Unsupported Browser
The American College of Surgeons website is not compatible with Internet Explorer 11, IE 11. For the best experience please update your browser.
Menu
Become a member and receive career-enhancing benefits

Our top priority is providing value to members. Your Member Services team is here to ensure you maximize your ACS member benefits, participate in College activities, and engage with your ACS colleagues. It's all here.

Become a Member
Become a member and receive career-enhancing benefits

Our top priority is providing value to members. Your Member Services team is here to ensure you maximize your ACS member benefits, participate in College activities, and engage with your ACS colleagues. It's all here.

Become a Member
ACS
ACS Case Reviews

Aortogastric Fistula 29 Years After Roux-en-Y Gastric Bypass Involving the Bypassed Gastric Remnant

October 20, 2023

Abstract

Background

A female patient presented 29 years following Roux-en-Y gastric bypass with an aortoenteric fistula involving the bypassed gastric remnant.

Summary

Our patient presented at age 73 following one episode of melena. She had undergone a Roux-en-Y gastric bypass at age 44. The patient also had a history of small bowel obstruction leading to an exploratory laparotomy which was complicated by abscess development seven months prior to being admitted. Following admission, a CT scan, upper endoscopy, small bowel push enteroscopy, and colonoscopy were negative for active bleeding or ulcers. After the patient was discharged, she returned to the emergency department nine days later due to bright red blood per rectum. During this subsequent hospital stay, the patient developed signs of hemodynamic instability, which prompted an exploratory laparotomy despite the continued lack of acute bleed on CT. The bypassed gastric remnant was opened, and profuse arterial bleeding was encountered, prompting a mesenteric angiogram which revealed an aortogastric fistula. The need to consider the bypassed gastric remnant as a potential source for fistula formation in a patient with a history of Roux-en-Y gastric bypass is underscored by this case report.

Conclusion

Aortoenteric fistulas are most often associated with abdominal aortic aneurysms and more commonly involve the duodenum. We present a case of an aortoenteric fistula presenting 29 years following Roux-en-Y gastric bypass involving the bypassed gastric remnant in a patient with no evidence of aortic aneurysm. Our case highlights the need to consider the bypassed gastric remnant as a potential source of fistula development in patients with a history of Roux-en-Y gastric bypass who present with a lower gastrointestinal bleed.

Key Words

fistula; Roux-en-Y; gastric bypass; gastrointestinal bleed


Case Description

Aortoenteric fistulas (AEF) are rare but potentially lethal conditions. Abdominal aortic aneurysms remain the most common risk factor for AEF1 development and more than 75% fistulize to the duodenum.2 Although aortogastric fistulas have previously been reported3-8 this is the first case to our knowledge that occurred in the setting of a previous Roux-en-Y gastric bypass surgery. We describe a patient whose diagnosis of aortogastric fistula managed to elude both multiple CT scans (with and without contrast) and laparoscopic assisted esophagogastroduodenoscopy (EGD) along with other interventions such as small bowel push enteroscopy and colonoscopy.

A 73-year-old female presented to the emergency department with hypotension (88/64) and hypothermia (95° F) after one episode of melena the same day. The patient was currently on Eliquis for a history of atrial fibrillation. Her other past medical history included hypertension, esophageal ulcers, and hepatic steatosis. Surgical history included open cholecystectomy, Roux-en-Y gastric bypass, and hysterectomy, all performed at least 17 years before the current case, with the bypass performed 29 years prior to presentation. Additionally, she underwent an exploratory laparotomy completed seven months prior to the encounter secondary to a small bowel obstruction due to a hernia. The postoperative course was complicated by an abscess located in the left upper quadrant of the abdomen, which was treated with a percutaneous drain.

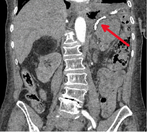
Within the next 24 hours of presentation, a CT scan with and without contrast was performed and was negative for any active gastrointestinal hemorrhage; however, post Roux-en-Y gastric bypass changes were visualized, and hyperdense impacted material was noted within the gastric remnant (Figure 1). Radiographically this was interpreted as possible gastritis of the remnant stomach.

Figure 1. Coronal CT Scan Revealing Hyperdense Material Located in Gastric Remnant. Published with Permission

The possibility of a bleeding marginal ulcer located at the gastrojejunal (GJ) junction with an associated gastro-gastric fistula was the leading differential diagnosis at this point which prompted upper GI endoscopy. However, no ulcer was noted at the GJ anastomosis, and no gastrogastric fistula was noted. The efferent limb was also examined, with no abnormalities noted.

Two days later, the patient underwent laparoscopic-assisted upper endoscopy with help from the minimally invasive surgery service to evaluate the gastric remnant. A gastrotomy was made in the pre-pyloric channel of the remnant stomach. The gastroscope was advanced into the remnant stomach and duodenum. No active bleeding or ulcers were identified. However, it was noted that there was evidence of a prior gastrogastric fistula, which was now healed, as noted by mucosal dehiscence along the gastric fundus along the previous staple line. A repeat CT scan revealed aortic calcifications but no sign of an aneurysm. One day later (four days post admission), the patient had a suppository that let out melanotic stool, which prompted an additional CT scan. CT scan reported concern for an ulcer at the gastroesophageal junction and interval luminal bleeding. It was then decided to proceed with a small bowel push enteroscopy, which did not discover any remarkable findings.

Following the push enteroscopy, the patient was subsequently recommended to undergo a colonoscopy. Nine days after admission, the patient decompensated during a mechanical bowel prep for her colonoscopy through a nasogastric tube. Her oxygen saturation dropped to 89% on room air, and the patient experienced two large, bright red, bloody bowel movements. An immediate CTA was ordered, which failed to reveal any active hemorrhage. The "hyperdensity" was noted yet again in the excluded gastric remnant. The colonoscopy was pushed to the following day, and despite good visualization, no signs or sources of active bleeding were found. A tagged RBC scan was later performed, which showed evidence of what was initially believed to be an active bleed in the small bowel (Figure 2).

Figure 2. Nuclear Medicine Scan Showing Active Hemorrhage in Small Bowel. Published with Permission

Later the same day, the patient underwent a mesenteric angiogram investigating the celiac axis and superior mesenteric artery performed by the interventional radiology (IR) service. A source of bleeding was unable to be revealed. A provocative angiogram with full heparinization was considered, but this plan was aborted due to the patient's relative stability throughout the following three days. The patient was discharged home on day 14 post admission with instructions to discontinue her blood thinner as a precautionary measure.

Nine days following discharge, the patient was re-admitted to the ED after experiencing one episode of emesis, diffuse abdominal pain, and bright red blood per rectum. Her hemoglobin and hematocrit were 6.2 g/dL and 19.4%, respectively. She received blood transfusions, and her levels remained unchanged four days after the transfusion. On the fourth day after re-admission, she again developed hematochezia, and a repeat CTA was performed. Imaging revealed no signs of active bleeding, but evidence of hematoma and blood products were noted in the gastric remnant, which was suggestive of a source of bleeding.

The following day, the patient underwent a repeat mesenteric angiogram and embolization of the left gastric artery. After being transferred to the post anesthesia care unit, the patient became hemodynamically unstable, with a systolic blood pressure of 50, despite vasopressor use and initiation of the massive transfusion protocol. The patient was taken emergently to the trauma hybrid operating room by the trauma and acute care surgery service, where she underwent an exploratory laparotomy. The bypassed remnant of the stomach from her previous bypass was identified and opened. Profuse, active arterial hemorrhage was encountered. Resuscitative endovascular balloon occlusion of the aorta (REBOA) in zone I was performed by the surgeon with packing of the remnant stomach. This allowed the anesthesia team time to resuscitate the patient with a massive transfusion protocol and the IR team to perform a mesenteric angiogram. Ultimately, the aortogastric fistula to the remnant stomach was identified. Intraoperatively the vascular surgery team performed a thoracic endovascular aortic repair (TEVAR), which significantly slowed the bleeding; the remnant stomach was packed with multiple laparotomy pads and QuikClot Combat Gauze®. The abdomen was closed with a temporary negative pressure wound dressing, and a remnant gastrectomy was performed the following day. She ultimately recovered and was discharged to a long-term acute care facility.

Discussion

Aortoenteric fistula (AEF) is a rare entity that most vascular surgeons encounter fewer than a handful of times. Given that abdominal aortic aneurysms and prior aortic reconstruction are the two most common risk factors for AEF, an AEF presenting without either risk factor involving a structure other than the duodenum is quite unique.

The excluded stomach from the bypass makes endoscopic evaluation challenging without surgical intervention. Its location in the bypassed gastric remnant exacerbated this challenging and atypical presentation. Despite a laparoscopic-assisted endoscopy, the bleeding source was not identified. Additionally, two other endoscopies failed to identify a source of bleeding but were appropriate for GI bleed workup. On top of interfering with endoscopic procedures, the presence of a gastric remnant created issues regarding the interpretation of our nuclear medicine scan. Upon review, our patient's tagged RBC scan was misinterpreted as an active hemorrhage into the small bowel instead of the bypassed gastric remnant.

The consistent lack of evidence of active hemorrhage on CT scan is a point of discussion associated with our case. Aortoenteric fistulas commonly present with herald bleeds that may not re-bleed for quite some time. From the beginning of the encounter, hyperdensity was noted on the CT scan located inside the gastric remnant. Although the patient's gross hematochezia was intermittent, it is possible that occult bleeding had been present inside the gastric remnant since admission and periodically occurred so briskly to allow rapid passage into the colon, with subsequent hematochezia.

As mentioned in the report, seven months before our case, the patient underwent an exploratory laparotomy after being admitted for signs of bowel obstruction, which was complicated by a postoperative left upper quadrant abscess requiring a percutaneous drain. Retrospectively, scans reviewed throughout the encounter reveal a chronic abscess between the aorta and gastric remnant in the LUQ, although quite difficult to distinguish. Although there is a possibility that the patient's abscess originated from her laparotomy, it is more likely that it developed due to a gastric leak post gastric bypass. A cavity was encountered during the emergent operation, which pointed toward a chronic etiology from the surgeon's perspective. A contained perforated marginal ulcer is also possible, given that it can also lead to small cavity development. However, from the operating surgeon's perspective, it appeared to be a chronic contained abscess though a more common pathology, such as a marginal ulcer, could not be excluded. Likely, our patient's abscess had not been treated completely, allowing for chronic irritation and fistula development.

The possibility of a transmural peptic ulcer leading to an infection of the aorta with subsequent development of a fistula has been mentioned previously in the literature.5,9 Carcinoma of the gastric remnant must also be considered. Li reports an aortogastric fistula case caused by ulcerated gastric carcinoma.10

The staple line of the bypassed gastric remnant is another potential cause of our patient's aortogastric fistula. Aortogastric fistulas caused by foreign bodies have also been reported in the literature. Dinter reports a case of aortogastric fistula occurring ten years post celiac trunk embolization due to coil migration through the arterial wall and into the stomach.11 Although this reported foreign body was intravascular, it highlights the potential for metallic structures to erode through tissue over the years.

Given the extensive workup required for this case, it is reasonable to question whether a similar presentation had been missed in the past. Due to our case lacking the commonly described risk factors of aortoenteric fistula and involving an anatomical location concealed from endoscopic visualization, we hope that our report can provide clinicians with additional knowledge on the different presentations of aortoenteric fistulas and assist them with determining causes of unexplained lower gastrointestinal bleeding, especially in the setting of post Roux-en-Y gastric bypass.

Conclusion

Aortoenteric fistulas are most commonly associated with abdominal aortic aneurysms and most often involve the duodenum. We present a case of an aortoenteric fistula presenting 29 years following Roux-en-Y gastric bypass involving the bypassed gastric remnant in a patient with no evidence of aortic aneurysm. Our case highlights the need to consider the bypassed gastric remnant as a potential source for fistula development in patients with a history of Roux-en-Y gastric bypass who present with a lower gastrointestinal bleed.

Lessons Learned

In patients with a history of Roux-en-Y gastric bypass, the bypassed gastric remnant can be a source of aortoenteric fistula development. Aortogastric fistulas may not reveal evidence of active hemorrhage on a CT scan. Patients with an aortogastric fistula can present with intermittent gross hematochezia as opposed to continuous bleeding.

Authors

Knewitz DK; Rosenthal MD; Croft CA

Author Affiliation

Department of Surgery, University of Florida, Gainesville, FL 32611

Corresponding Author

Daniel K. Knewitz, MD
Mayo Clinic
4500 San Pablo Road S
Jacksonville, FL 32224
Email: knewitz.daniel@mayo.edu

Disclosure Statement

The authors have no conflicts of interest to disclose.

Funding/Support

The authors have no relevant financial relationships or in-kind support to disclose.

Received: January 9, 2021
Revision received: March 1, 2021
Accepted: April 19, 2021

References

  1. Calligaro KD, Bergen WS, Savarese RP, Westcott CJ, Azurin DJ, DeLaurentis DA. Primary aortoduodenal fistula due to septic aortitis. J Cardiovasc Surg (Torino). 1992;33(2):192-198.
  2. O'Mara C, Imbembo AL. Paraprosthetic-enteric fistula. Surgery. 1977;81(5):556-566.
  3. Lorimer JW, Goobie P, Rasuli P, Crépeau A, Wellington JL. Primary aortogastric fistula: a complication of ruptured aortic aneurysm. J Cardiovasc Surg (Torino). 1996;37(4):363-366.
  4. Wei XQ, Song L, Zhang XS, Wang KY, Wu J. Endovascular stent graft repair of aortogastric fistula caused by peptic ulcer after esophagectomy: A case report. Medicine (Baltimore). 2017;96(50):e8959. doi:10.1097/MD.0000000000008959
  5. Kougias P, Baltazar U, Battle WJ, Rush DS, Browder IW, Katras T. Primary aortogastric fistula after nissen fundoplication: a case report and review of pertinent literature. Vasc Endovascular Surg. 2003;37(2):135-139. doi:10.1177/153857440303700209
  6. Dalio MB, Dezotti NR, Ribeiro MS, Joviliano EE, Piccinato CE. Aortogastric Fistula Due to a Penetrating Atherosclerotic Aortic Ulcer. Ann Vasc Surg. 2015;29(8):1659.e21-1659.e1.659E25. doi:10.1016/j.avsg.2015.06.080
  7. Schwarz RE, Marx HF, Andersen JS. Successful management and outcome of a postoperative aortogastric fistula in a patient with recurrent gastric cancer: report of a case. Surg Today. 2002;32(9):816-820. doi:10.1007/s005950200157
  8. Takebayashi T, Okushiba S, Ohno K, et al. Peptic ulcer-induced acute aortogastric fistula occurring 7 years after a pharyngogastrostomy following a resection for carcinoma of the esophagus: report of a case. Surg Today. 2004;34(9):777-779. doi:10.1007/s00595-004-2826-1
  9. Genc FA, Taviloglu K, Dilege S, Kurtoglu M, Yilmazbayhan D. Primary aortogastric fistula. Eur J Vasc Endovasc Surg. 2000;19(6):669-670. doi:10.1053/ejvs.1999.1085
  10. Li M, Li Y, Zhu Q, Xiong G, Chen S. Primary Aortogastric Fistula Caused by Ulcerated Gastric Carcinoma: A Rare Cause of Sudden Death. J Emerg Med. 2020;58(3):e169-e171. doi:10.1016/j.jemermed.2020.01.010
  11. Dinter DJ, Rexin M, Kaehler G, Neff W. Fatal coil migration into the stomach 10 years after endovascular celiac aneurysm repair. J Vasc Interv Radiol. 2007;18(1 Pt 1):117-120. doi:10.1016/j.jvir.2006.10.003