Unsupported Browser
The American College of Surgeons website is not compatible with Internet Explorer 11, IE 11. For the best experience please update your browser.
Menu
Become a member and receive career-enhancing benefits

Our top priority is providing value to members. Your Member Services team is here to ensure you maximize your ACS member benefits, participate in College activities, and engage with your ACS colleagues. It's all here.

Become a Member
Become a member and receive career-enhancing benefits

Our top priority is providing value to members. Your Member Services team is here to ensure you maximize your ACS member benefits, participate in College activities, and engage with your ACS colleagues. It's all here.

Become a Member
ACS
ACS Case Reviews

A Rare Case of Breast Metastasis from Dedifferentiated Liposarcoma

October 20, 2023

Abstract

Background

A 71-year-old female patient presented with a breast mass found to be metastatic sarcoma three years after the excision of a lower extremity sarcoma. To our knowledge, no isolated case reports of solitary breast metastasis from dedifferentiated liposarcoma have been previously reported in the English language literature.

Summary

A 71-year-old female presented for the management of an enlarging palpable right breast mass. She had no family or personal history of breast cancer but had a significant surgical history for excision of a left lower extremity sarcoma three years prior. According to the patient and referring primary care provider (PCP), she refused all indicated adjuvant treatments after her sarcoma excision. After a core needle biopsy (CNB) of her right breast mass revealed findings consistent with spindle-cell sarcoma, the patient underwent a mammogram-guided needle-localized lumpectomy with axillary sentinel lymph node biopsy. Final surgical pathology revealed high-grade sarcoma without lymphatic involvement. Non-hematologic extramammary metastases are rare neoplasms of the breast, accounting for <1% of malignant breast tumors; among the documented cases, metastatic sarcomas are extremely rare.

Conclusion

Extramammary metastasis to the breast is associated with an extremely poor prognosis and must always be considered in the differential diagnosis of breast masses. We present an unusual case of a breast mass found to be a metastasis from a lower extremity dedifferentiated liposarcoma. Given the rarity, there is no standard treatment or guidelines to abide by, and thus, treatment must be individualized using a multidisciplinary approach.

Soft tissue sarcoma metastases have been well-documented along with the route of transmission and most common sites. This report of mistreated sarcoma due to poor patient follow-up led to a rare occurrence of metastasis to the breast, further emphasizing the need for proper patient surveillance for sarcomas in association with the extended realm of possible metastatic sites.

Key Words

sarcoma; solitary metastasis; breast; breast metastases; extramammary metastases; metastases; liposarcoma; metastatic sarcoma


Case Description

Primary breast cancer is the most common malignancy in women, with metastasis to the breast most commonly being from primary breast cancer of the contralateral breast. Metastasis from nonbreast solid tumors is exceedingly rare, accounting for only 0.3-2% of all malignant mammary tumors.1,2 When a breast mass is appreciated on a physical exam or discovered on imaging, it is uncommon but important to include metastatic disease to the breast in the differential, especially in patients with a known history of extramammary malignancy.1-4 The contrast in the management and prognosis of metastatic breast disease, as opposed to primary breast malignancy, highlights the importance of this diagnostic challenge. Here we report a case of metastatic sarcoma to the breast and a brief literature review on extramammary metastases to the breast.

A 71-year-old woman was referred to us for management of a large palpable right breast mass, for which she had undergone a core-needle biopsy at an outside facility with findings highly concerning for metastatic sarcoma. Her history was significant for the excision of a left lower extremity dedifferentiated liposarcoma three years prior. According to her PCP, an extensive discussion was had about her surgical options, including amputation or excision and adjuvant therapy to prevent metastasis or recurrence. The patient opted for the latter to salvage the limb, but after the excision, she refused any recommended adjuvant therapy. She then presented to us 26 months later with findings of a 3.2 cm lobulated hypoechoic right breast mass located at the 11:00 position, 10 cm from the nipple, without any additional findings, including palpable axillary lymphadenopathy bilaterally.

The core needle biopsy slides from the outside facility were submitted for second and third opinions to our institution's pathology department and Memorial Sloan Kettering, which confirmed metastatic sarcoma. She then underwent a bilateral breast magnetic resonance imaging (MRI) (Figure 1) as well as a whole-body positron emission tomography (PET) scan. PET scan showed mild uptake (1.5 standard uptake value [SUV]) of a 9 mm nodule in the right lower lobe of the lung (Figure 2) as well as in the right breast mass. After a multidisciplinary tumor board discussion, it was decided that surgical excision of the breast mass with a sentinel lymph node biopsy would precede chemotherapy. While there is little evidence for lymph node metastasis in liposarcoma, a sentinel node biopsy was performed for a more thorough approach to the breast lesion. The medical oncology team agreed this would be an appropriate course, given that her sub-centimeter pulmonary nodule did not necessarily mandate systemic treatment in the neoadjuvant setting. Moreover, the patient herself was very motivated to have her mass removed as it was causing her pain and discomfort.

Figure 1. Bilateral breast MRI with intravenous (IV) contrast Axial T2 STIR sequence. Published with Permission

Image depicts right breast mass with intimal connection with pectoralis muscle, 3 x 3.5 x 4.5 cm, very dense lobulated mass with postbiopsy clip marker
Image depicts right breast mass with intimal connection with pectoralis muscle, 3 x 3.5 x 4.5 cm, very dense lobulated mass with postbiopsy clip marker

Figure 2. Bilateral breast MRI with intravenous (IV) contrast Sagittal T2 STIR sequence. Published with Permission

Image depicts right breast mass with intimal connection with pectoralis muscle, 3.0 × 3.5 × 4.5 cm, very dense lobulated mass with postbiopsy clip marker
Image depicts right breast mass with intimal connection with pectoralis muscle, 3.0 × 3.5 × 4.5 cm, very dense lobulated mass with postbiopsy clip marker

Figure 3. Axial PET/CT Fusion. Published with Permission

Well-circumscribed, round 9 mm right lower lobe mass (arrow) with mild increased FDG uptake; SUV max 1.5, concerning for metastatic deposit
Well-circumscribed, round 9 mm right lower lobe mass (arrow) with mild increased FDG uptake; SUV max 1.5, concerning for metastatic deposit

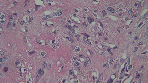
The patient underwent a mammogram-localized right breast lumpectomy and sentinel lymph node biopsy with an uncomplicated postoperative course. The excised mass was firm, tan/white, measuring 5.0 × 4.0 × 2.5 cm in size, with pathology revealing sheets of spindle cells with a Ki-67 index of 40%, consistent with high-grade sarcoma (Figure 3). The margins were tumor-free, and the lymph nodes were negative for malignancy. Immunohistochemical (IHC) stains were positive for smooth muscle actin and vimentin (Figure 4 and Figure 5, respectively) and negative for pan-keratin, S-100, p63, mammaglobin, E-cadherin, calponin, and CK 5/6. The final pathology review determined the mass to be consistent with the metastatic spread from her previous lower extremity sarcoma. The patient agreed to undergo adjuvant whole breast irradiation, followed by adjuvant chemotherapy.

Figure 4. H & E Stain of Tumor Cells Showing Sheets of Spindle Cells. Published with Permission

A. 10x magnification
A. 10x magnification
B. 40x magnification
B. 40x magnification

Figure 5. Smooth Muscle Actin (SMA) Immunohistochemical Stain of Tumor. Published with Permission

Intermediate magnification (10x) showing sheets of spindle cells positive for SMA
Intermediate magnification (10x) showing sheets of spindle cells positive for SMA

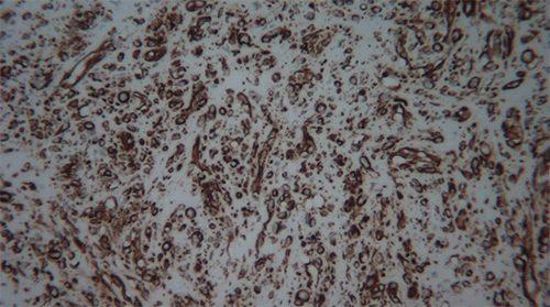
Figure 6. Vimentin (VIM) Immunohistochemical Stain of Tumor. Published with Permission

Intermediate magnification (20x) showing sheets of spindle cells positive for vimentin
Intermediate magnification (20x) showing sheets of spindle cells positive for vimentin

Discussion

Breast cancer is the most common malignancy in women in the world. However, metastatic disease of the breast is rare and is often an unexpected diagnosis in a female patient with a breast mass. Primary malignancy from the contralateral breast is the most common source of breast metastases.1-8 Excluding hematologic malignancies as they are systemic diseases, the proportion of malignant breast tumors originating from extramammary solid neoplasms is <1%.1-8 The first reported case of such metastasis was reported in 1903.9 A review of English language publications identified that less than 500 cases of metastasis to the breast from nonbreast solid tumors had been described since first reported.1,2,3,10

Of the solid malignancies found to metastasize to the breast, the most common primary tumors include malignant melanoma, lung adenocarcinoma, and ovarian serous papillary carcinoma.1,2 The presentation of metastases to the breast is similar to that of primary breast malignancies, frequently presenting as a palpable lump with a variable degree of discomfort. The mass is generally well-circumscribed and freely mobile, which may suggest a benign pathology such as a fibroadenoma.10 In patients with a known history of malignancy, the interval between diagnosis of the primary tumor and metastases to the breast has been shown to vary from 1 month to 15 years.11

On mammography, most breast metastases have been reported as unilateral solitary masses. However, a small portion may present bilaterally or with multiple masses, as reported by Akcay et al.2,3,10,12 The lesions are generally well-circumscribed with slightly irregular margins and sharply defined; the presence of microcalcifications is rare except in the case of metastatic ovarian carcinomas with psammoma bodies.2,3,10,12 Ultrasound evaluation typically shows a hypoechoic mass without spiculations.10,12

Due to the prevalence of primary breast cancer, even in those with a known history of extramammary malignancy, a breast mass is most likely a primary breast tumor. It thus should be evaluated using a diagnostic bilateral mammogram and ultrasound. Subsequently, a percutaneous biopsy should be performed to establish a tissue diagnosis. To further assist in differentiation in those with a history of cancer, the pathologist should review and compare slides from the primary tumor to those of the breast mass. IHC staining provides valuable information about the diagnosis, particularly in those without previously diagnosed malignancy.3

The presence of breast metastases is associated with an extremely poor prognosis. The median survival duration from the time of breast metastasis diagnosis has been consistently reported in the 8–14 months range. The poor survival noted in these patients can be attributed to a high prevalence of widespread concomitant metastases at the time of the discovery of the breast mass.3,4,8

The primary treatment strategy for breast metastases should be individualized systemic therapies based on the primary tumor.1-4 While the findings of Williams et al. and Sun et al. show a significant overall survival benefit in patients who underwent surgery compared to those who did not, both studies may be limited by small sample size and selection bias as surgery may not have been tolerated well in patients with advanced disease or poor health.3,12 As the benefit that may be derived from surgical resection is controversial due to the already poor prognosis and the limited data supporting a survival benefit, aligning treatment with the therapeutic goals of the patient should be paramount. Further research is warranted to fully elucidate the survival benefit of surgically resecting metastases to the breast.

Soft tissue sarcomas are unique in that they can arise from any site in the body originating from muscle, cells, blood and lymphatic vessels, and/or nerves.13 Approximately 20% of all soft tissue sarcomas are liposarcomas. There are three biological subtypes of liposarcomas, and the most common type is well-differentiated liposarcoma, which has a high-grade variant known as dedifferentiated liposarcoma.14 Dedifferentiated liposarcomas are most frequently found in the retroperitoneum compared to outside sites, including extremities.

Conclusion

Metastatic disease of the breast is a rare phenomenon with an extremely poor prognosis. It should always be considered in the differential diagnosis of a breast mass, especially in those with a history of cancer. In patients with a known history of cancer, multiple or bilateral masses or a single mass without associated calcifications should heighten the clinician's suspicion of metastatic breast disease. Accurate and timely diagnosis is important for individualized treatment due to the poor prognosis. While surgical resection of metastatic disease to the breast may confer a survival benefit, it remains to be further studied.

Lessons Learned

Extramammary metastasis to the breast is rare but important to consider in patients presenting with a breast mass, particularly those with a history of malignancy. Metastatic disease of the breast is associated with a poor prognosis, and management requires an individualized multidisciplinary approach. The survival benefit conferred by surgical resection is unknown.

Authors

Cuoccio Ca; Narula Sa; Ocasio Aa; Baqui AAb; Genato Ra; Chen Ca

Author Affiliations

  1. Department of Surgery, The Brooklyn Hospital Center, Brooklyn, NY 11201
  2. Department of Pathology, The Brooklyn Hospital Center, Brooklyn, NY 11201

Corresponding Author

Christina Cuoccio, MD, MS
Department of Surgery
The Brooklyn Hospital Center
121 Dekalb Avenue
Brooklyn, NY 11201
Email: christina.cuoccio@gmail.com

Disclosure Statement

The authors have no conflicts of interest to disclose.

Funding/Support

The authors have no relevant financial relationships or in-kind support to disclose.

Received: December 30, 2020
Revision received: February 27, 2021
Accepted: April 19, 2021

 

References

  1. Alva S, Shetty-Alva N. An update of tumor metastasis to the breast data. Arch Surg. 1999;134(4):450. doi:10.1001/archsurg.134.4.450
  2. Akçay MN. Metastatic disease in the breast. Breast. 2002;11(6):526-528. doi:10.1054/brst.2002.0467
  3. Williams SA, Ehlers RA 2nd, Hunt KK, et al. Metastases to the breast from nonbreast solid neoplasms: presentation and determinants of survival. Cancer. 2007;110(4):731-737. doi:10.1002/cncr.22835
  4. Lee SK, Kim WW, Kim SH, et al. Characteristics of metastasis in the breast from extramammary malignancies. J Surg Oncol. 2010;101(2):137-140. doi:10.1002/jso.21453
  5. Georgiannos SN, Chin J, Goode AW, Sheaff M. Secondary neoplasms of the breast: a survey of the 20th Century. Cancer. 2001;92(9):2259-2266. doi:10.1002/1097-0142(20011101)92:9<2259::aid-cncr1571>3.0.co;2-o
  6. Vaidya T, Ramani S, Rastogi A. A case series of metastases to the breast from extramammary malignancies. Indian J Radiol Imaging. 2018;28(4):470-475. doi:10.4103/ijri.IJRI_218_18
  7. Buisman FE, van Gelder L, Menke-Pluijmers MB, Bisschops BH, Plaisier PW, Westenend PJ. Non-primary breast malignancies: a single institution's experience of a diagnostic challenge with important therapeutic consequences-a retrospective study. World J Surg Oncol. 2016;14(1):166. Published 2016 Jun 23. doi:10.1186/s12957-016-0915-4
  8. DeLair DF, Corben AD, Catalano JP, Vallejo CE, Brogi E, Tan LK. Non-mammary metastases to the breast and axilla: a study of 85 cases. Mod Pathol. 2013;26(3):343-349. doi:10.1038/modpathol.2012.191
  9. Trevithick E: A case report of chloroma with clinical history and account of post mortem appearances. Lancet. 1903;2: 158-160. DOI: https://doi.org/10.1016/S0140-6736(01)46033-8.
  10. Alvarado-Cabrero I. Metastatic tumors to the breast. In: Stolnicu S, Alvarado-Cabrero I, eds. Practical atlas of breast pathology. Springer, Cham; 2018:459-473. https://doi.org/10.1007/978-3-319-93257-6.
  11. Lakhani SR, Ellis IO, Schnitt S, Tan PH, van de Vijver M. WHO Classification of Tumours of the Breast. Lyon: IARC; 2014.
  12. Sun P, Chen J, Lu J, Luo R, Li M, He J. Characteristics of breast metastases from non-breast solid tumors in 22 patients from a southern Chinese population. Oncol Lett. 2018;15(3):3685-3693. doi:10.3892/ol.2018.7741
  13. Contreras CM, Heslin MJ. Soft tissue sarcoma. In: Townsend C.M. Jr., Daniel Beauchamp R., Mark Evers B., Mattox K.L., eds. Sabiston Textbook of Surgery: The Biological Basis of Modern Surgical Practice. 20th ed. Elsevier; Philadelphia, PA, USA: 2017:754-772.
  14. Brennan MF, Antonescu CR, Alektiar KM, Maki RG. Liposarcoma. In: Management of Soft Tissue Sarcoma. Springer, Cham; 2016:105-124