Unsupported Browser
The American College of Surgeons website is not compatible with Internet Explorer 11, IE 11. For the best experience please update your browser.
Menu
Become a member and receive career-enhancing benefits

Our top priority is providing value to members. Your Member Services team is here to ensure you maximize your ACS member benefits, participate in College activities, and engage with your ACS colleagues. It's all here.

Become a Member
Become a member and receive career-enhancing benefits

Our top priority is providing value to members. Your Member Services team is here to ensure you maximize your ACS member benefits, participate in College activities, and engage with your ACS colleagues. It's all here.

Become a Member
ACS
ACS Case Reviews

Asymptomatic Complete Transmural Gastric Migration of Polytetrafluoroethylene Mesh Seven Years After Mesh Hiatoplasty

August 10, 2023

Abstract

Background

A 90-year-old man was admitted to the hospital with a small bowel obstruction eight years after a hiatal hernia repair with expanded polytetrafluoroethylene (ePTFE) mesh reinforcement.

Summary

The patient underwent laparotomy for a small bowel obstruction. An adhesive obstruction with early focal ischemia was treated with an enterolysis and a short segmental resection. A fist-sized mobile, intraluminal mass was palpated in the stomach. A gastrotomy was performed, and the mass was extracted. Examination of the mass on the back table revealed an intact sheet of ePTFE mesh placed eight years ago to reinforce the hiatoplasty. The patient's recovery was uneventful.

Conclusion

A case of ePTFE mesh erosion with complete transmural migration into the stomach seven years after mesh placement during a hiatal hernia repair is described. This case is unusual due to the delayed presentation, the paucity of symptoms, and an assumption that ePTFE mesh is not associated with gastrointestinal tract erosion.

Key Words

hernia mesh; hiatal hernia; expanded polytetrafluorethylene; ePTFE; mesh erosion; mesh migration; mesh complication


Case Description

A 90-year-old man was admitted to the hospital in 2015 with a five-hour history of abdominal pain, nausea, and small-volume emesis following an evening meal. He also had a three-month history of early satiety without associated nausea, vomiting, pain, or other gastrointestinal complaints. Eleven years prior to admission, the patient had an open low anterior resection for a large tubulovillous adenoma of the upper rectum. Seven years before admission, he underwent open repair of a large hiatal hernia with prosthetic reinforcement.

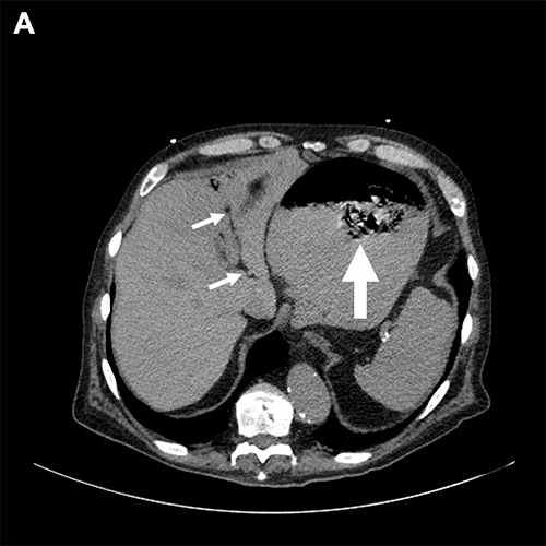
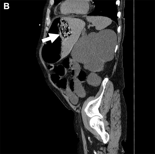
At the initial examination, the patient was alert, oriented, and complaining of severe abdominal pain. He was hypertensive with otherwise normal vital signs and a body mass index of 22. His abdomen was distended, tympanic, and diffusely tender. His laboratory tests included a white blood cell count of 14,400 per µL, a serum bicarbonate of 15 mEq/L, and a serum lactate of 6 mmol/L. Attempts at nasogastric tube placement were unsuccessful secondary to resistance during insertion. A computerized tomography (CT) scan obtained in the emergency department demonstrated (i) markedly dilated loops of small bowel with a transition point in the distal ileum, (ii) portal venous gas, (iii) a small ventral hernia containing a non-obstructed loop of colon, and (iv) a foreign body (possibly a bezoar) freely floating within the lumen of a distended, intraabdominal stomach (Figure 1).

Figure 1. Preoperative CT. Published with Permission

A) Cross-sectional view, upper abdomen. Large arrow = free-floating mass within lumen of stomach. Small arrows = portal venous gas
A) Cross-sectional view, upper abdomen. Large arrow = free-floating mass within lumen of stomach. Small arrows = portal venous gas
B) Sagittal view, left side
B) Sagittal view, left side
C) Coronal view, anterior
C) Coronal view, anterior

The patient was given intravenous fluid and antibiotics, and then four hours after arrival, he underwent exploratory laparotomy. A small epigastric hernia sac was resected. The patient had dense, extensive intraabdominal adhesions, with obliteration of most of his peritoneal cavity. An enterolysis was performed, including the release of an obstructing band at the terminal ileum. Two short segments (proximal jejunum and ileum) of nonviable-appearing small intestine were resected, followed by stapled anastomoses.

The anesthetist's repeat attempt at nasogastric tube insertion during the operation was unsuccessful. The anterior stomach was dissected out, and a fist-sized mobile mass was palpated within the stomach (believed to be a bezoar identified on the CT). An 8 cm longitudinal gastrotomy was made over the mass, and a blackish, firm, irregular, but globular object was extruded from within the lumen of the stomach. It was not attached to any structure, and no blood or tissue was associated with it. Upon examination and unfolding of the mass on the back table (Figure 2), it became apparent that this mass was a sheet of ePTFE mesh that had been placed seven years prior to reinforce the hiatoplasty. The mesh appeared to have a keyhole, or slot, likely positioned around the esophagus.

Figure 2. ePTFE mesh. Published with Permission

Specimen was removed from stomach and then flattened out. Presumed keyhole for distal esophagus is evident in mesh's center.
Specimen was removed from stomach and then flattened out. Presumed keyhole for distal esophagus is evident in mesh's center.

The nasogastric tube was then advanced into the body of the stomach, and the gastrotomy and midline incision was closed. The patient's postoperative course was prolonged secondary to confusion and pneumonia; he eventually recovered and was discharged to a short-term rehabilitation facility. A contrast study of the esophagus and stomach on postoperative day 8 demonstrated no evidence of obstruction at the gastroesophageal junction nor evidence of a leak; the anatomical configuration of the stomach appeared normal.

The subsequently-obtained operative note from seven years prior described a laparoscopic-converted-to-open mesh hiatoplasty (the index procedure) secondary to a frozen abdomen. The greater gastric curve was mobilized during this procedure, including transection of the short gastric vessels. A hiatal hernia sac was reduced and excised. A primary posterior cruroplasty was performed with three interrupted 0-polyester sutures. The sutured cruroplasty was then reinforced with a sheet of ePTFE (Gore® Dual Mesh®) that was "placed around the esophagus and sutured to the diaphragm." No description of the indication for mesh utilization nor further details of the mesh placement technique were given. A 60 Fr. esophageal bougie was then inserted by the anesthetist during this index procedure, but this perforated the stomach along the lesser curvature. This perforation was repaired with silk sutures, and then the injury site was covered with an anterior (Dor-type) fundoplication. A Stamm-type gastrostomy tube also was placed at the index procedure.

The patient expired at home two years after mesh removal at the age of 92. He was clinically well at a routine primary care visit one month before his death.

Discussion

Since the 2000s, mesh use appears to have increased during the repair of hiatal hernias.1-4 There have been both retrospective and prospective data that suggest that mesh utilization during hiatal hernia repair decreases hernia recurrence rate.5-10 However, not all the data support mesh utilization,11,12 and the prescribed indications for mesh hiatoplasty have varied. In addition, there has been a persistent concern about long-term mesh-related complications during the hiatus.13 The present report described such a case, a relatively asymptomatic erosion and complete transmural migration into the stomach of a sheet of ePTFE that had been placed to reinforce a posterior cruroplasty seven years prior to presentation.

There have been at least 59 published cases of hiatal mesh erosion (Table 1). The incidence of hiatal mesh complications is difficult to determine secondary to an unknown total number of hiatoplasties in which mesh is used (i.e., the "denominator"). From a 2010 survey of SAGES members, the incidence of hiatal mesh erosion was estimated to be 0.2–0.5% for synthetic nonresorbable materials.2 In the 59 cases of hiatal mesh erosion that were identified, most presented within the first two to three years after implantation, though the data in Table 1 incomplete. There were some late presentations (>3 years post-implantation); our case would fall in this group. For mesh erosions in which data were available, virtually all patients were symptomatic, most with dysphagia (Table 1), and virtually all patients underwent an intervention to remove the mesh, which sometimes involved an organ resection.

No.

Year Reference Cases (N) Symptoms Interval (Mo) Mesh Material Intervention Comments
1 1996

Casabella24

1 NS NS NS esophageal resection Mentioned in manuscript discussion only
2 1998

Carlson6

1 none 29 PPE esophagectomy Minor fundal erosion; resection because of concurrent esophageal cancer
3 2000

Arendt25

1 dysphagia 108 Teflon pledgets endoscopic removal Associated fistula, resolved with medical care after Teflon removal
4 2000

Baladas26

1

heartburn &
dysphagia

1.5 Teflon pledgets laparotomy, Teflon removal, & repair of fistula Early occurrence; complicated postoperative course; recovered
5 2000

Coluccio27

1

dysphagia &
weight loss

2 PTFE esophageal resection Early occurrence
6 2005

Zilberstein28

1 dysphagia 16 Dacron laparoscopic removal Later endoscopic dilatation for stricture
7 2006

Hergueta-Delgado29

1 dysphagia NS PTFE none Fundal erosion; left in situ & monitored endoscopically
8 2008

Griffith30

2 dysphagia NS PTFE stent (1); esophageal removal (1) Case series
9 2008

Rumstadt31

1 pain 10 Ti-PPE esophageal removal Complete transmural migration into stomach
10 2008

Tatum32

1 pain & dysphagia 36 PTFE gastrectomy Complete transmural migration into stomach
11 2009

Hazebroek33

1 dysphagia 4 PTFE gastrotomy & removal CruraSoft™ Patch; removed by gastrotomy
12 2009

Soricelli5

1 NS NS PPE laparoscopic removal Brief mention in a large series
13 2009

Stadlhuber13

17

dysphagia (N=13);
pain (N=6);
reflux (4)

NS PPE (N=5); PTFE (N=11); Biol (N=1) esophagectomy (5); gastrectomy (3); excision (3); repair & fundo (2); diversion (1); none (3) Cases compiled from multiple surgeons
14 2010

Frantzides2

24 NS NS PPE (N=15); PTFE (N=6); NS (N=3) NS SAGES survey data
15 2011

Carpelan- Holmström34

1

dysphagia &
weight loss

24 PTFE distal esophagectomy CruraSoft™ Patch; passed per rectum
16 2013

Nandipati35

3 NS NS NS esophageal resection Drawn from a larger series of 26 patients with mesh complications
17 2018

Berg36

1 pain NS unknown endoscopic removal Complete transmural migration into stomach

Total cases of mesh erosion

59

Table 1. Summary of Reports Describing Erosion of Hiatal Prosthetic Material in Adults.

No.

Year Reference Cases (N) Symptoms Interval (Mo) Mesh Material Intervention Comments
1 1996

Casabella24

1 NS NS NS esophageal resection Mentioned in manuscript discussion only
2 1998

Carlson6

1 none 29 PPE esophagectomy Minor fundal erosion; resection because of concurrent esophageal cancer
3 2000

Arendt25

1 dysphagia 108 Teflon pledgets endoscopic removal Associated fistula, resolved with medical care after Teflon removal
4 2000

Baladas26

1

heartburn &
dysphagia

1.5 Teflon pledgets laparotomy, Teflon removal, & repair of fistula Early occurrence; complicated postoperative course; recovered
5 2000

Coluccio27

1

dysphagia &
weight loss

2 PTFE esophageal resection Early occurrence
6 2005

Zilberstein28

1 dysphagia 16 Dacron laparoscopic removal Later endoscopic dilatation for stricture
7 2006

Hergueta-Delgado29

1 dysphagia NS PTFE none Fundal erosion; left in situ & monitored endoscopically
8 2008

Griffith30

2 dysphagia NS PTFE stent (1); esophageal removal (1) Case series
9 2008

Rumstadt31

1 pain 10 Ti-PPE esophageal removal Complete transmural migration into stomach
10 2008

Tatum32

1 pain & dysphagia 36 PTFE gastrectomy Complete transmural migration into stomach
11 2009

Hazebroek33

1 dysphagia 4 PTFE gastrotomy & removal CruraSoft™ Patch; removed by gastrotomy
12 2009

Soricelli5

1 NS NS PPE laparoscopic removal Brief mention in a large series
13 2009

Stadlhuber13

17

dysphagia (N=13);
pain (N=6);
reflux (4)

NS PPE (N=5); PTFE (N=11); Biol (N=1) esophagectomy (5); gastrectomy (3); excision (3); repair & fundo (2); diversion (1); none (3) Cases compiled from multiple surgeons
14 2010

Frantzides2

24 NS NS PPE (N=15); PTFE (N=6); NS (N=3) NS SAGES survey data
15 2011

Carpelan- Holmström34

1

dysphagia &
weight loss

24 PTFE distal esophagectomy CruraSoft™ Patch; passed per rectum
16 2013

Nandipati35

3 NS NS NS esophageal resection Drawn from a larger series of 26 patients with mesh complications
17 2018

Berg36

1 pain NS unknown endoscopic removal Complete transmural migration into stomach

Total cases of mesh erosion

59

Listed in approximate chronological order of publication. NS = not specified; PPE = polypropylene mesh; PTFE = polytetrafluoroethylene mesh; Biol = biologic mesh; Ti-PPE = titanium-polypropylene mesh.

The case presented in this report was unusual in that the patient was relatively asymptomatic, aside from some early satiety at the time of his presentation for an apparently unrelated adhesive small bowel obstruction. Considering that this sheet of ePTFE migrated from the peritoneal cavity completely into the stomach, this was fairly remarkable. It is unclear how long the patient had a gastric mesh bezoar during his enterolysis. In addition, it is unknown whether the lesser curvature perforation that was incurred and repaired during the index mesh hiatoplasty seven years prior to presentation predisposed the patient to the subsequent erosion, nor whether the apparent circumferential application of the hiatal mesh (i.e., around the esophagus, as suggested by the keyhole configuration of the mesh in Figure 2) was a predisposing factor.

Polypropylene or polyester mesh erosion into the gastrointestinal tract after ventral hernia repair is a well-described phenomenon.14-17 PTFE hernia mesh had been considered relatively safe regarding erosion and fistula formation.16 However, PTFE erosion into the gastrointestinal tract after repair of ventral hernia18,19 and hiatal hernia (Table 1) is now known to occur. Erosion of biologic mesh into the gastrointestinal tract may occur at a lower incidence compared to erosions with synthetic nonresorbable mesh (Table 1), but accurate denominator data are unavailable. Regarding synthetic nonresorbable mesh materials (i.e., polytetrafluoroethylene, polypropylene, polyester), assuming all types are prone to gastrointestinal erosion may be reasonable. The risk of erosion with newer synthetic resorbable mesh materials is unclear, as adequate follow-up is unavailable.

Of note, the above erosive mesh complications at the hiatus are reminiscent of complications associated with the placement of the Angelchik prosthesis to treat reflux disease, which was noted in the 1980s.20-23 The potential hazards of hiatal prosthesis placement appear to have persisted into the modern era, though the precise risk is difficult to quantify.

Conclusion

This case represents a delayed, relatively asymptomatic erosive complication after ePTFE reinforcement of a hiatoplasty. Although mesh utilization during hiatal hernioplasty has been debated in the surgical literature, many repairs continue to be performed.

Lessons Learned

Long-term follow-up of all mesh hiatoplasties is recommended, with the knowledge that a mesh-related complication can occur years after implantation.

Authors

Arkfeld CKa; Carlson MAa,b,c

Author Affiliations

  1. Department of Surgery, University of Nebraska Medical Center, Omaha, NE 68198
  2. Department of Surgery, VA Nebraska–Western Iowa Health Care System, Omaha, NE 68105
  3. Department of Genetics, Cell Biology and Anatomy, University of Nebraska Medical Center, Omaha, NE 68198

Corresponding Author

Mark A. Carlson, MD, FACS
VA Nebraska Western-Iowa Health Care System
Surgery 112, VA Medical Center
4101 Woolworth Avenue
Omaha, NE 68105
Email: macarlso@unmc.edu

Disclosure Statement

The authors have no conflicts of interest to disclose.

Funding/Support

The authors have no relevant financial relationships or in-kind support to disclose.

Received: November 3, 2020
Revision received: November 29, 2020
Accepted: March 4, 2021

References

  1. Furnée EJ, Smith CD, Hazebroek EJ. The Use of Mesh in Laparoscopic Large Hiatal Hernia Repair: A Survey of European Surgeons. Surg Laparosc Endosc Percutan Tech. 2015;25(4):307-311. doi:10.1097/SLE.0000000000000162
  2. Frantzides CT, Carlson MA, Loizides S, et al. Hiatal hernia repair with mesh: a survey of SAGES members. Surg Endosc. 2010;24(5):1017-1024. doi:10.1007/s00464-009-0718-6
  3. Pfluke JM, Parker M, Bowers SP, Asbun HJ, Daniel Smith C. Use of mesh for hiatal hernia repair: a survey of SAGES members. Surg Endosc. 2012;26(7):1843-1848. doi:10.1007/s00464-012-2150-6
  4. Lidor AO, Steele KE, Stem M, Fleming RM, Schweitzer MA, Marohn MR. Long-term quality of life and risk factors for recurrence after laparoscopic repair of paraesophageal hernia. JAMA Surg. 2015;150(5):424-431. doi:10.1001/jamasurg.2015.25
  5. Soricelli E, Basso N, Genco A, Cipriano M. Long-term results of hiatal hernia mesh repair and antireflux laparoscopic surgery. Surg Endosc. 2009;23(11):2499-2504. doi:10.1007/s00464-009-0425-3
  6. Carlson MA, Condon RE, Ludwig KA, Schulte WJ. Management of intrathoracic stomach with polypropylene mesh prosthesis reinforced transabdominal hiatus hernia repair. J Am Coll Surg. 1998;187(3):227-230. doi:10.1016/s1072-7515(98)00162-8
  7. Frantzides CT, Madan AK, Carlson MA, Stavropoulos GP. A prospective, randomized trial of laparoscopic polytetrafluoroethylene (PTFE) patch repair vs simple cruroplasty for large hiatal hernia. Arch Surg. 2002;137(6):649-652. doi:10.1001/archsurg.137.6.649
  8. Oelschlager BK, Pellegrini CA, Hunter J, et al. Biologic prosthesis reduces recurrence after laparoscopic paraesophageal hernia repair: a multicenter, prospective, randomized trial. Ann Surg. 2006;244(4):481-490. doi:10.1097/01.sla.0000237759.42831.03
  9. Granderath FA, Carlson MA, Champion JK, et al. Prosthetic closure of the esophageal hiatus in large hiatal hernia repair and laparoscopic antireflux surgery. Surg Endosc. 2006;20(3):367-379. doi:10.1007/s00464-005-0467-0
  10. Furnée E, Hazebroek E. Mesh in laparoscopic large hiatal hernia repair: a systematic review of the literature. Surg Endosc. 2013;27(11):3998-4008. doi:10.1007/s00464-013-3036-y
  11. Watson DI, Thompson SK, Devitt PG, et al. Laparoscopic repair of very large hiatus hernia with sutures versus absorbable mesh versus nonabsorbable mesh: a randomized controlled trial. Ann Surg. 2015;261(2):282-289. doi:10.1097/SLA.0000000000000842
  12. Memon MA, Memon B, Yunus RM, Khan S. Suture Cruroplasty Versus Prosthetic Hiatal Herniorrhaphy for Large Hiatal Hernia: A Meta-analysis and Systematic Review of Randomized Controlled Trials. Ann Surg. 2016;263(2):258-266. doi:10.1097/SLA.0000000000001267
  13. Stadlhuber RJ, Sherif AE, Mittal SK, et al. Mesh complications after prosthetic reinforcement of hiatal closure: a 28-case series. Surg Endosc. 2009;23(6):1219-1226. doi:10.1007/s00464-008-0205-5
  14. Karakousis CP, Volpe C, Tanski J, Colby ED, Winston J, Driscoll DL. Use of a mesh for musculoaponeurotic defects of the abdominal wall in cancer surgery and the risk of bowel fistulas. J Am Coll Surg. 1995;181(1):11-16.
  15. Kaufman Z, Engelberg M, Zager M. Fecal fistula: a late complication of Marlex mesh repair. Dis Colon Rectum. 1981;24(7):543-544. doi:10.1007/BF02604320
  16. Leber GE, Garb JL, Alexander AI, Reed WP. Long-term complications associated with prosthetic repair of incisional hernias. Arch Surg. 1998;133(4):378-382. doi:10.1001/archsurg.133.4.378
  17. Losanoff JE, Richman BW, Jones JW. Entero-colocutaneous fistula: a late consequence of polypropylene mesh abdominal wall repair: case report and review of the literature. Hernia. 2002;6(3):144-147. doi:10.1007/s10029-002-0067-z
  18. Tung KLM, Cheung HYS, Tang CN. Non-healing enterocutaneous fistula caused by mesh migration. ANZ J Surg. 2018;88(1-2):E73-E74. doi:10.1111/ans.13253
  19. Foda M, Carlson MA. Enterocutaneous fistula associated with ePTFE mesh: case report and review of the literature. Hernia. 2009;13(3):323-326. doi:10.1007/s10029-008-0441-6
  20. Lackey C, Potts J. Penetration into the stomach. A complication of the antireflux prosthesis. JAMA. 1982;248(3):350.
  21. Lilly MP, Slafsky SF, Thompson WR. Intraluminal erosion and migration of the Angelchik antireflux prosthesis. Arch Surg. 1984;119(7):849-853. doi:10.1001/archsurg.1984.01390190087020
  22. Smith RS, Chang FC, Hayes KA, deBakker J. Complications of the Angelchik antireflux prosthesis. A community experience. Am J Surg. 1985;150(6):735-738. doi:10.1016/0002-9610(85)90419-2
  23. Varshney S, Kelly JJ, Branagan G, Somers SS, Kelly JM. Angelchik prosthesis revisited. World J Surg. 2002;26(1):129-133. doi:10.1007/s00268-001-0192-3
  24. Casabella F, Sinanan M, Horgan S, Pellegrini CA. Systematic use of gastric fundoplication in laparoscopic repair of paraesophageal hernias. Am J Surg. 1996;171(5):485-489. doi:10.1016/S0002-9610(97)89609-2
  25. Arendt T, Stüber E, Mönig H, Fölsch UR, Katsoulis S. Dysphagia due to transmural migration of surgical material into the esophagus nine years after Nissen fundoplication. Gastrointest Endosc. 2000;51(5):607-610. doi:10.1016/s0016-5107(00)70303-8
  26. Baladas HG, Smith GS, Richardson MA, Dempsey MB, Falk GL. Esophagogastric fistula secondary to teflon pledget: a rare complication following laparoscopic fundoplication. Dis Esophagus. 2000;13(1):72-74. doi:10.1046/j.1442-2050.2000.00083.x
  27. Coluccio G, Ponzio S, Ambu V, Tramontano R, Cuomo G. Dislocazione nel lume cardiale di protesi in PTFE utilizzata per il trattamento di voluminosa ernia jatale da scivolamento. Descrizione di un caso clinico [Dislocation into the cardial lumen of a PTFE prosthesis used in the treatment of voluminous hiatal sliding hernia, A case report]. Minerva Chir. 2000;55(5):341-345.
  28. Zilberstein B, Eshkenazy R, Pajecki D, Granja C, Brito AC. Laparoscopic mesh repair antireflux surgery for treatment of large hiatal hernia. Dis Esophagus. 2005;18(3):166-169. doi:10.1111/j.1442-2050.2005.00494.x
  29. Hergueta-Delgado P, Marin-Moreno M, Morales-Conde S, et al. Transmural migration of a prosthetic mesh after surgery of a paraesophageal hiatal hernia. Gastrointest Endosc. 2006;64(1):120-121. doi:10.1016/j.gie.2006.01.034
  30. Griffith PS, Valenti V, Qurashi K, Martinez-Isla A. Rejection of goretex mesh used in prosthetic cruroplasty: a case series. Int J Surg. 2008;6(2):106-109. doi:10.1016/j.ijsu.2007.12.004
  31. Rumstadt B, Kähler G, Mickisch O, Schilling D. Gastric mesh erosion after hiatoplasty for recurrent paraesophageal hernia. Endoscopy. 2008;40 Suppl 2:E70. doi:10.1055/s-2007-995332
  32. Tatum RP, Shalhub S, Oelschlager BK, Pellegrini CA. Complications of PTFE mesh at the diaphragmatic hiatus. J Gastrointest Surg. 2008;12(5):953-957. doi:10.1007/s11605-007-0316-7
  33. Hazebroek EJ, Leibman S, Smith GS. Erosion of a composite PTFE/ePTFE mesh after hiatal hernia repair. Surg Laparosc Endosc Percutan Tech. 2009;19(2):175-177. doi:10.1097/SLE.0b013e3181a11926
  34. Carpelan-Holmström M, Kruuna O, Salo J, Kylänpää L, Scheinin T. Late mesh migration through the stomach wall after laparoscopic refundoplication using a dual-sided PTFE/ePTFE mesh. Hernia. 2011;15(2):217-220. doi:10.1007/s10029-010-0633-8
  35. Nandipati K, Bye M, Yamamoto SR, Pallati P, Lee T, Mittal SK. Reoperative intervention in patients with mesh at the hiatus is associated with high incidence of esophageal resection--a single-center experience. J Gastrointest Surg. 2013;17(12):2039-2044. doi:10.1007/s11605-013-2361-8
  36. Berg B, Cobb R, Panzer K, Powers B, Gupta S, Patel T. Complete gastric transmural migration of a prosthetic hiatal hernia. Appl Radiol. 2017;47(1):40-42