Unsupported Browser
The American College of Surgeons website is not compatible with Internet Explorer 11, IE 11. For the best experience please update your browser.
Menu
Become a member and receive career-enhancing benefits

Our top priority is providing value to members. Your Member Services team is here to ensure you maximize your ACS member benefits, participate in College activities, and engage with your ACS colleagues. It's all here.

Become a Member
Become a member and receive career-enhancing benefits

Our top priority is providing value to members. Your Member Services team is here to ensure you maximize your ACS member benefits, participate in College activities, and engage with your ACS colleagues. It's all here.

Become a Member
ACS
ACS Case Reviews

A Rare Case of Recurrent Gallstone Ileus

August 10, 2023

Abstract

Background

Gallstone ileus is a rare but important cause of small bowel obstruction, most commonly affecting elderly females. Intestinal obstruction results from a gallstone migrating through a biliary-enteric fistula to lodge distally in the small intestine. The preferred surgical strategy is surgical decompression by enterolithotomy. Delayed cholecystectomy and fistula repair following surgical decompression is controversial and is typically reserved for appropriate-risk patients. Alternatively, further biliary intervention can be delayed, and an expectant approach adopted. However, this approach poses a risk of recurrent gallstone ileus, as described in this case.

Summary

We describe a case of an otherwise healthy female in her 70s who presented to our tertiary institution with gallstone ileus and underwent an emergency laparotomy and enterolithotomy. Palpable stones were noted within the gallbladder intraoperatively, but no biliary intervention was performed. She represented six weeks later with recurrent gallstone ileus and required repeat emergency surgery and small bowel resection. Given the absence of gallstones, our patient did not undergo any further definitive biliary interventions and has since had no further recurrent symptoms.

Conclusion

In patients at low risk of perioperative morbidity and mortality, surgery to decompress the bowel, repair the cholecystoduodenal fistula and perform cholecystectomy if gallstones are present either concurrently or sequentially should be considered to avoid recurrent gallstone ileus.

Key Words

gallstone ileus; recurrent; surgical management

Abbreviations

white cell count: WCC
C-reactive protein: CRP
liver function tests: LFT
alkaline phosphatase: ALKP
gamma-glutaryl transferase: GGT


Case Description

A 74-year-old female presented with two weeks of symptoms suggestive of an incomplete bowel obstruction. She was otherwise fit and healthy without any history of previous abdominal surgery, her only medical comorbidities being hypertension and osteoarthritis.

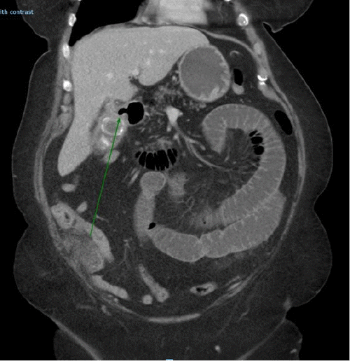
On examination, her heart rate, blood pressure, temperature, and oxygen saturation were all within normal limits. Clinically, her abdomen was distended and mildly tender. Hematological and biochemistry tests were ordered, revealing a raised white cell count (WCC) of 12.0 mmol/L (4.0-11.0 mmol/L), a C-reactive protein (CRP) of 115mg/L (0-5mg/L) and a cholestatic profile in her liver function tests (LFTs) with alkaline phosphatase (ALKP) of 117 U/L (30-110 U/L) and gamma-glutamyl transferase (GGT) of 233 U/L (5-35 U/L). A computed tomography (CT) scan demonstrated cholelithiasis, a cholecystoduodenal fistula, and gallstone ileus with an obstructing gallstone in the distal jejunum (Figure 1). Following resuscitation, an emergent laparotomy and enterolithotomy were performed for an obstructing 4.5 cm gallstone in the distal jejunum. No further stones were palpable in the remaining small bowel, only within the gallbladder. After an uncomplicated postoperative recovery, our patient was discharged home on day seven with outpatient follow-up arranged.

Figure 1. CT Scan Demonstrating Gallstone Ileus with Obstructing Stone in Distal Jejunum and Cholecystoduodenal Fistula (arrow). Published with Permission

The patient was reviewed in clinic four weeks postoperatively and, although appearing well, now reported intermittent pain in the right upper quadrant associated with food and loose bowel actions. Therefore, given the presence of biliary symptoms, an elective laparoscopic cholecystectomy was scheduled.

Unfortunately, one week later, our patient was re-admitted to hospital with recurrent signs and symptoms suggestive of a bowel obstruction. Her laboratory investigations on admission demonstrated an elevated WCC of 22.8 mmol/L (4.0-11.0 mmol/L), an acute kidney injury with a creatinine level of 121 umol/L (45-90 umol/L), and persistently deranged LFTs with an ALKP of 134U/L (30-110 U/) and GGT of 90 U/L (5-35 U/L).

The plain abdominal radiograph demonstrated dilated loops of small bowel concerning for intestinal obstruction, and a repeat CT scan demonstrated recurrent gallstone ileus, with three calculi now obstructing the terminal ileum. Interestingly, the gallbladder was noted to be empty. (Figure 2).

Figure 2. CT Scan Demonstrating Recurrent Gallstone Ileus with Three Stones Obstructing Terminal Ileum (arrow). Published with Permission

The patient proceeded to an emergency laparoscopic-assisted enterolithotomy and small bowel resection. Intraoperatively, an obvious transition point was noted in the distal ileum. A segment of inflamed distal ileum together (Figure 3) with the contained calculi (Figure 4) was resected, and a small bowel anastomosis was performed.

Figure 3. Intraoperative Photo of Inflamed Segment of Distal Ileum. Published with Permission

Figure 4. Intraoperative Photo of Opened Small Bowel Containing Calculi. Published with Permission

The gallbladder was left in situ. The patient had an uneventful recovery and was discharged home on postoperative day 6. Following discharge, no further recurrent symptoms have been reported, and she remains well.

Discussion

Gallstone ileus is an uncommon presentation of small bowel obstruction, reportedly accounting for 1%-4% of all presentations.1,2 Furthermore, while gallstones are relatively common, gallstone ileus is rare, with a reported incidence of 0.5% in all patients with cholelithiasis3—the majority in elderly females.4,5

Typically, this condition occurs following the formation of a biliary-enteric fistula secondary to inflammatory adhesions between the gallbladder and duodenum and, after that, pressure necrosis, allowing for erosion and fistula formation.6 Gallstones pass from the gallbladder directly into the duodenum and obstruct the terminal ileum in the majority (50%-60%).7,8 In the literature, other common sites of obstruction include the jejunum (16%-27%), duodenum (3.5%-14.5%), and colon (3-4%).7,8

Clinically, the classic presentation of gallstone ileus is a 'tumbling obstruction' characterized by transient and recurrent obstructive symptoms from the passage of gallstones distally.9 However, in most cases, confirmation of both diagnosis and underlying etiology requires further investigation, usually in imaging. Pathognomonic findings on a plain abdominal radiograph of gallstone ileus include the presence of dilated small bowel loops with multiple air-fluid levels, pneumobilia, and occasionally a radio-opaque ectopic gallstone (around 15% of stones). In most modern series, however, diagnosis is typically confirmed by a CT scan of the abdomen and pelvis. Reportedly, common findings are gallbladder wall thickening, pneumobilia, small bowel dilatation, and an ectopic gallstone.10-12

The treatment of gallstone ileus is typically surgical. Although there are few reports of successful resolution with conservative management,13 mortality with this approach is reportedly up to 27% in some series.8 Surgical management involves three fundamental principles: resolving intestinal obstruction, repairing the associated cholecystoduodenal fistula if present, and cholecystectomy in either a single-stage or two-stage procedure, depending on the patient's comorbidities. Typically, in high-risk or unstable patients, a conservative approach is adopted with enterolithotomy alone without biliary intervention, followed by observation to ensure the resolution of symptoms.8 Cholecystectomy is then reserved for patients with recurrent or persisting symptoms. In some small series, enterolithotomy alone resulted in most biliary-enteric fistulas closing spontaneously,8,14 suggesting further biliary intervention in most high-risk patients may be avoided following the primary procedure. Enterolithotomy alone, however, is associated with recurrence rates of up to 17% in some series, the majority occurring in the first six months,5,8 as described in our case.

Alternatively, a single-stage procedure may be attempted for suitable low-risk patients, with enterolithotomy, cholecystectomy, biliary-enteric fistula closure, and bile duct exploration as required if the necessary expertise is available. Historically, single-stage procedures have been previously shown to be associated with increased mortality compared with enterolithotomy alone.8 More recent data, however, suggests the mortality rates are comparable.15 This is likely due to improved case selection, surgical technique, and perioperative surgical care. In addition, single-stage procedures also reduce the risk of recurrent gallstone ileus and eliminate the residual biliary fistula and associated weight loss, malabsorption, and the long-term risk of cholangiocarcinoma.7

Few cases like ours have been previously described in the literature—usually in elderly patients. In all cases, patients who underwent laparotomy and enterolithotomy alone developed recurrent gallstone ileus and required further surgical procedures.16-18 Perhaps, in retrospect, these patients would be better served by either a concurrent or sequential definitive surgical strategy in the first instance.

Interestingly, our patient could be considered low risk given her physiological state on presentation during the index admission. Yet, despite this, the on-call general surgeon did not consider a one-stage procedure. We believe an alternative approach would be considered if a subspecialty surgeon was involved in the patient's care during the index admission. For similar presentations in the future, the authors would consider offering a definitive one-stage procedure with enterolithotomy, cholecystectomy, and repair of cholecystoduodenal fistula in suitable patients, considering the patient's physiology on presentation and access to the biliary tree.

Conclusion

In summary, we describe a rare case of recurrent gallstone ileus in a relatively low-risk surgical patient who underwent enterolithotomy alone. Given the risk of recurrence, we believe it is reasonable to offer enterolithotomy, cholecystectomy, and repair of cholecystoduodenal fistula concurrently or sequentially to suitable low-risk patients with gallstones in the gallbladder if a surgeon with the necessary experience and expertise can perform the cholecystectomy and fistula repair.

Lessons Learned

Treatment of gallstone ileus typically involves surgical intervention, aiming to resolve the intestinal obstruction, repair any cholecystoduodenal fistula, and perform cholecystectomy. The surgical approach may vary depending on the patient's risk profile, with some cases treated conservatively with enterolithotomy alone. However, this approach is associated with a high recurrence rate and may necessitate further surgical procedures. Alternatively, a one-stage procedure involving enterolithotomy, cholecystectomy, and fistula repair is recommended for suitable low-risk patients, as it has shown comparable mortality rates and reduces the risk of recurrence and long-term complications.

Authors

Chamberlain SLa; Ackermann Tb; Naqash Na

Author Affiliations

  1. Upper GI and Hepatobiliary Surgery, Monash Health, Clayton VIC 3168, Australia
  2. Hepatobiliary and General Surgery, Monash Health, Clayton VIC 3168, Australia

Corresponding Author

Stacey Chamberlain, MD
UGI and HPB Surgery
Monash Health
Clayton VIC3168
Australia
Email: drstaceychamberlain@gmail.com

Disclosure Statement

The authors have no conflicts of interest to disclose.

Funding/Support

The authors have no relevant financial relationships or in-kind support to disclose.

Received: November 9, 2020
Revision received: January 2, 2021
Accepted: February 1, 2021

References

  1. Ayantunde AA, Agrawal A. Gallstone ileus: diagnosis and management. World J Surg. 2007;31(6):1292-1297. doi:10.1007/s00268-007-9011-9
  2. Fitzgerald JE, Fitzgerald LA, Maxwell-Armstrong CA, Brooks AJ. Recurrent gallstone ileus: time to change our surgery?. J Dig Dis. 2009;10(2):149-151. doi:10.1111/j.1751-2980.2009.00378.x
  3. Halabi WJ, Kang CY, Ketana N, et al. Surgery for gallstone ileus: a nationwide comparison of trends and outcomes. Ann Surg. 2014;259(2):329-335. doi:10.1097/SLA.0b013e31827eefed
  4. Umer S, Butt UI, Toor AA, et al. Gallstone Ileus With Cholecysto-Duodenal Fistula In An Elderly Male. J Ayub Med Coll Abbottabad. 2018;30(4):614-416.
  5. Inukai K. Gallstone ileus: a review. BMJ Open Gastroenterol. 2019;6(1):e000344. Published 2019 Nov 24. doi:10.1136/bmjgast-2019-000344
  6. Ravikumar R, Williams JG. The operative management of gallstone ileus. Ann R Coll Surg Engl. 2010;92(4):279-281. doi:10.1308/003588410X12664192076377
  7. Clavien PA, Richon J, Burgan S, Rohner A. Gallstone ileus. Br J Surg. 1990;77(7):737-742. doi:10.1002/bjs.1800770707
  8. Reisner RM, Cohen JR. Gallstone ileus: a review of 1001 reported cases. Am Surg. 1994;60(6):441-446.
  9. VanLandingham SB, Broders CW. Gallstone ileus. Surg Clin North Am. 1982;62(2):241-247. doi:10.1016/s0039-6109(16)42683-6
  10. Lassandro F, Gagliardi N, Scuderi M, Pinto A, Gatta G, Mazzeo R. Gallstone ileus analysis of radiological findings in 27 patients. Eur J Radiol. 2004;50(1):23-29. doi:10.1016/j.ejrad.2003.11.011
  11. Lassandro F, Romano S, Ragozzino A, et al. Role of helical CT in diagnosis of gallstone ileus and related conditions. AJR Am J Roentgenol. 2005;185(5):1159-1165. doi:10.2214/AJR.04.1371
  12. Seal EC, Creagh MF, Finch PJ. Gallstone ileus: a new role for abdominal computed tomography. Postgrad Med J. 1995;71(835):313-315. doi:10.1136/pgmj.71.835.313
  13. Takata H, Yoshida H, Hirakata A, Watanabe M, Uchida E, Uchida E. Recurrent Gallstone Ileus Successfully Treated with Conservative Therapy. J Nippon Med Sch. 2015;82(6):300-303. doi:10.1272/jnms.82.300
  14. Doko M, Zovak M, Kopljar M, Glavan E, Ljubicic N, Hochstädter H. Comparison of surgical treatments of gallstone ileus: preliminary report. World J Surg. 2003;27(4):400-404. doi:10.1007/s00268-002-6569-0
  15. Rabie MA, Sokker A. Cholecystolithotomy, a new approach to reduce recurrent gallstone ileus. Acute Med Surg. 2019;6(2):95-100. Published 2019 Mar 4. doi:10.1002/ams2.404
  16. Apollos JR, Guest RV. Recurrent gallstone ileus due to a residual gallstone: A case report and literature review. Int J Surg Case Rep. 2015;13:12-14. doi:10.1016/j.ijscr.2015.06.003
  17. Hayes N, Saha S. Recurrent gallstone ileus. Clin Med Res. 2012;10(4):236-239. doi:10.3121/cmr.2012.1079
  18. Osagiede O, Pacurari P, Colibaseanu D, Jrebi N. Unusual Presentation of Recurrent Gallstone Ileus: A Case Report and Literature Review. Case Rep Gastrointest Med. 2019;2019:8907068. Published 2019 Oct 3. doi:10.1155/2019/8907068