Unsupported Browser
The American College of Surgeons website is not compatible with Internet Explorer 11, IE 11. For the best experience please update your browser.
Menu
Become a member and receive career-enhancing benefits

Our top priority is providing value to members. Your Member Services team is here to ensure you maximize your ACS member benefits, participate in College activities, and engage with your ACS colleagues. It's all here.

Become a Member
Become a member and receive career-enhancing benefits

Our top priority is providing value to members. Your Member Services team is here to ensure you maximize your ACS member benefits, participate in College activities, and engage with your ACS colleagues. It's all here.

Become a Member
ACS
ACS Case Reviews

Pyelocolonic Fistula in a Patient with a Large Staghorn Calculus and Emphysematous Pyelonephritis

August 10, 2023

Abstract

Background

Fistulas can exist between the genitourinary (GU) and the gastrointestinal (GI) tracts. These fistulas can affect different parts of the upper and lower GI and GU tracts. Pyelocolonic fistulas form between the renal pelvis and the colon and may be iatrogenic due to staghorn calculi or infection. In some rare instances, such as in this case, pyelocolonic fistulas occur due to a combination of more than one factor.

Summary

We report the case of a 62-year-old patient who developed sepsis and a retroperitoneal abscess from emphysematous pyelonephritis of the left kidney, secondary to a large staghorn calculus. A pyelocolonic fistula also developed and was evident on cross-sectional imaging. The patient required antibiotics, several percutaneous drainage procedures, and eventually, a nephrectomy and primary repair of the colonic fistula.

Conclusion

Pyelocolonic fistulas should be suspected in patients with staghorn calculi and difficult-to-treat or complicated upper genitourinary tract infections. The combination of urinary obstruction and fecal contamination creates a unique environment that could lead to polymicrobial, recalcitrant infections of the upper GU tract. Management requires source control by removal of infected unsalvageable tissue, relief of the urinary obstruction, and application of the appropriate antimicrobial therapy.

Key Words

calculus; fistula; pyelocolonic; staghorn


Case Description

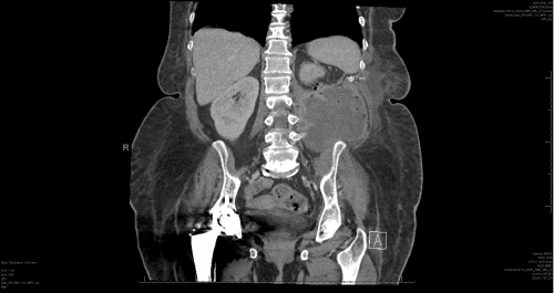
A 62-year-old female who smokes tobacco, with a history of asthma and pyelonephritis, failed outpatient empiric antibiotic treatment and was admitted for sepsis secondary to pyelonephritis with staghorn calculi, severe left hydronephrosis, and a left-sided retroperitoneal abscess (Figure 1).

Figure 1. CT Images at Admission. Published with Permission

A) Coronal view showing loculated fluid collection/abscess containing air bubbles and air-fluid level in the left retroperitoneum, measuring 10.0 × 9.5 × 9.8 cm, extending along the left psoas muscle and beyond the abdominal musculature into the soft tissues of the left flank
A) Coronal view showing loculated fluid collection/abscess containing air bubbles and air-fluid level in the left retroperitoneum, measuring 10.0 × 9.5 × 9.8 cm, extending along the left psoas muscle and beyond the abdominal musculature into the soft tissues of the left flank
B) Large 3.3 cm staghorn calculus in the left kidney, resulting in severe left hydronephrosis and likely calyceal rupture
B) Large 3.3 cm staghorn calculus in the left kidney, resulting in severe left hydronephrosis and likely calyceal rupture
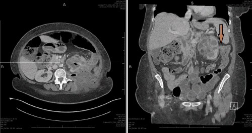
C) Coronal view on the left showing the connection between the descending colon and left kidney (arrow) and the same pathology shown on the axial view on the left indicated by crossmarker.
C) Coronal view on the left showing the connection between the descending colon and left kidney (arrow) and the same pathology shown on the axial view on the left indicated by crossmarker.
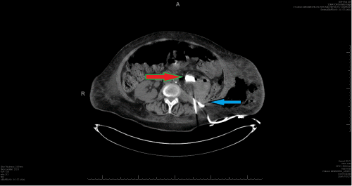
D) Status postpercutaneous left nephrostomy (red arrow) and catheter drainage of the left retroperitoneal abscess (blue arrow)
D) Status postpercutaneous left nephrostomy (red arrow) and catheter drainage of the left retroperitoneal abscess (blue arrow)

The patient's white blood cell (WBC) count was 16,000/uL; she was admitted to the intensive care unit and started on cefepime, followed by the percutaneous insertion of a left nephrostomy tube for decompression of her hydronephrosis on hospital day 2, which drained 3L of purulent fluid. On the same day (HD2), she underwent percutaneous drainage of her left-sided retroperitoneal abscess, yielding 300ml of purulent fluid. Fluid cultures from the abscess drainage revealed Streptococcus anginosus and Proteus mirabilis. Blood cultures were negative, and multiple tests for COVID-19 were negative. The patient continued to recover slowly.

On hospital day 9, the patient's nephrostomy tube was accidentally dislodged. The patient underwent a repeat CT scan for its replacement, as her sepsis was still resolving, and it was deemed to still be necessary. This study showed a pyelocolonic fistula, a persistent, large, left staghorn renal calculus, and an apparent fungal ball in the left kidney (Figure 2). Cultures from her urine grew Candida albicans and Escherichia coli, which were treated with meropenem and fluconazole.

Figure 2. Intraoperative CT Images Showing Fistula, Renal Calculus, and Fungal Ball. Published with Permission

A) Immediate filling of fistula from left middle pole calyx into descending colon
A) Immediate filling of fistula from left middle pole calyx into descending colon
B) filling defect in left upper pole calyx consistent with fungal ball or abscess ball
B) filling defect in left upper pole calyx consistent with fungal ball or abscess ball

The patient's left nephrostomy output decreased over time, and a renal scan was performed to evaluate for renal function, which revealed the same findings as prior imaging (Figure 3). On hospital day 24, the decision was made to take the patient to the operating room. She underwent a total left nephrectomy, fistula takedown, descending colon debridement, colotomy closure, and debridement of the subcutaneous wound. The colon was left alone until the nephrectomy was completed. At this time, the colon was exteriorized through the extraction incision in the left lower abdomen. The colon around the fistula was sharply debrided with a scalpel, and the colotomy was closed in a vertical fashion with a running 2-0 Vicryl to prevent any stricturing. The primary repair was then imbricated with 3-0 silk sutures. In the left flank, a large pocket of infected necrotic tissue was debrided, removed, and sent for culture. The wound was irrigated, and a size 10 Jackson-Pratt (JP) drain was left to drain the space. The patient tolerated the procedure well and was discharged to subacute rehab on postoperative day 6 (hospital day 30). Her drains had been removed prior to discharge, and she was placed on oral antibiotics. She was doing well on follow-up and regaining her strength at the rehabilitation facility.

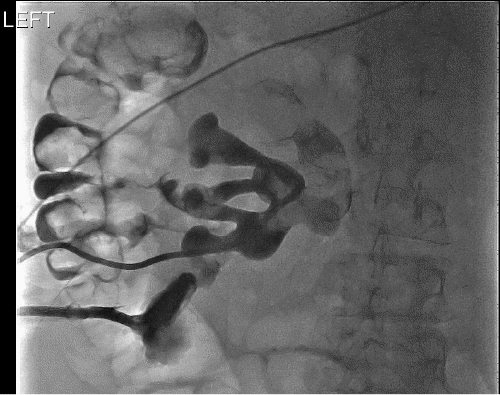
Figure 3. Left Nephrostomy Tube in Good Position and Widely Patent. Published with Permission

Poor output likely secondary to obstructive nature of staghorn calculus with isolated infundibulum
Poor output likely secondary to obstructive nature of staghorn calculus with isolated infundibulum

Discussion

Fistulas between any part of the ureter and the GI tract are uncommon.1 Our review of the literature revealed less than 20 cases overall spanning the last six decades and less than five cases of renocolonic fistulas associated with renal calculi. Past publications have described the occurrence of uretero-colonic fistulas in patients with inflammatory conditions such as diverticulitis, and neoplastic lesions originating from the colon and involving the ureters. In our case, the presence of obstructing renal calculi.1-3 Our patient presented with complicated obstructive uropathy, left emphysematous pyelonephritis resistant to antibiotic therapy, and ultimately requiring operative intervention. Figure 1B demonstrates the large left staghorn calculus that caused proximal left hydronephrosis, likely leading to subsequent calyceal rupture and erosion of the descending colon wall. From this event, a mature fistula developed. It appears as though a complex interplay of weak, infected, inflamed tissue and mechanical pressure from the calculus were implicated in the pathogenesis of the pyelocolonic fistula in our case.

Several authors have described cases of renocolic fistulas following percutaneous procedures such as radiofrequency ablations (RFA).4-6 Given all possible etiologies of renocolic fistulas, an iatrogenic cause (i.e., percutaneous retroperitoneal abscess drainage) was considered less likely in our case (given the radiographic findings), which likely developed from the large, obstructing calculus described above. Pathologically, inflamed renal and ureteral tissue, stretched by a large staghorn calculus, leads to emphysematous blebs within the collecting system proximal to the point of urinary obstruction. A spontaneous rupture into adjacent inflamed colonic tissue is possible in these situations. The examination of the surgical specimen showed that the area surrounding the calculus was necrotic. The section of the colon resected also showed hemorrhagic changes around a recognizable defect, through which stool was observed. Operative management was necessary considering the repeated failure of conservative and percutaneous management modalities. Our case is unique because it involved the proximal ureter, developed due to a complex interplay of anatomic and pathologic factors. Ultimately, this case required operative intervention and a primary repair of the colonic defect, which seemed adequate.

Conclusion

Fistulas between the GU and GI tracts involving the upper GU tract are uncommon. Even more unique are fistulas without a history of inflammatory conditions affecting the GI tract, e.g., Crohn's disease or diverticulitis. In the presence of obstructive urinary calculi and upper GU tract infections resistant to treatment and percutaneous drainage, a renocolic or pyelocolic fistula should be investigated and ruled out.

Lessons Learned

In many cases, as in ours, a safe and expeditious option for management involves debridement, with or without nephrectomy and/or fistula takedown and colonic resection.

Authors

Amodu LIa; Hakmi Ha; Hashmi Ha; Gershbaum Mb; Shin Da; Berler Da

Author Affiliations

  1. Department of Surgery, New York University Winthrop Hospital, Mineola, NY 11501
  2. Department of Urology, New York University Winthrop Hospital, Mineola, NY 11501

Corresponding Author

Leo I. Amodu, MD
Department of Surgery
New York University Winthrop Hospital
259 1st Street
Mineola, NY 11501
Email: amodleo@gmail.com

Disclosure Statement

The authors have no conflicts of interest to disclose.

Funding/Support

The authors have no relevant financial relationships or in-kind support to disclose.

Received: December 11, 2020
Revision received: January 31, 2021
Accepted: February 16, 2021

References

  1. Lang EK, Zinn H, Nguyen QD, Anne R, Dunn E. Sigmoid colon ureteral fistula presenting with urosepsis. Int Braz J Urol. 2012;38(5):701-703. doi:10.1590/s1677-55382012000500017
  2. Conde Santos G, Griñó Garreta J, Bielsa Gali O, Arango Toro O, Gelabert-Mas A. Fístula uretero-colónica en uréter desfuncionalizado [Uretero-colonic fistula in non-functioning ureter]. Arch Esp Urol. 2001;54(10):1126-1129.
  3. Cirocco WC, Priolo SR, Golub RW. Spontaneous ureterocolic fistula: a rare complication of colonic diverticular disease. Am Surg. 1994;60(11):832-835.
  4. Vanderbrink BA, Rastinehad A, Caplin D, Ost MC, Lobko I, Lee BR. Successful conservative management of colorenal fistula after percutaneous cryoablation of renal-cell carcinoma. J Endourol. 2007;21(7):726-729. doi:10.1089/end.2006.0211
  5. Uribe PS, Costabile RA, Peterson AC. Progression of renal tumors after laparoscopic radiofrequency ablation. Urology. 2006;68(5):968-971. doi:10.1016/j.urology.2006.06.022
  6. Weizer AZ, Raj GV, O'Connell M, Robertson CN, Nelson RC, Polascik TJ. Complications after percutaneous radiofrequency ablation of renal tumors. Urology. 2005;66(6):1176-1180. doi:10.1016/j.urology.2005.06.125