Unsupported Browser
The American College of Surgeons website is not compatible with Internet Explorer 11, IE 11. For the best experience please update your browser.
Menu
Become a member and receive career-enhancing benefits

Our top priority is providing value to members. Your Member Services team is here to ensure you maximize your ACS member benefits, participate in College activities, and engage with your ACS colleagues. It's all here.

Become a Member
Become a member and receive career-enhancing benefits

Our top priority is providing value to members. Your Member Services team is here to ensure you maximize your ACS member benefits, participate in College activities, and engage with your ACS colleagues. It's all here.

Become a Member
ACS
ACS Case Reviews

Rare Presentation of Pure Mucinous Carcinoma of the Breast: HER2-positive Subtype in a Premenopausal Woman

August 10, 2023

Abstract

Background

We present a case of a 32-year-old female with no genetic predisposition who presented with triple-positive pure mucinous carcinoma of the breast and experienced a complete pathologic response after neoadjuvant anti-HER2 therapy.

Summary

Pure mucinous carcinoma of the breast is a rare tumor type with a favorable prognosis relative to invasive ductal carcinoma. This tumor type most often presents in postmenopausal women with high estrogen and progesterone receptor positivity rates and low rates of human epidermal growth factor receptor (HER2) expression. The National Comprehensive Cancer Network (NCCN) lacks specific neoadjuvant or adjuvant therapy guidelines for this rare variant.

Conclusion

Patients with pMC tend to be older and have a hormone-positive receptor status, likely contributing to the decision toward less aggressive approaches with breast conservation and endocrine therapy, if applicable. However, HER2-positive pMC of the breast in premenopausal women is rare and may warrant more aggressive oncologic and surgical considerations.

Key Words

breast; breast cancer, surgery; surgical oncology


Case Description

Pure mucinous carcinoma (pMC) is a rare malignancy representing 2–4% of all invasive breast cancers.1-3 This tumor type is a favorable variant with a good prognosis determined by multiple factors, histology being the most important.1-5 It is considered "pure" when expressing more than 90% mucin and "mixed" when mucinous expression is between 51% and 90%. 2,3 This distinction is of great importance, as mixed mucinous carcinomas typically assume the prognosis of the nonmucinous component of the tumor, rendering a poorer prognosis overall compared to pMC alone.3,5 Other favorable characteristics of pure mucinous tumors include indolent biological behavior, lower nuclear grade, lower likelihood of axillary nodal involvement at diagnosis, higher rates of estrogen receptor (ER) and progesterone receptor (PR) positivity, and lower rates of HER2 expression.1-5 The NCCN specifies that these tumors should be treated utilizing guidelines for invasive ductal carcinoma (IDC) or carcinomas of no special type.2

A 32-year-old female with a family history of a paternal grandmother diagnosed with breast cancer at age 65, followed by colon cancer at age 80, reported a palpable left breast mass for almost a year. Diagnostic imaging revealed a 5.2 × 1.1 × 4.3 cm heterogeneous hypoechoic mass at the left 3-to-4 o'clock position, which was suspicious for malignancy (Figure 1 and Figure 2). Subsequent bilateral breast MRI revealed a left breast 7.2 × 2.0 × 4.4 cm avid non-mass enhancement with a wedge-shaped distribution abutting the chest wall, highly suggestive of malignancy and mildly prominent left axillary lymph nodes (Figure 3).

Figure 1. Diagnostic Mammogram of Left Breast. Published with Permission

Figure 2. Diagnostic Ultrasound of Left Breast. Published with Permission

Figure 3. MRI Demonstrating Non-mass Enhancement in Left Breast, Suspicious for Malignancy. Published with Permission

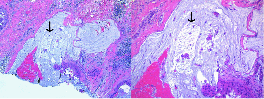
Given these findings, she was referred to a breast surgical oncologist for further evaluation. Ultrasound-guided core needle biopsy of the left breast mass revealed grade 1 invasive mucinous carcinoma, ER-positive (90%–95%), PR-positive (5%–10%), HER2-positive (3+ by IHC), and Ki-67 (20%–25%), with associated grade 2 ductal carcinoma in situ (Figure 4). Ultrasound-guided fine needle aspiration of two left axillary lymph nodes proved nondiagnostic in one node and negative for metastatic carcinoma in the second node. No evidence of metastatic disease was detected on PET imaging. Genetic testing was negative for any gene mutations, particularly GATA3, which is known to be one of the most frequently mutated genes in pMC. Given her clinical prognostic Stage IB T3 N0 M0 triple-positive left breast cancer, she was recommended primary systemic therapy with neoadjuvant chemotherapy. Thus, the patient underwent four cycles of intravenous doxorubicin and cyclophosphamide, followed by weekly paclitaxel for 12 weeks, as well as trastuzumab and pertuzumab every three weeks.

Figure 4. Pathology From Core Needle Biopsy. Published with Permission

Pure mucinous carcinoma 10x (left) and 20x (right)
Pure mucinous carcinoma 10x (left) and 20x (right)

Upon completion of neoadjuvant chemotherapy, a follow-up bilateral breast MRI showed a complete radiographic response with no residual enhancement in the area of biopsy-proven carcinoma. Although she preferred to undergo bilateral nipple-sparing mastectomy with reconstruction due to her family history and dense breasts, she agreed to undergo staged surgery due to hospital limitations on surgical procedures during the COVID-19 pandemic. Thus, she underwent a wire localized lumpectomy and sentinel lymph node biopsy (SLNB) utilizing a dual tracer technique with radioactive technetium and methylene blue dye, revealing a complete pathologic response to neoadjuvant therapy with no residual malignancy in the breast and two negative sentinel lymph nodes (ypT0N0). Once COVID restrictions were lifted to allow elective surgeries, she underwent a bilateral nipple-sparing mastectomy and reconstruction three months later, with final pathology revealing no evidence of residual malignancy. Postoperatively, she continued trastuzumab and pertuzumab every three weeks for a total of one year as well as endocrine therapy with Tamoxifen recommended for a total of five years. She is now one year out from surgery and remains disease-free.

Discussion

Diagnostic criteria of pMC are often based on a surgical excisional specimen. In our case, the pMC diagnosis was based on a core needle biopsy. It could not be verified in the final surgical specimen, as she underwent neoadjuvant systemic therapy with a complete pathologic response, thus highlighting the complexity of a definitive diagnosis of patients undergoing neoadjuvant therapy.

The significance of age as a prognostic indicator for pMC is mixed. Traditionally, pMC of the breast is a disease of postmenopausal females averaging 68 years at diagnosis, with only 1% of women diagnosed under age 35.1 The literature contains few case reports describing this diagnosis in women who are less than 35 years of age. The largest study to date by DiSaviero et al.1 looking at 11,400 patients with pMC identified age as one of the clinicopathologic factors with an influence on survival, with older age associated with worse outcomes; however, the majority of this patient population was over 65 years old, and only 18.2% were under 55.1 Recent smaller studies have found that age bears no significance on disease-free survival, distant metastasis-free survival, or overall survival (OS).2,5 Evidence also suggests that patients with pMC are less likely to undergo mastectomy or accept chemotherapy than patients with less favorable tumor histology.4 While the reasons for these treatment decisions are unclear; presumably, older age may influence patients to opt for less aggressive treatment options, such as breast conservation if feasible and endocrine therapy if hormone-positive.

In contrast, as more widespread HER2 testing is available, HER2-positive pMC has been shown to affect survival outcomes negatively.2-5 This impact is due to the association of HER2 positivity with more aggressive histologic and clinical features, such as frequent axillary lymph node metastasis, higher TNM staging, lower ER and PR expression, and higher rates of Ki-67 expression. Because the body of evidence lacks a separate treatment pathway for HER2-positive pMC of the breast, treatment recommendations still follow NCCN guidelines for HER2-positive IDC or invasive carcinoma of no special type. However, evidence is emerging confirming the utility of anti-HER2 therapy, specifically in this rare subtype of pMC. Five-year disease-free survival rates reached 100% with hormone receptor-positive/node-negative/tumors ≥3 cm treated with trastuzumab versus 60.2% in those who were not.2 Similarly, a study by Wei et al.5 revealed that HER2-positive patients that did not receive trastuzumab showed poorer OS than HER2-negative pMC patients.3 Fortunately, pure mucinous tumors of the breast have a lower likelihood of HER2-positivity than IDC, with incidence rates ranging from 2.6% to 11.8% and 15% to 20%, respectively.2,3,5

In this rare presentation of a premenopausal patient with a large mucinous carcinoma, her young age and HER2-positive histology warranted a more aggressive treatment approach. Although breast conservation was discussed with this patient, given her family history of breast cancer, young age at diagnosis, and dense breast tissue, she initially preferred a more aggressive surgical approach with a therapeutic left breast mastectomy and left axillary SLNB along with a contralateral prophylactic mastectomy (CPM) and bilateral reconstruction. However, due to the concurrent COVID pandemic, her surgical management was directly influenced by national guidelines from the American College of Surgeons, the Society of Surgical Oncology, and the American Society of Breast Surgeons recommending postponement of elective cases, including CPM with reconstruction. Thus, she agreed to proceed with a left lumpectomy and SLNB first to finalize staging information, followed by adjuvant HER2-directed therapy until it was safe to proceed with the complete procedure when feasible.

Conclusion

Pure mucinous carcinoma is a rare subtype of invasive breast carcinoma that should follow NCCN guidelines for treatment recommendations. Patients with pMC tend to be older and have a hormone-positive receptor status, likely contributing to the decision toward less aggressive approaches with breast conservation and endocrine therapy, if applicable. However, HER2-positive pMC of the breast in premenopausal women is rare and may warrant more aggressive oncologic and surgical considerations, such as chemotherapy and mastectomy.

Lessons Learned

Pure mucinous carcinoma is a rare subtype of breast cancer that should follow NCCN treatment guidelines. Given its good overall prognosis, patients tend to choose less aggressive approaches with breast conservation and endocrine therapy, if applicable. However, HER2-positive pMC in premenopausal women may warrant more aggressive oncologic and surgical considerations.

Authors

Fencer MG; Abghari M; Eladoumikdachi F; Kowzun MJ

Author Affiliations

Department of Surgical Oncology, Rutgers Cancer Institute of New Jersey, New Brunswick, NJ 08901

Corresponding Author

Maria J. Kowzun, MD
Department of Surgical Oncology
Rutgers Cancer Institute of New Jersey
195 Little Albany Street
New Brunswick, NJ 08901
Email: hamma@cinj.rutgers.edu

Disclosure Statement

The authors have no conflicts of interest to disclose.

Funding/Support

The authors have no relevant financial relationships or in-kind support to disclose.

Received: May 29, 2021
Revision received: July 18, 2021
Accepted: July 27, 2021

References

  1. Di Saverio S, Gutierrez J, Avisar E. A retrospective review with long term follow up of 11,400 cases of pure mucinous breast carcinoma. Breast Cancer Res Treat. 2008;111(3):541-547. doi:10.1007/s10549-007-9809-z
  2. Gwark SC, Lee HS, Lee Y, et al. Clinical Implication of HER2 Status in Hormone Receptor-Positive Mucinous Breast Cancer. Ann Surg Oncol. 2019;26(7):2166-2174. doi:10.1245/s10434-019-07332-9
  3. Jang Y, Jung H, Kim HN, et al. Clinicopathologic characteristics of HER2-positive pure mucinous carcinoma of the breast. J Pathol Transl Med. 2020;54(1):95-102. doi:10.4132/jptm.2019.10.24
  4. Lian W, Zheng J, Chen D. Different prognosis by subtype in the early mucinous breast cancer: a SEER population-based analysis. Transl Cancer Res. 2020;9(10):5969-5978. doi:10.21037/tcr-20-1237
  5. Wei YN, Liu S, Zhang ML, Ke XX, Chen M, Wei B. Clinicopathologic characteristics of HER2-positive pure mucinous breast carcinoma: a systematic investigation into an unusual tumor. Int J Clin Exp Pathol. 2019;12(5):1666-1677. Published 2019 May 1.
  6. Gradishar WJ, Moran MS, Abraham J, et al. NCCN Guidelines® Insights: Breast Cancer, Version 1.2021. J Natl Compr Canc Netw. 2021;19(5):484-493. Published 2021 May 1. doi:10.6004/jnccn.2021.0023