Unsupported Browser
The American College of Surgeons website is not compatible with Internet Explorer 11, IE 11. For the best experience please update your browser.
Menu
Become a member and receive career-enhancing benefits

Our top priority is providing value to members. Your Member Services team is here to ensure you maximize your ACS member benefits, participate in College activities, and engage with your ACS colleagues. It's all here.

Become a Member
Become a member and receive career-enhancing benefits

Our top priority is providing value to members. Your Member Services team is here to ensure you maximize your ACS member benefits, participate in College activities, and engage with your ACS colleagues. It's all here.

Become a Member
ACS
ACS Case Reviews

Resection of Enteropancreatic Neuroendocrine Tumors in a Patient with Multiple Endocrine Neoplasia Type 4

October 20, 2023

Abstract

Background

Multiple endocrine neoplasia type 4 (MEN4) is a relatively new subtype of familial cancer syndrome resulting from cyclin-dependent kinase inhibitor mutation. The phenotypic presentation of MEN4 is quite similar to (but distinct from) MEN type 1. There are less than 50 cases of MEN4 described in the literature, though the true prevalence in the population is unknown.

Summary

We present the case of a 62-year-old patient who initially presented with an incidentally discovered pancreatic lesion. Further workup classified it as a nonfunctional 2.4 × 2.0 × 3.0 cm pancreatic neuroendocrine tumor, subsequently resected via enucleation. Genetic analysis was then performed, which revealed a cyclin-dependent kinase inhibitor mutation consistent with a diagnosis of MEN4. The patient later represented with numerous neuroendocrine tumors of the duodenum, which were subsequently resected successfully. In this case review, we discuss this patient's presentation, diagnosis, and management, as well as a broader discussion of MEN4 regarding genotype, clinical presentation, and frequency and distribution patterns of its associated tumors.

Conclusion

MEN4 is a unique familial neoplastic syndrome caused by mutation in the cyclin-dependent kinase inhibitor 1b (CDKN1B) gene, leading to unregulated cell-cycle progression in endocrine organs. It most commonly presents with hyperparathyroidism, pituitary adenomas, adrenal tumors, and enteropancreatic neuroendocrine tumors. In cases of suspected MEN1 without identifiable mutation in the MEN1 gene, further investigation of CDKN1B mutations should be pursued to evaluate if the patient is actually suffering from MEN4.

Key Words

congenital abnormality; laparoscopy; mass; surgical oncology


Case Description

Multiple endocrine neoplasias (MEN) are a group of hereditary syndromes that involve the development of endocrine tumors in discreet phenotypic patterns. Different types of MEN display distinct patterns of phenotypic tumor distribution and correspond to the unique genetic mutations present in that specific MEN variant. MEN type 1 (MEN1), type 2 (MEN2, previously termed MEN2a), and type 3 (MEN3, previously MEN2B) have been well-described for many years. However, more recently, a subset of patients displaying a clinical presentation similar, but not identical, to MEN1 have been found to possess a novel genetic mutation distinct from that of MEN1 and have subsequently been reclassified as MEN type 4 (MEN4).1-3 In less than two decades since the initial discovery and classification of MEN4, fewer than 50 cases have been described in the literature. However, the true prevalence of this rare disease remains unknown. We present the case of a MEN4 patient who presented with numerous enteropancreatic neuroendocrine tumors over a period of two years and successfully underwent surgical resection. We further discuss this more recent subset of MEN regarding genotype, clinical presentation, and the frequency and distribution pattern of the tumors.

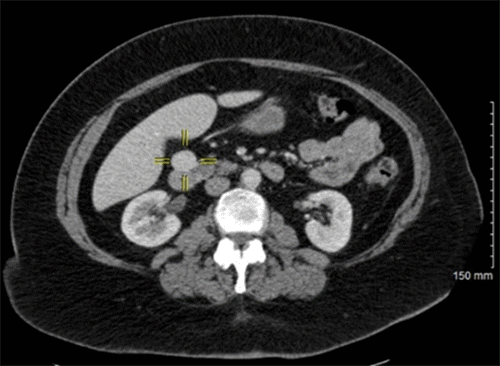
Our patient is a 62-year-old female who initially presented to an outside physician with complaints of vague abdominal pain. This was initially attributed to symptomatic cholelithiasis, and she underwent robotic cholecystectomy with no improvement in her symptoms. Given the persistence of her symptoms, her primary care physician obtained computerized tomography (CT) of the abdomen. This imaging revealed a lesion of the pancreatic head and prompted a subsequent referral to our service for evaluation. On her initial presentation to our team, she described several other symptoms besides her pain, including facial flushing, night sweats, nausea, diarrhea, and weight loss. Her above-described imaging revealed a 2.4 × 2.0 × 3.0 cm well-circumscribed nodular enhancing mass of the pancreatic head adjacent to the duodenum (Figure 1). An incidentally found 2.1 × 1.8 cm adrenal nodule was subsequently biopsied (following negative biochemical testing for pheochromocytoma) and found to be without malignancy.

Figure 1. Computerized Tomography of Abdomen. Published with Permission

Image depicts well-circumscribed nodular hypervascular enhancing mass of the pancreatic head, later found on surgical pathology to represent nonfunctional neuroendocrine tumor of the pancreas
Image depicts well-circumscribed nodular hypervascular enhancing mass of the pancreatic head, later found on surgical pathology to represent nonfunctional neuroendocrine tumor of the pancreas

Additional biochemical workup came back normal, including alpha-fetoprotein (AFP), carcinoembryonic antigen (CEA), carbohydrate antigen (CA) 19-9, chromogranin A, serotonin, and 24-hour 5-hydroxyindoleacetic acid (5-HIAA). At this point, she was diagnosed with a nonfunctional pancreatic neuroendocrine tumor and proceeded with operative resection. While laparoscopic resection is a viable approach to specific pancreatic lesions, we decided to proceed with an open intervention to allow for manual palpation of the pancreas and the potential identification of any other small lesions that might have been previously missed. Upon intraoperative identification, the tumor was found to be solitary and resectable via enucleation, accomplished without incident (Figure 2). She tolerated the procedure well and was discharged home after an uneventful hospital course. Final pathology confirmed a well-differentiated neuroendocrine tumor, 3 cm in maximum dimension with negative margins.

Figure 2. Intraoperative Photo of Nonfunctional Neuroendocrine Tumor of Pancreatic Head. Published with Permission

Image obtained just prior to resection via enucleation
Image obtained just prior to resection via enucleation

Given the finding of a neuroendocrine tumor, the patient underwent postoperative genetic testing revealing a heterozygous mutation (C.178dupT) within the cyclin-dependent kinase inhibitor 1B (CDKN1B) gene, which is consistent with a diagnosis of MEN4.4,5 At this point attention was turned to the investigation of other endocrine organs. Serum calcium and parathyroid hormone were within normal limits. Neck and thyroid ultrasound (US) showed small cysts within the thyroid but no solid thyroid nodules or parathyroid adenomas. Magnetic resonance imaging (MRI) of the brain revealed mild prominence and heterogenicity of the pituitary, though without any suprasellar extension. This finding was felt to represent pituitary micro-adenoma, though based on biochemical studies in conjunction with history and physical, this lesion was thought to be nonfunctional in nature (Figure 3). Concerning adrenal function, investigation of plasma metanephrines and catecholamines was normal, an appropriate cortisol response was seen in the 1 mg overnight dexamethasone suppression test, and workup for primary hyperaldosteronism was not indicated as the patient was normotensive and without hyperkalemia. Finally, a negative octreotide scan revealed no additional enteropancreatic lesions.

Figure 3. MRI of Head. Published with Permission

Scan displays mild prominence and heterogenicity of the pituitary gland, diagnosed as nonfunctional pituitary adenoma
Scan displays mild prominence and heterogenicity of the pituitary gland, diagnosed as nonfunctional pituitary adenoma

Over the following year, the patient continued to complain of intermittent nausea, prompting a gastroenterology consultation. An esophagogastroduodenoscopy later revealed the presence of multiple nodules of the first and second portions of the duodenum, and the biopsy showed them to be neuroendocrine in nature. Repeat CT imaging showed no pancreatic involvement of these lesions, and further evaluation with positron emission tomography showed no evidence of malignancy or metastatic spread. Given the negative octreotide scan following her index pancreatic resection, these lesions were assessed as asynchronous to her initial pancreatic neuroendocrine tumor. She subsequently proceeded to the surgery for a planned pancreas-sparing duodenojejunostomy. The initial intraoperative evaluation showed no evidence of malignant ascites or carcinomatosis and no signs of lymphadenopathy in foregut nodal basins or hepatic metastatic disease. The duodenum was kocherized, and the first, second, and third portions of the duodenum mobilized. A choledochotomy was performed, and a biliary catheter passed through the duct and into the duodenum, identifying the Ampulla of Vater. The proximal duodenum was divided with a surgical stapler, and the first and second portions of the duodenum mobilized from the pancreas. The distal duodenum was then transected with a stapler 10 cm proximal to the Ligament of Treitz. Following division of the associated mesentery, the fourth portion of the duodenum was brought under the superior mesenteric artery and into the right upper quadrant of the abdomen. Next, a portion of the duodenal serosa adherent to the pancreatic head was incised and dissected to the mucosal plane, with a division of the duodenal mucosa until encountering the pancreatic and common bile ducts, taking care to include all mucosa in the resected specimen. Ducts were divided, and the remainder of the duodenal specimen resected.

Next, septoplasty of the pancreatic and biliary ducts was performed, and end-to-side choledochojejunostomy and pancreaticojejunostomy were performed with a retrocolic limb of jejunum. The jejunum was secured to the remaining duodenal serosa for support and as an outer layer of both anastomoses. An end-to-side gastrojejunostomy was then performed 10 cm distal to the above-described ductal anastomoses, and a duodenojejunostomy was created distal to this. The biliary catheter was removed, and the choledochotomy was repaired over T-tube, with the placement of Jackson-Pratt drains anterior and posterior to the ductal anastomoses. Finally, a feeding jejunostomy was placed, and the abdomen closed without incident. The patient recovered uneventfully from this procedure and was discharged home following an unremarkable hospital course.

Final pathology confirmed well-differentiated neuroendocrine tumors of the duodenum, with invasion into but not beyond the submucosa. The patient has not had any issues postoperatively and continues to be closely monitored by our colleagues in endocrinology. She is planned for regular surveillance to include annual measurement of calcium, parathyroid hormone, prolactin, insulin-like growth factor 1, gastrin, insulin, chromogranin A, pancreatic polypeptide, glucagon, vasoactive intestinal peptide, and cortisol. She will also undergo cross-sectional imaging of the chest, abdomen, and pelvis every six months for the next three years, after which she will transition to annual imaging should no new lesions be identified, with MRI as the preferred means of imaging to minimize the cumulative effect of ionizing radiation on this patient.

Discussion

The first description of the syndromes we now refer to as MEN came from the Viennese physician Jakob Erheim, who in 1903 reported the case of a patient with acromegaly secondary to an adenoma of the pituitary gland, as well as multiple tumors of the parathyroid glands.6,7 A half-century passed before the next reports of patients with familial patterns of endocrine neoplasia. Still, by the 1960s, a number of studies had set out to investigate the mechanisms behind these familial cancer syndromes. In 1968, the term "multiple endocrine neoplasia" was first used in literature by endocrinologist Alton Steiner and his colleagues at the Albany Medical Center.6,7 In the following few decades, much work was done to classify the distinct phenotypic subtypes of MEN and identify their underlying genetic causes. The MEN subtype involving tumors of the parathyroid glands, anterior pituitary, and pancreas was termed MEN1, and found to result from a number of different mutations within the MEN1 tumor suppressor gene located on chromosome 11q13. This gene encodes for a 610-amino acid protein known as menin, which is a scaffold protein involved in gene expression.3,8 The MEN subtype expressing medullary thyroid cancer (MTC) and pheochromocytoma was initially classified as MEN2 and attributed to numerous mutations of the RET proto-oncogene, located on chromosome 10q11.2. The RET gene encodes for the RET protein, which is a tyrosine-kinase receptor involved in the growth and differentiation of neural crest tissue.9 MEN2 was further subclassified into those manifesting MTC, pheochromocytoma, and parathyroid disease (MEN2A) and those without parathyroid disease but instead manifesting neuromas of the mucosa, marfanoid habitus, and other abnormalities of the mesoderm (MEN2B), with the phenotypic differences being attributed to different mutations within the RET gene.6,10,11 MEN2A and MEN2B have subsequently gone on to be reclassified as MEN2 and MEN3, respectively. All of the above genetic mutations have been shown to primarily demonstrate an autosomal dominant pattern of inheritance in a multitude of studies. However, examples of sporadic mutation have been recorded as well.3

In 2002, a group of German investigators reported the accidental discovery of a novel hereditary cancer syndrome in a population of Sprague-Dawley rats, which resulted in multiple endocrine neoplasms within the first year of life. These animals manifested multiple pheochromocytomas, thyroid neoplasia, parathyroid hyperplasia, and pituitary adenomas, usually preceded by the development of cataracts. The phenotypic similarity of this new cancer syndrome to known human MEN syndromes led them to evaluate the MEN1 and RET genes in these animals, which were found to be without identifiable pathologic mutation.12 This syndrome was initially termed MENX due to its similarities with MEN1 and MEN2. Further genetic analysis by the group responsible for the initial discovery identified a germline mutation in cyclin-dependent kinase inhibitor 1B (CDKN1B), a gene on chromosome 12p13.1 that encodes for p27, a 196-amino acid cell-cycle inhibitor involved with progression at the G1 checkpoint. In normal function, p27 binds and inhibits multiple cyclin/cyclin-dependent kinase (CDK) complexes. The loss of this inhibition allows for the cyclin/CKD complexes to phosphorylate proteins of the retinoblastoma family, which release transcription factors that allow for the progression of the cell cycle from the G1 to S phase. Since up to 30% of patients diagnosed with MEN1 at that time did not have an identifiable mutation in the MEN1 gene, investigators then evaluated this subset of patients for human CDKN1B mutations. Their discovery that a number of these patients demonstrated mutation in the CKDN1B gene led to the establishment of MEN4 as a novel subtype of the MEN family of syndromes.2

As expected, given the prior misclassification of MEN4 as MEN1, the two syndromes share a number of phenotypic similarities, though the comprehensive phenotypic characterization of MEN4 remains an area in need of further investigation, as only approximately 30 cases describe clinical manifestations of MEN4 in current literature. A recent report of 13 members of a single Danish family with CDKB1B mutation and the presence of endocrine tumor or biochemical evidence of hyperparathyroidism considerably increases the number of subjects from which to draw observation, though overall numbers remain low.

MEN1 is classically described as expressing parathyroid adenomas, anterior pituitary adenomas, and various entero-pancreatic neuroendocrine tumors. Recent reviews report parathyroid adenoma as the prevalent manifestation of this syndrome, present in approximately 90% of cases. Pituitary lesions are seen in 30%-40% of cases, with prolactinoma being the most common pathologic subtype. The incidence of entero-pancreatic lesions is less well defined, though gastrinoma is the most common neuroendocrine tumor reported. A number of other neoplasms have been reported in MEN1 patients with variable degrees of incidence, including adrenal lesions, angiofibromas, meningiomas, lipomas, and neuroendocrine tumors of the bronchopulmonary tract, thymus, and stomach. Incidence of MEN4 neoplastic manifestations remains unclear secondary to small patient population, though most commonly, these patients present with parathyroid and pituitary adenomas, renal and adrenal tumors, gastro-entero-pancreatic neuroendocrine tumors, and less commonly, cancers of the reproductive tract (testicular cancer and neuroendocrine cervical cancer).3 In the above-mentioned study of a Danish family with CKDN1B mutation, all 13 family members with gene mutation demonstrated mild asymptomatic hypercalcemia secondary to primary hyperthyroidism, suggesting that, like MEN1, parathyroid adenoma is the most common endocrine abnormality. Three family members were found to have nonfunctional pituitary adenomas, and a fourth was diagnosed with an ACTH-secreting adenoma, contrasting with the higher incidence of prolactinoma seen in MEN1. A review of historical data comprised of 30 separate patients also is without evidence of prolactinoma. However, there are numerous cases of entero-pancreatic neuroendocrine tumors, and in some cases, numerous tumors in the same patient.5

Our patient's presentation of MEN4 is atypical. While the number of described cases remains small, almost all patients reported in the literature to suffer from MEN4 manifest primary hyperparathyroidism as part of their syndrome. Our patient, however, demonstrated normal serum calcium and parathyroid hormone levels throughout her care. She did display radiographic evidence of pituitary microadenoma, though she did not demonstrate any symptomology or biochemical evidence of pituitary hypersecretion. An adrenal lesion was identified on cross-sectional imaging; hormonal workup suggested a nonsecretory adrenal adenoma. Finally, despite not displaying hyperparathyroidism, the patient's sister has a history of parathyroidectomy for hyperparathyroidism.

MEN4 is a unique and rarely seen familial neoplastic syndrome for which further investigation is warranted, specifically concerning clinical presentation and outcomes following intervention. We offer our case as a contribution to the growing body of literature on the topic, hoping to increase the visibility of this disorder amongst general and endocrine surgeons.

Conclusion

MEN4 is a unique familial neoplastic syndrome caused by a mutation in the cyclin-dependent kinase inhibitor 1B (CDKN1B) gene, leading to unregulated cell-cycle progression in endocrine organs. It is poorly described in the literature, with less than 50 cases reported worldwide, but most commonly presents with hyperparathyroidism, pituitary adenomas, adrenal tumors, and enteropancreatic neuroendocrine tumors. Unlike MEN1, pituitary lesions seen in MEN4 are less likely to represent prolactinoma.

Lessons Learned

In cases of suspected MEN1 without identifiable mutation in the MEN1 gene, further investigation of CDKN1B mutations should be pursued to evaluate if the patient is actually suffering from MEN4.

Authors

DeSantis AJa; Read Ma; Sevilla-Alsina MEb; Velanovich Va

Author Affiliations

  1. Department of Surgery, University of South Florida Morsani College of Medicine, Tampa, FL 33606
  2. Department of Internal Medicine, Division of Diabetes and Endocrinology, University of South Florida Morsani College of Medicine, Tampa, FL 33606

Corresponding Author

Anthony J. DeSantis, MD
Department of Surgery, General Surgery Residency Program
University of South Florida
2 Tampa General Circle, 7th Floor
Tampa, FL 33606
Email: adesanti@usf.edu

Disclosure Statement

The authors have no conflicts of interest to disclose.

Funding/Support

The authors have no relevant financial relationships or in-kind support to disclose.

Received: October 4, 2020
Revision received: December 14, 2020
Accepted: February 1, 2021

References

  1. Lee M, Pellegata NS. Multiple endocrine neoplasia type 4. Front Horm Res. 2013;41:63-78. doi:10.1159/000345670
  2. Pellegata NS. MENX and MEN4. Clinics (Sao Paulo). 2012;67 Suppl 1(Suppl 1):13-18. doi:10.6061/clinics/2012(sup01)04
  3. Thakker RV. Multiple endocrine neoplasia type 1 (MEN1) and type 4 (MEN4). Mol Cell Endocrinol. 2014;386(1-2):2-15. doi:10.1016/j.mce.2013.08.002
  4. Alrezk R, Hannah-Shmouni F, Stratakis CA. MEN4 and CDKN1B mutations: the latest of the MEN syndromes. Endocr Relat Cancer. 2017;24(10):T195-T208. doi:10.1530/ERC-17-0243
  5. Frederiksen A, Rossing M, Hermann P, Ejersted C, Thakker RV, Frost M. Clinical Features of Multiple Endocrine Neoplasia Type 4: Novel Pathogenic Variant and Review of Published Cases. J Clin Endocrinol Metab. 2019;104(9):3637-3646. doi:10.1210/jc.2019-00082
  6. Carney JA. Familial multiple endocrine neoplasia: the first 100 years. Am J Surg Pathol. 2005;29(2):254-274. doi:10.1097/01.pas.0000147402.95391.41
  7. Steiner AL, Goodman AD, Powers SR. Study of a kindred with pheochromocytoma, medullary thyroid carcinoma, hyperparathyroidism and Cushing's disease: multiple endocrine neoplasia, type 2. Medicine (Baltimore). 1968;47(5):371-409. doi:10.1097/00005792-196809000-00001
  8. Matkar S, Thiel A, Hua X. Menin: a scaffold protein that controls gene expression and cell signaling. Trends Biochem Sci. 2013;38(8):394-402. doi:10.1016/j.tibs.2013.05.005
  9. Larouche V, Akirov A, Thomas CM, Krzyzanowska MK, Ezzat S. A primer on the genetics of medullary thyroid cancer. Curr Oncol. 2019;26(6):389-394. doi:10.3747/co.26.5553
  10. Chong GC, Beahrs OH, Sizemore GW, Woolner LH. Medullary carcinoma of the thyroid gland. Cancer. 1975;35(3):695-704. doi:10.1002/1097-0142(197503)35:3<695::aid-cncr2820350323>3.0.co;2-w
  11. Sizemore GW, Health H 3rd, Carney JA. Multiple endocrine neoplasia type 2. Clin Endocrinol Metab. 1980;9(2):299-315. doi:10.1016/s0300-595x(80)80035-1
  12. Fritz A, Walch A, Piotrowska K, et al. Recessive transmission of a multiple endocrine neoplasia syndrome in the rat. Cancer Res. 2002;62(11):3048-3051.