altered mental state. She was initially worked up as a cerebrovascular accident due to her initial symptomatology. On further investigation, her biochemical profile showed a classic metabolic derangement for gastric outlet obstruction. She subsequently underwent further evaluation with a CT abdomen which showed an extremely uncommon finding of an incarcerated umbilical port site hernia containing the pylorus. After electrolyte and hemodynamic resuscitation, she underwent an open mesh repair of the hernia. Her post-operative recovery was uneventful, and she was transferred to a rehabilitation facility prior to discharge home. Incisional hernias at laparoscopic port sites are common; however, they are usually small, reducible, and asymptomatic. The contents of these hernias range from omental fat to small/large bowel; however, we report a rare case of gastric outlet obstruction secondary to incarceration of the pylorus in an umbilical port site hernia. This case underscores the need to be cautious when dealing with port site hernias as they have the potential to contain the stomach, which can have life-threatening complications when incarcerated.

Conclusion

Incisional hernias at laparoscopic port sites are common. We present a rare case of gastric outlet obstruction secondary to incarceration of the pylorus in an umbilical port site hernia. This emphasizes the need to be cautious with port site hernias as they can contain the stomach, which can have life-threatening complications like gastric outlet obstruction when incarcerated. A higher degree of suspicion should be exercised in the geriatric population as they are at a greater risk of stomach herniation due to potential gastric ligamentous laxity.

Key Words

port site hernia; incarcerated pylorus; gastric outlet obstruction


Case Description

Incisional hernias at laparoscopic surgery port sites are known as port site hernias (PSH) and were first described by Maio et al. in 1991.1,2 Their incidence is anywhere between 0.14% to 22%.3 PSH are usually small, asymptomatic, and easily reducible. Their contents can range from omentum to intra-abdominal viscera like small and/or large bowel.3,4 We report a rare case of gastric outlet obstruction secondary to incarceration of the pylorus in an umbilical PSH.

An independent 81-year-old woman from home presented to the emergency department following a syncopal event precipitated by increasing confusion. Due to her symptomatology, an intracranial cause was suspected, and a computed tomography (CT) scan of her head was done, which showed no abnormality. Altered mental status precluded a detailed history, but collateral history from the next of kin suggested repeated vomiting associated with upper abdominal pain. Her past medical history included hypertension and atrial fibrillation. She had a laparoscopic cholecystectomy 30 years ago and is known to have a large umbilical port site hernia.

On examination, the patient appeared confused and dehydrated. She was afebrile, normotensive, and saturating well on room air, with an irregular pulse of 130, suggesting atrial fibrillation. Abdominal examination demonstrated a large ventral hernia that measured approximately 15 cm in diameter with overlying thin and mildly erythematous skin. The hernia was minimally tender and irreducible. The rest abdominal examination was unremarkable.

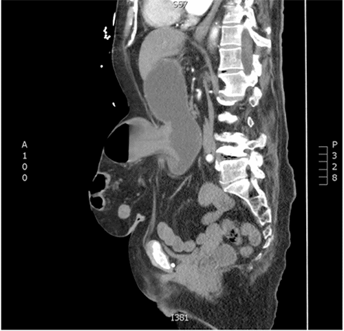
She underwent hematological and biochemical investigations as well as further imaging in the emergency department. Her hematological investigations revealed an elevated white cell count at 12.20 × 109/L. Her biochemical investigations showed an elevated C-reactive protein at 310, alkalosis with a pH of 7.49, hypernatremia, hypokalaemia, and an elevated creatinine of 264. She was in hypochloraemic, hypokalaemic metabolic alkalosis which is characteristic of a gastric outlet obstruction. Her CT abdomen and pelvis scan with intravenous contrast demonstrated a large umbilical hernia containing the pylorus and a loop of transverse colon. The radiological fascial defect was 5.2 × 5.9 cm.

Figure 1. CT Scan Showing Large Ventral Hernia Containing Pylorus and Bowel. Published with Permission

Following the investigations, the patient was diagnosed with incarcerated umbilical port site causing gastric outlet obstruction and was admitted to the acute surgical unit for further management. Initial management included inserting a nasogastric tube, fluid resuscitation, correcting her electrolyte abnormalities, and commencing her on an amiodarone infusion to rate control her atrial fibrillation. Once the patient was deemed hemodynamically stable, she underwent operative management of the large umbilical hernia under general anesthesia. The operative findings included a large umbilical incisional hernia with omentum, distal stomach, caecum, appendix, ascending and transverse colon in it as well as adhesions between the hernia content and neck. There was no gastric or colonic perforation or ischemia within the hernia sac. The hernia sac was dissected off the subcutaneous tissues till the neck and contents of the sac were reduced with adhesiolysis. An Ultrapro mesh was used to perform a retro-rectus repair of the ventral hernia.

Figure 2. Preoperative Image of Large Ventral Hernia. Published with Permission

Postoperatively, the patient recovered well on the ward and was eventually transferred to a geriatric rehab facility to ensure a return to baseline functioning prior to discharge home.

Discussion

Umbilical hernias are a common condition among adults, with a prevalence of approximately 2%.5 It is defined as a midline abdominal wall defect that occurs 3 cm superior or inferior to the umbilicus.6 Most adult umbilical hernias are acquired due to increased intraabdominal pressure or iatrogenic causes.7 A form of iatrogenic umbilical hernias is umbilical port site hernias (PSH) which are common.8 The contents of these hernia sacs are usually omentum, pre-peritoneal fat, or bowel.5 The unique feature of our case is the presence of gastric herniation which resulted in gastric outlet obstruction. A literature review revealed that the umbilical site of gastric herniation and pylorus incarceration is a rare phenomenon, with less than five cases reported worldwide.9-11 Unlike our case, these cases were not incisional hernias, making our case the first reported case of gastric herniation and pylorus incarceration in an umbilical port site hernia resulting in gastric outlet obstruction. It can be hypothesized that a combination of umbilical port sites having a higher risk of hernias due to their larger sizes8 and the potential gastric ligamentous laxity in the elderly population could have contributed to our patient presentation.9 Given the significant morbidity and mortality from this, the possibility of gastric herniation should be considered in all patients with a history of an umbilical incisional hernia; however, a higher degree of suspicion should be exercised in geriatric patients. Early identification will reduce morbidity by reducing the severity of the electrolyte derangements and prompt surgical management.

Conclusion

Incisional hernias at laparoscopic port sites are common. We present a rare case of gastric outlet obstruction secondary to incarceration of the pylorus in an umbilical port site hernia. This emphasizes the need to be cautious with port site hernias as they can contain the stomach, which can have life-threatening complications like gastric outlet obstruction when incarcerated. A higher degree of suspicion should be exercised in the geriatric population as they are at a greater risk of stomach herniation due to potential gastric ligamentous laxity.

Lessons Learned

Port site hernias must be treated with caution as they have the potential to contain the stomach, which can result in life-threatening complications like gastric outlet obstruction when incarcerated. The geriatric population has a higher risk of gastric herniation due to potential gastric ligamentous laxity.

Authors

Boyapati N; Trivedi A

Author Affiliations

Acute Surgical Unit, Fiona Stanley Hospital, Murdoch WA 6150, Australia

Corresponding Author

Nikitha Boyapati, MD
Acute Surgical Unit
11 Robin Warren Drive
Murdoch WA 6150
Australia

Disclosure Statement

The authors have no conflicts of interest to disclose.

Funding/Support

The authors have no relevant financial relationships or in-kind support to disclose.

Received: September 14, 2021
Revision received: February 1, 2022
Accepted: February 7, 2022

References

  1. Jayaraman S, Rao SD. Case Series of Umbilical and Extra-umbilical Port Site Herniae. Indian J Surg. 2013;75(Suppl 1):488-491. doi:10.1007/s12262-013-0881-9
  2. Maio A, Ruchman RB. CT diagnosis of postlaparoscopic hernia. J Comput Assist Tomogr. 1991;15(6):1054-1055. doi:10.1097/00004728-199111000-00032
  3. Hussain A, Mahmood H, Singhal T, Balakrishnan S, Nicholls J, El-Hasani S. Long-term study of port-site incisional hernia after laparoscopic procedures. JSLS. 2009;13(3):346-349
  4. Singh P, Kaushik R, Sharma R. Umbilical port hernia following laparoscopic cholecystectomy. J Minim Access Surg. 2006;2(1):29-30. doi:10.4103/0972-9941.25675
  5. Velasco MA, Garcia-Urefial MA, Hidalgo MM, Vega V, Carnero FJ. Current concepts on adult umbilical hernia. Hernia. 1999;3(4):233-239.
  6. Muysoms FE, Miserez M, Berrevoet F, et al. Classification of primary and incisional abdominal wall hernias. Hernia. 2009;13(4):407-414. doi:10.1007/s10029-009-0518-x
  7. Salameh JR. Primary and unusual abdominal wall hernias. Surg Clin North Am. 2008;88(1):45-viii. doi:10.1016/j.suc.2007.10.004
  8. Helgstrand F, Rosenberg J, Bisgaard T. Trocar site hernia after laparoscopic surgery: a qualitative systematic review. Hernia. 2011;15(2):113-121. doi:10.1007/s10029-010-0757-x
  9. Bryk D. Gastric involvement in abdominal wall hernias. Gastrointest Radiol. 1984;9(4):311-314. doi:10.1007/BF01887858
  10. Sampaio R, Ferreira M. Umbilical hernia of stomach. Eur Radiol. 1998;8(4):568-570. doi:10.1007/s003300050435
  11. Thomas JD, Monaghan TM, Saeed A, Khan F. Umbilical herniation of the stomach. QJM. 2012;105(10):1025-1026. doi:10.1093/qjmed/hcr163