Unsupported Browser
The American College of Surgeons website is not compatible with Internet Explorer 11, IE 11. For the best experience please update your browser.
Menu
Become a member and receive career-enhancing benefits

Our top priority is providing value to members. Your Member Services team is here to ensure you maximize your ACS member benefits, participate in College activities, and engage with your ACS colleagues. It's all here.

Become a Member
Become a member and receive career-enhancing benefits

Our top priority is providing value to members. Your Member Services team is here to ensure you maximize your ACS member benefits, participate in College activities, and engage with your ACS colleagues. It's all here.

Become a Member
ACS
ACS Case Reviews

A Robotic Gastrointestinal Stromal Tumor Excision and Sliding Hiatal Hernia Repair

October 20, 2023

Abstract

Background

A female patient presented with abdominal pain and vomiting, which led to the discovery of a gastrointestinal stromal tumor (GIST) along with a large sliding hiatal hernia. It was determined that the patient would undergo surgical intervention for both diagnoses.

Summary

Our 67-year-old patient was seeking medical care for abdominal pain and vomiting in an emergency room, where she was referred for a gastrointestinal workup with a gastroenterologist. The patient was diagnosed with a GIST along with a sliding hiatal hernia, both requiring surgical intervention. GISTs are rare tumors that arise from the gastrointestinal tract. Although these tumors are quite rare, they are the most common type of mesenchymal tumors of the gastrointestinal tract, and they tend to arise in the stomach or small intestine. These tumors are usually found incidentally on abdominal computerized tomography (CT) scans, endoscopies, and during surgeries performed for other purposes. GISTs are capable of being treated medically; however, this particular patient was a surgical candidate due to the size of the mass, and when the endoscopy was performed, there was a central ulceration of the mass with stigmata of bleeding. Patients who present symptomatically may have nonspecific symptoms such as nausea, vomiting, early satiety, abdominal pain or distention, and rarely a palpable mass. With proper treatment, the prognosis is generally favorable.

Conclusion

We present a case of a GIST that required surgical resection. Additionally, a large sliding hiatal hernia was found during the surgical workup. This is the first case reported in which a robotic gastric wedge resection was performed with a sliding hiatal hernia repair.

Key Words

gastrointestinal stromal tumor; hiatal hernia; Cajal cells


Case Description

A 67-year-old female presented to the emergency department with abdominal pain and vomiting. She was referred to a gastroenterologist for an abdominal workup. She had an esophagogastroduodenoscopy (EGD, Figure 1) and CT (Figure 2) done, both showing evidence of tumor growth in her stomach.

Figure 1. Endoscopy Revealing GIST on Anterior Wall of Stomach. Published with Permission

A large sliding hiatal hernia was discovered on the EGD, which confirmed the size and morphology of the hernia. Additionally, the EGD revealed a 35 mm submucosal mass in the body of the stomach close to the pylorus on the anterior wall along the greater curvature. The patient's upper abdominal pain was mainly attributed to the hiatal hernia. The surgeon decided that during the hiatal hernia surgery, he would also address the tumor due to its malignant potential.

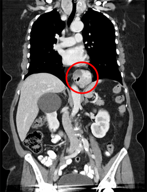
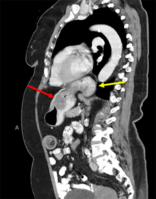
Figure 2: Abdominal CT Scan. Published with Permission

Note evidence of tumor growth on anterior wall of the stomach (red arrow); CT also displays sliding hiatal hernia (yellow arrow)
Note evidence of tumor growth on anterior wall of the stomach (red arrow); CT also displays sliding hiatal hernia (yellow arrow)

Figure 3. Hiatal Hernia Apparent in CT Scan. Published with Permission

Multiple cold forceps biopsies were taken for histological workup. These biopsies were inconclusive, which is uncommon with GIST tumors.1 The patient was therefore referred for an endoscopic ultrasound with fine needle biopsy that revealed bland spindle cell proliferation, consistent with a GIST.

The patient was subsequently referred to a general surgeon to address the tumor and hiatal hernia. The CT was reviewed, and a subsequent upper GI swallow study (Figure 4) was ordered. The UGI swallow study was conducted to evaluate the esophagogastric anatomy and functionality. The patient was determined to be a good surgical candidate for a robotic gastric wedge resection. Additionally, a hiatal hernia repair was planned to occur at the time of the tumor removal. There would be no neoadjuvant therapy ahead of the procedure.

Figure 4. Clear Visual of Tumor Via Upper GI Barium Swallow. Published with Permission

Tumor is nonobstructive, as evidenced by distal progression of oral contrast
Tumor is nonobstructive, as evidenced by distal progression of oral contrast

When the surgery was carried out, the sliding hiatal hernia was addressed before the excision of the mass because the stomach had to be reduced from the hernia down to its anatomical position to achieve good access to the anterior gastric wall to perform the wedge resection. The best surgical approach for the hernia was determined to consist of a posterior cruroplasty. The stomach was retrieved from the mediastinum (Figure 5), obtaining at least 3 cm of intraabdominal esophagus. It took three interrupted sutures to close the posterior crus, and then one anterior suture was placed to close the hernial defect completely. A fundoplication was not performed because that would have required transection and cauterization of the short gastric vessels and mobilization of the fundus, which could compromise the blood perfusion of the anticipated wedge resection site. The surgery then transitioned to the attention of the tumor excision. Its location was on the anterior gastric wall (Figure 6); thus, an anterior wall gastrotomy was done to visualize the submucosal mass. The excision of the mass occurred via a wedge resection technique. The wedge resection was performed by elevating the anterior gastric wall and performing a wide local excision. Once the mass was excised, it was retrieved with an endo-catch bag. The robotic platform allowed for a precise resection and adequate closure of the anterior wall gastrotomy using an intracorporeal suturing technique. A Vistaseal was used to reinforce the closure.

Figure 5. Hiatal Hernia Reduced from Mediastinum and Subsequently Repaired with Posterior Cruroplasty Approach. Published with Permission

Figure 6. Gastrointestinal Stromal Tumor on Anterior Gastric Wall. Published with Permission

The patient remained in the hospital for five days. She was started on a liquid diet on postoperative day (POD) 1 and advanced appropriately. She also underwent an upper GI swallow study, which revealed no obstruction or extravasation of the contrast. It also revealed that the stomach was intraabdominal without evidence of a hiatal hernia. The patient's hospital stay was longer than anticipated because, on POD 1, she developed temporary blindness of her right eye, resulting in a stroke workup. The workup was negative, and the temporary blindness was resolved without intervention.

The pathology findings were congruent with a gastrointestinal stromal tumor, epithelioid type. The immunological stains were positive for KIT (CD117) and DOG1 (ANO1). The tumor size was measured at 43 mm, and the mitotic rate was 2/50 mm.2 The histologic grade was G1 (low-grade). The distance of the tumor from the closest margin was 3 mm. Overall, this indicated that the patient's prognosis was very favorable due to these pathological findings. Her risk assessment was considered "low risk" (Table 1). Nonetheless, the patient was sent for oncology evaluation, and it determined that adjuvant therapy with a tyrosine kinase inhibitor was not required.

Table 1. NIH Risk Assessment of GISTs Based on Tumor Size and Mitotic Count.3

Risk Tumor size (cm) Mitotic count (HPF)
Very low risk <2 <5/50
Low risk 2.1-5 <5/50
Intermediate risk <5 6/10/50
10-May <5/50
High risk >5 >5/50
>10 Any mitotic count

GIST, gastrointestinal stromal tumor;
HPF, high power field

Risk Tumor size (cm) Mitotic count (HPF)
Very low risk <2 <5/50
Low risk 2.1-5 <5/50
Intermediate risk <5 6/10/50
10-May <5/50
High risk >5 >5/50
>10 Any mitotic count

GIST, gastrointestinal stromal tumor;
HPF, high power field

Discussion

Advances in immunohistochemistry have significantly improved the accuracy of diagnosing gastrointestinal stromal tumors. This type of tumor was long thought to originate from smooth muscle; however, they actually originate from the same lineage as the interstitial cells of Cajal. The interstitial cells of Cajal are important for the physiological function of the gastrointestinal system. They are referred to as the pacemaker cells of the GI tract because they initiate rhythmic depolarization of intestinal smooth muscle cells that then propagate along the length of the GI tract. These cells are found in the stomach and small and large intestines. Two mutations are important for the development of GISTs, namely, KIT (CD 117) and platelet-derived growth factor receptor alpha (PDGFRA). These mutations cause activation of their encoded tyrosine kinase receptors, leading to constitutional activation in about 85% of sporadic cases of GISTs.4

These tumors present with different manifestations depending upon the size and location. Some tumors cause GI bleeding, which may present as hematochezia or melena, while other tumors may cause abdominal pain, abdominal, distention, and early satiety.4 Moreover, these symptoms are nonspecific; thus, the clinician must keep these particular tumors in mind.

GIST management largely depends on the tumor's location, size, spread, and clinical presentation. GISTs are found in the submucosa; therefore, endoscopic resection runs the risk of retained margins, tumor spillage, and perforation.5 The primary approach is surgical resection of the GIST if the tumor is ≥2 cm and has not metastasized. The goal is to obtain negative margins without rupturing the tumor because poor outcomes are associated with tumor rupture. Routine systemic lymphadenectomy is not indicated because of the low risk of lymph node involvement.6 Certain GISTs may require neoadjuvant therapy with a tyrosine kinase inhibitor if there is evidence of metastasis or if the tumor is deemed unresectable or recurrent.5 In this patient, neoadjuvant treatment was unnecessary because there was no evidence of metastasis, and the mass was approximately 35 mm and deemed a manageable size for surgical resection alone. It has been reported that laparoscopic wedge resection for GISTs less than 5 cm in size is superior to the open approach due to faster recovery time, shorter hospital stays, and less blood loss and inflammation experienced from the surgery.6 In this case, a robotic wedge resection was performed to provide greater dexterity for the hernia repair and increased precision of the GIST excision. Robotic procedures have been found to provide multiple benefits over laparoscopic surgery, like reliable camera positioning and three-dimensional field view along with an increased range of motion, accuracy, and precision of each movement.7

Pathology confirmed the tumor was a GIST. As noted previously, the pathology report of the specimen revealed the closest margin was 3 mm from the tumor. Some sources recommend the goal of tumor-free margins of 1 to 2 cm; however, the optimal surgical margin remains a topic of debate regarding the surgical management of GISTs.8 A study of 200 GISTs performed by DeMatteo et al. revealed that surgical margins do not influence recurrence rates or survival outcomes.9 The surgical goal, in this case, was to obtain complete resection with tumor-free margins.

After the postoperative visit to ensure the surgical incisions were healing properly and the symptoms regarding her hiatal hernia had resolved, the patient was cleared from a surgical standpoint to resume regular activities. The National Comprehensive Cancer Network recommends a close follow-up with regular surveillance scans with CT scans of the abdomen and pelvis every three to six months for up to five years to monitor for recurrence or metastasis. If scans are normal following that, the CT scans can be performed annually.10,11 In this case, the patient did not require adjuvant therapy due to the low-risk nature of her tumor, but oncology will continue to monitor for any changes.

Conclusion

GIST treatment can vary immensely depending on the prognostic factors associated with the details of the tumor itself and the patient's health status. Surgical interventions have continually evolved in the past several years, so much so that recovery times have improved markedly. The surgeon, in this case, recognized that doing a hiatal hernia repair concurrently with a surgical resection for a tumor using a robotic technique was the option that offered the best outcome for the patient. Using the surgical robot, in this case, allowed the patient to recover quickly and acclimate to normal daily living activities in a matter of a week. She had a successful recovery and has been doing well since the procedure. This case highlights the importance of surgical decision-making and the incorporation of best practices with efficient methodologies for optimal patient outcomes.

Lessons Learned

Gastrointestinal stromal tumors may be rare, but they should still be part of a vast differential diagnosis when patients present with gastrointestinal symptoms, especially when a mass is suspected or found. Various surgical options are available to excise these types of tumors, and pharmaceutical treatment consists of a tyrosine kinase receptor inhibitor. Whether the tumor will be treated surgically, medically, or both will be dependent upon patient factors, characteristics of the mass, and the expertise of surgeons and oncologists.

Authors

Cali LEa,c; Chau Aa,c; Caceres Ma; Co PVTb

Author Affiliations

  1. Jackson Hospital, The Jackson Clinic General Surgery, Montgomery, AL 36106
  2. Jackson Hospital, The Jackson Clinic Gastroenterology, Montgomery, AL 36106
  3. Alabama College of Osteopathic Medicine, Dothan, AL 36303

Corresponding Author

Liane E. Cali, DO
University of Pittsburg Medical Center
1515 Locust Street
Pittsburgh, PA 15219
Email: calil@acom.edu

Disclosure Statement

The authors have no conflicts of interest to disclose.

Funding/Support

The authors have no relevant financial relationships or in-kind support to disclose.

Received: October 4, 2020
Revision received: February 23, 2021
Accepted: March 4, 2021

References

  1. Gold JS, Dematteo RP. Combined surgical and molecular therapy: the gastrointestinal stromal tumor model. Ann Surg. 2006;244(2):176-184. doi:10.1097/01.sla.0000218080.94145.cf
  2. Steigen SE, Eide TJ. Gastrointestinal stromal tumors (GISTs): a review. APMIS. 2009;117(2):73-86. doi:10.1111/j.1600-0463.2008.00020.x
  3. Parab TM, DeRogatis MJ, Boaz AM, et al. Gastrointestinal stromal tumors: a comprehensive review. J Gastrointest Oncol. 2019;10(1):144-154. doi:10.21037/jgo.2018.08.20
  4. Burch J, Ahmad I. Gastrointestinal Stromal Cancer. In: StatPearls. Treasure Island (FL): StatPearls Publishing; September 26, 2022.
  5. Morgan J, Raut CP. Adjuvant and neoadjuvant imatinib for gastrointestinal stromal tumors. In: Shah S, ed. UpToDate; 2020. www.uptodate.com. Accessed March 30, 2020.
  6. Kong SH, Yang HK. Surgical treatment of gastric gastrointestinal stromal tumor. J Gastric Cancer. 2013;13(1):3-18. doi:10.5230/jgc.2013.13.1.3
  7. Morris B. Robotic surgery: applications, limitations, and impact on surgical education. MedGenMed. 2005;7(3):72. Published 2005 Sep 27.
  8. Hebbard P. Partial gastrectomy and gastrointestinal reconstruction. In: Chen W, ed. UpToDate; 2020. www.uptodate.com. Accessed February 13, 2021.
  9. DeMatteo RP, Lewis JJ, Leung D, Mudan SS, Woodruff JM, Brennan MF. Two hundred gastrointestinal stromal tumors: recurrence patterns and prognostic factors for survival. Ann Surg. 2000;231(1):51-58. doi:10.1097/00000658-200001000-00008
  10. National Comprehensive Cancer Network (NCCN). NCCN Guidelines for Patients Follicular Lymphoma. Available at: https://www.nccn.org/patients/guidelines/content/PDF/sarcoma-patient.pdf.
  11. Demetri GD, von Mehren M, Antonescu CR, et al. NCCN Task Force report: update on the management of patients with gastrointestinal stromal tumors. J Natl Compr Canc Netw. 2010;8 Suppl 2(0 2):S1-S44. doi:10.6004/jnccn.2010.0116