Unsupported Browser
The American College of Surgeons website is not compatible with Internet Explorer 11, IE 11. For the best experience please update your browser.
Menu
Become a member and receive career-enhancing benefits

Our top priority is providing value to members. Your Member Services team is here to ensure you maximize your ACS member benefits, participate in College activities, and engage with your ACS colleagues. It's all here.

Become a Member
Become a member and receive career-enhancing benefits

Our top priority is providing value to members. Your Member Services team is here to ensure you maximize your ACS member benefits, participate in College activities, and engage with your ACS colleagues. It's all here.

Become a Member
ACS
ACS Case Reviews

Bowel Perforation by Wire-Bristle Grill Brush: Is It Finally Time to Ban Them?

August 10, 2023

Abstract

Background

In the last decade, multiple injuries from ingesting the wire bristles of grill brushes have been reported in the literature. The most common locations of the injuries are the oropharynx and oral cavity. Cases of bowel perforation are rare but often require surgery.

Summary

A 47-year-old female presented to the emergency department with a three-day history of waxing and waning right lower quadrant abdominal pain after eating a hamburger cooked on a home grill. Computed tomography (CT) imaging of the abdomen and pelvis demonstrated a metallic foreign body in the terminal ileum, without abscess or free air to suggest perforation. The patient was admitted to the hospital for observation. On hospital day 2, the patient had not progressed, and colonoscopic removal was attempted. The terminal ileum was successfully intubated, but the foreign body could not be identified. Subsequently, a diagnostic laparoscopy was performed. Intraoperative findings demonstrated a wire bristle perforating the wall of the terminal ileum. The metallic bristle was removed, and primary laparoscopic repair was performed with interrupted Lembert stitches. The patient was discharged home on postoperative day 2 and made a complete recovery.

Conclusion

Injuries from ingesting grill brush wire bristles continue to be a public health problem. Patients can present with serious complications such as bowel perforation requiring emergent surgical intervention. It is important to create awareness of this issue in the surgical community to avoid delays in diagnosis and treatment. Stronger regulations are needed to ensure consumer safety.

Key Words

grill brush; bowel perforation; public safety


Case Description

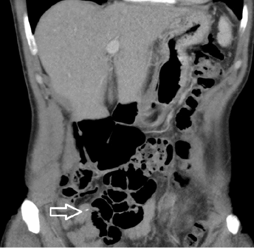
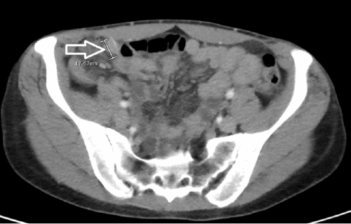
A 47-year-old female presented to the emergency department with a three-day history of waxing and waning right lower quadrant abdominal pain after eating a hamburger cooked on a home grill. She was afebrile, hemodynamically stable, with a white blood cell count of 5400 cells/ml. The patient had no evidence of peritonitis or free air, and a perforation was not suspected. CT imaging of the abdomen and pelvis demonstrated a metallic foreign body in the terminal ileum, without abscess or free air to suggest perforation (Figure 1).

Figure 1. CT Scan of Abdomen and Pelvis Depicting Metallic Foreign Body. Published with Permission

A) Terminal ileum, axial view
A) Terminal ileum, axial view
B) coronal view
B) coronal view

The patient was admitted to the hospital for observation; however, she did not improve with conservative therapy over 48 hours. Since the foreign body was located in the distal-terminal ileum, an attempt was made at endoscopic removal. At colonoscopy, the terminal ileum was successfully intubated; however, the foreign body could not be visualized. The next day, the patient continued complaining of right lower quadrant pain, and repeat CT imaging confirmed no progression of the foreign body within the gastrointestinal tract. At this point, the decision was made to proceed with diagnostic laparoscopy. The peritoneal cavity was entered using a 5 mm optical trocar in the left upper quadrant. The ligament of Treitz was identified, and the small bowel was run distally. At the terminal ileum, a filamentous metallic foreign body was identified protruding from the bowel wall approximately 20 cm from the ileocecal valve. The object was removed laparoscopically, and the site of perforation was repaired with imbricating sutures of 3-0 Vicryl in a Lembert fashion.

Figure 2. Two Views of Filamentous Metallic Foreign Body Perforating Terminal Ileal Bowel Wall (arrow). Published with Permission

Figure 3. Successful Removal of Metallic Foreign Body Using Laparoscopic Maryland Dissector. Published with Permission

Postoperatively the patient recovered without complications. Her right lower quadrant pain subsided, and she was able to tolerate a normal diet once bowel function returned. The patient was discharged home on postoperative day 2.

Discussion

Injuries from foreign body ingestion are rare in adults, with over 95% of cases resulting from accidental ingestion of fish bones, chicken bones, or toothpicks.3 Ingestion of grill brush wire bristles causes over 130 emergency room visits per year1 and is most commonly associated with injuries to the oral cavity and oropharynx. However, more severe injuries, including gastrointestinal perforations, have been reported.2,6 The first small bowel perforation was documented in a cross-sectional analysis from 2002 to 2014 by Tiffany et al. using the National Electronic Injury Surveillance System (NEISS).1 The reported cases of small bowel perforations secondary to wire bristles demonstrated an increase from 2009 to 2016, coinciding with the sales of grill and barbecue products.5,8 Interestingly, Providence, RI, has had multiple case reports of dislodged wire bristles, resulting in mostly oropharyngeal complications, with some cases of gastrointestinal perforations requiring operative intervention.7,8

Reports of injuries from ingesting wire bristles have been presented with varying frequency, with more than 100 articles published in the MEDLINE database over the last decade. Most involved injuries to the oral cavity and oropharynx; however, approximately half of them presented with gastrointestinal perforations. Small bowel perforations represented one-third of all gastrointestinal perforations (Table 1). All cases required surgical intervention, utilizing a mix of laparoscopic and open approaches.

Accidental ingestion of grill brush wire bristles is likely more common than previously thought since not all cases are chronicled, and some may pass without injury. Despite a CDC warning in 2012, our case demonstrates that accidental ingestion of grill brush wire bristles continues to cause severe gastrointestinal injuries requiring emergent surgical intervention (Table 1).

It is time for the surgical community to push for regulatory action in the interest of consumer safety. Currently, these products have no warning labels regarding their potential hazards. Anyone who cleans their grill with a wire bristle brush should know the potential for serious harm, even if the absolute risk is negligible. Surgeons must continue reporting these cases to create awareness in the medical field, especially within the surgical community, as they will be the providers evaluating and treating these injuries. Furthermore, all cases should be reported to the United States Consumer Product Safety Commission (CPSC) to monitor the number of cases nationally. Of note, following the August 2008 Consumer Product Safety Improvement Act, the CPSC is required to maintain a searchable database of harm complaints associated with the use of consumer products. Initial steps to ensure consumer awareness and safety when using wire-bristle brushes are the use of warning labels on the products, a manufacturer-recommended lifetime warranty for the product, and alternate grill-cleaning tools.

Authors No. of Patients Year Site of Involvement Management
Baugh TP et al. 43 2016 oropharynx endoscopic
Di Guglielmo M et al. 1 2017 colon operative
Appelbaum R et al. 3 2019 small bowel (2); stomach (1) operative
Grand DJ et al. 3 2012 esophagus; stomach; jejunum endoscopic and operative
Wong S et al. 6 2016 oropharynx endoscopic
Harlor EJ et al. 6 2012 esophagus endoscopic
Grand DJ et al. 6 2012 esophagus (5); small intestine (1) endoscopic and operative
Grand DJ et al. 6 2016 esophagus (4); stomach (1); small intestine (1) endoscopic; operative (5); nonoperative (1)
Table 1. Reports of Injuries from Wire Bristles Ingestions in the Literature
Authors No. of Patients Year Site of Involvement Management
Baugh TP et al. 43 2016 oropharynx endoscopic
Di Guglielmo M et al. 1 2017 colon operative
Appelbaum R et al. 3 2019 small bowel (2); stomach (1) operative
Grand DJ et al. 3 2012 esophagus; stomach; jejunum endoscopic and operative
Wong S et al. 6 2016 oropharynx endoscopic
Harlor EJ et al. 6 2012 esophagus endoscopic
Grand DJ et al. 6 2012 esophagus (5); small intestine (1) endoscopic and operative
Grand DJ et al. 6 2016 esophagus (4); stomach (1); small intestine (1) endoscopic; operative (5); nonoperative (1)

Conclusion

Severe injuries from wire-bristle brushes remain a significant public health problem. Awareness of potential injuries among health care professionals is critical for timely diagnosis and treatment. It is also important to create awareness among consumers, retailers, and policymakers to enact corrective measures and ensure consumer safety.

Lessons Learned

Metal filaments can break off from grill cleaning brushes and become lodged in food, resulting in unintentional ingestion and potentially bowel perforation. Early diagnosis is critical to timely treatment, and surgical intervention is usually required. A laparoscopic approach is feasible, but an open approach may sometimes be necessary. Measures to ensure product safety should be undertaken to prevent future cases.

Authors

Ali MSa; Winkler Cb; Saied Calvino Ab,c

Author Affiliations

  1. Department of General Surgery, Waterbury Hospital, Waterbury, CT 06708
  2. Department of Surgery, Roger Williams Medical Center, Providence, RI 02908
  3. Boston University School of Medicine, Boston, MA 02118

Corresponding Author

Mohammad S. Ali, MD
255 Promenade Street
Unit 305
Providence, RI 02908
Email: mohammadsulmanali02@gmail.com

Disclosure Statement

The authors have no conflicts of interest to disclose.

Funding/Support

The authors have no relevant financial relationships or in-kind support to disclose.

Received: December 21, 2020
Revision received: February 3, 2021
Accepted: February 12, 2021

References

  1. Baugh TP, Hadley JB, Chang CW. Epidemiology of Wire-Bristle Grill Brush Injury in the United States, 2002-2014. Otolaryngol Head Neck Surg. 2016;154(4):645-649. doi:10.1177/0194599815627794
  2. Di Guglielmo M, Savage J, Gould S, Murphy S. Female Adolescent Presenting With Abdominal Pain: Accidental Wire Bristle Ingestion Leading to Colonic Perforation. Pediatr Emerg Care. 2017;33(5):356-358. doi:10.1097/PEC.0000000000000531
  3. Appelbaum R, Nowakowski T, Zhang A, Cesanek PB, Beman S, Harrison TD. Grill Brush Bristle Case Series: Three Unique Presentations of Ingested Foreign Bodies. Am J Case Rep. 2019;20:1189-1194. Published 2019 Aug 12. doi:10.12659/AJCR.916268
  4. Grand DJ, Cloutier DR, Beland MD, Mayo-Smith WW. Inadvertent ingestion of wire bristles from a grill cleaning brush: radiologic detection of unsuspected foreign bodies. AJR Am J Roentgenol. 2012;198(4):836-839. doi:10.2214/AJR.11.6991
  5. Wong S, Brook C, Grillone G. Management of Wire Brush Bristle Ingestion: Review of Literature and Presentation of an Algorithm. Ann Otol Rhinol Laryngol. 2016;125(2):160-164. doi:10.1177/0003489415599992
  6. Harlor EJ, Lindemann TL, Kennedy TL. Outdoor grilling hazard: wire bristle esophageal foreign body--a report of six cases. Laryngoscope. 2012;122(10):2216-2218. doi:10.1002/lary.23407
  7. Centers for Disease Control and Prevention (CDC). Injuries from ingestion of wire bristles from grill-cleaning brushes - Providence, Rhode Island, March 2011-June 2012. MMWR Morb Mortal Wkly Rep. 2012;61(26):490-492.
  8. Grand DJ, Egglin TK, Mayo-Smith WW, Cronan JJ, Gilchrist J. Injuries from ingesting wire bristles dislodged from grill-cleaning brushes--Providence, Rhode Island, 2009-2012. J Safety Res. 2012;43(5-6):413-415. doi:10.1016/j.jsr.2012.10.008
  9. Sordo S, Holloway TL, Woodard RL, et al. Small Bowel Perforations by Metallic Grill Brush Bristles: Clinical Presentations and Opportunity for Prevention. Am Surg. 2016;82(5):412-415. doi:10.1177/000313481608200515
  10. Van Ness-Otunnu R, Foster JT, Hack JB. Male with left lower quadrant abdominal pain. Swallowed wire brush bristle foreign body resulting in small bowel perforation. Ann Emerg Med. 2012;59(6):e11-e12. doi:10.1016/j.annemergmed.2012.01.001