Unsupported Browser
The American College of Surgeons website is not compatible with Internet Explorer 11, IE 11. For the best experience please update your browser.
Menu
Become a member and receive career-enhancing benefits

Our top priority is providing value to members. Your Member Services team is here to ensure you maximize your ACS member benefits, participate in College activities, and engage with your ACS colleagues. It's all here.

Become a Member
Become a member and receive career-enhancing benefits

Our top priority is providing value to members. Your Member Services team is here to ensure you maximize your ACS member benefits, participate in College activities, and engage with your ACS colleagues. It's all here.

Become a Member
ACS
ACS Case Reviews

Small Bowel Obstruction Due to NSAID-Induced Jejunal Enteropathy

October 20, 2023

Abstract

Background

A 62-year-old male patient presented with small bowel obstruction (SBO) secondary to nonsteroidal anti-inflammatory drug (NSAID)-induced enteropathy of the jejunum.

Summary

Our patient was a 62-year-old male who presented with recurrent periumbilical pain that he described as "achy and crampy" in nature. Imaging at the time of presentation showed evidence of small bowel obstruction (SBO) with a transition zone detected in the right lower quadrant. The patient was taken to the operating room for diagnostic laparoscopy, revealing what appeared to be a transition point at the site of an abdominal adhesion from the small bowel to the anterior abdominal wall. The adhesion was taken down laparoscopically, and the patient was discharged after an uneventful postoperative course. The patient returned to the emergency department one month later with similar symptoms. Repeat computed tomography (CT) imaging showed evidence of SBO with similar findings as prior. The patient underwent exploratory laparotomy, revealing a transition point in the jejunum with no gross changes but a palpable intraluminal irregularity. The portion of involved small bowel was resected, and the final pathology revealed circumferential submucosal fibrosis consistent with nonsteroidal anti-inflammatory drug (NSAID) induced enteropathy. Upon review, it was noted that the patient had been on a daily regimen of 75 mg of diclofenac for six months as well as low-dose aspirin. SBO caused by enteropathy is thought to be underreported as a side effect of nonsteroidal anti-inflammatory drugs. This pathology can be difficult to diagnose and provides a rare example in which the benefit to laparotomy outweighs that of laparoscopy for appropriate diagnosis if preoperative workup is inconclusive.

Conclusion

We present a case of recurrent SBO caused by NSAID-induced enteropathy that was only identified after manually running the bowel during an exploratory laparotomy. This highlights the diagnostic difficulties common to this pathology and described by several other authors. Diaphragm disease is an important cause of SBO to consider in a patient with a history of long-term NSAID use in the absence of other more common etiologies, as it often requires laparotomy or capsule endoscopy for diagnosis.

Key Words

NSAID-induced enteropathy; small bowel obstruction; diaphragm disease


Case Description

Nonsteroidal anti-inflammatory drugs (NSAIDs) are an underreported cause of small bowel disease often resulting in circumferential submucosal ulceration and fibrosis.1-3 When this pathology manifests as a small bowel obstruction (SBO), it is usually due to diaphragm-like lesions that can narrow the lumen of the intestine to a pinpoint diameter.3,4 We present a case of SBO caused by NSAID-induced ileal submucosal fibrosis without overt diaphragm formation.

Our patient was a 62-year-old male with a past medical history of chronic low back pain, which had been previously treated with 75 mg of diclofenac daily up until about four months prior to presentation. The patient also was taking 40 mg of pantoprazole for dyspepsia and 81 mg of aspirin daily. The patient 's previous surgical history included a triple coronary artery bypass three years prior and a right carpal tunnel release. The patient had a history of several visits to the emergency department (ED) for abdominal complaints. Computed tomography (CT) for those visits had been unremarkable until a presentation just four months prior, in which he had evidence of SBO. He was treated with conservative measures then and discharged home successfully.

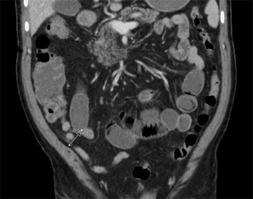
Four months after that discharge, he again presented for nausea and diffuse abdominal pain. At this visit, CT of the abdomen and pelvis showed mid and distal small bowel distention with air-fluid levels and a transition zone in the right lower quadrant (Figure 1). Due to the previous failure of medical management, it was decided to proceed to the operating room for surgical management. Diagnostic laparoscopy demonstrated an omental adhesion attached to the anterior abdominal wall near the umbilicus. The small bowel mesentery appeared to swirl around this adhesion, causing a mechanical obstruction. Adhesiolysis was performed, and the bowel was laparoscopically inspected in its entirety from the cecum to the duodenum. No other evidence of injury or pathology was noted. The patient's postoperative course was unremarkable, with good return of bowel function.

Figure 1. Coronal CT scan. Published with Permission

Transition point at arrow in the left lower quadrant. This finding would subsequently lead to laparoscopy.
Transition point at arrow in the left lower quadrant. This finding would subsequently lead to laparoscopy.

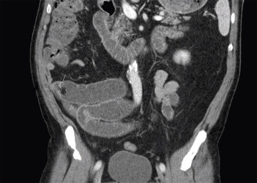
The patient again presented to the ED one month after surgery with recurrent symptoms. Imaging showed dilated small bowel with a similar appearance to the prior CT (Figure 2). The decision was made to manage the patient with exploratory laparotomy due to his multiple failures with more conservative management. Upon running the bowel, a subtle transition point was noted in the jejunum (Figure 3). After opening this portion of bowel on the back table, a circumferential band-like structure could be palpated within the bowel wall (Figure 4). Pathological evaluation of this tissue showed circumferential submucosal fibrosis with mucosal tethering, but no definitive stricture or diaphragm was identified (Figure 5). Postoperatively the patient was counseled about the likelihood of recurrence if he continued his NSAID therapy. Diclofenac has been discontinued though the patient remains on low-dose aspirin due to cardiac risk. The patient's postoperative course was uneventful. He has had no recurrence of obstructive symptoms since this intervention occurred about one and a half years prior at the time of this writing.

Figure 2. Coronal CT Scan from Latter Presentation. Published with Permission

Transition point in similar position as prior (marked by arrow).
Transition point in similar position as prior (marked by arrow).

Figure 3. Intraoperative Photo Showing Transition Point with Intact Serosa. Published with Permission

Figure 4. Gross Mucosal Findings at Site of Palpable Fibrosis and Induration. Published with Permission

Figure 5. Microscopic Hematoxylin and Eosin Preparation of Jejunum. Published with Permission

Mild ulceration of the mucosa with submucosal tethering and fibrosis present.
Mild ulceration of the mucosa with submucosal tethering and fibrosis present.

Discussion

NSAID-induced enteropathy is a common manifestation of NSAID usage, though the disease rarely results in clinical manifestation.5 Risk factors for the development of symptomatic NSAID-induced enteropathy are difficult to elucidate, but studies have been done to attempt to shed light on the development of the injury itself. When comparing NSAID users who are injury positive to those who are injury negative, the strongest indicator was shown by Ishihara et al. to be related to the specific NSAID used.6 Diclofenac and the "oxicams" were noted to be the worst offenders. Furthermore, the use of multiple NSAIDs, such as combining diclofenac with aspirin, was also shown to be specifically detrimental.6

A relationship between proton pump inhibitors (PPIs) and NSAID co-therapy contributing to enteropathy is suggested by one study. The investigators used capsule endoscopy, which showed the prevalence of lesions for patients taking both diclofenac and a PPI as high as 68%.7 A role for PPIs is further suggested by looking at patients taking aspirin alone. Aspirin as solo therapy was once thought not to contribute to enteropathy because of its rapid absorption in the stomach and duodenum. Still, Watanabe et al. showed a disease prevalence in up to 91% of patients taking enteric-coated aspirin concurrently with PPIs.8

Patients on concomitant proton pump inhibitors are subject to an increased risk of this disease process secondary to the effects of the intestinal flora.9 Initial mucosal integrity is compromised by the decrease in prostaglandin production due to the inhibition of cyclooxygenase. The formation of further damage is thought to depend on the presence of gram-negative bacteria, which proliferates in the setting of PPIs that further reduce acid load, thus damaging the affected mucosa. This damage will often first manifest in the form of ulcerative disease and then later progress to stricture and possibly subsequent diaphragm formation. It has been demonstrated that rat models without gram-negative flora are resistant to NSAID-induced intestinal ulcers but lose this protection when E. coli is introduced.9 E. coli, in this case, is not necessarily unique in its role but is used here as an example of the role of microbiological disruption in this pathology. The results of these injuries have been shown to take the form of petechiae, reddened folds, denuded areas, mucosal breaks and ulcerations, and diaphragm-like strictures (in decreasing order of prevalence).7

The most common clinical manifestations of this process are iron deficiency anemia arising from chronic bleeding, indigestion, and vague abdominal pain.5 Another rare manifestation is SBO accounting for about 16% of clinically apparent diseases in NSAID users who are confirmed to have enteropathy.9 When present, mechanical obstruction is usually caused by diaphragm-like strictures that can reduce the luminal diameter of the small bowel to as small as a pinpoint.1 Furthermore, diaphragm disease that presents itself clinically does so by causing symptoms of SBO 73% of the time, as reported by a systematic literature review.4 These lesions are rare and estimated to develop in only about 2% of patients on long-term NSAID therapy.7 The pathogenesis of these lesions is poorly understood, and the chronology of the fibrosis is still debated.1,2 The rarity of diaphragm disease is highlighted by the apparently high incidence of asymptomatic enteropathy in the NSAID-treated patient.8 We believe that our case represents an even rarer situation in which SBO resulted from NSAID-induced enteropathy without forming a discrete diaphragm.

There is no characteristic physical exam, laboratory, or imaging finding to differentiate this pathogenesis from other etiologies of SBO. Diagnosis has proven to be particularly difficult for NSAID-induced enteropathy. Two systemic literature reviews found that the most common successful modalities were, first, laparotomy and second, capsule endoscopy.3,4 Both studies showed that laparoscopy was sufficient in less than 5% of cases.3,4 Since recurrence in patients with symptomatic diaphragm disease can be as high as 50%, a discussion should be undertaken with every patient to evaluate the possibility of NSAID cessation based on the patient's individual indications for NSAID therapy.4 NSAID cessation is effective as primary treatment in some patients with symptomatic diaphragm disease if the acuity of the presentation does not demand definitive treatment urgently.4 Further studies are needed about the relationship between concurrent NSAID and PPI therapy with NSAID-induced enteropathy to guide the appropriateness of discontinuing PPIs in patients with symptomology.9

Though the case presented did not involve a clear diaphragm lesion, there were distinct areas of submucosal tethering and ulceration, consistent with possible early signs of this disease process that required laparotomy for accurate diagnosis. Our case illustrates this potential diagnostic difficulty as well as the advantages of laparotomy over laparoscopy. Furthermore, our case illustrates obstruction caused by a lesion with only subtle macroscopic findings, an interesting deviation from the normal pathologic motif of obstruction caused by a lumen-occupying diaphragm.

Conclusion

NSAID-induced enteropathy is an important and underreported cause of small bowel obstruction, usually with discrete diaphragm-like lesions. When present, this pathology can be difficult to identify due to a lack of radiological findings and difficulty in diagnosis both prior to and during surgery. As illustrated in our case, this pathology can require laparotomy and direct palpation to diagnose.

Lessons Learned

NSAID-induced enteropathy is a common manifestation that rarely results in small bowel obstruction. Diagnosis is difficult because of nonspecific findings on exam and imaging as well as a limitation with laparoscopy. This illustrates a rare case in which laparotomy is likely superior for diagnosing and treating SBO.

Authors

Roper Ma; Woods Tb

Author Affiliations

  1. University of Missouri-Columbia School of Medicine, Springfield, MO 65804
  2. CoxHealth Medical Group, Trauma & Acute Care Surgery Clinic, Springfield, MO 65807

Corresponding Author

Tessa Woods, D, FACOS, FACS
3800 S. National Avenue
Ste. 600
Springfield, MO 65807
Email: tessa.woods@coxhealth.com

Disclosure Statement

The authors have no conflicts of interest to disclose.

Funding/Support

The authors have no relevant financial relationships or in-kind support to disclose.

Received: January 5, 2021
Revision received: February 25, 2021
Accepted: March 23, 2021

References

  1. Lang J, Price AB, Levi AJ, Burke M, Gumpel JM, Bjarnason I. Diaphragm disease: pathology of disease of the small intestine induced by nonsteroidal anti-inflammatory drugs. J Clin Pathol. 1988;41(5):516-526. doi:10.1136/jcp.41.5.516
  2. Going JJ, Canvin J, Sturrock R. Possible precursor of diaphragm disease in the small intestine. Lancet. 1993;341(8845):638-639. doi:10.1016/0140-6736(93)90407-8
  3. Slesser AA, Wharton R, Smith GV, Buchanan GN. Systematic review of small bowel diaphragm disease requiring surgery. Colorectal Dis. 2012;14(7):804-813. doi:10.1111/j.1463-1318.2011.02741.x
  4. Wang YZ, Sun G, Cai FC, Yang YS. Clinical Features, Diagnosis, and Treatment Strategies of Gastrointestinal Diaphragm Disease Associated with Nonsteroidal Anti-Inflammatory Drugs. Gastroenterol Res Pract. 2016;2016:3679741. doi:10.1155/2016/3679741
  5. Shin SJ, Noh CK, Lim SG, Lee KM, Lee KJ. Nonsteroidal anti-inflammatory drug-induced enteropathy. Intest Res. 2017;15(4):446-455. doi:10.5217/ir.2017.15.4.446
  6. Ishihara M, Ohmiya N, Nakamura M, et al. Risk factors of symptomatic NSAID-induced small intestinal injury and diaphragm disease. Aliment Pharmacol Ther. 2014;40(5):538-547. doi:10.1111/apt.12858
  7. Maiden L, Thjodleifsson B, Seigal A, et al. Long-term effects of nonsteroidal anti-inflammatory drugs and cyclooxygenase-2 selective agents on the small bowel: a cross-sectional capsule enteroscopy study. Clin Gastroenterol Hepatol. 2007;5(9):1040-1045. doi:10.1016/j.cgh.2007.04.031
  8. Watanabe T, Sugimori S, Kameda N, et al. Small bowel injury by low-dose enteric-coated aspirin and treatment with misoprostol: a pilot study. Clin Gastroenterol Hepatol. 2008;6(11):1279-1282. doi:10.1016/j.cgh.2008.06.021
  9. Watanabe T, Fujiwara Y, Chan FKL. Current knowledge on nonsteroidal anti-inflammatory drug-induced small-bowel damage: a comprehensive review. J Gastroenterol. 2020;55(5):481-495. doi:10.1007/s00535-019-01657-8