Unsupported Browser
The American College of Surgeons website is not compatible with Internet Explorer 11, IE 11. For the best experience please update your browser.
Menu
Become a member and receive career-enhancing benefits

Our top priority is providing value to members. Your Member Services team is here to ensure you maximize your ACS member benefits, participate in College activities, and engage with your ACS colleagues. It's all here.

Become a Member
Become a member and receive career-enhancing benefits

Our top priority is providing value to members. Your Member Services team is here to ensure you maximize your ACS member benefits, participate in College activities, and engage with your ACS colleagues. It's all here.

Become a Member
ACS
ACS Case Reviews

Chronic Invasive Rhino-Orbital Sinusitis with Mucormycosis

May 8, 2023

Abstract

Background

An 83-year-old female presented with complaints of right-sided nasal drainage, facial pressure, a change in vision, and right eye drooping for several months.

Summary

Many studies and case reports of the acute presentation of mucormycosis have been published, but the distinct chronic presentation has been underreported. Here, we present a case of chronic invasive rhino-orbital sinusitis with mucormycosis in an immunocompetent patient who presented with non-specific symptoms and extensive bony destruction.

Conclusion

Chronic sinusitis with mucormycosis is a rare condition that presents with non-specific symptoms and currently has no supported standardized treatment. The clinical presentation of chronic invasive mucormycosis is non-specific, and there is currently no standardized treatment. The prevalence of chronic invasive mucormycosis cases is increasing, making it an important condition for clinicians to consider as differential in chronic sinus conditions.

Key Words

chronic invasive sinusitis; chronic invasive mucormycosis; mucormycosis


Case Description

An 83-year-old female with a past medical history significant for osteoarthritis, COPD, asthma, chronic anemia, GERD, and dementia presented to the ENT clinic to evaluate her sinuses. Past surgical history was significant for a left tympanoplasty. She denied any history of sinus surgery or other facial surgery.

She presented with complaints of drainage from the right side of her nose as well as facial pressure over the past four months. She also admitted to changes in vision, drainage from her right eye, and right eye droop starting over the past month. She had taken multiple courses of antibiotics, antifungals, and steroids without improvement. On physical evaluation, she had drooping of her right eye with vertical dystopia, abnormal periorbital skin findings on the medial aspect of the right eye, conjunctivae with erythema, and difficulty with lateral gaze on the right.

Flexible nasal endoscopy was performed in-office and revealed an absent inferior turbinate and part of the middle turbinate on the right, missing the entire lateral nasal sidewall allowing visibility into the maxillary sinus. No evidence of nonviable mucosa was noted at this time. The right nasopharynx and left side were normal.

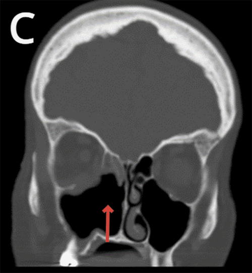
Non-contrast head CT reported the absence of the medial wall of the right maxillary sinus as well as the right inferior nasal turbinate with moderate mucosal thickening within the right frontal, bilateral ethmoid, right sphenoid, and maxillary sinuses indicating chronic sinusitis (Figure 1).

Intraoperative findings revealed destruction of the medial wall of the maxilla, the floor of the orbit, lamina papracea, and exposure of the entirety of the periorbita. Necrotic-appearing tissue in the nasopharynx was debrided and sent to pathology and returned with invasive fungal infection with GMS stain positive for mucormycosis of the right nasopharynx. Acute and chronic sinusitis and osteomyelitis were also noted in the right ethmoid and periorbital biopsies. She had an area of necrosis along her lacrimal area.

She was started on a course of IV amphotericin for chronic invasive sinusitis with mucormycosis. Upon discharge, the patient was switched to an oral course of posaconazole to be continued for four to six months. One week postop, she was taken back to the operating room for further evaluation to rule out acute mucormycosis. Substantial crusting in the nose, maxillary sinus, periorbita, and nasopharynx were noted. One area of periorbita was dusky and nonviable. Multiple biopsies, tissue cultures, and skin biopsies were retaken. The patient was also worked up during her visit for a possible underlying immunocompromised state, but no conditions were revealed.

Treatment options for her chronic invasive sinusitis with mucormycosis were discussed, and the patient opted for conservative management. The patient was discharged on posaconazole and will continue following up in the ENT outpatient clinic weekly to monitor disease progression.

Figure 1. CT Imaging Demonstrating Patient's Extensive Bony Destruction. Published with Permission

A) Arrow pointing at loss of medial wall of right maxillary sinus
A) Arrow pointing at loss of medial wall of right maxillary sinus
B) Arrow pointing at loss of right lamina papracea
B) Arrow pointing at loss of right lamina papracea
C) Arrow pointing at ill-defined inferior rectus muscle
C) Arrow pointing at ill-defined inferior rectus muscle

Discussion

Chronic invasive sinusitis with mucormycosis is a rare condition, with the first documented case in 1964 and only over 30 cases documented since.1 Chronic invasive sinusitis is generally associated with Aspergillus species as mucormycosis classically develops into an acute, fulminant course. Mucormycosis, previously called zygomycosis, is a serious infection caused by a fungal species from the Zygomycota order, the most common species being Rhizopus and Mucor.6 Rhizopus is the most commonly identified cause of mucormycosis and can be confirmed by identifying its broad-based, non-septated hyphae with right angles seen on histology.4

Zygomycota species are commonly found in soil and decaying vegetation yet rarely infect humans with intact immune systems capable of phagocytizing spores. In immunocompromised patients that lack this ability, spores can germinate, develop hyphae, and ultimately manifest as infections in various locations, including pulmonary, gastrointestinal, cutaneous, renal, central nervous system, orbit, and facial sinuses.2 It is known that an immunocompromised state is associated with an increased risk of developing acute mucormycosis as it is characterized as an opportunistic infection, but more cases of chronic sinusitis with mucormycosis have been reported in immunocompetent individuals.3

Patients with chronic invasive sinusitis with mucormycosis present with non-specific symptoms, including facial pain, facial pressure, headache, mucoid nasal discharge, fevers, nasal congestion, periorbital edema, proptosis, blindness, and cacosmia with the most frequently reported of these being unilateral facial pain.1 Of note, our patient reported several symptoms, including nasal congestion, facial pressure, visual changes, eye drooping, and sinus drainage, for months before presenting to our office. Diagnostic workup includes head CT, MRI, nasal endoscopy, and surgical intervention to retrieve cultures and tissue biopsies for pathologic confirmation. Imaging modalities can reveal the destruction of nasal turbinates, bony erosions, and hyperattenuating allergic mucin. Our patient's diagnostic imaging revealed extensive underlying bony destruction despite having minimal dysmorphic facial features before surgical intervention.

Early diagnosis and treatment of the condition are imperative. Still, due to the rarity of the condition and non-specific symptoms, chronic invasive mucormycosis may not be considered a differential. The chronic nature and non-specific presentation of this condition can lead to patients receiving months or years of treatment for misdiagnoses, such as viral or bacterial sinusitis or malignancy.5 Besides the morbidity and mortality risk of not addressing the underlying fungal infection in these patients, these misdiagnoses can lead to unnecessary financial burden and antibiotic resistance. In addition, the definition of chronic versus indolent versus acute mucormycosis remains controversial based on the severity of symptoms and disease progression.8

No standardized management or treatment has been supported for chronic sinusitis with mucormycosis. In acute cases of mucormycosis, radical surgical treatment to debride all affected or necrotic tissue has been supported to control disease progression and improve survival.6 Management for chronic presentations is broadly the same as acute. It consists of regimens of antifungals, such as amphotericin B and posaconazole, and surgical debridement has been utilized depending on the patient's underlying comorbidities.5 In our case, debridement of all necrotic tissue would likely require the loss of her right eye due to the lack of periorbital structures surrounding her orbit. This was discussed with the patient, who decided against losing her right eye and instead elected to be monitored regularly for disease progression along with the systemic antifungals on board.

Documented disease course complications include cavernous sinus thrombosis, brain abscesses, orbital apex syndrome, osteomyelitis, meningitis, parenchymal cerebritis, mycotic aneurysm, strokes, and hematogenous dissemination.7 The prognosis of patients with acute mucormycosis has been reported to be about 50% survival, whereas, from the literature review, patients with a chronic presentation is around 83%.7 Due to a 1% risk of reoccurrence, it is recommended to follow up within at least 36 months of diagnosis.1

More studies and case reports are needed to develop supported standardized treatment and management for patients with chronic invasive sinusitis with mucormycosis.

Conclusion

Chronic invasive sinusitis with mucormycosis is a rare condition that presents with non-specific symptoms but should be considered as a differential in patients reporting chronic naso-sinusidal symptoms in both immunocompromised and immunocompetent patients. Due to the rarity of the condition, the possibility of completing randomized controlled trials in order to discover more information about patient presentation, disease course, and treatment modalities. More studies and case reports are necessary to increase awareness of chronic sinusitis with mucormycosis and develop supported diagnostic and disease management modalities.

Lessons Learned

Chronic invasive sinusitis with mucormycosis is a rare condition that presents with non-specific symptoms but should be considered as a differential in patients reporting with chronic naso-sinusidal symptoms. There is no standardized treatment for chronic invasive sinusitis with mucormycosis. Still, it is currently treated broadly the same as acute mucormycosis, consisting of regimens of systemic antifungals and surgical debridement depending on the patient's underlying comorbidities.

Authors

Do Ha; Sturz Jb; Crosser Ba; Ebelhar Aa; Brown Da

Author Affiliations

  1. The Medical Center at Bowling Green, Bowling Green, KY 42101
  2. University of Pikeville-Kentucky College of Osteopathic Medicine, Pikeville, KY 41501

Corresponding Author

Jenna Sturz, DO
4488 Sportsman Drive
Eau Claire, WI 54703
Email: jennasturz2@gmail.com

Disclosure Statement

The authors have no conflicts of interest to disclose.

Funding/Support

The authors have no relevant financial relationships or in-kind support to disclose.

Received: October 4, 2020
Revision received: December 9, 2020
Accepted: February 1, 2021

References

  1. Gutiérrez-Delgado EM, Treviño-González JL, Montemayor-Alatorre A, et al. Chronic rhino-orbito-cerebral mucormycosis: A case report and review of the literature. Ann Med Surg (Lond). 2016;6:87-91. Published 2016 Feb 6. doi:10.1016/j.amsu.2016.02.003
  2. Sahoo NK, Kulkarni V, Bhandari AK, Kumar A. Mucormycosis of the Frontal Sinus: A Rare Case Report and Review. Ann Maxillofac Surg. 2017;7(1):120-123. doi:10.4103/ams.ams_23_16
  3. Deutsch PG, Whittaker J, Prasad S. Invasive and Non-Invasive Fungal Rhinosinusitis-A Review and Update of the Evidence. Medicina (Kaunas). 2019;55(7):319. Published 2019 Jun 28. doi:10.3390/medicina55070319
  4. Mucormycosis pathology. DermNet. https://dermnetnz.org/topics/mucormycosis-pathology. Accessed August 21, 2020.
  5. Onyango JF, Kayima JK, Owen WO. Rhinocerebral mucormycosis: case report. East Afr Med J. 2002;79(7):390-393. doi:10.4314/eamj.v79i7.8845
  6. Vironneau P, Verillaud B, Tran H, et al. Mucormycoses rhino-orbito-cérébrales - Traitement chirurgical, état de l'art [Rhino-orbito-cerebral mucormycosis, surgical treatment, state of the art]. Med Sci (Paris). 2013;29 Spec No 1:31-35. doi:10.1051/medsci/201329s107
  7. Aribandi M, McCoy VA, Bazan C 3rd. Imaging features of invasive and noninvasive fungal sinusitis: a review. Radiographics. 2007;27(5):1283-1296. doi:10.1148/rg.275065189
  8. Celis-Aguilar E, Burgos-Páez A, Villanueva-Ramos N, et al. An Emergent Entity: Indolent Mucormycosis of the Paranasal Sinuses. A Multicenter Study. Int Arch Otorhinolaryngol. 2019;23(1):92-100. doi:10.1055/s-0038-1667005