Unsupported Browser
The American College of Surgeons website is not compatible with Internet Explorer 11, IE 11. For the best experience please update your browser.
Menu
Become a member and receive career-enhancing benefits

Our top priority is providing value to members. Your Member Services team is here to ensure you maximize your ACS member benefits, participate in College activities, and engage with your ACS colleagues. It's all here.

Become a Member
Become a member and receive career-enhancing benefits

Our top priority is providing value to members. Your Member Services team is here to ensure you maximize your ACS member benefits, participate in College activities, and engage with your ACS colleagues. It's all here.

Become a Member
ACS
ACS Case Reviews

Incarcerated Morgagni Hernia Presenting after Robotic-Assisted Laparoscopic Total Abdominal Hysterectomy and Bilateral Salpingo-Oophorectomy

October 20, 2023

Abstract

Background

A Morgagni hernia is a rare congenital defect typically located in the right anterior diaphragm. These defects are usually diagnosed in childhood and repaired; however, 5% are found in adults. Then, they are usually asymptomatic and often found incidentally on chest radiography. Few cases of incarceration or strangulation in adulthood are in the literature. To our knowledge, no case of an incarcerated Morgagni hernia following a minimally invasive procedure has been reported.

Summary

A 50-year-old woman, five days postrobotic-assisted laparoscopic total abdominal hysterectomy and bilateral salpingo-oophorectomy (TAH-BSO), presented to the emergency department with a three-day history of severe epigastric abdominal pain with associated nausea, vomiting, and obstipation. The patient related a five-year history of similar, though much less severe, intermittent epigastric pain. Physical exam was notable for epigastric tenderness. A CT scan revealed an incarcerated Morgagni hernia containing a portion of the transverse colon. She underwent an emergent exploratory laparotomy with a reduction of the incarcerated transverse colon and repair of the diaphragmatic defect. Her recovery was uneventful, and all symptoms resolved.

Conclusion

Morgagni hernias are rare, usually asymptomatic, diaphragmatic hernias. We present the first known case report of an incarcerated Morgagni hernia in an adult, likely exacerbated by a robotic-assisted laparoscopic TAH-BSO. With the increase in minimally invasive procedures, we believe that previously innocuous symptoms or processes may be exacerbated by increased intraabdominal pressure due to pneumoperitoneum or patient positioning. Considering this, we believe the abdominal wall and diaphragm should be thoroughly examined for hernias during laparoscopic procedures, and previously asymptomatic diaphragmatic hernias should be evaluated for risk of incarceration. Hernia repair at the time of or prior to the minimally invasive procedure may be prudent.

Key Words

Morgagni hernia; congenital diaphragmatic hernias; incarcerated hernia


Case Description

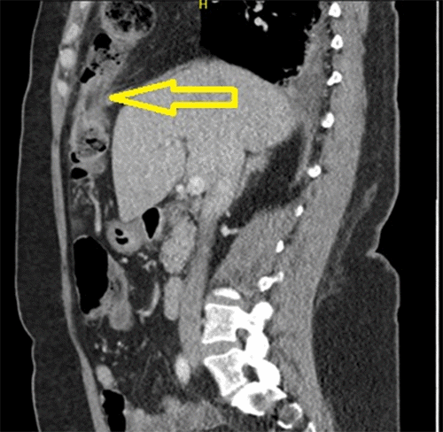
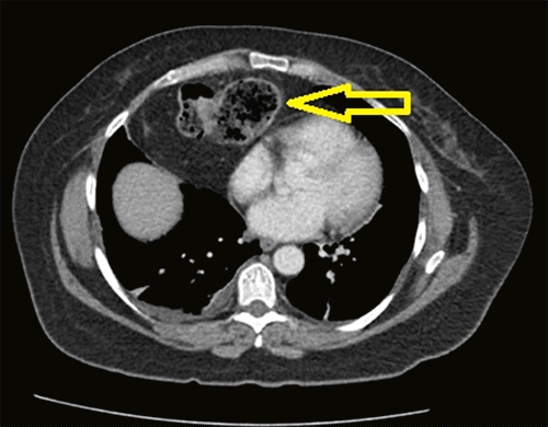
The patient is a 50-year-old woman who presented to the emergency department (ED) with a three-day history of epigastric pain and two days of nausea, vomiting, and obstipation. Her symptoms worsened approximately 12 hours prior to presentation. She reported having undergone a robotic-assisted laparoscopic total abdominal hysterectomy with bilateral salpingo-oophorectomy (TAH-BSO) for a uterine fibroid on the same day the epigastric pain began. Moreover, she also reported having a five-year history of less severe, similar pain, which always resolved spontaneously; she believed this episode would do the same. She appeared in painful distress and showed significant epigastric tenderness upon physical examination. An abdominal and pelvic computed tomography (CT) scan was obtained in the emergency room, demonstrating a right anterior diaphragmatic hernia containing a loop of transverse colon (Figure 1). The defect was further associated with congestion and edema of the antimesenteric border of the herniated bowel (Figure 2).

Figure 1. Abdominal and Pelvic CT Scan. Published with Permission

Figure 2. CT Showing Incarcerated Morgagni Hernia. Published with Permission

Consequently, the patient was taken emergently to the operating room for an open repair of the diaphragmatic hernia. A loop of incarcerated transverse colon was identified in the hernia sac of the right anteromedial, diaphragmatic defect. The colon was decompressed distally. The colon was carefully reduced from the hernia defect and inspected. Acute inflammatory changes were noted around the herniated mesocolon. A clear, compressed transition point was also identified, consistent with the site of obstruction. No evidence of ischemia or necrosis of the colon was noted. The hernia sac was dissected, adopting a preperitoneal approach from the surrounding structures, and reduced. The diaphragmatic defect, measuring approximately 4 × 2 cm, was repaired using interrupted horizontal mattress sutures (0 Ethibond) with Teflon pledgets. Her postoperative course was uneventful. She described the complete resolution of her symptoms immediately postoperatively and later at her follow-up appointments.

Discussion

A Morgagni hernia is a congenital anterior diaphragmatic defect that arises due to a lack of fusion of the fibrotendinous elements of the diaphragm to the xiphisternum and costal margin creating the foramen of Morgagni.1 While a congenital diaphragmatic hernia occurs in about 1 in 2000-5,000 live births, a Morgagni hernia accounts only for 2% to 3% of those cases.1,2 Most patients are asymptomatic, with very few presenting with incarceration or strangulation.1,2 Morgagni hernias are rare and usually diagnosed in childhood. Though most patients are asymptomatic, surgical repair is recommended to avoid complications.3 Later in life, these patients may present with vague symptoms1 (e.g., abdominal pain, nausea, and/or vomiting), and the diagnosis of a Morgagni hernia is usually formulated later in the evaluation process.1-3 Surgical intervention is performed to repair the defect; patient recovery is often uneventful. Acute presentations of a Morgagni hernia are quite uncommon; they rarely are incarcerated.1 Given the rarity of an incarcerated Morgagni hernia, we report the first case, to our knowledge, of an incarcerated Morgagni hernia in an adult, likely exacerbated by a robotic-assisted TAH-BSO performed three days prior to presentation.

Factors that may have contributed to the transverse colon incarcerating in the diaphragmatic defect are described. First, the pneumoperitoneum during the TAH-BSO may have further displaced the colon into the hernia sac due to increased intraabdominal pressure as well as enlarging and insufflating the sac. Conditions that lead to increased intraabdominal pressure, such as cough (encouraged during the postoperative course) and pain from abdominal trauma (a recent abdominal procedure), may result in further herniation through fascial defects and, hence, lead to a worsening of the symptoms.3,4 Pneumoperitoneum has rarely been explored as a factor that exacerbates hernias in asymptomatic patients. However, a few case reports of incarcerated Spigelian hernia after laparoscopic surgery, possibly caused by the increased intra-abdominal pressure, are noted.5,6 Secondly, our patient was placed in the Trendelenburg position for the gynecologic procedure. The positioning may have placed increased pressure on the colon at the hernia sac, forcing more bowel into the defect. This may have enhanced her symptoms due to the entrapment of more bowel. Finally, general endotracheal anesthesia and paralysis during minimally invasive abdominal and pelvic procedures may relax the diaphragmatic defect leading to a potential increase in the hernia contents.

Given the increase in minimally invasive pelvic procedures with associated pneumoperitoneum and the need for Trendelenburg positioning, preoperative evaluation of a patient with an asymptomatic diaphragmatic hernia should possibly be considered. In addition, systematic evaluation of the abdominal wall and diaphragm should become a routine step in laparoscopic procedures. This would identify these hernias for intraoperative assessment and help determine the need and timing for repair. In this case, the hernia was overlooked during the index gynecologic surgery, and an examination of the abdominal wall and diaphragm would have potentially identified it. This further raises the question of whether asymptomatic diaphragmatic hernias should be repaired at the time of or before laparoscopic abdominal surgeries to avoid the risk of incarceration or strangulation.7 Few studies have previously reported incidental findings of diaphragmatic hernia.8 In their case report, Smith et al. discussed a case that was identified and repaired during laparoscopic cholecystectomy.9 Given the paucity of information for treating these incidentally found hernias during other operations, management is at the discretion of the surgical team. While most surgeons recommend repair of Morgagni hernias once a diagnosis is made, management of cases found intraoperatively during other procedures has yet to be established.

Based upon a review of the literature, we identified 24 case reports published between 1981 and to date describing incarcerated or strangulated Morgagni hernias (Table 1). Similarities to our patient included a presentation of abdominal pain and vomiting, and one case report described the patient as having epigastric tenderness. Most patients were male, and more than 90% of the incarcerated Morgagni hernias were right-sided, although they can also be found on the left side or appear bilaterally.1,2 The right-sided predominance is postulated to result from extensive left-sided pericardial attachments, which prevents the development of the hernia on this side.10 Over 60% of the cases involved incarceration of the transverse colon, and the majority of cases described using an open surgical technique.

Table 1. Reported Cases of Incarcerated or Strangulated Morgagni Hernia. Published with Permission

Two major surgical approaches have been described, including an abdominal and a thoracic approach. In 1981, Moghissi reported a thoracoabdominal approach, but this has not been widely adopted.11 The abdominal approach is known to offer the advantage of easier reduction of the hernia contents over the thoracic approach.1 Either approach is amenable to a minimally invasive technique, and the more recent articles described the laparoscopic abdominal repair gaining traction recently. The laparoscopic approach can be ideal for uncomplicated cases and in confirming diagnoses when there is diagnostic uncertainty. The benefits of the laparoscopic approach include easier hernia reduction, better surgical view, reduced postoperative pain, and a shortened length of stay.12,13 However, it is important to note that while some surgeons prefer to approach incarcerated cases laparoscopically, others prefer an open approach, allowing for dissection of the pleura away from the sac and allowing for a smaller incision than a thoracic approach.4

Sac management is another component of incarcerated hernia repair, which can be excised or left in situ. Proponents of sac excision argue that this approach reduces trauma to the herniating organs because only the sac is manipulated, reduces the chance of recurrent herniation with the sac as a leading point, and reduces seroma formation.14 On the other hand, authors argue that sac excision during a laparoscopic procedure might lead to a large pneumomediastinum, increasing the chances of injury to contiguous structures such as the pericardium and other mediastinal structures.14 To date, there is no consensus on these views.

Finally, the hernia defect can be closed primarily or with mesh. Some authors recommend using mesh when the defects are large, and not amenable to primary suture repair to achieve tension-free repairs.12 Cases with attenuated muscle are also preferably repaired with mesh due to the fragile nature of the tissue.15 In the course of this literature review, all cases associated with concern for contamination were repaired without mesh. We elected to close primarily with no tension on the tissues, and the sutures were reinforced with pledgets.

Conclusion

Morgagni hernias are rare diaphragmatic hernias that are usually asymptomatic. We present the first known case report of an incarcerated Morgagni hernia in an adult, likely exacerbated by pneumoperitoneum and positioning during a robotic-assisted laparoscopic TAH-BSO. With the increase in the number of minimally invasive procedures, we believe that previously asymptomatic Morgagni hernias should be evaluated pre-operatively for repair due to the risk for incarceration or strangulation. In the same manner, intraoperative evaluation should also be carried out for the same reasons. Repair of the hernia of Morgagni at the time of or prior to the minimally invasive procedure may be prudent.

Lessons Learned

Complications with Morgagni hernias can present with subtle symptoms and require a high index of suspicion. Particular attention should be paid to asymptomatic patients that undergo laparoscopic procedures, as these procedures can precipitate incarceration and strangulation.

Authors

Onyemkpa Ca,b; Soleimani Ta,b; Lindsey Ha,b

Author Affiliations

  1. Department of Surgery, Sparrow Health Systems, Lansing, MI 48912
  2. Department of Surgery, Michigan State University College of Human Medicine, East Lansing, MI 48823

Corresponding Author

Hugh Lindsey, MD, FACS
Department of Surgery
Sparrow Health Systems
1200 E. Michigan Avenue
Ste. 655
Lansing, MI 48912
Email: hugh.lindsey@sparrow.org

Meeting Presentation

Michigan Chapter, American College of Surgeons Annual Meeting, May 2020

Disclosure Statement

The authors have no conflicts of interest to disclose.

Funding/Support

The authors have no relevant financial relationships or in-kind support to disclose.

Received: December 10, 2020
Revision received: January 2, 2021
Accepted: February 16, 2021

References

  1. Modi M, Dey AK, Mate A, Rege S. Strangulated Morgagni's Hernia: A Rare Diagnosis and Management. Case Rep Surg. 2016;2016:2621383. doi:10.1155/2016/2621383
  2. Jakhmola CK, Kumar V. Laparoscopic mesh repair of Morgagni hernia in an octogenarian patient. Med J Armed Forces India. 2015;71(1):79-81. doi:10.1016/j.mjafi.2012.06.017
  3. Loong TP, Kocher HM. Clinical presentation and operative repair of hernia of Morgagni. Postgrad Med J. 2005;81(951):41-44. doi:10.1136/pgmj.2004.022996
  4. Lev-Chelouche D, Ravid A, Michowitz M, Klausner JM, Kluger Y. Morgagni hernia: unique presentations in elderly patients. J Clin Gastroenterol. 1999;28(1):81-82. doi:10.1097/00004836-199901000-00022
  5. Slakey DR, Teplitsky S, Cheng SS. Incarcerated Spigelian hernia following laparoscopic living-donor nephrectomy. JSLS. 2002;6(3):217-219.
  6. Bassi A, Tulandi T. Small bowel herniation through a spigelian defect within 48 hours after laparoscopy. J Minim Invasive Gynecol. 2013;20(3):392-393. doi:10.1016/j.jmig.2012.12.005
  7. Kelly MD. Laparoscopic repair of strangulated Morgagni hernia. World J Emerg Surg. 2007;2:27. Published 2007 Oct 12. doi:10.1186/1749-7922-2-27
  8. Guevara LRH, Amundson AW, Farley DR, Prieto M. Congenital diaphragmatic hernia diagnosed in adulthood during laparoscopy. Can J Anaesth. 2019;66(6):732-733. doi:10.1007/s12630-019-01335-6
  9. Smith J, Ghani A. Morgagni hernia: incidental repair during laparoscopic cholecystectomy. J Laparoendosc Surg. 1995;5(2):123-125. doi:10.1089/lps.1995.5.123
  10. Gangopadhyay AN, Upadhyaya VD, Gupta DK, Sharma SP. Obstructed Morgagni's hernia. Indian J Pediatr. 2007;74(12):1109-1110. doi:10.1007/s12098-007-0207-7
  11. Moghissi K. Operation for repair of obstructed substernocostal (Morgagni) hernia. Thorax. 1981;36(5):392-394. doi:10.1136/thx.36.5.392
  12. Martín Arnau B, Medrano Caviedes R, Rofin Serra S, Caballero Mestres F, Trias Folch M. Intestinal obstruction complicated by large Morgagni hernia.  Arch Surg Clin Res. 2017;1:016-020. doi:10.29328/journal.ascr.1001003
  13. Arráez-Aybar LA, González-Gómez CC, Torres-García AJ. Morgagni-Larrey parasternal diaphragmatic hernia in the adult. Rev Esp Enferm Dig. 2009;101(5):357-366.
  14. Godazandeh G, Mokhtari-Esbuie F. Laparoscopic Repair of Morgagni Hernia: Three-Case Presentation and the Literature. Case Rep Surg. 2016;2016:4268539. doi:10.1155/2016/4268539
  15. Eren S, Gümüş H, Okur A. A rare cause of intestinal obstruction in the adult: Morgagni's hernia. Hernia. 2003;7(2):97-99. doi:10.1007/s10029-002-0099-4
  16. Sakalkale RP, Sankhe M, Nagral S, Patel CV. Obstructed Morgagni's hernia (a case report). J Postgrad Med. 1991;37(4):228B-230.
  17. Contini S, Dalla Valle R, Bonati L, Zinicola R.v Laparoscopic repair of a Morgagni hernia: report of a case and review of the literature. J Laparoendosc Adv Surg Tech A. 1999;9(1):93-99. doi:10.1089/lap.1999.9.93
  18. Rattay T, Ubhi S. Morgagni hernia--an uncommon cause of gastric outlet obstruction. BMJ Case Rep. 2011;2011:bcr0520114264. Published 2011 Aug 24. doi:10.1136/bcr.05.2011.4264
  19. Kumar A, Bhandari RS. Morgagni hernia presenting as gastric outlet obstruction in an elderly male. J Surg Case Rep. 2016;2016(7):rjw126. Published 2016 Jul 18. doi:10.1093/jscr/rjw126
  20. Kimmelstiel FM, Holgersen LO, Hilfer C. Retrosternal (Morgagni) hernia with small bowel obstruction secondary to a Richter's incarceration. J Pediatr Surg. 1987;22(11):998-1000. doi:10.1016/s0022-3468(87)80494-3
  21. Lanteri R, Santangelo M, Rapisarda C, Di Cataldo A, Licata A. Bilateral Morgagni-Larrey hernia: a rare cause of intestinal occlusion. Arch Surg. 2004;139(12):1299-1300. doi:10.1001/archsurg.139.12.1299
  22. Barut I, Tarhan OR, Cerci C, Akdeniz Y, Bulbul M. Intestinal obstruction caused by a strangulated Morgagni hernia in an adult patient. J Thorac Imaging. 2005;20(3):220-222. doi:10.1097/01.rti.0000154078.59689.36
  23. Lee SY, Kwon JN, Kim YS, Kim KY. Strangulated Morgagni hernia in an adult: Synchronous prolapse of the liver and transverse colon. Ulus Travma Acil Cerrahi Derg. 2018;24(4):376-378. doi:10.5505/tjtes.2017.99045
  24. Gaco S, Krdzalic G, Krdzalic A. Incarcerated Morgagni hernia in an octogenarian with incidental right-sided colonic malignancy. Med Arch. 2013;67(1):73-74. doi:10.5455/medarh.2013.67.73-74
  25. Carcoforo P, Di Marco L, Schettino AM, et al. Intestinal occlusion secondary to Morgagni-Larrey's herniation in an adult. Case report and analysis of the literature. Ann Ital Chir. 1998;69(1):97-100.
  26. Jani PG. Morgagni hernia: case report. East Afr Med J. 2001;78(10):559-560. doi:10.4314/eamj.v78i10.8970
  27. Rai SP, Kamath M, Shetty A, Shenoy S, Kumar A. Symptomatic Morgagni's hernia in an elderly patient. J Emerg Trauma Shock. 2010;3(1):89-91. doi:10.4103/0974-2700.58654
  28. Pallati PK, Puri V, Mittal SK. Gastric outlet obstruction secondary to Morgagni hernia: a case report. Hernia. 2008;12(2):209-212. doi:10.1007/s10029-007-0287-3
  29. Kim HR, Hong TH, Lee YS, et al. Elective laparoscopic repair after colonoscopic decompression for incarcerated morgagni hernia. Gut Liver. 2009;3(4):318-320. doi:10.5009/gnl.2009.3.4.318
  30. Gray FJ. Strangulated hernia of the foramen of Morgagni: introducing a principle for the reduction of obstructed intraabdominal hernias. Aust N Z J Surg. 1981;51(3):314-317. doi:10.1111/j.1445-2197.1981.tb05968.x