Unsupported Browser
The American College of Surgeons website is not compatible with Internet Explorer 11, IE 11. For the best experience please update your browser.
Menu
Become a member and receive career-enhancing benefits

Our top priority is providing value to members. Your Member Services team is here to ensure you maximize your ACS member benefits, participate in College activities, and engage with your ACS colleagues. It's all here.

Become a Member
Become a member and receive career-enhancing benefits

Our top priority is providing value to members. Your Member Services team is here to ensure you maximize your ACS member benefits, participate in College activities, and engage with your ACS colleagues. It's all here.

Become a Member
ACS
ACS Case Reviews

Decades Old: A Paraspinal Tumor with Intrathoracic Extension and Pathologic Features of Neurofibroma and Schwannoma

October 20, 2023

Abstract

Background

We present an interesting case of a peripheral nerve sheath tumor extending from the neural foramen of T2 into the pleural space. The mass was initially asymptomatic, but decades after diagnosis, the patient developed neurologic sequelae warranting surgical resection. Final pathology identified this mass as containing features of both neurofibroma and schwannoma.

Summary

A 67-year-old healthy female presented for evaluation in the office with an asymptomatic thoracic paraspinal mass found incidentally on imaging following evaluation of a work injury. She elected conservative management but unfortunately developed neurological deficits with gait difficulties three decades later. Magnetic resonance imaging (MRI) was repeated, which demonstrated compression of the spinal cord with narrowing of the T2–T3 foramen and nerve root compression. Surgical resection was planned in a two-stage procedure: First, a debulking of the mass compressing the spinal cord to resolve the mass effect was performed by neurosurgery. Pathology from this surgery revealed neurofibroma. The second stage of surgery resulted in the complete removal of the residual tumor via thoracotomy. The specimen was ultimately classified as a schwannoma.

Conclusion

Peripheral nerve sheath tumors are common, but the uncommon location, presentation, and combination pathology of this tumor presented a unique blend of features for this case. The patient underwent a multidisciplinary, staged resection for the complete resolution of symptoms. Although masses may be asymptomatic for decades, follow-up and prompt re-evaluation of the progression of peripheral nerve sheath tumors once symptoms develop should be undertaken for optimal outcomes. Postoperative outcomes are positive, with improvement in symptoms and a low risk of recurrence. Appropriate surgical planning with a multidisciplinary approach tailored to the patient may be required for optimal outcomes.

Key Words

paraspinal tumors; thoracic; schwannoma


Case Description

A 67-year-old woman was incidentally found to have an asymptomatic thoracic paraspinal tumor. Magnetic resonance imaging (MRI) of the thoracic spine performed for an unrelated work injury showed an extradural, lobulated mass originating in the right neural foramen of T2, with extension into the right pleural cavity and posterior mediastinum. The mass measured 5.2 × 4.7 × 3.6 cm, and a mild mass effect was seen on the right posterior trachea and adjacent lung. However, it was also well-circumscribed and homogenously enhancing with no evidence of associated osseous destruction or mass effect on the spinal cord, suggestive of a benign peripheral nerve sheath tumor (PNST [Figure 1]). Given that her asymptomatic and benign pathology was suggested by imaging, the patient elected for conservative management with routine surveillance.

The patient was followed for 30 years without progression and had a repeat MRI, which showed stability of the mass (Figure 2). Over a few months, the patient noticed difficulty walking and numbness in the torso and lower extremities. She was re-evaluated in the office, where her neurologic constellation of symptoms included vague decreased sensation below the level of T4, unsteady balance, and abnormal plantar (Babinski) reflex. No focal motor deficits were present in the lower extremities. A repeat MRI was then obtained at the time of showing an increase in the size of the mass compared to before (Figure 2), with growth inwards, causing a significant mass effect on the spinal canal and moderate to severe compression of the spinal cord. It also caused severe right neural foraminal narrowing at the level of T2–T3, resulting in nerve-root impingement (Figure 2).

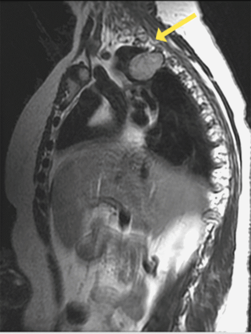
Figure 1. MRI: Axial T2-Weighted Image. Published with Permission

A. Thoracic spine at the level of T2, demonstrating right-sided mass extending out of the T2 neural foramen (arrow) and into the thoracic cavity.
A. Thoracic spine at the level of T2, demonstrating right-sided mass extending out of the T2 neural foramen (arrow) and into the thoracic cavity.
B. Sagittal T2 image shows the mass extending into the right hemithorax (inferior to arrow).
B. Sagittal T2 image shows the mass extending into the right hemithorax (inferior to arrow).

Figure 2. Repeat MRI in Routine Office Follow-Up: Sagittal FLAIR Sequence. Published with Permission

A. The mass essentially unchanged in size from the prior study, about five years prior.
A. The mass essentially unchanged in size from the prior study, about five years prior.
B. Patient subsequently developed neurologic sequelae and was sent for repeat axial T2-weighted image, which demonstrates interval increase in the size of the mass (asterisk), which now extends into the spinal canal and causes mass effect on the cord (arrow).
B. Patient subsequently developed neurologic sequelae and was sent for repeat axial T2-weighted image, which demonstrates interval increase in the size of the mass (asterisk), which now extends into the spinal canal and causes mass effect on the cord (arrow).

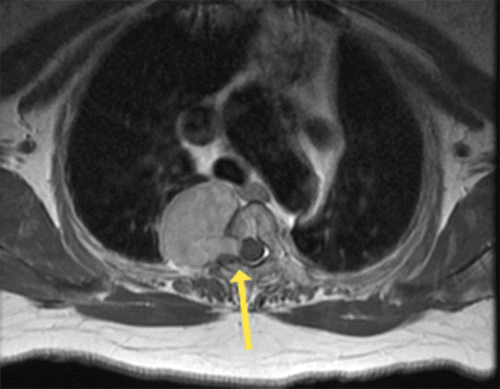
Figure 3. MRI Obtained After First Stage of Resection. Published with Permission

Axial T2-weighted image after the first stage of resection shows relief of mass effect on the spinal cord (arrow).
Axial T2-weighted image after the first stage of resection shows relief of mass effect on the spinal cord (arrow).

The surgical plan was complete resection of the mass in two stages. Neurosurgery planned initial surgery as a laminectomy at T2 for debulking and resection of the intraspinal component to decompress the spinal cord and remove the tumor through the foramen. Resection of the intraspinal portion of the mass resulted in resolution of the mass effect upon the spinal cord with partial relief of symptoms. After the first stage of resection, a repeat MRI showed residual components of the mass extending out of the right neural foramen of T2 into the right hemithorax but significant decompression of the spinal cord (Figure 3). Pathology of the spinal tumor specimen from the first stage of surgery was classified as a neurofibroma. Histology confirmed spindle cells arranged in fascicles and bundles with background collagen stroma; no features of schwannoma were seen (no peripheral palisading, Antoni A or B areas).

A planned combined approach was scheduled for the second stage of resection. After resection of 85% to 90% of the intrathoracic portion of the mass by cardiothoracic surgery via posterolateral thoracotomy, neurosurgery completed the resection of any remaining tumor under microscopy. The patient was continuously monitored using somatosensory evoked potentials during the procedure and remained stable for the duration of the surgery. The final pathology confirmed negative margins and revealed a 5.3 × 2.5 × 3.0 cm mass with a light-tan cut surface with areas of yellow discoloration. Further histologic evaluation was also performed and confirmed this to be a schwannoma due to the presence of peripheral palisades and Antoni A and B bodies. Immunostaining demonstrated strong S100 staining in the cells, which were negative for smooth muscle actin and desmin. The patient had an unremarkable postoperative course and has continued to do well without symptoms on routine follow-up. Repeat imaging was performed one year after resection and confirmed complete resection of the mass without evidence of recurrence.

Discussion

Benign PNSTs are rare tumors that can involve any peripheral nerve. When arising from nerve roots, they are classified as paraspinal PNSTs. These are frequently asymptomatic and can be large before symptoms occur.1 In fact, paraspinal PNSTs frequently invade the posterior mediastinum and may rarely involve other mediastinal compartments, the parenchyma of the lung, or extend intrathoracically, as with our patient. Care must be taken to differentiate schwannoma and neurofibromas from malignant varieties of PNST. Schwannomas comprise approximately 65% of PNSTs, while malignant PNSTs compromise only 5% of PNSTs.2 Clinical suspicion should be raised in patients presenting with multiple neurofibromas or schwannomas, given their association with inherited genetic disorders (like neurofibromatosis type 1, neurofibromatosis type 2, and schwannomatosis). It is extremely rare for both histologic types of PNSTs to be identified within a single specimen; however, the classification of both neurofibroma and schwannoma in a single mass has been referred to as a "hybrid schwannoma-neuroma" or "eurofibroma with Schwann cell nodules" by Feany and colleagues in only nine reported cases (Table 1).3

Schwannoma

Neurofibroma

Genetics

  • May be sporadic
  • Associated with Neurofibromatosis Type 2 or Schwannomatosis
  • May be sporadic
  • Associated with Neurofibromatosis Type 1

Composition

Schwann cells4

Mix of Schwann cells, perineural-like cells, fibroblasts, mixed with nerve fibers, collagen and myxoid matrix4,5

Most common location

Cervical and lumbar spine4,5

Cervical spine4,5

Presentation

  • Asymptomatic/incidental
  • Palpable mass/pain
  • Hemorrhage
  • Neurologic symptoms4,5
  • Often young (2030 years) Asymptomatic/incidental
  • Palpable mass/pain
  • Neurologic symptoms6

Imaging

  • CT: difficult to differentiate from adjacent muscle
  • MRI: delineates involvement of nerve and adjacent structures, no pathognomonic characteristics to any tumor [T2 imaging may show central hypodense region (“target sign”) in neurofibroma]
  • Malignant features: rapid expansion, inhomogenous enhancement, hemorrhage, necrosis, heterogenous signal, size >5cm, ill-defined margins, invasion of fat plans, peritumoral edema

Involvement of nerve

Does not invade the nerve fascicle

Intratumoral nerve fibers (invades the nerve)

Malignant potential

Do NOT undergo malignant transformation

Can undergo malignant transformation

Table 1. Comparison of Features of Schwannoma Versus Neurofibroma. Published with Permission

Schwannoma

Neurofibroma

Genetics

  • May be sporadic
  • Associated with Neurofibromatosis Type 2 or Schwannomatosis
  • May be sporadic
  • Associated with Neurofibromatosis Type 1

Composition

Schwann cells4

Mix of Schwann cells, perineural-like cells, fibroblasts, mixed with nerve fibers, collagen and myxoid matrix4,5

Most common location

Cervical and lumbar spine4,5

Cervical spine4,5

Presentation

  • Asymptomatic/incidental
  • Palpable mass/pain
  • Hemorrhage
  • Neurologic symptoms4,5
  • Often young (2030 years) Asymptomatic/incidental
  • Palpable mass/pain
  • Neurologic symptoms6

Imaging

  • CT: difficult to differentiate from adjacent muscle
  • MRI: delineates involvement of nerve and adjacent structures, no pathognomonic characteristics to any tumor [T2 imaging may show central hypodense region (“target sign”) in neurofibroma]
  • Malignant features: rapid expansion, inhomogenous enhancement, hemorrhage, necrosis, heterogenous signal, size >5cm, ill-defined margins, invasion of fat plans, peritumoral edema

Involvement of nerve

Does not invade the nerve fascicle

Intratumoral nerve fibers (invades the nerve)

Malignant potential

Do NOT undergo malignant transformation

Can undergo malignant transformation

Not all PNSTs require surgical intervention. Observation with monitoring may be appropriate in asymptomatic tumors with no suspicion for malignancy; subcutaneous neurofibromas, dermal neurofibromas, plexiform neurofibromas with low suspicion for malignancy; nonneoplastic tumors; and minimal symptoms in older, medically unfit, or debilitated patients.7 Indications for surgery include disfigurement, bleeding, pain, neurologic deficit, and suspicion for malignancy.8,9 In contrast, PNSTs located in the posterior mediastinal are treated with complete surgical excision regardless of symptomatology.1 This may be performed via thoracoscopic or open approach and may require a combined approach by a team of thoracic and neurosurgeons if intraspinal extension is present.11,12 As presented in this case, the neurosurgical portion is typically performed first in order to decompress the spinal cord and improve or resolve symptoms.13-15 Earlier surgical intervention in this case may have allowed for a minimally invasive approach and/or a single-stage procedure to minimize morbidity.

Planning for surgical resection of these tumors requires accurate and detailed preoperative imaging to determine the extent of the tumor and its relationship to surrounding structures. Magnetic resonance imaging (MRI) is the best imaging modality to evaluate these tumors to define their size, shape, extent, border, and relationship to the adjoining nerve and surrounding structures.16 Contrast enhancement with gadolinium assists in identifying the extent of the tumor and areas of blood-brain barrier breakdown.16 Of note, MRI may not help distinguish between schwannoma and neurofibroma, as few specific radiological characteristics distinguish these peripheral nerve sheath tumors (Table 1). Worrisome radiographic features of malignant PNST include increasing tumor size over time, tumor size greater than 5 cm, ill-defined margins, lack of target sign, and tumor heterogeneity with central necrosis.6

Ultimately, the definitive preoperative distinction between neurofibroma and schwannoma may be unnecessary, as the two types of PNSTs are similarly managed with surgery when symptomatic. Surgical resection should be individualized to the location of the tumor and the patient's comorbid conditions. In addition, a multidisciplinary approach involving multiple surgical specialties may be required, as was necessary for complete resection in this case. There is an extensive array of described approaches to surgical resection, including transcervical, thoracotomy, thoracoscopic, retroperitoneal resection, dorsal interlaminar, and intercostal fenestration.1,17,18 Outcomes are generally quite good in this population. Total resection is recommended for symptomatic improvement; given the slow growth of PNSTs, recurrence is uncommon even following subtotal resection.19

Conclusion

Paraspinal PNSTs are frequently discovered incidentally but may develop symptoms over time. Indications for surgical resection include disfigurement, bleeding, pain, neurologic deficit, or inability to rule out malignancy. PNSTs located in the posterior mediastinum should also be completely resected. Planning for surgical resection of these tumors requires accurate and detailed preoperative imaging to determine the extent of the tumor and its relationship to surrounding structures. Our interesting case of a large paraspinal mass with intrathoracic extension from the neural foramen of T2 was exceptional in its acute evolution after three decades without progression on routine follow-up. In addition, the combined histologic makeup and intrathoracic extension of the tumor make this a unique case. Surgical resection by multidisciplinary surgical teams should be tailored to the patient for optimal outcomes.

Lessons Learned

PNSTs are most commonly classified as either benign neurofibroma or schwannoma. However, the differential diagnosis should include several other benign and less commonly malignant pathologies. Any rapid progression in size or symptoms is concerning for malignancy and warrants evaluation for resection. Postoperative outcomes are positive, with improvement in symptoms and a low risk of recurrence. Appropriate surgical planning with a multidisciplinary approach tailored to the patient may be required for optimal outcomes.

Authors

Zipple MKa; Bankhead-Kendall Bb; Wolak Ma; Caralis Ja

Author Affiliations

  1. Department of General Surgery, St. Joseph Mercy Oakland, Pontiac, MI 48341
  2. Department of Surgery and Perioperative Services, University of Texas at Austin-Dell Medical School, Austin, TX 78712

Corresponding Author

Monica K. Zipple, MD
44405 Woodward Avenue
Pontiac, MI 48341
Email: monica.zipple@stjoeshealth.org

Disclosure Statement

The authors have no conflicts of interest to disclose.

Funding/Support

The authors have no relevant financial relationships or in-kind support to disclose.

Received: November 4, 2020
Revision received: December 16, 2020
Accepted: February 1, 2021

References

  1. Krätzig T, Dreimann M, Klingenhöfer M, Floeth FW, Krajewski K, Eicker SO. Treatment of large thoracic and lumbar paraspinal schwannoma. Acta Neurochir (Wien). 2015;157(3):531-538. doi:10.1007/s00701-014-2320-5
  2. Thakkar SD, Feigen U, Mautner VF. Spinal tumours in neurofibromatosis type 1: an MRI study of frequency, multiplicity and variety. Neuroradiology. 1999;41(9):625-629. doi:10.1007/s002340050814
  3. Feany MB, Anthony DC, Fletcher CD. Nerve sheath tumours with hybrid features of neurofibroma and schwannoma: a conceptual challenge. Histopathology. 1998;32(5):405-410. doi:10.1046/j.1365-2559.1998.00419.x
  4. Skovronsky DM, Oberholtzer JC. Pathologic classification of peripheral nerve tumors. Neurosurg Clin N Am. 2004;15(2):157-166. doi:10.1016/j.nec.2004.02.005
  5. Pilavaki M, Chourmouzi D, Kiziridou A, Skordalaki A, Zarampoukas T, Drevelengas A. Imaging of peripheral nerve sheath tumors with pathologic correlation: pictorial review. Eur J Radiol. 2004;52(3):229-239. doi:10.1016/j.ejrad.2003.12.001
  6. Brooks DG. The neurofibromatoses: hereditary predisposition to multiple peripheral nerve tumors. Neurosurg Clin N Am. 2004;15(2):145-155. doi:10.1016/j.nec.2004.02.008
  7. Golan JD, Jacques L. Nonneoplastic peripheral nerve tumors. Neurosurg Clin N Am. 2004;15(2):223-230. doi:10.1016/j.nec.2004.02.001
  8. Hirose T, Scheithauer BW, Sano T. Perineurial malignant peripheral nerve sheath tumor (MPNST): a clinicopathologic, immunohistochemical, and ultrastructural study of seven cases. Am J Surg Pathol. 1998;22(11):1368-1378. doi:10.1097/00000478-199811000-00007
  9. Tiel R, Kline D. Peripheral nerve tumors: surgical principles, approaches, and techniques. Neurosurg Clin N Am. 2004;15(2):167-vi. doi:10.1016/j.nec.2004.02.003
  10. Thurer RJ, Herskowitz K. Open approaches to posterior mediastinal tumors and the spine. Chest Surg Clin N Am. 1996;6(1):117-138.
  11. Hazelrigg SR, Boley TM, Krasna MJ, Landreneau RJ, Yim AP. Thoracoscopic resection of posterior neurogenic tumors. Am Surg. 1999;65(12):1129-1133.
  12. Popp J, Moores DW. Excision of hourglass tumors of the paravertebral sulcus. In: Shields TW, LoCiceroJ III, Ponn RB, eds. General Thoracic Surgery. Vol 2. 5th ed. Philadelphia, Pa: Williams and Wilkins. 2000, 2329-32.
  13. Pons F, Lang-Lazdunski L, Bonnet PM, Meyrat L, Jancovici R. Videothoracoscopic resection of neurogenic tumors of the superior sulcus using the harmonic scalpel. Ann Thorac Surg. 2003;75(2):602-604. doi:10.1016/s0003-4975(02)04160-7
  14. Akwari OE, Payne WS, Onofrio BM, Dines DE, Muhm JR. Dumbbell neurogenic tumors of the mediastinum. Diagnosis and management. Mayo Clin Proc. 1978;53(6):353-358.
  15. Ricci C, Rendina EA, Venuta F, Pescarmona EO, Gagliardi F. Diagnostic imaging and surgical treatment of dumbbell tumors of the mediastinum. Ann Thorac Surg. 1990;50(4):586-589. doi:10.1016/0003-4975(90)90194-b
  16. Beall DP, Googe DJ, Emery RL, et al. Extramedullary intradural spinal tumors: a pictorial review. Curr Probl Diagn Radiol. 2007;36(5):185-198. doi:10.1067/j.cpradiol.2006.12.002
  17. Finley D, Sherman JH, Avila E, Bilsky M. Thorascopic resection of an apical paraspinal schwannoma using the da Vinci surgical system. J Neurol Surg A Cent Eur Neurosurg. 2014;75(1):58-63. doi:10.1055/s-0033-1345687
  18. Lee SE, Jahng TA, Kim HJ. Different Surgical Approaches for Spinal Schwannoma: A Single Surgeon's Experience with 49 Consecutive Cases. World Neurosurg. 2015;84(6):1894-1902. doi:10.1016/j.wneu.2015.08.027
  19. Sowash M, Barzilai O, Kahn S, McLaughlin L, Boland P, Bilsky MH, Laufer I. Clinical outcomes following resection of giant spinal schwannomas: a case series of 32 patients. J Neurosurg Spine. 2017;26(4):494-500. doi:10.3171/2016.9.SPINE16778