Unsupported Browser
The American College of Surgeons website is not compatible with Internet Explorer 11, IE 11. For the best experience please update your browser.
Menu
Become a member and receive career-enhancing benefits

Our top priority is providing value to members. Your Member Services team is here to ensure you maximize your ACS member benefits, participate in College activities, and engage with your ACS colleagues. It's all here.

Become a Member
Become a member and receive career-enhancing benefits

Our top priority is providing value to members. Your Member Services team is here to ensure you maximize your ACS member benefits, participate in College activities, and engage with your ACS colleagues. It's all here.

Become a Member
ACS
ACS Case Reviews

Renal Leiomyoma in a Symptomatic 54-Year-Old Woman

August 10, 2023

Abstract

Background

We present a case of a clinically symptomatic 54-year-old woman with a 16 cm renal leiomyoma diagnosed with histopathology after radical nephrectomy.

Summary

Our patient is a 54-year-old woman who presented with a palpable left abdominal mass. The patient underwent radical nephrectomy with histopathologic evaluation revealing renal leiomyoma. Renal leiomyomas are extremely rare neoplasms most commonly diagnosed by histopathologic evaluation. Imaging of large renal masses fails to establish diagnosis since large benign masses such as leiomyomas may present with necrosis, hemorrhage, or other symptoms concerning of malignancy.

Conclusion

While most renal leiomyomas are incidentally identified on imaging, renal leiomyomas rarely can present as a large symptomatic mass. Often symptomatic masses demonstrate malignant features on imaging, highlighting the importance of histopathologic diagnosis.

Key Words

renal leiomyoma; nephrectomy


Case Description

Renal leiomyomas are benign neoplasms of mesenchymal origin, typically presenting as incidental discoveries on autopsy. Having an incidence of only 5% in autopsy specimens, renal leiomyomas are rare entities, and their clinical incidence is thought to be much lower.1-3 Renal leiomyomas lack distinguishing clinical or radiographic characteristics, and diagnosis is typically made after surgical excision.4,5 We report a case of a large renal leiomyoma in a 54-year-old woman that was surgically excised with radical nephrectomy.

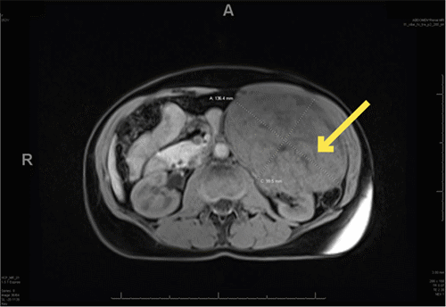
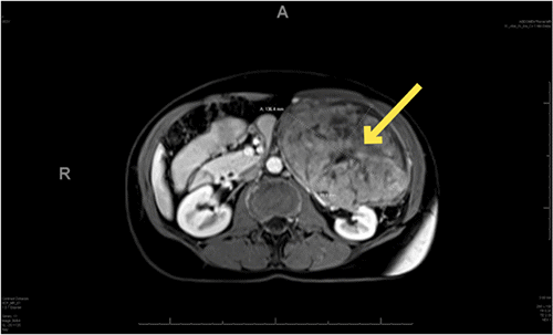
The patient is a 54-year-old woman who presented to the clinic with a one-year history of left-sided abdominal discomfort, fullness, and distension. She noted occasional constipation over the year but denied fevers, night sweats, unexpected weight loss, worsening fatigue, nausea, or vomiting. A palpable mass was appreciated on physical exam. Laboratory values on her complete blood count and comprehensive metabolic panel were unremarkable. Her primary care physician obtained an ultrasound demonstrating a heterogenous retroperitoneal mass measuring 15 cm × 9 cm × 14 cm arising from the left adrenal gland or left kidney. Subsequent magnetic resonance imaging of the abdomen performed at an outside institution (Figure 1) confirmed a 12 cm × 9 cm × 16 cm left-sided retroperitoneal mass displacing the left kidney and the pancreas. Although the mass was well-circumscribed, the origin of the mass was unclear. Intralesional regions of low intensity suggested central necrosis.

Figure 1. T1 Weighted MRI Images of Renal Leiomyoma in Axial. Published with Permission

A) Image depicting without intravenous contrast
A) Image depicting without intravenous contrast
B) Image depicting with intravenous contrast
B) Image depicting with intravenous contrast
C) Image depicting coronal at its largest dimensions
C) Image depicting coronal at its largest dimensions

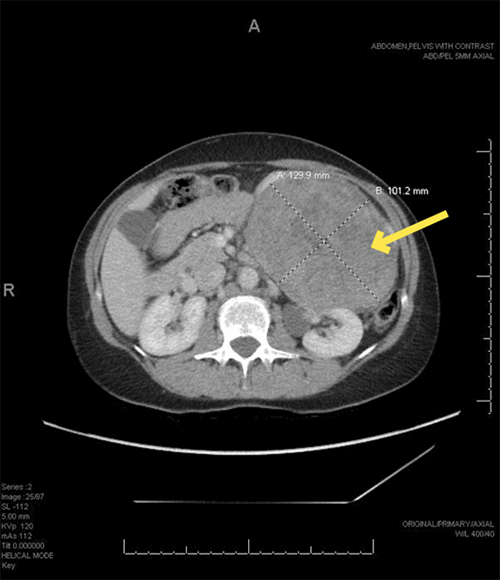
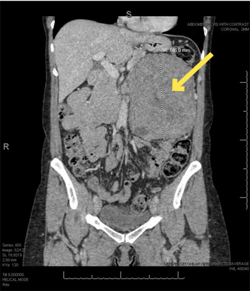
The patient was referred to the surgical oncology service for preoperative evaluation and operative planning for the excision of the mass. Given the size and symptomatic nature of the mass, a decision was made to pursue a more radical surgical excision instead of a percutaneous biopsy. Preoperative computed tomography of the abdomen and pelvis was obtained to assess the anatomic planes for resection because the MRI images performed at the previous medical facility were not readily available (Figure 2).

Figure 2. CT with IV Contrast Images of Mass. Published with Permission

A) Axial at its largest dimensions; images were used for preoperative planning and visualization of planes of dissection
A) Axial at its largest dimensions; images were used for preoperative planning and visualization of planes of dissection
B) Coronal at its largest dimensions; images were used for preoperative planning and visualization of planes of dissection
B) Coronal at its largest dimensions; images were used for preoperative planning and visualization of planes of dissection

The patient underwent an exploratory laparotomy and was found to have a large left renal tumor. Intraoperative ultrasound was used to delineate the borders of the mass. No obvious pancreatic connections were appreciated on ultrasound. A radical left nephrectomy was performed, and one lymph node that appeared as a mass near the ligament of Treitz was removed. She tolerated the procedure well without intraoperative complications. Her postoperative course was uncomplicated. Pathology of the resected mass confirmed a well-circumscribed leiomyoma without atypia, necrosis, or mitotic activity, originating from the renal capsule. The tumor was positive for actin, desmin, smooth muscle myosin, estrogen receptor, and progesterone receptor. The tumor was negative for CD34, c-Kit, and DOG-1. Resected lymph node sent with the specimen was benign. She was seen in clinic at her four-week follow-up and was doing well without late postoperative complications or evidence of worsening kidney function.

Discussion

Leiomyomas may arise from smooth muscle cells anywhere along the genitourinary tract. Renal leiomyomas are a subset that most commonly arises from the subcapsular tissue but may also arise from the capsule or renal pelvis.1,4 Although renal leiomyomas are identified in approximately 4.2%-5.2% of autopsy specimens, the clinical incidence of renal leiomyomas is currently unknown.5 In a review of 1030 nephrectomies performed over a ten-year period, renal leiomyomas accounted for 0.29% of treated renal masses and 1.5% of benign renal masses.6 A 2015 study evaluating approximately 4000 renal neoplasms over a 22-year period identified four renal leiomyomas, suggesting an incidence of 0.001%.4 A case series involving three patients and associated literature review suggested that symptomatic renal leiomyomas may have a predilection for females in their second to fifth decades of life.6 The average size of asymptomatic renal leiomyomas is approximately 5 mm, while the average size of symptomatic renal leiomyomas is approximately 12.3 cm.7,8

The differential diagnosis for renal tumors includes benign masses such as renal leiomyomas and angiomyolipomas as well as malignant tumors such as leiomyosarcomas and renal cell carcinomas. Renal leiomyomas have no specific clinical finding and thus would share common clinical characteristics with any of these masses. Large retroperitoneal tumors generally present with palpable flank mass or flank pain along with mass effects on local structures.2,3 These symptoms are non-specific. Hematuria has been reported in approximately 20% of leiomyomas.3 However, the differential diagnosis for hematuria is broad and includes both benign and malignant tumors of the genitourinary tract.

On CT and MRI, renal leiomyomas are typically visualized as peripherally located, well-circumscribed solid masses. Large tumors could have areas of hemorrhage or cystic degeneration, thus raising concerns for malignancy.2 Furthermore, a lack of invasion does not rule out malignancy. Thus, there are no radiographic findings specific to renal leiomyomas. Definitive diagnosis of renal leiomyomas ultimately relies on histopathology, usually performed after surgical resection of the tumor.1,9 However, a previous case report detailed a histopathologic diagnosis of a renal leiomyoma using samples from an image-guided percutaneous biopsy of a 2.2 cm renal mass.6 Percutaneous biopsy makes for an excellent, minimally invasive diagnostic option to open resection and biopsy. However, in the presence of any findings concerning for malignancy, such as central necrosis, in the case of our patient, the safer choice is probably surgical resection with clean margins. Though invasive, current literature seems to suggest that surgical resection of renal leiomyomas carries an excellent prognosis.8

On immunohistochemistry and histopathology, renal leiomyomas are typically positive for smooth muscle markers such as desmin and actin. Renal leiomyomas may be estrogen or progesterone-receptor positive and are primarily composed of smooth muscle cells without evidence of malignant transformation.1,4,6 The relationship between renal leiomyomas and predilection for ER+/PR+ staining may suggest a role of hormones in mass growth, which could be a plausible basis for increased prevalence in females.4 By contrast, leiomyosarcomas exhibit findings typically attributed to malignancy, such as frequent mitotic figures, atypia, and pleomorphic changes. These are typically absent in the benign tumor pathology of renal leiomyomas.2

Conclusion

Here, we report the case of a large primary renal leiomyoma in a 54-year-old female presenting with abdominal fullness. The decision to remove the tumor was based on the concerning imaging findings. Histopathology of the surgically resected mass confirmed a renal leiomyoma.

Lessons Learned

Because renal leiomyomas are rare clinical entities without specific clinical or radiographic findings, histopathologic diagnosis is paramount. The decision to obtain a tissue diagnosis via surgical resection or percutaneous biopsy ultimately depends on size, symptoms, and the clinician's concern for malignancy.

Authors

Tabatneck MEa; Calawerts Wa; Nguyen Pb; Nigam Ab

Author Affiliations

  1. Albany Medical College, Albany, NY 12208
  2. Department of Surgery, Albany Medical Center, Albany, NY 12208

Corresponding Author

Mary E. Tabatneck, MD
450 Brookline Avenue
Boston, MA 02215
Email: mary.tabatneck@childrens.harvard.edu

Disclosure Statement

The authors have no conflicts of interest to disclose.

Funding/Support

The authors have no relevant financial relationships or in-kind support to disclose.

Received: December 15, 2020
Revision received: February 5, 2021
Accepted: March 25, 2021

References

  1. Derchi LE, Grenier N, Heinz-Peer G, et al. Imaging of renal leiomyomas. Acta Radiol. 2008;49(7):833-838. doi:10.1080/02841850802087228
  2. Katabathina VS, Vikram R, Nagar AM, Tamboli P, Menias CO, Prasad SR. Mesenchymal neoplasms of the kidney in adults: imaging spectrum with radiologic-pathologic correlation. Radiographics. 2010;30(6):1525-1540. doi:10.1148/rg.306105517
  3. Andreoiu M, Drachenberg D, Macmahon R. Giant renal leiomyoma: a case report and brief review of the literature. Can Urol Assoc J. 2009;3(5):E58-E60. doi:10.5489/cuaj.1164
  4. Patil PA, McKenney JK, Trpkov K, et al. Renal leiomyoma: a contemporary multi-institution study of an infrequent and frequently misclassified neoplasm. Am J Surg Pathol. 2015;39(3):349-356. doi:10.1097/PAS.0000000000000354
  5. Larbcharoensub N, Limprasert V, Pangpunyakulchai D, Sanpaphant S, Wiratkapun C, Kijvikai K. Renal Leiomyoma: A Case Report and Review of the Literature. Urol Case Rep. 2017;13:3-5. Published 2017 Apr 7. doi:10.1016/j.eucr.2017.03.018
  6. Romero FR, Kohanim S, Lima G, Permpongkosol S, Fine SW, Kavoussi LR. Leiomyomas of the kidney: emphasis on conservative diagnosis and treatment. Urology. 2005;66(6):1319. doi:10.1016/j.urology.2005.06.078
  7. Khetrapal S, Bhargava A, Jetley S, Rana S, Jairajpuri Z. Renal leiomyoma: an uncommon differential diagnosis of renal masses with a clinical relevance. J Clin Diagn Res. 2014;8(10):FD08-FD9. doi:10.7860/JCDR/2014/9434.4993
  8. Wagner BJ, Wong-You-Cheong JJ, Davis CJ Jr. Adult renal hamartomas. Radiographics. 1997;17(1):155-169. doi:10.1148/radiographics.17.1.9017806
  9. Brunocilla E, Pultrone CV, Schiavina R, Vagnoni V, Caprara G, Martorana G. Renal leiomyoma: Case report and literature review. Can Urol Assoc J. 2012;6(2):E87-E90. doi:10.5489/cuaj.11159