Unsupported Browser
The American College of Surgeons website is not compatible with Internet Explorer 11, IE 11. For the best experience please update your browser.
Menu
Become a member and receive career-enhancing benefits

Our top priority is providing value to members. Your Member Services team is here to ensure you maximize your ACS member benefits, participate in College activities, and engage with your ACS colleagues. It's all here.

Become a Member
Become a member and receive career-enhancing benefits

Our top priority is providing value to members. Your Member Services team is here to ensure you maximize your ACS member benefits, participate in College activities, and engage with your ACS colleagues. It's all here.

Become a Member
ACS
ACS Case Reviews

Robotic Gastrojejunostomy to Treat Superior Mesenteric Artery Syndrome in a Young Adult Male

August 10, 2023

Abstract

Background

A 24-year-old male with chronic superior mesenteric artery (SMA) syndrome compressing the second portion of the duodenum was treated with a robotic Xi-assisted gastrojejunostomy.

Summary

A 24-year-old male with a three-year history of multiple hospital admissions for postprandial abdominal pain associated with nausea and vomiting presented to the emergency department (ED) for worsening symptoms and progressive intolerance to solids. Body mass index (BMI) at the time of admission was 18 kg/m2. A computed tomography (CT) scan revealed narrowing of the aortomesenteric angle and distension of the stomach and the occipital duodenum, consistent with the superior mesenteric artery (SMA) syndrome diagnosis. An esophagogastroduodenoscopy (EGD) revealed severe narrowing of the duodenal lumen at the junction of the bulb and the second portion. The patient underwent a robotic Xi-assisted gastrojejunostomy utilizing four trocar placements. The GIA 45 blue load stapler and 3-0 absorbable V-loc and Vicryls sutures were used to create an anastomosis. Postoperative upper gastrointestinal series (UGI) showed a normally distended stomach and transit of contrast into the proximal jejunum without evidence of obstruction or extraluminal extravasation. Generally, SMA syndrome affects the third portion of the duodenum. Our patient's obstruction was in the second portion. Because of this, a gastrojejunostomy was considered the best surgical intervention, which proved to be accurate, confirmed by the reported weight gain and patient-reported near immediate and complete resolution of symptoms with full quality of life restored.

Conclusion

We present a case of an underweight 24-year-old male with chronic SMA syndrome, including an atypical obstruction of the second portion of the duodenum. The case highlights a robotic Xi-assisted gastrojejunostomy to treat SMA syndrome in this patient successfully.

Key Words

superior mesenteric artery syndrome; robotic surgery; gastrojejunostomy

Abbreviations

SMA: Superior mesenteric artery
EGD: Esophagogastroduodenoscopy
UGI: Upper gastrointestinal
OG: Oral gastric
MRA: Magnetic resonance angiography


Case Description

Superior mesenteric artery (SMA) syndrome is an obstruction of the duodenum by the SMA anteriorly and the abdominal aorta posteriorly, most often involving the third portion of the duodenum.1-3 There is limited information regarding obstruction at the second portion of the duodenum. However, in this case, the patient most likely has an anatomical variant of the SMA or duodenum presenting with proximal obstruction. Patients will clinically present with postprandial abdominal pain associated with nausea, vomiting, and weight loss.2,3 Treatment of SMA syndrome is either conservative or surgical. Indications for surgical interventions include failed conservative management, long-standing symptoms, chronic postprandial abdominal pain leading to continuous weight loss, nausea, and vomiting.4 Surgical interventions include Strong's procedure, duodenojejunostomy, and gastrojejunostomy. This case report addresses a 24-year-old male with chronic SMA syndrome, including obstruction of the second portion of the duodenum, who underwent a robotic Xi-assisted gastrojejunostomy.

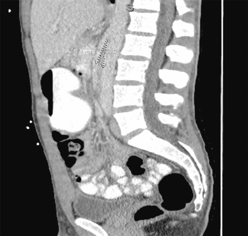
A 24-year-old man with a history of duodenal ulcer and delayed gastric emptying presented multiple times in the last three years to the emergency department (ED) for postprandial abdominal pain associated with nausea, vomiting and progressive intolerance to solids. During his most recent admission to the ED, his BMI was 18 kg/m2. A computed tomography (CT) scan of the abdomen and pelvis with contrast revealed narrowing of the aortomesenteric angle, measuring 11.3 degrees, and an aortomesenteric distance of 5.4 mm (Figure 1).

Figure 1. CT Scan of Abdomen and Pelvis with PO and IV Contrast. Published with Permission

Image depicting narrowing of aortomesenteric angle, measuring 11.3 degrees and aortomesenteric distance of 5.4 mm
Image depicting narrowing of aortomesenteric angle, measuring 11.3 degrees and aortomesenteric distance of 5.4 mm

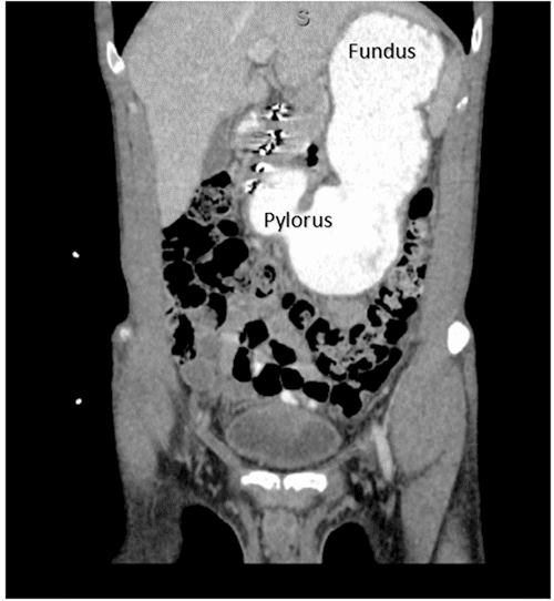
The abdominal CT also revealed distension of the stomach and occipital duodenum (Figure 2) and duodenum decompression as it passes between the aorta and SMA, findings consistent with SMA syndrome diagnosis.

Figure 2. CT Scan of Abdomen and Pelvis with PO and IV Contrast Showing Severe Distention of Stomach. Published with Permission

An esophagogastroduodenoscopy (EGD) showed smooth extrinsic compression with severe narrowing of the duodenal lumen at the junction of the bulb at the second portion of the duodenum (Figure 3).

Figure 3. Esophagogastroduodenoscopy (EGD). Published with Permission

Image reveals smooth extrinsic compression with severe narrowing of duodenal lumen at junction of bulb and second portion
Image reveals smooth extrinsic compression with severe narrowing of duodenal lumen at junction of bulb and second portion

The scope could not pass through the narrowed lumen, and the ampulla of Vater was not identified prior to the stenosis, further confirming the compression at the second portion. EGD also noted retained food in the stomach, although the patient's last solid meal was 23 hours prior (Figure 4).

Figure 4. Intubation into Stomach. Published with Permission

Image depicting retained food in stomach. Patient's last solid meal was 23 hours prior
Image depicting retained food in stomach. Patient's last solid meal was 23 hours prior

The EGD interpretation determined the obstruction to be between D1-D2; the coronal views of the CT scans identified an extended stomach, indicating an early duodenal compression. However, the exact portion of the duodenum was not identified on the CT scan, possibly due to the degree of the dilation from the patient's long-standing obstruction. Because the CT scan revealed SMA syndrome and the location of the compression was confirmed via EGD report, no further imaging studies, such as an angiogram, were required for treatment.

Following the diagnosis, the patient was advised to stay on a high protein-based liquid diet to increase nutrition and alleviate presenting symptoms. Given the chronicity and severity of the duodenal obstruction, surgical intervention was recommended. He consented to robotic-assisted gastrojejunostomy and Strong's procedure at a later date.

The patient was taken to the operating room for a gastrojejunostomy and Strong's procedure. An orogastric tube was placed to decompress the stomach, and four access points were created. Three robotic ports were as follows: two 8 mm ports, one 3 cm to the left and 2 cm below the umbilical region utilized as a working port and the other 1 cm to the right and 2 cm below the umbilical region utilized for the camera. The third 12 mm robotic port was placed in the right lower quadrant. In addition, a 5 mm laparoscopic assistant port was placed in the right upper quadrant and used to assist with retraction throughout the case (Figure 5).

Figure 5. Drawing of Placement of Four Access Ports. Published with Permission

8 mm robotic working port 3 cm to left and 2 cm below umbilical region (blue); 8 mm robotic camera port 1 cm to right and 2 cm below umbilical region (yellow); 12 mm robotic working port in right lower quadrant (green). A 5 mm laparoscopic assistant port in right upper quadrant (red).
8 mm robotic working port 3 cm to left and 2 cm below umbilical region (blue); 8 mm robotic camera port 1 cm to right and 2 cm below umbilical region (yellow); 12 mm robotic working port in right lower quadrant (green). A 5 mm laparoscopic assistant port in right upper quadrant (red).

Insufflation was set to 14 mmHg. The patient was then placed in a 20-degree reverse Trendelenburg, and Xi surgical robot was properly docked. We identified a chronically large, dilated stomach, a mild proximal dilation in the pyloric region, and a decompressed distal duodenum. These findings indicated the obstruction was at the D1–D2 intersection, and the patient would not require a Strong's procedure, only a gastrojejunostomy. After clearly identifying the obstruction, we isolated a loop of jejunum 25 cm distal to the ligament of Treitz. The small bowel loop was then brought up in an antecolic fashion to the most dependent portion of the greater curvature of the stomach. A 3-0 Vicryl was used to secure the antimesenteric portion of the small bowel to the anterior dependent portion along the greater curvature of the stomach with two interrupted stitches. After creating a gastrotomy and enterotomy, the robotic GIA 45 stapler with blue load was used to create a side-to-side functional gastrojejunostomy (Figure 6).

Figure 6. Robotic GIA 45 Stapler Using Blue Load Advanced into Stomach and Jejunal Limb to Create Gastrojejunostomy. Published with Permission

The terminal defect was closed with a running 3-0 absorbable V-loc suture maintaining bowel patency throughout (Figure 7).

Figure 7. Running 3-0 Absorbable V-loc Suture to Close Defect. Published with Permission

The suture line was oversewn with interrupted 3-0 Vicryls in a Lembert fashion, including two sutures proximal to the anastomosis to elevate the jejunum and prevent any kinking at its entry point along the mesentery (Figure 8).

Figure 8. Interrupted 3-0 Vicryls in a Lembert Fashion. Published with Permission

After creating the anastomosis, anesthesia infused air with a Toomey syringe into the oral gastric (OG) tube. At the same time, saline was used to irrigate over the anastomosis to ensure no air bubbles were noted. The anterior rectus sheath at the 12 mm and two 8 mm port sites was closed with simple interrupted 0 Vicryl. The skin was sutured with running subcuticular Monocryl and sealed with Dermabond. The patient tolerated the surgery well and was sent to recovery in stable condition.

On postoperative day 1, the patient was noted to be feeling well with no acute overnight events. That morning, an upper gastrointestinal series (UGI) with water-soluble iodinated contrast revealed a normally distended stomach and normal transit of contrast into the proximal jejunum without evidence of obstruction or extraluminal extravasation (Figure 9).

Figure 9. XR Upper from GI Series POD 1. Published with Permission

Water-soluble iodinated contrast shows normal contrast transit into proximal jejunum without evidence of obstruction or extraluminal extravasation. Images taken within two-minute period.
Water-soluble iodinated contrast shows normal contrast transit into proximal jejunum without evidence of obstruction or extraluminal extravasation. Images taken within two-minute period.

The patient was then discharged home on postoperative day 1 on a full liquid diet for five days and was directed to advance to a regular diet as tolerated. He followed the instructions and denied nausea, abdominal pain, or distention with diet advancement. During the postoperative outpatient visit on day 22, his BMI was 18.6 kg/m2. He reported near immediate and complete resolution of symptoms with significant improvement in his quality of life. At the four-month postoperative visit, he reported feeling well, eating a regular diet, and having satisfactory weight gain.

Discussion

Superior mesenteric artery syndrome was first recorded in an anatomy textbook by Rokitansky in 1842.1 It is a rare obstructive disorder with a prevalence of 0.013%–0.3%.2 It is most often seen in women and occurs mostly in children and young adults.2-4 Normal aortomesenteric angle ranges from 28 to 65 degrees with a mean distance of 10-28 mm.3,5-7 The symptoms of SMA syndrome are due to loss of mesenteric fat pad between the aorta and SMA, creating a narrow angle defined as less than 25 degrees and reduced aortomesenteric distance, which is less than 8-10 mm.5,7 This obstructs the duodenum resulting in weight loss, early satiety, postprandial abdominal pain, nausea, and vomiting.2,3

Diagnosis of SMA syndrome can often be delayed, as seen with our patient. A high clinical suspicion is often warranted, and diagnosis is made with clinical findings and various imaging modalities. Although the best and confirmatory imaging is an abdominal CT scan revealing a narrowed aortomesenteric angle, other tests can also indicate a significant obstruction. Barium X-ray, ultrasound, endoscopy, gastric emptying study, and magnetic resonance angiography (MRA) are other common studies conducted in patients with SMA syndrome.2,3,5

Treatment options usually begin with conservative measures to increase the adipose tissue between the aortomesenteric angle, decreasing the obstruction.4 This is often done by fluid resuscitation, total parenteral nutrition, and enteral feeding with a nasojejunal tube placed past the duodenal obstruction. These treatments can be successful in the acute setting, but patients will often require surgical intervention in more chronic cases.8,9 Surgical interventions include Strong's procedure, mobilizing the duodenum by detaching from the ligament of Treitz, duodenojejunostomy, and gastrojejunostomy.

Duodenojejunostomy is the most commonly used surgical treatment for SMA syndrome.9-11 The obstructed portion of the duodenum is bypassed by creating an anastomosis between the second portion of the duodenum and the proximal jejunum anterior to the superior mesenteric artery. Since our patient's obstruction included the second portion of the duodenum, proximal to the ampulla of Vater, a gastrojejunostomy was performed instead. Also, visualization of the ligament of Treitz during the robotic procedure indicated no need to release the ligament from the duodenum. The Roux-en-Y procedure is also a treatment option for patients with SMA syndrome.12 In addition to being a lengthy procedure, the Roux-en-Y requires creating two anastomoses, resulting in a higher risk of strictures and adhesion formation. The gastrojejunostomy provided the opportunity to create a wide anastomosis. If future complications should arise, such as bile gastritis, the opportunity to convert to Roux-en-Y would be available. The presence of duodenal patency with no ischemic tissue at the compression site resulted in the decision not to perform a kocherization which would be a longer and more invasive procedure, having to access and manipulate retroperitoneal structures. Overall, the gastrojejunostomy was the best option for this patient as he did not have a total obstruction.

The choice to utilize robotic versus laparoscopic technique was due to the improved dexterity and degrees of motion for suturing provided by the Xi surgical robot.13 In addition, the increased magnification and three-dimensional view, versus two-dimensional in laparoscopic procedures, provides improved visibility to achieve more precision in the placement of sutures and visualization of the anatomy.13

This case report demonstrates the effectiveness of robotic Xi-assisted gastrojejunostomy in managing SMA syndrome as demonstrated by the symptomatic relief reported by the patient and weight gain in this young male, decreasing morbidity and improving quality of life.

Conclusion

SMA syndrome diagnosis can often be delayed due to its chronic and nonspecific presentation of symptoms, as seen with this patient's three-year history of postprandial abdominal pain during multiple ED visits. Although most commonly obstructing the third portion of the duodenum, we present a 24-year-old with second portion duodenal SMA obstruction successfully treated with robotic Xi gastrojejunostomy.

Lessons Learned

SMA syndrome is a rare disease that can be significantly debilitating for patients. Atypical obstruction of the second portion of the duodenum can be involved. In these cases, robotic gastrojejunostomy provides a minimally invasive approach to invasive procedures with a short recovery period, complete resolution of symptoms, and full quality of life restored.

Authors

Motta Ma; Avila Ab; Ahmed AJa; Seaver CRb

Author Affiliations

  1. Florida International University Herbert Wertheim College of Medicine, Miami, FL 33199
  2. Division of General Surgery, Memorial Healthcare System, Hollywood, FL 33026

Corresponding Author

Christopher R. Seaver, MD
Division of General Surgery
Memorial Healthcare System
601 N Flamingo Road
Ste. 409
Pembroke Pines, FL 33028
Email: cseaver@mhs.net

Disclosure Statement

The authors have no conflicts of interest to disclose.

Funding/Support

The authors have no relevant financial relationships or in-kind support to disclose.

Received: December 28, 2020
Revision received: February 25, 2021
Accepted: March 25, 2021

References

  1. Geer DA. Superior mesenteric artery syndrome. Mil Med. 1990;155(7):321-323.
  2. Welsch T, Büchler MW, Kienle P. Recalling superior mesenteric artery syndrome. Dig Surg. 2007;24(3):149-156. doi:10.1159/000102097
  3. Van Horne N, Jackson JP. Superior Mesenteric Artery Syndrome. In: StatPearls. Treasure Island (FL): StatPearls Publishing; July 18, 2022.
  4. Merrett ND, Wilson RB, Cosman P, Biankin AV. Superior mesenteric artery syndrome: diagnosis and treatment strategies. J Gastrointest Surg. 2009;13(2):287-292. doi:10.1007/s11605-008-0695-4
  5. Neri S, Signorelli SS, Mondati E, et al. Ultrasound imaging in diagnosis of superior mesenteric artery syndrome. J Intern Med. 2005;257(4):346-351. doi:10.1111/j.1365-2796.2005.01456.x
  6. Dao TV, Beydoun T, Jorgensen S, Towbin AJ, Towbin R. Superior mesenteric artery compression syndrome. Appl. Radiol. November 5, 2014. Accessed October 11, 2020.
  7. Zaraket V, Deeb L.v Wilkie's Syndrome or Superior Mesenteric Artery Syndrome: Fact or Fantasy?. Case Rep Gastroenterol. 2015;9(2):194-199. Published 2015 Jun 5. doi:10.1159/000431307
  8. Sun Z, Rodriguez J, McMichael J, et al. Minimally invasive duodenojejunostomy for superior mesenteric artery syndrome: a case series and review of the literature. Surg Endosc. 2015;29(5):1137-1144. doi:10.1007/s00464-014-3775-4
  9. Bütter A, Jayaraman S, Schlachta C. Robotic duodenojejunostomy for superior mesenteric artery syndrome in a teenager. J Robot Surg. 2010;4(4):265-269. doi:10.1007/s11701-010-0215-x
  10. Kawabata H, Sone D, Yamaguchi K, et al. Endoscopic Gastrojejunostomy for Superior Mesenteric Artery Syndrome Using Magnetic Compression Anastomosis. Gastroenterology Res. 2019;12(6):320-323. doi:10.14740/gr1229
  11. Yao SY, Mikami R, Mikami S. Minimally invasive surgery for superior mesenteric artery syndrome: A case report. World J Gastroenterol. 2015;21(45):12970-12975. doi:10.3748/wjg.v21.i45.12970
  12. Sato M, Hattori K, Miyauchi Y. Laparoscopic Roux-en-Y duodenojejunostomy for superior mesenteric artery syndrome in a 6-year-old girl: A case report of a new minimally surgical technique for children. Asian J Endosc Surg. 2014;7(4):334-336. doi:10.1111/ases.12135
  13. Artuso D, Wayne M, Grossi R. Use of robotics during laparoscopic gastric bypass for morbid obesity. JSLS. 2005;9(3):266-268.