Unsupported Browser
The American College of Surgeons website is not compatible with Internet Explorer 11, IE 11. For the best experience please update your browser.
Menu
Become a member and receive career-enhancing benefits

Our top priority is providing value to members. Your Member Services team is here to ensure you maximize your ACS member benefits, participate in College activities, and engage with your ACS colleagues. It's all here.

Become a Member
Become a member and receive career-enhancing benefits

Our top priority is providing value to members. Your Member Services team is here to ensure you maximize your ACS member benefits, participate in College activities, and engage with your ACS colleagues. It's all here.

Become a Member
ACS
ACS Case Reviews

Acute Splenic Sequestration Crises with Splenic Artery Thrombosis following Laparoscopic Cholecystectomy in Sickle Beta Thalassemia

August 10, 2023

Abstract

Background

Sickle beta thalassemia (Hb S/β Th) is a benign hemoglobinopathy; however, its clinical presentation differs depending on the inheritance of either hemoglobin sickle-β0 thalassemia (HbSβ0) or hemoglobin sickle-β+ thalassemia (HbSβ+). Compared to HbSβ0, in which there is zero production of beta-globin, patients with HbSβ+ exhibit a milder disease presentation due to reduced production of Hemoglobin A (HbA). There have been eight reported cases of patients with HbSβ+ presenting with acute splenic sequestration crisis (ASSC) in the literature. Yet, none of these cases demonstrated laparoscopic surgery as the main catalytic factor.

Summary

A 47-year-old female with a history of repaired mitral valve prolapse, cholelithiasis, and sickle-beta thalassemia (HbSβ+) presented with left upper quadrant abdominal pain eight days status-post-laparoscopic cholecystectomy with intraoperative cholangiogram. Admission labs revealed an elevated total bilirubin of 1.3 mg/dL, alkaline phosphatase of 143 unit/L, leukocyte count of 24,000/cm³, and a platelet count of 582,000/μl. Hemoglobin and hematocrit were 9.3 gm/dL and 29.9%, respectively. A computed tomography scan of the abdomen demonstrated global splenic infarction secondary to thrombosis of the splenic artery. It was determined that no surgical intervention was required. The patient was treated with a heparin drip and subsequently transitioned to low molecular weight heparin (LMWH) on discharge on hospital day 3.

Conclusion

Hypoxic conditions of surgery can contribute to a sickling crisis, ultimately leading to splenic infarction in sickle beta-thalassemia patients. Based on prior case reports, ASSC may be triggered by infection, high altitude exposure, and systemic inflammatory response in patients with HbSβ+. We suggest surgery be considered a potential precipitating factor for ASSC in patients with HbSβ+ due to the high incidence of hypoxemic events in the peri- and postoperative periods. Such patients should receive up-to-date hemoglobin electrophoresis preoperatively to determine their risk of sickling in the postoperative period.

Key Words

sickle beta-thalassemia; acute splenic sequestration crises

Abbreviations

Hb S/β Th: sickle-beta thalassemia
ASCC: acute splenic sequestration crises
HbSβ0: hemoglobin sickle-β0 thalassemia
HbSβ+: hemoglobin sickle-β+ thalassemia
HbA: hemoglobin A
LMWH: low-molecular-weight heparin
ASA: aspirin
SCD: sickle cell disease
SCT: sickle cell trait


Case Description

While the heterogeneous disorder of sickle beta-thalassemia (Hb S/β Th) has a variable clinical picture, it is considered a relatively benign hemoglobinopathy. However, high altitude exposure and multiple comorbid conditions have been documented in the literature as causes of splenic sequestration and infarction in this population. Acute splenic sequestration crisis (ASSC) manifesting in adults with Hb S/β Th has only been described in a handful of case reports. We report a case of a middle-aged female living at low altitude with Hb S/β Th and a surgical history of recent laparoscopic cholecystectomy. Subsequent hospitalization demonstrated splenic artery thrombosis and splenic infarction likely caused by a hypoxemic event triggering ASSC.

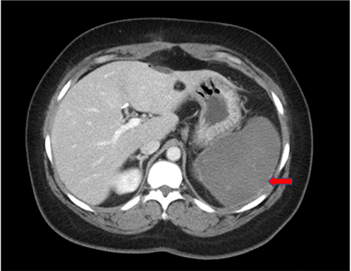
A 47-year-old-female with a past medical history of mitral valve prolapse repair, symptomatic cholelithiasis status post-laparoscopic cholecystectomy with intraoperative cholangiogram and Hb S/β Th presented to the emergency department on postoperative day (POD) 8 with a complaint of left upper quadrant abdominal pain. She reported persistent abdominal pain and constipation since surgery; however, the pain was increasing in severity. A review of systems demonstrated nausea without vomiting. Her vital signs were within normal limits at the time of initial exam, with an oral temperature of 36.9 °C, blood pressure of 112/72 mm Hg, heart rate of 90 bpm, and a body mass index of 32.5 kg/m2. A physical exam of the abdomen revealed a soft abdomen with moderate tenderness to palpation in the epigastric region and left upper quadrant. There was no rigidity, guarding, or peritoneal signs on exam, and the patient was in no acute respiratory distress. The remainder of the physical exam was noncontributory. Laboratory studies revealed an elevated total bilirubin of 1.3 mg/dL (normal range: <1.3mg/dL) and an elevated alkaline phosphatase level of 143 unit/L (normal range: 20-120 unit/L). She was also found to have a white blood cell count of 24,000/cm³ (normal range: 4,500-11,000/cm³) and a platelet count of 582,000/μl (normal range: 150,000-450,000/μl). Her hemoglobin and hematocrit were 9.3 gm/dL (normal female range: 11.6-15.0 gm/dL) and 29.9% (normal female range: 35.5%–44.9%), respectively. Due to her leukocytosis, she received one dose of piperacillin-tazobactam in the emergency department. A contrast-enhanced CT scan of the abdomen demonstrated an acute splenic artery thrombosis originating at the splenic hilum and extending 38 mm proximately toward the celiac trunk and subsequent signs of global splenic infarction (Figure 1). Of note, the patient did not have a history of previous deep vein thrombosis. She received one dose of prophylactic subcutaneous unfractionated heparin (5000 international units) preoperatively in addition to the placement of sequential compression devices (SCD) during the index operation. Given these findings, she was admitted to the general surgery service.

Upon admission to the hospital, she was made nil per os (NPO), given an additional dose of piperacillin-tazobactam, and supported with intravenous fluid hydration. Differential diagnoses included a biliary leak due to her recent laparoscopic cholecystectomy and ASSC. A hepatobiliary iminodiacetic acid (HIDA) scan was completed to rule out biliary pathology. It demonstrated the passage of radioactive tracer through the common bile duct and into the small bowel with no evidence of extravasation or leak. Given her history of Hb S/β Th, hemoglobin electrophoresis was ordered and revealed hemoglobin A: 13.6% (normal: >96%), hemoglobin S: 67.3% (normal: 0.0%), hemoglobin F: 12.5% (normal: <2%), and hemoglobin A2: 6.6% (normal: <3%).

On hospital day 1, after consultation with vascular surgery, the patient was started on a heparin drip for the splenic artery thrombosis. Repeat laboratory tests on hospital day two showed a downward trend in her hemoglobin and hematocrit to 7.9 gm/dL and 24.4%, but these lab values remained stable at 7.8 gm/dL and 24.7% on hospital day 3. Her total bilirubin on hospital day 2 was 1.1 mg/dL, consistent with her baseline level, and an alkaline phosphatase of 119 unit/L. Without further antibiotic therapy, her white blood cell count decreased to 17,8000/cm³ on hospital day 2 and 15,200/cm³ on hospital day 3. The patient improved throughout her hospital stay without requiring surgical intervention. She was discharged home on hospital day 3 on a therapeutic dose of low molecular weight heparin (LMWH) and aspirin (ASA). Given her functional asplenia, she was instructed to follow up with general surgery in two weeks, where she would receive vaccines for Streptococcus pneumoniae, Haemophilus influenza, and Neisseria meningitidis.

Figure 1. CT of Abdomen with Oral and Intravenous Contrast Showing Splenomegaly, Splenic Artery Thrombosis, and Global Splenic Infarction. Published with Permission

Discussion

HbS polymers are formed at physiologic oxygen tension in sickle cell disease (SCD). The sickled red cells lose their membrane elasticity and become "sticky." Due to elevated levels of plasma adhesion molecules, these erythrocytes begin to adhere to the vascular endothelial cells. The totality of the sickling effect increases viscosity and decreases blood flow resulting in vascular occlusion and, ultimately, infarction. In comparison, HbS polymers in sickle cell trait (SCT) are only detected at low oxygen tension levels. These patients usually do not sickle unless exposed to hypoxic conditions, most commonly dehydration or acidosis.1

Sickle beta-thalassemia (Hb S/β Th) results when one HbS gene is inherited simultaneously with one beta-thalassemia gene (either Hb S-β0 or Hb S-β+) in the same patient. The severity of Hb S/β Th is determined inversely by the level of HbA. Hb S-β0, without any HbA, is more severe in its clinical course, while Hb S-β+ has 20-30% HbA and is a more benign disease.2 The patient presented in this case report had the following Hb percentages (one year prior to surgery): HbA: 29%, HbS: 55.4%, HbF: 10.2%, and HbA2: 5.4%, consistent with Hb S/β Th+.

The diagnosis of Hb S/β Th does not preclude patients from some of the more deleterious complications associated with SCD, such as ASSC.3,4 In this disease process, the spleen sequesters erythrocytes resulting in profound anemia, splenic thrombosis, and circulatory collapse.5 The most common initial presentation of ASSC is splenomegaly, followed by a sudden drop in hemoglobin.2 This crisis is usually seen in children under the age of one with SCD or adults with HbC disease, a hemoglobinopathy resulting in a beta-globin chain mutation forming hexagon crystals thus producing mild hemolysis.2,5 Older SCD patients may experience splenic fibrosis over time, leading to the development of a nondistensible spleen. Red cell sequestration requires a distensible spleen in order to accumulate erythrocytes. According to leading hypotheses, the underlying etiology of ASSC is most likely attributable to an initiating hypoxemic event resulting in red cell sickling.5

Treatment for ASSC is limited to transfusion of erythrocytes, which improves the rheology of the blood and can restore venous outflow and resolve the splenic sequestration. The use of exchange transfusion to reduce the fraction of HbS polymers before intrathoracic surgery, such as open-heart or cardiopulmonary bypass, has been discussed. However, no significant difference was found in the development of ASSC in those with SCT who did not receive exchange transfusion compared to control groups.6,7 Definitive treatment with splenectomy is usually not recommended unless the patient experiences recurring episodes of ASSC or hypersplenism occurs.5

After review of the literature, splenic infarction rarely presents in adults with SCT.8,9 Patients located at high altitudes (>10,000 feet) with concomitant SCT have the most documented cases of this complication. There are few recorded instances of ASSC development at low altitudes, and the majority of these patients had pre-existing conditions that would have exacerbated hypoxic states such as pulmonary disease, illicit drug use, recent infection, or surgery anatomically adjacent to the spleen. There are six cases of reported splenic infarction in otherwise healthy patients located at low altitudes. Whether splenic infarction in sickle cell carriers is a rare or exceedingly underrecognized phenomenon remains an ongoing debate.1

In patients with Hb S/β Th, cases of ASSC appear to be even rarer. A literature review yielded eight cases of ASSC in this cohort, with patients exhibiting a mortality rate of 37.5%.10,11 Two of the fatalities experienced profound anemia followed by circulatory collapse ending in cardiac arrest. The third death also resulted from cardiac arrest; yet, this was only preceded by a "cold, cough and fever" the day before.12 More recent reports have documented cases of ASSC in patients after blunt trauma and surgery involving significant hypoxic events or reduced oxygen perfusion; however, the latter presented in a patient with isolated SCT, not Hb S/β Th.7,8,10

We present the ninth case of ASSC in a patient with Hb S/β Th. To date this is the first documented case of ASSC with splenic artery thrombosis occurring secondary to the acute stress of laparoscopic surgery. Multiple studies have utilized a continuous pulse-oximeter to elucidate that hypoxemia rates of surgical patients in the operating room and immediate postoperative period are approximately 7.9%. Of patients who did experience hypoxemic events, 70% of these events persisted longer than two minutes.4,13 Additionally, a 2010 study concluded that rates of intraoperative hypoxemia and body mass index were directly proportional.14,15 Our patient's body mass index of 32.5 kg/m2 classified her as obese and rendered her more susceptible to hypoxemia during surgery. Our patient had been NPO for nine hours before surgery and had no documented preoperative episodes of hypoxemia. The surgery lasted two hours and 18 minutes due to a difficult intraoperative cholangiogram and pneumoperitoneum was set at 15 mmHg during the case. She subsequently experienced a hypoxemic event in the immediate postoperative period with an oxygen desaturation to 90% requiring 6L of supplemental O2. We postulate that our patient's splenic infarction was triggered by hypoxic conditions during the perioperative period of her laparoscopic surgery. Her leukocytosis, thrombocytosis, and computed tomography imaging moreover supports this hypothesis. While our patient had not had any previous sickling episodes or history of deep vein thrombosis, she had several additional prothrombotic risk factors including previous tobacco use as a former smoker and obesity. Furthermore, the hemoglobin electrophoresis completed on hospital day one showed that her HbS was 67.3%, a notable increase from her previous HbS of 55.4% just one year prior. The only limitation to this observation is a lack of documented hemoglobin electrophoresis immediately prior to the operation. As this was the first occurrence of ASSC in our patient, she did not undergo splenectomy. Following the recommendations outlined in the literature, we suggest appropriate immunizations after the first episode of ASSC and future elective splenectomy for Hb S/β Th patients due to the high risk of recurrence and associated complications.

Conclusion

No definitive precipitating agent of ASSC was found in the majority of the eight reported cases of ASSC in Hb S/β Th patients. After reviewing our case, we suggest that laparoscopic surgery be considered a potential catalyst of ASSC in patients with Hb S/β Th. These patients should be assessed preoperatively with hemoglobin electrophoresis to determine the risk of sickling in the immediate postoperative period.

Lessons Learned

Laparoscopic surgery may act as acute stress in patients with sickle beta-thalassemia leading to hypoxemic events. ASSC and splenic artery thrombosis are rare but significant complications in this specific cohort of patients.

Authors

Stevens JL; Roth ML; Fontenot BS; Chappuis CW

Author Affiliation

Division of Surgery, Louisiana State University, New Orleans, LA 70112

Corresponding Author

Jenny L. Stevens, MD, MPH
Division of Pediatric Surgery
Children's Hospital Colorado
Anschutz Medical Campus
13213 E. 16th Avenue, Box 323
Aurora, CO 80045
Email: jste14@lsuhsc.edu

Disclosure Statement

The authors have no conflicts of interest to disclose.

Funding/Support

The authors have no relevant financial relationships or in-kind support to disclose.

Received: November 5, 2020
Revision received: February 4, 2021
Accepted: February 12, 2021

References

  1. Seegars MB, Brett AS. Splenic infarction associated with sickle cell trait at low altitude. Hematology. 2015;20(10):607-609. doi:10.1179/1607845415Y.0000000024
  2. Edo-Osagie E, Enofe I, Hakeem H, et al. Splenic sequestration crisis as an index manifestation of heterozygous hemoglobinopathy in an adult. Oxf Med Case Reports. 2019;2019(7):omz069. Published 2019 Jul 12. doi:10.1093/omcr/omz069
  3. Benites BD, Bastos SO, Baldanzi G, et al. Sickle cell/β-thalassemia: Comparison of Sβ0 and Sβ+ Brazilian patients followed at a single institution. Hematology. 2016;21(10):623-629. doi:10.1080/10245332.2016.1187843
  4. Eldor A, Rachmilewitz EA. The hypercoagulable state in thalassemia. Blood. 2002;99(1):36-43. doi:10.1182/blood.v99.1.36
  5. van Rhee F, Balsitis M, French EA. Fatal splenic sequestration crisis in adult sickle cell-beta thalassaemia. Postgrad Med J. 1991;67(792):907-908. doi:10.1136/pgmj.67.792.907
  6. Atlas SA. The sickle cell trait and surgical complications. A matched-pair patient analysis. JAMA. 1974;229(8):1078-1080.
  7. John N. A review of clinical profile in sickle cell traits. Oman Med J. 2010;25(1):3-8. doi:10.5001/omj.2010.2
  8. Solanki DL, Kletter GG, Castro O. Acute splenic sequestration crises in adults with sickle cell disease. Am J Med. 1986;80(5):985-990. doi:10.1016/0002-9343(86)90649-2
  9. Zülke C, Graeb C, Rüschhoff J, Wagner H, Jauch KW. Differentialdiagnose und Therapie des akuten Abdomens bei der Sichelzellkrise. Der seltene Fall in der Viszeralchirurgie [Differential diagnosis and therapy of acute abdomen in sickle cell crisis. A rare case in visceral surgery]. Zentralbl Chir. 2000;125(2):166-173.
  10. Koduri PR, Kovarik P. Acute splenic sequestration crisis in an adult with sickle beta-thalassemia. Ann Hematol. 2006;85(9):633-635. doi:10.1007/s00277-006-0125-1
  11. Liaw DC, Kotkiewicz A, Kender MA. Acute splenic infarct in beta-thalassemia minor: a novel combination of heterozygous beta-globin mutations with latent phenotypes and the clinical implications. Hemoglobin. 2009;33(3):262-268. doi:10.1080/03630260903058651
  12. Gitlin SD, Thompson CB. Non-altitude-related splenic infarction in a patient with sickle cell trait. Am J Med. 1989;87(6):697-698. doi:10.1016/s0002-9343(89)80410-3
  13. Ehrenfeld JM, Funk LM, Van Schalkwyk J, Merry AF, Sandberg WS, Gawande A. The incidence of hypoxemia during surgery: evidence from two institutions. Can J Anaesth. 2010;57(10):888-897. doi:10.1007/s12630-010-9366-5
  14. Franklin QJ, Compeggie M. Splenic syndrome in sickle cell trait: four case presentations and a review of the literature. Mil Med. 1999;164(3):230-233.
  15. Kendale SM, Blitz JD. Increasing body mass index and the incidence of intraoperative hypoxemia. J Clin Anesth. 2016;33:97-104. doi:10.1016/j.jclinane.2016.03.020