Unsupported Browser
The American College of Surgeons website is not compatible with Internet Explorer 11, IE 11. For the best experience please update your browser.
Menu
Become a member and receive career-enhancing benefits

Our top priority is providing value to members. Your Member Services team is here to ensure you maximize your ACS member benefits, participate in College activities, and engage with your ACS colleagues. It's all here.

Become a Member
Become a member and receive career-enhancing benefits

Our top priority is providing value to members. Your Member Services team is here to ensure you maximize your ACS member benefits, participate in College activities, and engage with your ACS colleagues. It's all here.

Become a Member
ACS
ACS Case Reviews

Cervical Subcutaneous Emphysema, Pneumomediastinum, and a Femur Fracture: An Unusual Presentation of Hinchey III Diverticulitis

August 10, 2023

Abstract

Background

A 62-year-old male patient presented to the emergency room as a trauma activation after a fall from standing. Imaging was significant for a right subtrochanteric femur fracture, cervical subcutaneous emphysema, pneumomediastinum, pneumoretroperitoneum, and pneumoperitoneum.

Summary

The patient presented to the trauma bay after a fall from standing. He was found to have extensive subcutaneous emphysema of the neck on exam and imaging, in addition to pneumomediastinum, pneumoretroperitoneum, and pneumoperitoneum. The patient had no abdominal symptoms but complained of a two-day history of neck pain and progressive confusion before falling. After bronchoscopy and esophagogastroduodenoscopy were completed to rule out aerodigestive injury, a diagnostic peritoneal lavage was performed. Results suggested a perforated viscous. The patient then underwent emergent exploratory laparotomy, where he was found to have Hinchey III sigmoid diverticulitis. He underwent a sigmoid colectomy with end colostomy, with a postoperative course complicated by intraabdominal abscess and refractory atrial fibrillation with rapid ventricular rate requiring atrial ablation.

Conclusion

In this case, perforated diverticulitis masqueraded as traumatic injury in a man who presented with a femur fracture. Signs of colon perforation may be subtle, and trauma providers must never forget that sepsis may be an antecedent factor leading to falls or vehicular injury. The presentation of perforated sigmoid diverticulitis as pneumomediastinum, subcutaneous emphysema, and a femur fracture in the absence of abdominal pain has not yet been reported in the literature. Providers must maintain a high index of suspicion for intraabdominal pathology with the goal of emphasizing early diagnosis and intervention.

Key Words

complicated sigmoid diverticulitis; pneumomediastinum; subcutaneous emphysema; trauma; sepsis


Case Description

A 62-year-old morbidly obese (BMI = 60) male patient was transferred to the trauma service from an outside hospital after a fall from standing with an obvious right lower extremity deformity. The patient, with a past medical history of gastroesophageal reflux disease, hypertension, hyperlipidemia, and hypothyroidism, reported that he was in his usual state of health when he began experiencing neck pain and progressive confusion resulting in a fall. On arrival, his breathing was tachypneic and labored, with oxygen saturation of 90% on three liters by nasal cannula. Additionally, he was found to be in new-onset atrial fibrillation with a rapid ventricular rate of 120 beats per minute and a blood pressure of 90/50 mm Hg. The sending hospital had initiated continuous amiodarone infusion.

On the secondary survey, he was found to have marked subcutaneous emphysema of the neck. The abdominal exam was benign, though the authors acknowledge that pain may not have been elicited on exam due to the patient's body habitus. There was an obvious deformity of the right lower extremity, confirmed by an X ray as a right subtrochanteric femur fracture. Noncontrast computed tomography images from the outside hospital demonstrated pneumomediastinum with subcutaneous emphysema, pneumoretroperitoneum, and moderate pneumoperitoneum with air infiltrating throughout the nondependent portions of the abdomen and mesentery.

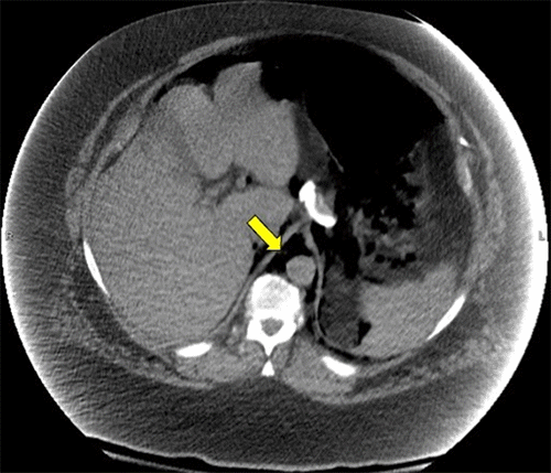
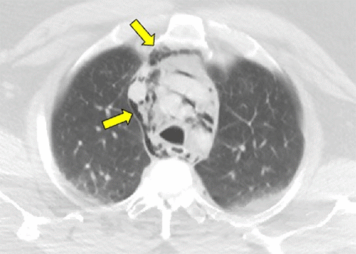
Figure 1. Noncontrast Computed Tomography of the Chest and Abdomen. Published with Permission

A) Chest CT depicting air in pneumomediastinum and B) abdomen CT depicting air in retroperitoneum—yellow arrows show air in both images.

A) Chest CT depicting air in pneumomediastinum—yellow arrows show air
A) Chest CT depicting air in pneumomediastinum—yellow arrows show air
B) Abdomen CT depicting air in retroperitoneum—yellow arrows show air
B) Abdomen CT depicting air in retroperitoneum—yellow arrows show air

Shortly after arrival, the patient's clinical status deteriorated. He was intubated for airway protection, and norepinephrine was started for hypotension not responsive to fluid boluses. The orthopedics team placed a tibial traction pin to reduce his femur fracture in the trauma bay. Due to concern for aerodigestive injury, the patient underwent bronchoscopy and esophagogastroduodenoscopy, both yielding negative findings. A diagnostic peritoneal lavage was then performed to localize the source of the air considering a normal bronchoscopy and esophagogastroduodenoscopy and an unreliable abdominal exam. The white blood cell count of the sample was 21,000k/uL, with a cell count ratio of ≥4. As such, the patient underwent exploratory laparotomy.

Exploration revealed purulent peritonitis secondary to perforated sigmoid diverticulitis. The abdomen was irrigated, stapled colon resection (perforectomy) was performed, and the patient was left in discontinuity with temporary abdominal closure due to marked hemodynamic instability intraoperatively. He was subsequently re-explored once stabilized the following day, and an end colostomy was performed. The patient underwent intramedullary nail placement of the right femur by the orthopedics team for definitive management of the comminuted femur fracture once the patient's sepsis had resolved. His postoperative course was complicated by refractory atrial fibrillation with rapid ventricular rate requiring atrial ablation, left lower quadrant abscess requiring an image-guided drain placement by interventional radiology as well as prolonged leukocytosis and fevers requiring 3.5 weeks of antibiotics, as guided by the infectious disease team at our hospital.

Discussion

Diverticulosis and diverticulitis are common in Western society. The incidence of diverticular disease is 10% in individuals younger than 40 and 50%-70% in those older than 80. Of those with diverticular disease, 10%–25% will develop acute diverticulitis.1,2 While bleeding is an ongoing concern in diverticulosis, perforation is the feared sequelae of diverticulitis.3 The classic constellation of symptoms and lab findings of lower quadrant abdominal pain, fever, and leukocytosis should be thoroughly investigated to identify this complication.4 Most patients with diverticulitis will present as Hinchey I diverticulitis with pericolic or mesenteric abscesses can be managed non-operatively with drainage and antibiotics. About 15%–20% of cases will be classified as Hinchey II, where patients will present with walled-off pelvic abscesses. In 1–2% of cases, patients will present with generalized purulent (Hinchey III) or feculent (Hinchey IV) peritonitis requiring emergent surgical intervention.5 Uncommon presentations of diverticular disease, especially those wherein a patient does not have peritonitis, can delay diagnosis, contributing to worse outcomes.

Subcutaneous emphysema can be caused by esophageal rupture, pneumothorax, barotrauma, tracheal perforation, and necrotizing soft tissue infections,6 while the etiology of pneumomediastinum is most often increased intraalveolar pressure secondary to asthma, cough or positive pressure ventilation leading to the rupture of marginal pulmonary alveoli.7 However, in rare circumstances, air in the mediastinum and subcutaneous tissues of the neck can result from a colonic perforation.8 Diverticula classically occur at the antimesenteric border of the bowel, usually near the point of entry of the vasa recta.9 Rarely, perforations can occur into the retroperitoneum rather than into the peritoneum itself. Air can therefore dissect along the anatomic continuum of fascial planes between the retroperitoneum, mediastinum, and neck.9 As of 2019, 13 cases of pneumomediastinum and subcutaneous emphysema were reported in the literature as a result of perforated diverticulitis, eight of whom reported no concomitant abdominal pain.7

In this case, the team was focused on traumatic injury and became anchored.10 Diagnostic peritoneal lavage was a key diagnostic adjunct in determining the etiology of this patient's shock. Diagnostic peritoneal lavage has largely been replaced by computed tomography and ultrasound in managing acute trauma but retains a limited role in the diagnosis of peritonitis. Fang et al. described the use of a cell count ratio to identify hollow viscous injury as a more sensitive and specific test than classic criteria. A cell count ratio greater than or equal to 1 predicted hollow viscous injury with a specificity of 97% and a sensitivity of 100%.11 This patient had a cell count ratio of 4.

Our report is among the more unusual presentations of this common disease described in the literature. Other notable presentations include those of diverticular perforation into the subcutaneous space leading to necrotizing soft tissue infection,12-14 inflammation of the spermatic cord and testicle,15 perianal fistula,16 and a left lumbar abscess.17 We are unaware of other reports of patients presenting after injury with subcutaneous emphysema, pneumomediastinum, and pneumoretroperitoneum due to a non-traumatic colonic perforation. This patient's presentation as a fall increased suspicion for hemorrhagic shock as the etiology of his hemodynamic instability and aerodigestive injury was the cause of the air present in his neck, mediastinum, and retroperitoneum. In fact, septic shock secondary to Hinchey III diverticulitis likely led to a syncopal fall and resultant fracture.

Conclusion

In this case, perforated diverticulitis manifested as neck pain, subcutaneous emphysema, pneumomediastinum, and pneumoretroperitoneum, which led to hospitalization for a fall with a femur fracture. Signs of colon perforation may be subtle, and trauma providers must always remember that sepsis may be an antecedent factor leading to falls or vehicular injury. The presentation of perforated sigmoid diverticulitis as pneumomediastinum, subcutaneous emphysema, and a femur fracture in the absence of abdominal pain has not yet been reported in the literature. Providers must maintain a high index of suspicion for intraabdominal pathology to emphasize early diagnosis and intervention.

Lessons Learned

Pre-injury sepsis is uncommon and will only be identified when caregivers maintain suspicion regarding unusual findings and avoid anchoring on traumatic diagnoses.

Authors

McDermott CMa; Himmler ANb; Johnson LSc,d; Sava JAc,d

Author Affiliations

  1. Georgetown University School of Medicine, Washington, DC 20007
  2. MedStar-Georgetown University Hospital – Washington Hospital Center, General Surgery Residency, Washington, DC 20007
  3. Department of Surgery, Georgetown University School of Medicine, Washington, DC 20007
  4. Division of Burns & Trauma, MedStar Washington Hospital Center, Washington, DC 20010

Corresponding Author

Chelsea M. McDermott, MD
1045 N. Utah Street
Arlington, VA 22201
Email: cmm474@georgetown.edu

Disclosure Statement

The authors have no conflicts of interest to disclose.

Funding/Support

The authors have no relevant financial relationships or in-kind support to disclose.

Received: November 10, 2020
Revision received: January 4, 2021
Accepted: February 1, 2021

References

  1. Munie ST, Nalamati SPM. Epidemiology and Pathophysiology of Diverticular Disease. Clin Colon Rectal Surg. 2018;31(4):209-213. doi:10.1055/s-0037-1607464
  2. Klarenbeek BR, de Korte N, van der Peet DL, Cuesta MA. Review of current classifications for diverticular disease and a translation into clinical practice. Int J Colorectal Dis. 2012;27(2):207-214. doi:10.1007/s00384-011-1314-5
  3. Heise CP. Epidemiology and pathogenesis of diverticular disease. J Gastrointest Surg. 2008;12(8):1309-1311. doi:10.1007/s11605-008-0492-0
  4. Feingold D, Steele SR, Lee S, et al. Practice parameters for the treatment of sigmoid diverticulitis. Dis Colon Rectum. 2014;57(3):284-294.doi:10.1097/DCR.0000000000000075
  5. Zoog E, Giles WH, Maxwell RA. An Update on the Current Management of Perforated Diverticulitis. Am Surg. 2017;83(12):1321-1328.
  6. Kukuruza K, Aboeed A. Subcutaneous Emphysema. In: StatPearls. Treasure Island (FL): StatPearls Publishing; July 25, 2022.
  7. Muronoi T, Kidani A, Hira E, et al. Mediastinal, retroperitoneal, and subcutaneous emphysema due to sigmoid colon penetration: A case report and literature review. Int J Surg Case Rep. 2019;55:213-217. doi:10.1016/j.ijscr.2019.02.003
  8. Janczak D, Ziomek A, Dorobisz T, et al. Subcutaneous emphysema of the neck, chest, and abdomen as a symptom of colonic diverticular perforation into the retroperitoneum. Kardiochir Torakochirurgia Pol. 2016;13(1):55-57. doi:10.5114/kitp.2016.58968
  9. Choi PW. Pneumomediastinum caused by colonic diverticulitis perforation. J Korean Surg Soc. 2011;80 Suppl 1(Suppl 1):S17-S20. doi:10.4174/jkss.2011.80.Suppl1.S17
  10. Weissberg D. What is an index of suspicion?. J Am Coll Surg. 2007;204(3):520. doi:10.1016/j.jamcollsurg.2006.12.017
  11. Fang JF, Chen RJ, Lin BC. Cell count ratio: new criterion of diagnostic peritoneal lavage for detection of hollow organ perforation. J Trauma. 1998;45(3):540-544. doi:10.1097/00005373-199809000-00021
  12. Kuhn G, Lekeufack JB, Chilcott M, Mbaidjol Z. Subcutaneous Emphysema Caused by an Extraperitoneal Diverticulum Perforation: Description of Two Rare Cases and Review of the Literature. Case Rep Surg. 2018;2018:3030869. Published 2018 Jul 31. doi:10.1155/2018/3030869
  13. Alvarez-Zepeda C, Hermansen-Truan C, Valencia-Lazo O, Azolas-Marcos R, Gatica-Jiménez F, Castillo-Avendaño J. Fascitis necrotizante de pared abdominal secundaria a diverticulitis sigmoidea perforada en una hernia de Spiegel. Reporte de un caso [Necrotizing fasciitis of the abdominal wall secondary to a perforated sigmoid diverticulum in a Spiegel's hernia. A case report]. Cir Cir. 2005;73(2):133-136.
  14. Agaba EA, Kandel AR, Agaba PO, Wong LS. Subcutaneous emphysema, muscular necrosis, and necrotizing fasciitis: an unusual presentation of perforated sigmoid diverticulitis. South Med J. 2010;103(4):350-352. doi:10.1097/SMJ.0b013e3181c1a899
  15. Klutke CG, Miles BJ, Obeid F. Unusual presentation of sigmoid diverticulitis as an acute scrotum. J Urol. 1988;139(2):380-381. doi:10.1016/s0022-5347(17)42425-6
  16. Amor IB, Kassir R, Bachir E, Katharina H, Debs T, Gugenheim J. Perforated diverticulitis of the sigmoid colon revealed by a perianal fistula. Int J Surg Case Rep. 2015;8C:73-75. doi:10.1016/j.ijscr.2014.12.034
  17. Paramythiotis D, Kofina K, Papadopoulos VN, Michalopoulos A. Left Colon Diverticulitis Presenting as Perforated Lumbar Abscess: A Case Report and Review of the Current Literature. Case Rep Gastrointest Med. 2015;2015:414905. doi:10.1155/2015/414905