Unsupported Browser
The American College of Surgeons website is not compatible with Internet Explorer 11, IE 11. For the best experience please update your browser.
Menu
Become a member and receive career-enhancing benefits

Our top priority is providing value to members. Your Member Services team is here to ensure you maximize your ACS member benefits, participate in College activities, and engage with your ACS colleagues. It's all here.

Become a Member
Become a member and receive career-enhancing benefits

Our top priority is providing value to members. Your Member Services team is here to ensure you maximize your ACS member benefits, participate in College activities, and engage with your ACS colleagues. It's all here.

Become a Member
ACS
ACS Case Reviews

Unique Presentation of Pseudoangiomatous Stromal Hyperplasia

August 10, 2023

Abstract

Background

A 46-year-old female with no prior cancer diagnosis presented with an enlarging right breast mass over the past year. Imaging demonstrated a 26 cm mass occupying most of the right breast, and ultrasound-guided core needle biopsy showed pseudoangiomatous stromal hyperplasia (PASH).

Summary

Based on the rapid enlargement, lobulated nature, and size of the mass, there was high suspicion for underlying malignancy. Our differential included phyllodes tumor, angiosarcoma, or benign lesions such as hamartoma or giant fibroadenoma. Our patient was managed surgically with palpation-guided enucleation yielding a 26 cm encapsulated mass with heterogenous architecture weighing 6 lb. 15 oz. Final pathology confirmed the initial diagnosis of pseudoangiomatous stromal hyperplasia, and the patient has had an uncomplicated postoperative course.

Conclusion

Although the typical size for PASH associated with a mass is reported to be 0.3–7.0 cm, PASH can present as a mass large enough to encompass and distort the entirety of the breast. Based on the heterogeneous texture and well-defined, lobulated capsule of the mass, ruling out malignancy is crucial in these cases as it is now evident that atypical presentations of PASH can resemble high-risk lesions.

Key Words

pseudoangiomatous stromal hyperplasia; PASH; segmental mastectomy; breast mass


Case Description

Pseudoangiomatous stromal hyperplasia (PASH) is a benign mesenchymal breast lesion that typically presents clinically as a mass. Since this rare pathology was initially described in 1986 by Vuitch et al., less than 200 cases have been reported in the literature.1,2 It was initially thought to be a variant of mammary hamartoma but is now considered a proliferation of stromal myofibroblasts expressing CD34, vimentin, smooth muscle actin, BCL-2, and desmin.3 Prior literature predicts that hormonal changes play a role in the development of PASH; however, this is unclear due to the rarity of these cases. Tumor-forming PASH is thought to represent a proliferative response of myofibroblasts to estrogen and progesterone and predominantly presents in premenopausal or perimenopausal women as a mobile, firm breast mass.4

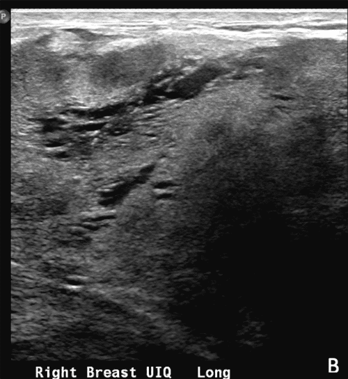
We present a 46-year-old female with no significant medical/oncologic history who presented to our clinic with a one-year history of an enlarging right breast mass (Figure 1). Family history was significant for breast cancer of unknown etiology in the patient's maternal aunt, who died at age 55. The patient was a premenopausal G2P2 who underwent menarche at age 12, first live birth at age 14, and had no use of oral contraceptives or hormonal replacement therapy. The patient denied any associated symptoms such as breast pain, erythema, nipple discharge, or nipple changes. However, she was unable to wear a bra due to the massive asymmetry between her breasts. She described back pain and the inability to engage in many of her usual activities. She was evaluated with breast ultrasound and mammogram, which revealed a 26 × 22 × 26 cm solid, heterogenous mass with internal cystic spaces occupying all quadrants of her right breast and bilateral lymphadenopathy, with the largest right-sided lymph node measuring 3.5 × 0.9 × 3.3 cm. Ultrasound-guided core needle biopsy of the right breast mass was performed and was consistent with PASH, which was discordant with clinical and imaging findings. Left axillary lymph node biopsy revealed a benign, reactive lymph node. The patient was thoroughly counseled regarding the need for excision and the differential diagnosis included: PASH, phyllodes tumor, sarcoma, hamartoma, or fibroadenoma, and surgical excision was recommended.

Figure 1. Patient Supine on Operating Table before Surgical Excision of Right-Sided Breast Mass. Published with Permission

Figure 2. Views of Breast. Published with Permission

A) Right Craniocaudal View of Breast on Mammogram
A) Right Craniocaudal View of Breast on Mammogram
B) Right Upper Inferior Quadrant View of Breast on Long Axis
B) Right Upper Inferior Quadrant View of Breast on Long Axis

The patient was scheduled for surgery and underwent a palpation-guided excisional breast biopsy. A lateral hockey stick incision was made along the inframammary fold, and an anterior skin flap was developed. Using palpation as guidance, we continued with dissection, and thick adhesions were taken down. The capsule of the mass was bluntly and sharply dissected until the mass was only attached to the subcutaneous tissue of the medial superior breast (Figure 2).

Figure 3. Intraoperative Dissection of Right Breast Mass. Published with Permission

The breast skin was everted, and the primary surgeon delivered the mass through the incision with the help of two assistants (Figure 3). The mass was dissected free, passed to the back table to be weighed, and sent to surgical pathology for permanent section.

Figure 4. Delivery of Right Breast Mass after Extensive Dissection. Published with Permission

The surgical cavity was irrigated, and hemostasis was achieved. A closed-suction (JP) drain was placed, and the incision was closed. The mass demonstrated heterogeneous texture and color with a well-defined, lobulated capsule (Figure 4).

Figure 5. Intact, Well-Circumscribed Right Breast Mass with Heterogeneous Appearance. Published with Permission

The patient was successfully discharged home that day. She had an uncomplicated postoperative course, and the JP drain was removed on postoperative day 16. She had significant excess skin on the anterior aspect of her right breast, for which she was referred to plastic surgery for possible reconstruction (anticipating partial but not complete skin retraction over time).

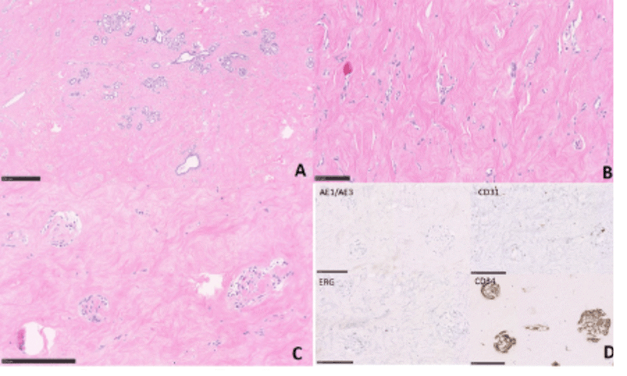
Final surgical pathology revealed a right breast mass weighing 3150 g (6.94 lb) and measuring 26.5 × 26.0 × 8.5 cm. Histologic sections showed scattered benign ductal epithelium in a dense collagenous (keloid-like) (Figure 5A) stroma. Slit-like anastomosing spaces were lined by elongated bland-looking lesional cells within the stroma (Figure 5B). These features are sufficient for diagnosing pseudoangiomatous stromal hyperplasia (PASH). In addition to the classic PASH-looking areas, focal areas showed glomeruloid formations scattered within the stroma (Figure 5C), some associated with entrapped capillaries. Immunohistochemical stains (Figure 5D), CD31, and ERG highlighted the small, entrapped capillaries but were negative in the lesional cells. CK AE1/AE3 highlights only benign ductal epithelium (not shown) but negative in the lesional cells. CD34 was positive both in the lesional cells and capillary endothelial cells. The presence of positive CD34 and negative CD31/ERG supported the myofibroblastic nature of the lesional cells. The morphological and immunohistochemical features supported PASH, and the negative ERG and CD31 excluded a vascular neoplasm. None of the PASH cases in the literature mention glomeruloid formations, the significance of which is unknown but may be related to the chronicity and mass-forming nature of this lesion.3

A) Benign ductal epithelium in keloid-like stroma; B) slit-like anastomosing spaces classically indicative of PASH; C) scattered glomeruloid formations; D) CD34+/CD31-staining consistent with benign myofibroblast proliferation
A) Benign ductal epithelium in keloid-like stroma; B) slit-like anastomosing spaces classically indicative of PASH; C) scattered glomeruloid formations; D) CD34+/CD31-staining consistent with benign myofibroblast proliferation

Discussion

This is the first case of mass-forming, encapsulated PASH in the literature of this size and weight. Typically, PASH presents on mammography as a well-demarcated, oval, or round hypoechoic mass with interspersed cystic spaces.5 In the preoperative setting, discussion of differential diagnoses despite benign biopsy results is crucial. The main differentials are fibroadenoma, Phyllodes tumor, low-grade angiosarcoma, and hamartoma.6

In the case of our patient, the well-circumscribed, encapsulated appearance of the mass with heterogeneous echogenicity made hamartoma the most likely differential diagnosis due to the classic hamartoma "breast-within-breast" appearance, followed by phyllodes tumor or giant fibroadenoma.7

Histologically, the slit-like channels lined by spindle-like myofibroblasts can be mistaken for the vascular spaces of low-grade angiosarcoma, the most feared diagnosis.8 Angiosarcomas exhibit infiltrative anastomosing vascular channels with blood without collagenous stroma. Further, the lack of leaf-like architecture, stromal cellularity/nuclear pleomorphism, and overgrowth made the phyllodes tumor unlikely. PASH is a known component in a subset of mammary hamartoma cases. But we did not encounter any combination of adipose, fibrous tissue interspersed between the mammary lobules and ducts. Immunohistochemistry was necessary to distinguish between angiosarcoma, Phyllodes tumor, and PASH. On immunohistochemistry, angiosarcoma stains CD34+/CD31+/ERG+, PASH stains CD34+/CD31-, and a malignant phyllodes tumor generally range from 37-57% in CD34 positivity.6,8 The final diagnosis was PASH based on histopathology of complex, anastomosing, slit-like spaces throughout the stroma and CD34+/CD31-staining. Our patient followed an uncomplicated postoperative course and has no additional interventions planned at this time. We recommend biannual clinic visits and breast exams due to the recurrence risk of 12.5%.9 There is no increased risk for breast cancer development though if there is a recurrence of the mass, then mastectomy is recommended for definitive treatment and pathologic diagnosis.10

This unusual presentation of PASH yields many teachable points that should be considered when seeing a patient with an enlarging breast mass. Though initial pathology may show a benign lesion such as PASH, it is possible to upstage to a higher risk or malignant lesion. Based on a previously published retrospective analysis of 988 breast core needle biopsies, there was a 2.23% false negative rate, with 64% of these particular biopsies being upstaged.11 Furthermore, it is also possible for PASH to present as a large, encapsulated mass, resembling a hamartoma with heterogeneous features. Even if another diagnosis is not highly suspected, patient symptoms and the cosmetic appearance of the massively asymmetric breasts should prompt surgical intervention.12 Palpation-guided excision for a mass this large is the recommended treatment option with JP drain placement and possible plastic surgery reconstruction for excess skin removal after initial skin retraction. Should excision reveal a benign diagnosis, negative margins are unnecessary to prevent a recurrence, and preservation of normal breast tissue will maximize cosmesis postoperatively. Re-excision is always possible to achieve negative margins if the final pathology reveals a malignant diagnosis.

Conclusion

This case demonstrates the atypical presentation of PASH, a rare, benign mesenchymal proliferation with a mass measuring 26 cm long and nearly 7 lbs. An operative approach of excision/enucleation is preferred. The possibility of upstaging to malignancy should always be considered when dealing with an enlarging breast mass.

Lessons Learned

Benign lesions such as pseudoangiomatous stromal hyperplasia may appear more like a hamartoma, fibroadenoma, or phyllodes tumor. Due to the rarity of this diagnosis, it may be easily ruled out; however, its diagnosis should be considered when facing an enlarging breast mass.

Authors

Chilukuri Sa; Pixley Ja; Mosquera Ca; Pillappa Rb; McGuire KPa

Author Affiliations

  1. Division of Surgical Oncology, Department of Surgery, Virginia Commonwealth University, Richmond, VA 23298
  2. Division of Anatomic Pathology, Department of Pathology, Virginia Commonwealth University, Richmond, VA 23298

Corresponding Author

Kandace P. McGuire, MD
Division of Surgical Oncology
Department of Surgery
Virginia Commonwealth University Medical Center
Richmond, VA 23298
Email: kandace.mcguire@vcuhealth.org

Disclosure Statement

The authors have no conflicts of interest to disclose.

Funding/Support

The authors have no relevant financial relationships or in-kind support to disclose.

Received: November 19, 2020
Revision received: February 7, 2021
Accepted: March 4, 2021

References

  1. Vuitch MF, Rosen PP, Erlandson RA. Pseudoangiomatous hyperplasia of mammary stroma. Hum Pathol. 1986;17(2):185-191. doi:10.1016/s0046-8177(86)80292-1
  2. Bourke AG, Tiang S, Harvey N, McClure R. Pseudoangiomatous stromal hyperplasia causing massive breast enlargement. BMJ Case Rep. 2015;2015:bcr2014204343. Published 2015 Oct 16. doi:10.1136/bcr-2014-204343
  3. Bowman E, Oprea G, Okoli J, et al. Pseudoangiomatous stromal hyperplasia (PASH) of the breast: a series of 24 patients. Breast J. 2012;18(3):242-247. doi:10.1111/j.1524-4741.2012.01230.x
  4. Raza R, Fatima K, Tariq MU. Breast Imaging Chameleon: Pseudoangiomatous Stromal Hyperplasia Presenting as Breast Malignancy. Cureus. 2020;12(5):e8359. Published 2020 May 30. doi:10.7759/cureus.8359
  5. Maciolek LM, Harmon TS, He J, Sadruddin S, Nguyen QD.v Pseudoangiomatous Stromal Hyperplasia of the Breast: A Rare Finding in a Male Patient. Cureus. 2019;11(6):e4923. Published 2019 Jun 17. doi:10.7759/cureus.4923
  6. Krawczyk N, Fehm T, Ruckhäberle E, et al. Bilateral Diffuse Pseudoangiomatous Stromal Hyperplasia (PASH) Causing Gigantomastia in a 33-Year-Old Pregnant Woman: Case Report. Breast Care (Basel). 2016;11(5):356-358. doi:10.1159/000450867
  7. Leiter Herrán F, Restrepo CS, Alvarez Gómez DI, Suby-Long T, Ocazionez D, Vargas D. Hamartomas from head to toe: an imaging overview. Br J Radiol. 2017;90(1071):20160607. doi:10.1259/bjr.20160607
  8. Moore T, Lee AH. Expression of CD34 and bcl-2 in phyllodes tumours, fibroadenomas and spindle cell lesions of the breast. Histopathology. 2001;38(1):62-67. doi:10.1046/j.1365-2559.2001.01053.x
  9. Gresik CM, Godellas C, Aranha GV, Rajan P, Shoup M. Pseudoangiomatous stromal hyperplasia of the breast: a contemporary approach to its clinical and radiologic features and ideal management. Surgery. 2010;148(4):752-758. doi:10.1016/j.surg.2010.07.020
  10. Lee JW, Jung GS, Kim JB, et al. Pseudoangiomatous Stromal Hyperplasia Presenting as Rapidly Growing Bilateral Breast Enlargement Refractory to Surgical Excision. Arch Plast Surg. 2016;43(2):218-221. doi:10.5999/aps.2016.43.2.218
  11. Boba M, Kołtun U, Bobek-Billewicz B, Chmielik E, Eksner B, Olejnik T. False-negative results of breast core needle biopsies - retrospective analysis of 988 biopsies. Pol J Radiol. 2011;76(1):25-29.
  12. Jung BK, Nahm JH, Lew DH, Lee DW. Treatment of Pseudoangiomatous Stromal Hyperplasia of the Breast: Implant-Based Reconstruction with a Vascularized Dermal Sling. Arch Plast Surg. 2015;42(5):630-634. doi:10.5999/aps.2015.42.5.630