Unsupported Browser
The American College of Surgeons website is not compatible with Internet Explorer 11, IE 11. For the best experience please update your browser.
Menu
Become a member and receive career-enhancing benefits

Our top priority is providing value to members. Your Member Services team is here to ensure you maximize your ACS member benefits, participate in College activities, and engage with your ACS colleagues. It's all here.

Become a Member
Become a member and receive career-enhancing benefits

Our top priority is providing value to members. Your Member Services team is here to ensure you maximize your ACS member benefits, participate in College activities, and engage with your ACS colleagues. It's all here.

Become a Member
ACS
ACS Case Reviews

Subacute Sigmoid Diverticulitis Leading to Septic Thrombophlebitis of the Inferior Mesenteric Vein

May 8, 2023

Abstract

Background

A male patient who presented with six days of abdominal pain was diagnosed with inferior mesenteric vein (IMV) thrombophlebitis and Escherichia coli (E. coli) bacteremia, secondary to sigmoid diverticulitis, which was seen on imaging.

Summary

The patient, a 48-year-old male, presented with severe lower abdominal pain of six-day duration in addition to fevers, chills, and anorexia. He was found to have thrombophlebitis of multiple branches of the IMV on computed tomography (CT) and subacute sigmoid diverticulitis on magnetic resonance imaging (MRI). Blood cultures were positive for pan-sensitive E. coli. Initial management included fluid resuscitation, antibiotics (ceftriaxone, metronidazole), continuous heparin drip, and bowel rest. Colonoscopy and thrombophilia workups were unremarkable. After several days with no symptomatic improvement, the patient underwent a Hartmann's procedure, during which extensive thrombophlebitis and retroperitoneal inflammation were observed. He was discharged on postoperative day 5 on a two-week course of antibiotics and a three-month course of apixaban. The need for explicit management guidelines for this complication of diverticulitis, including duration of anticoagulation and timing of colostomy reversal, is underscored by this case report.

Conclusion

Mesenteric vein thrombophlebitis is a rare complication of diverticulitis with a significant mortality rate. We present a case of septic thrombophlebitis of the IMV, which was unresponsive to antibiotics and anticoagulation. We highlight the need for medical, surgical, and postoperative treatment guidelines for this condition.

Key Words

inferior mesenteric vein; thrombophlebitis; diverticulitis; Hartmann's procedure; end colostomy; anticoagulation

Abbreviations

IMV: inferior mesenteric vein
E. coli: Escherichia coli
DVT: deep vein thrombosis


Case Description

Pylephlebitis, or septic thrombophlebitis of the portal-mesenteric venous system, is a very uncommon complication of intra-abdominal infections, with an estimated incidence of 2.7 per 100,000 person-years.1 Literature on this condition is currently limited to small retrospective studies involving chart reviews of less than 100 patients over a period of 10-20 years.1,2 Studies generally agree that diverticulitis, occurring in an estimated 30% of cases, is the most common cause of pylephlebitis. Involvement of the inferior mesenteric vein (IMV) occurs in a small subset of these cases; one review of 95 pylephlebitis cases found that less than 10% involved the IMV.1 Literature on IMV thrombophlebitis nearly always describes an association with diverticulitis and consists of case reports with patients ages ranging from 37 to 61 years.3-7

The literature generally describes treatment of pylephlebitis with two to four weeks of antibiotics and three to six months of anticoagulation.1,4,6,8 Retrospective studies contain evidence to support the early administration of anticoagulation in the absence of significant comorbidities to enhance the rate of thrombosis resolution and decrease morbidity. Although the current consensus is that anticoagulation is beneficial, it remains to be determined whether anticoagulation significantly reduces mortality.1,2,7 Among individual reports, some cases of IMV thrombophlebitis were successfully managed medically, while others required surgery. The optimal timing of surgery is unknown. One report even described sigmoid colectomy three months after onset of IMV thrombophlebitis.6

Our patient is a 48-year-old male with a history of hypertension and diabetes mellitus who presented with severe, sharp, lower abdominal pain of a six-day duration associated with fevers, chills, and anorexia. The pain was worse with eating. The patient denied hematochezia and personal or family history of cancer. The patient was mildly tachycardic at 110 beats per minute on admission but otherwise hemodynamically stable and afebrile. On exam, there was moderate tenderness in the left lower quadrant without peritonitis. Labs were significant for hyperglycemia (220 mg/dL). Complete blood count and lactic acid were within normal limits. Blood cultures grew pan-sensitive Escherichia coli (E. coli).

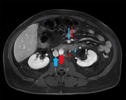
Computed tomography (CT) abdomen/pelvis with contrast demonstrated thrombophlebitis involving at least two branches of the IMV, one of which led to the sigmoid colon (Figure 1A). There was no extension into the portal vein. Mild sigmoid diverticulitis without paracolic abscess or free air was noted. Magnetic resonance imaging (MRI) abdomen/pelvis with contrast demonstrated filling defect of the IMV nearly to its confluence with the splenic vein; rectal wall and perirectal fat inflammation; and subacute sigmoid diverticulitis with lateral tethering to the abdominal wall (Figure 1B). Reactive inflammation of the left ureter and the perinephric region was also visualized.

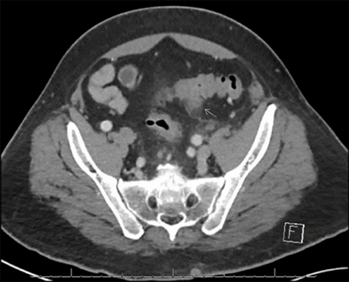
Figure 1. CT and MRI Scans. Published with Permission

A) CT of resected sigmoid colon segment with diverticulitis (white arrow) and scattered diverticulum
A) CT of resected sigmoid colon segment with diverticulitis (white arrow) and scattered diverticulum
. B) Magnetic resonance imaging venous phase depicting inferior mesenteric vein with filling defect (blue arrowhead) and surrounding inflammation (white asterisk). Inferior mesenteric artery (red arrowhead), superior mesenteric artery (thin red arrow), superior mesenteric vein (thin blue arrow), aorta (thick red arrow), and inferior vena cava (thick blue arrow) labeled for reference.
. B) Magnetic resonance imaging venous phase depicting inferior mesenteric vein with filling defect (blue arrowhead) and surrounding inflammation (white asterisk). Inferior mesenteric artery (red arrowhead), superior mesenteric artery (thin red arrow), superior mesenteric vein (thin blue arrow), aorta (thick red arrow), and inferior vena cava (thick blue arrow) labeled for reference.

Thrombophilia workup (including protein C/S activity, antithrombin III activity, heparin anti-Xa, lupus anticoagulant, anti-cardiolipin antibodies, and homocysteine) was negative. Prothrombin time, international normalized ratio, and activated partial thromboplastin time were within normal limits.

The patient was initially managed medically with complete bowel rest, IV antibiotics (metronidazole, ceftriaxone), and unfractionated heparin 80 units/kg initial bolus followed by 18 units/kg/hour in accordance with guidelines for the treatment of acute deep venous thrombosis (DVT).9 Despite bowel rest, antibiotics, and anticoagulation, the patient's abdominal pain remained unchanged from admission. A colonoscopy was pursued on hospital day 4 to rule out an occult colonic malignancy, which was negative for mass, stricture, inflammation, or ischemia.

The patient underwent exploratory laparotomy, sigmoidectomy, creation of a Hartmann pouch, and end sigmoid colostomy on hospital day 6. Intraoperative findings included phlebitis of the entire length of the IMV extending from near the ligament of Treitz to the superior hemorrhoidal veins. There was retroperitoneal inflammation extending down to the true pelvis. The surgical pathology report showed a benign sigmoid colon with diverticula, subserosal acute and chronic inflammation, abscess formation, fat necrosis, and endovascular thrombi (Figure 2).

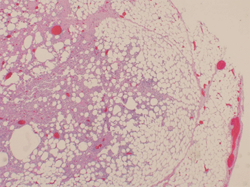
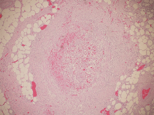
Figure 2. Hematoxylin- and Eosin-Stained Pathology Slides, A) Inferior Mesenteric Vein Thrombus and B) Subserositis. Published with Permission

A) Inferior Mesenteric Vein Thrombus
A) Inferior Mesenteric Vein Thrombus
B) Subserositis
B) Subserositis

By postoperative day 4, the patient's abdominal pain from admission had completely resolved, and he was tolerating a regular diet with the return of bowel function. He was discharged with instructions to continue antibiotics for two weeks in addition to apixaban 10mg twice daily for seven days followed by 5mg twice daily for three months, in accordance with established recommendations for treatment and secondary prevention of DVT.10,11 Repeat imaging will be done at six weeks to assess venous patency, and colostomy reversal will be cautiously considered.

Discussion

How rare is mesenteric vein thrombophlebitis in the setting of diverticulitis? One retrospective study found that pylephlebitis (an umbrella term that includes IMV thrombophlebitis) occurred in approximately 3% of diverticulitis patients.12 Despite its rarity, pylephlebitis is associated with a mortality rate of at least 11-25%. It is believed that untreated intraabdominal infection leads to inflammation and venous thrombosis with the risk of subsequent thrombus extension, sepsis, bowel ischemia and necrosis, hepatic involvement, and/or vein rupture and exsanguination.1,3 Due to the dangers associated with a delayed or missed diagnosis, physicians should maintain a low threshold of suspicion for thrombophlebitis if a patient presents with unrelenting abdominal pain without another explanation in the context of diverticulitis.

In addition to highlighting an unusual condition that is not frequently seen, this case demonstrates the scarcity of treatment guidelines for a rare complication of diverticulitis, which creates a level of uncertainty in patient care decisions. Management guidelines for common complications of diverticulitis (including an associated abscess, stricture, obstruction, fistula, or uncontained free perforation with systemic inflammatory response syndrome) are relatively well-developed. For example, abscesses greater than three centimeters should undergo percutaneous drainage. Elective sigmoid colectomy with healthy margins is recommended for diverticulitis complicated by stricture, obstruction, or fistula. Urgent colectomy is recommended for complicated diverticulitis with peritonitis. Finally, a colonoscopy is typically done six weeks after the resolution of acute complicated diverticulitis due to concern for possible underlying malignancy.13

Existing literature provides insight into how mesenteric vein thrombophlebitis tends to be managed when it occurs. The consensus is that all patients with pylephlebitis require broad-spectrum antibiotics which cover gram-negative enteric and anaerobic bacteria.7,8 Anticoagulation is generally prescribed for three to six months, although there are no guidelines for the length of anticoagulation in the setting of IMV thrombophlebitis. In this case, the heparin drip prior to surgery and the subsequent outpatient apixaban were prescribed according to guidelines for the management of DVT. Surgical intervention is indicated if medical management fails or signs of ischemia occur.3 However, to the best of our knowledge, no studies have compared outcomes for watchful waiting versus early surgical intervention for IMV thrombophlebitis. The percentage of patients that will improve with medical therapy alone is also unknown. Because the American Society of Colon and Rectal Surgeons generally recommends urgent colectomy for patients who fail medical management of acute complicated diverticulitis, and because the mortality rate of pylephlebitis is so high, we believe it is reasonable to maintain a low threshold for proceeding with early colectomy for diverticulitis complicated by IMV thrombophlebitis. Finally, the ideal wait time before attempting colostomy reversal in these patients is unknown, complicating medical decision-making for surgeons and patients. More information is needed to optimize the care of patients with this condition.

Conclusion

IMV thrombosis/thrombophlebitis is an uncommon but serious disease process that usually occurs in the setting of diverticulitis. There is a current scarcity of specific guidelines for the medical and surgical management of this condition. In this case, we describe successful management using the application of related guidelines for complicated diverticulitis and deep venous thrombosis in the perioperative period of a Hartmann's procedure.

Lessons Learned

Albeit rare, mesenteric venous thrombosis should be considered in patients presenting with abdominal pain, especially in the setting of diverticulitis, to begin timely anticoagulation. More information is needed to optimize the choice of anticoagulation agent and duration as well as the timing and technique of surgical intervention when needed.

Authors

Sams ALa; Maltagliati AJa; Chang MEb; Nejad AAb; Conrad HLb; McClenathan JHb

Author Affiliations

  1. University of Arizona College of Medicine, Tucson, AZ 85724
  2. Department of Surgery, University of Arizona, Tucson, AZ 85724

Corresponding Author

Amanda L. Sams, MD
University of Arizona College of Medicine-Tucson
1501 N Campbell Avenue
Tucson, AZ 85724
Phone: (206) 251-6896
Email: amandalynnsams@gmail.com

Disclosure Statement

The authors have no conflicts of interest to disclose.

Funding/Support

The authors have no relevant financial relationships or in-kind support to disclose.

Received: October 2, 2020
Revision received: November 29, 2020
Accepted: December 7, 2020

References

  1. Choudhry AJ, Baghdadi YM, Amr MA, Alzghari MJ, Jenkins DH, Zielinski MD. Pylephlebitis: a Review of 95 Cases. J Gastrointest Surg. 2016;20(3):656-661. doi:10.1007/s11605-015-2875-3
  2. Naymagon L, Tremblay D, Schiano T, Mascarenhas J. The role of anticoagulation in pylephlebitis: a retrospective examination of characteristics and outcomes. J Thromb Thrombolysis. 2020;49(2):325-331. doi:10.1007/s11239-019-01949-z
  3. Falkowski AL, Cathomas G, Zerz A, Rasch H, Tarr PE. Pylephlebitis of a variant mesenteric vein complicating sigmoid diverticulitis. J Radiol Case Rep. 2014;8(2):37-45. Published 2014 Feb 1. doi:10.3941/jrcr.v8i2.1698
  4. Sywak M, Romano C, Raber E, Pasieka JL. Septic thrombophlebitis of the inferior mesenteric vein from sigmoid diverticulitis. J Am Coll Surg. 2003;196(2):326-327. doi:10.1016/S1072-7515(02)01767-2
  5. Yazgan C, Akkas M, Ozmen MM. Inferior mesenteric vein pylephlebitis due to sigmoid diverticulitis. BMJ Case Rep. 2015;2015:bcr2015212599. Published 2015 Nov 24. doi:10.1136/bcr-2015-212599
  6. Zia A, Sohal S, Costas C. Pylephlebitis: A Case of Inferior Mesenteric Vein Thrombophlebitis in a Patient with Acute Sigmoid Diverticulitis-A Case Report and Clinical Management Review. Case Rep Infect Dis. 2019;2019:5341281. Published 2019 Jan 21. doi:10.1155/2019/5341281
  7. Abdallah M, Gohar A, Naryana Gowda S, Abdullah HM, Al-Hajjaj A. Pylephlebitis Associated with Inferior Mesenteric Vein Thrombosis Treated Successfully with Anticoagulation and Antibiotics in a 37-Year-Old Male. Case Rep Gastrointest Med. 2020;2020:3918080. Published 2020 Feb 13. doi:10.1155/2020/3918080
  8. Rea JD, Jundt JP, Jamison RL. Pylephlebitis: keep it in your differential diagnosis. Am J Surg. 2010;200(6):e69-e71. doi:10.1016/j.amjsurg.2010.02.021
  9. Ramzi DW, Leeper KV. DVT and pulmonary embolism: Part II. Treatment and prevention. Am Fam Physician. 2004;69(12):2841-2848.
  10. Kearon C, Akl EA, Ornelas J, et al. Antithrombotic Therapy for VTE Disease: CHEST Guideline and Expert Panel Report [published correction appears in Chest. 2016 Oct;150(4):988]. Chest. 2016;149(2):315-352. doi:10.1016/j.chest.2015.11.026
  11. Mandernach MW, Beyth RJ, Rajasekhar A. Apixaban for the prophylaxis and treatment of deep vein thrombosis and pulmonary embolism: an evidence-based review. Ther Clin Risk Manag. 2015;11:1273-1282. Published 2015 Aug 26. doi:10.2147/TCRM.S68010
  12. Kaewlai R, Nazinitsky KJ. Acute colonic diverticulitis in a community-based hospital: CT evaluation in 138 patients. Emerg Radiol. 2007;13(4):171-179. doi:10.1007/s10140-006-0552-2
  13. Hall J, Hardiman K, Lee S, et al. The American Society of Colon and Rectal Surgeons Clinical Practice Guidelines for the Treatment of Left-Sided Colonic Diverticulitis. Dis Colon Rectum. 2020;63(6):728-747. doi:10.1097/DCR.0000000000001679