Unsupported Browser
The American College of Surgeons website is not compatible with Internet Explorer 11, IE 11. For the best experience please update your browser.
Menu
Become a member and receive career-enhancing benefits

Our top priority is providing value to members. Your Member Services team is here to ensure you maximize your ACS member benefits, participate in College activities, and engage with your ACS colleagues. It's all here.

Become a Member
Become a member and receive career-enhancing benefits

Our top priority is providing value to members. Your Member Services team is here to ensure you maximize your ACS member benefits, participate in College activities, and engage with your ACS colleagues. It's all here.

Become a Member
ACS
ACS Case Reviews

Giant Spigelian Hernia Repaired Without Preoperative Pneumoperitoneum

August 10, 2023

Abstract

Background

We present the case of a 57-year-old female with a giant Spigelian hernia presenting as a small bowel obstruction.

Summary

Spigelian hernias represent less than 2% of abdominal wall defects. It affects mainly females, and it usually manifests with vague symptoms. It should also be considered a possible etiology of small bowel obstructions, but this scenario is even rarer. Unlike other hernias, due to their localization and small size, diagnosing them during physical examination tends to be complicated. Therefore, imaging studies are often required to characterize the defect. Spigelian hernias should be repaired with either open or laparoscopic surgery Once detected.

Conclusion

Until now, a standardized treatment for this pathology has not been described. There are few case reports about this pathology, and surgeons' experience is still limited. Preoperative techniques such as pneumoperitoneum or botulinic toxin would be useful in cases where the Tanaka index is over 25%. However, in select cases, these procedures can be avoided.

Key Words

Spigelian hernia; giant hernia; small bowel obstruction


Case Description

A Spigelian hernia, also known as ''spontaneous lateral ventral hernia,'' protrudes through the Spigelian fascia, which is the aponeurotic layer between the lateral edge of the rectus abdominis muscle medially and the semilunar line laterally.1,2 Spigelian hernias are exceedingly rare, with an incidence ranging from 0.12% to 2% of all abdominal wall hernias. It is more frequent in women with an average age of presentation of 60 years.3

The swelling or mass of a Spigelian hernia is not always evident because the external oblique aponeurosis covers it. This additional layer masks the hernia and may prevent it from being palpable, thus making the diagnosis difficult.4 Incarceration has been reported in 10%-24% of patients with symptomatic Spigelian hernia, and the content of the hernia sac was mostly a portion of the omentum. A giant bulgy mass is an even less frequent presentation for this type of defect. Furthermore, there are few clinical reports of an incarcerated giant Spigelian hernia in the medical literature. CT scan provides the exact location and content, shows signs of complications, and may help determine the best treatment strategy.5

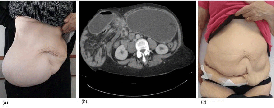
The treatment of Spigelian hernia consists of surgery.6 Hernioplasty is typically accomplished with a transverse incision and mesh repair.7 An open or laparoscopic approach may be used based on the surgeon's expertise.8,9 A 57-year-old female presented to our emergency department with a 72-hour history of abdominal pain, nausea, and bilioenteric vomit. Her medical history was dominated by overweight (BMI = 29) and hypertension. She referred to a bulging mass in the abdomen for 15 years without previous manifestations. Physical examination revealed a well-developed female in acute distress due to abdominal pain. An abdominal exam showed a distended abdomen and a big bulging mass in the right lower quadrant with tenderness and the impossibility of obtaining complete manual reduction (Figure 1A). Blood exams just revealed hypokalemia.

The patient underwent an abdominal CT scan, revealing a Spigelian hernia in the right lower quadrant, with bowel loops, colon, and stomach introducing into a large defect (230.0 × 220.0 × 168.8 mm; thickened abdominal wall muscles and Tanaka index of 41%) (Figure 1B).

Figure 1. Spigelian Hernia Treatment Process. Published with Permission

A) Preoperative Physical Examination; B) CT Scan; C) Physical Examination One-Week Postoperative
A) Preoperative Physical Examination; B) CT Scan; C) Physical Examination One-Week Postoperative

Once the diagnosis was established, the patient was ordered to be hospitalized. After the placement of a nasogastric tube, initial fluid resuscitation was performed. Symptoms of bowel obstruction gradually disappeared, and she was discharged after tolerating a diet and having regular bowel movements. Elective repair of the hernia was decided.

Two weeks after hospital discharge, the patient was admitted for elective surgery. Laparotomy was performed with a transverse incision over the bulging mass in the right abdomen. Once the hernia sac was identified, it was isolated from subcutaneous tissues and the musculofascial plane. Muscles were found weakened and thickened. After opening the hernia sac, the content (mainly small bowel) could be gradually reduced into the abdominal cavity, showing a 7 cm wall defect on the fascia. After checking that the omentum would separate abdominal content from the polypropylene mesh, we decided on an intraperitoneal repair technique. The mesh was fixed with a transmuscular PDS 1 suture. We closed the peritoneum and muscular plane above the mesh, and the surgical procedure ended with positioning two subcutaneous drains and wound closure. The patient was discharged on postoperative day 3 (Figure 1C). No major complications or recurrence were reported after two years of follow-up.

Discussion

Spigelian hernia is a rare, intriguing abdominal wall hernia.7 Predisposing factors include obesity, multiple pregnancies, rapid weight loss, chronic obstructive pulmonary disease, chronic constipation, prostatic enlargement, ascites, trauma, and previous surgery weakening the semilunar line.1

The symptoms that encourage the patient to consult are usually pain (unspecific), palpable resistance in the anterior abdominal wall, or signs of intestinal obstruction.6 A giant abdominal bulgy mass is a rare presentation condition. The diagnosis and, eventually, the surgical technique are not standardized; this is why every clinical situation is unique, and the surgeon needs to plan the surgical approach and select the best technique for each case.10

Multiple preoperative procedures have been described. Worldwide, it is accepted that patients with Tanaka indices over 25% would benefit from preoperative techniques.11 For this type of defect, one of the leading technical difficulties has been parietal closure without tension. In the 1970s, Moreno-Egea proposed a preoperative pneumoperitoneum to enable the stretching of the abdominal muscles.12 More recently, other techniques have been proposed to facilitate parietal closure; for example, the use of botulinum toxin in the abdominal anterolateral wall muscles.

In our experience, preoperative techniques should be reserved for those patients whose hernial content cannot be entirely reduced and not according to the Tanaka index value. There are few case reports about this pathology in the literature, and surgeons' experience is still limited. Elective surgery should be chosen when possible, and the repair technique should be the most suitable/ beneficial for each patient.

Conclusion

Until now, a standardized treatment for this pathology has not been described. Preoperative techniques such as pneumoperitoneum or botulinic toxin would be useful in cases where the Tanaka index is over 25%. However, in many cases, these procedures can be avoided. We consider our case interesting not only because of the defect measures and atypical presentation but mainly because of the way it could be repaired.

Lessons Learned

Our patient presented with a small bowel obstruction and underwent elective open surgery. Despite its size, we could repair it without needing preoperative pneumoperitoneum or botulinum toxin. Undoubtedly, it is a rare type of hernia, and most cases reveal minor wall defects than can be restored with primary repair.

Authors

Ruffa T; Scaravonati HR; Diaz RE; Bertone S; Brandi CD

Author Affiliations

Department of Surgery, Section of Microsurgery and Abdominal Wall Reconstruction, Hospital Italiano de Buenos Aires, Buenos Aires, Argentina

Corresponding Author

Tatiana Ruffa, MD
Department of Surgery
Hospital Italiano de Buenos Aires
Juan D Perón 4190, C1199ABH
Buenos Aires, Argentina
Email: tatiana.ruffa@hospitalitaliano.org.ar

Disclosure Statement

The authors have no conflicts of interest to disclose.

Funding/Support

The authors have no relevant financial relationships or in-kind support to disclose.

Received: July 16, 2020
Revision received: October 8, 2020
Accepted: November 24, 2020

References

  1. Salameh JR. Primary and unusual abdominal wall hernias. Surg Clin North Am. 2008;88(1):45-viii. doi:10.1016/j.suc.2007.10.004
  2. Di Furia M, Romano L, Salvatorelli A, et al. Giant Spigelian Hernia presenting as small bowel obstruction: Case report and review of literature. Int J Surg Case Rep. 2019;63:118-121. doi:10.1016/j.ijscr.2019.09.026
  3. Huttinger R, Sugumar K, Baltazar-Ford KS. Spigelian Hernia. In: StatPearls. Treasure Island (FL): StatPearls Publishing; June 27, 2022.
  4. Nagarsheth KH, Nickloes T, Mancini G, Solla JA. Laparoscopic repair of incidentally found Spigelian hernia. JSLS. 2011;15(1):81-85. doi:10.4293/108680811X13022985131372
  5. Martin M, Paquette B, Badet N, Sheppard F, Aubry S, Delabrousse E. Spigelian hernia: CT findings and clinical relevance. Abdom Imaging. 2013;38(2):260-264. doi:10.1007/s00261-012-9889-z
  6. Spangen L. Spigelian hernia. World J Surg. 1989;13(5):573-580. doi:10.1007/BF01658873
  7. Larson DW, Farley DR. Spigelian hernias: repair and outcome for 81 patients. World J Surg. 2002;26(10):1277-1281. doi:10.1007/s00268-002-6605-0
  8. Henriksen NA, Kaufmann R, Simons MP, et al. EHS and AHS guidelines for treatment of primary ventral hernias in rare locations or special circumstances. BJS Open. 2020;4(2):342-353. doi:10.1002/bjs5.50252
  9. Moreno-Egea A, Carrasco L, Girela E, Martín JG, Aguayo JL, Canteras M. Open vs laparoscopic repair of spigelian hernia: a prospective randomized trial. Arch Surg. 2002;137(11):1266-1268. doi:10.1001/archsurg.137.11.1266
  10. Francioni G, Corso V, Montesi M, Todaro M, Veneroni L. Giant Abdominal Wall Defects. Incisional Hernia 2008. Springer, Milano; 2008:185-196. doi:10.1007/978-88-470-0722-2_19
  11. Tanaka EY, Yoo JH, Rodrigues AJ Jr, Utiyama EM, Birolini D, Rasslan S. A computerized tomography scan method for calculating the hernia sac and abdominal cavity volume in complex large incisional hernia with loss of domain. Hernia. 2010;14(1):63-69. doi:10.1007/s10029-009-0560-8
  12. Passot G, Villeneuve L, Sabbagh C, et al. Definition of giant ventral hernias: Development of standardization through a practice survey. Int J Surg. 2016;28:136-140. doi:10.1016/j.ijsu.2016.01.097