Unsupported Browser
The American College of Surgeons website is not compatible with Internet Explorer 11, IE 11. For the best experience please update your browser.
Menu
Become a member and receive career-enhancing benefits

Our top priority is providing value to members. Your Member Services team is here to ensure you maximize your ACS member benefits, participate in College activities, and engage with your ACS colleagues. It's all here.

Become a Member
Become a member and receive career-enhancing benefits

Our top priority is providing value to members. Your Member Services team is here to ensure you maximize your ACS member benefits, participate in College activities, and engage with your ACS colleagues. It's all here.

Become a Member
ACS
ACS Case Reviews

Intercostal Hernia and Costochondral Disruption Repair

May 8, 2023

Abstract

Background

The patient was a 70-year-old male presenting with debilitating left-sided chest wall pain, which began a year prior when bearing down for a bowel movement. Since that event, he had experienced constant tearing pain at rest and during movement with progressive dyspnea, requiring a walker. He had seen numerous providers and been unsuccessfully diagnosed and treated. Prior attempts to address this pain included narcotic and non-narcotic pain medication, locoregional anesthesia, and psychiatry referral, and were unsuccessful in providing sustainable, long-term relief. After a clinical exam and imaging, the patient's diagnosis was confirmed as having disruption of his left costal margin with an intercostal hernia between ribs 7 and 8.

Summary

At intake, the patient underwent a clinical exam and CT scan that identified a costal margin rupture and intercostal hernia at the left 7th and 8th ribs. He also had significant comorbidities, including atrial fibrillation, type 2 diabetes, hypertension, hypothyroidism, gout, obesity (body mass index [BMI) 31), asthma, 25 pack-year smoking history, and chronic obstructive pulmonary disease (COPD), history of remote polysubstance abuse, and chronic pain. Intraoperatively, the patient was diagnosed with a costal margin rupture and an associated intercostal hernia between ribs 7 and 8. He underwent video-assisted thoracoscopic surgery (VATS) cryoneurolysis of intercostal nerves 5-9 for long-term pain control, manual reduction of the costochondral disruption, and a bi-level "Edward's Quilt" mesh repair, a complex technique to provide additional stability beyond suture-only repair. The "Edward's Quilt" mesh repair was first reported in 2019 and has shown successful repair of similar injuries, and thus was chosen for this patient, particularly with his significant comorbidities. Postoperatively, the patient recovered without major complications, demonstrating increased activity and reduced pain. However, he continued to have some residual left-sided chest wall pain at five months follow-up. He has had no evidence of hernia or costal margin rupture recurrence.

Conclusion

Evidence suggests that patients who do not undergo surgical repair suffer from chronic pain, which supports operative intervention as a standard treatment option. Given the chronicity of these injuries, the benefit gained with the involvement of a dedicated pain management team cannot be understated. Considering the multitude of repair options and varying degrees of success in postoperative outcomes, a consensus statement regarding the management of intercostal hernia and costochondral disruption is needed.

Key Words

intercostal hernia; costochondral disruption; Edward's Quilt; mesh repair; cryoneurolysis; video-assisted thoracic surgery (VATS)


Case Description

A 70-year-old male patient presented with debilitating left-sided chest wall pain. The pain began a year prior when bearing down for a bowel movement. He described feeling a pop with subsequent tearing of his chest wall. Since that event, the patient described constant tearing pain at rest and during movement with associated dyspnea. He required a walker because of his severe pain. He had seen numerous providers and was diagnosed with chronic left-sided chest wall pain but without underlying etiology. Prior attempts to address this pain included narcotic and non-narcotic pain medication, locoregional anesthesia, and referral to psychiatry.

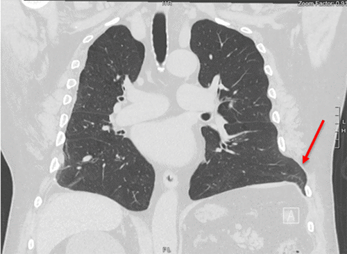
He had significant comorbidities, including atrial fibrillation, type 2 diabetes, hypertension, hypothyroidism, gout, obesity (BMI 31),1 asthma, 25 pack-year smoking history, COPD, history of remote polysubstance abuse, and chronic pain. On clinical exam, the patient had evident disruption of his costal margin with respiration and at rest upon palpation. Manipulation of his costal margin rupture aggravated his pain. During his intake visit, the patient underwent a CT scan, from which he was diagnosed with a costal margin rupture with an associated intercostal hernia between ribs 7 and 8 (Figure 1).

Figure 1. CT Scan Showing Patient's Left Intercostal Hernia (arrow indicates defect). Published with Permission

Given his existing co-morbidities, the patient underwent a comprehensive preoperative evaluation to ensure suitability for surgery. Pulmonary function tests (PFTs) were notable for a significantly diminished forced vital capacity (FVC) (38% of predicted) and forced expiratory volume in 1 second (FEV1) (48% of predicted) and were interpreted as being consistent with interstitial lung disease and reactive airways. Echocardiogram revealed borderline left ventricular hypertrophy and a normal left ventricular ejection fraction (57%).

The patient was positioned in the right lateral decubitus position, and a muscle-sparing incision was used to expose the intercostal hernia. Intraoperative findings were notable for an intercostal hernia between left ribs 7 and 8 with grossly disrupted costochondral junction. After the transition to single lung ventilation, the hernia sac was entered, providing exposure to the thoracic space. Video-assisted thoracoscopic surgery (VATS) cryoneurolysis of intercostal nerves 5-9 was performed (Atricure, Cincinnati, OH).

The costochondral disruption was manually reduced, and the chest wall disruption was evaluated. The defect measured 18 cm (cranial to caudal) by 15 cm (anterior to posterior). A 20 cm Strattice mesh (Allergan, Maddison, NJ) was trimmed, and 18 Ethibond (Ethicon, Somerville, NJ, USA) sutures were secured in the mesh. The Strattice mesh was chosen for the internal layer based on reports of this bi-level mesh repair method by Dr. John Edwards, who developed and described this novel technique in 2019.2 Additionally, the Strattice mesh is smooth and absorbable, ideal for internally buttressing the repair, complemented by the permanent mesh secured outside to stabilize the injury further. The double-level mesh layering optimally distributes forces across the intercostal defect.2 Bicortical holes were drilled through ribs 8, 9, and 10 with 1 cm spacing over the span of the chest wall defect. The ribs were drilled for suture placement, rather than using intercostal horizontal mattress pledgeted sutures, to spare the intercostal nerves from possible compression.2

The Strattice mesh was parachuted into the intrathoracic space and trimmed to fit the space. The Ethibond sutures were brought up through the bicortical bore holes and secured (Figure 2A). The intercostal hernia was then reduced with 8 Tiger Tape sutures (Arthrex, Inc., Naples, FL) that encircled the 7th rib and were passed through the holes in the 8th rib (Figure 2B). An additional Ethibond suture was placed at the costal margin between ribs 7 and 8 to further stabilize the chest wall in a manner similar to the Hansen slipped rib repair.3 Final intrathoracic inspection of the underlay mesh revealed adequate coverage (Figure 3A). Following irrigation of the wound, a 15 × 20 cm Symbotex overlay mesh (Medtronic, Minneapolis, MN) was secured in place with transcostal Ethibond sutures to complete the robust repair of the intercostal hernia and costochondral defect using the bi-level "Edward's Quilt" technique (Figure 3B).2 A 24 French (24F) Blake drain was left in the thoracic cavity, and a 19F drain was left in the posterior subcutaneous dissection bed.

Postoperatively, the patient recovered without any major complications. The patient's baseline pain score was 9/10 and then reduced to 6/10 by postoperative day (POD) 2. On POD 2, he began working with physical and occupational therapy daily until discharge. Oral analgesia was initiated on POD 1, and the patient was fully transitioned off intravenous narcotics by POD 7. The patient was discharged from the hospital on POD 8. On follow-up at five months, he continues to have left-sided chest wall pain, although it improved from before surgery. He has had no evidence of hernia or costal margin rupture recurrence.

Figure 2. Intraoperative Photos. Published with Permission

A) Placement of underlay mesh (star marks intercostal hernia defect, arrow points cranial)
A) Placement of underlay mesh (star marks intercostal hernia defect, arrow points cranial)
B) closure of intercostal hernia with Tiger Tape (arrow points cranial)
B) closure of intercostal hernia with Tiger Tape (arrow points cranial)

Figure 3. Published With Permission

A) Intrathoracic image of underlay mesh (star marks mesh, circle marks diaphragm)
A) Intrathoracic image of underlay mesh (star marks mesh, circle marks diaphragm)
B) overlay mesh (arrow points cranial)
B) overlay mesh (arrow points cranial)

Discussion

Costochondral disruptions are a type of costal cartilage fracture originating from damage to or weakening of the costal cartilage or costochondral joint between cartilage and sternum. Other types include disruption at the chondrosternal or interchondral joints.4 Costochondral injuries are commonly caused by trauma but also can occur spontaneously, such as with coughing or sneezing, performing Valsalva maneuvers, playing wind instruments, strenuous lifting, or contact sports.2,4‒6 Potential etiologies for a weakened costochondral joint may include a number of cartilaginous disorders, such as costochondritis, enchondroma, or chondrosarcoma.7

Intercostal hernias are frequently associated with costochondral disruption, as costochondral damage weakens the stability and support of the intercostal muscles.8 They are characterized by lung tissue protruding through the intercostal space.8 Approximately one-third of intercostal hernias are spontaneous; other etiologies include congenital and traumatic defects.9,10 Spontaneous hernias typically result from a sharp increase in intrathoracic pressure.11‒13 Predisposing factors include COPD (most likely due to chronic bouts of violent coughing), lung hyperinflation, chronic steroid use, tobacco use, and obesity.1,8,9,11 Costochondral disruptions are rare, though their incidence may be underreported owing to underappreciation of the injury pattern.2 While chest radiographs can identify some degree of lung tissue protrusion, this imaging modality alone is insufficient to diagnose costochondral damage. The gold standard for diagnosing intercostal hernia and costochondral injury is a physical exam with a concomitant CT scan.14,15 Intercostal hernias are also rarely documented but may be underreported as their clinical course is often asymptomatic.13,16 When costal margin ruptures are present, evaluating the concomitant presence of intercostal hernia is prudent as these two pathologies can occur concurrently due to the weakened thoracic musculoskeletal infrastructure, especially in the presence of other risk factors such as obesity.1

Unfortunately, there are currently no consensus guidelines on managing these injuries, and the literature is limited to case series and studies.2 Current repair techniques for costochondral disruption and intercostal hernia include primary repair with autologous tissue, periosteal flaps or direct muscle re-approximation for smaller defects, and pericostal suture, sternal wires, rib plates, and bi-level mesh repair for more significant injuries.14,17,18 Previous case reports have shown that fixation of the ribs, in addition to patch repair of the hernia site, is an effective surgical treatment for concurrent lung herniation and rib fracture.8 The "Edward's Quilt" mesh repair was first reported in 2019 by Gooseman et al.2 and has shown success in costal margin rupture and intercostal hernia and was the method of repair chosen for our patient.19,20 A case study documenting a traumatic lung herniation and rib fracture repaired by rib open reduction and internal fixation (ORIF) alone without mesh placement yielded a successful postoperative condition and quality of life improvement for the patient.19 Another case report utilized a different technique for chest wall stabilization, including sternal zip ties and plates.21 What is clear is that suture-only repair is unlikely to provide durable long-term success.21 Given the multitude of treatment options utilized, a consensus regarding managing these injuries is needed.

Conclusion

The patient was a 70-year-old male diagnosed with grossly disrupted costal margin with an associated intercostal hernia between ribs 7 and 8. Repair of his injury included bi-level "Edward's Quilt" mesh, a complex repair that provides additional stability beyond suture-only repair. Despite procedural complexities and longer operative time, evidence suggests that patients with costochondral disruptions and intercostal hernias who do not undergo surgical repair suffer from chronic pain, suggesting that operative intervention should be pursued.12 Like other patients with similar pathology, our patient had a positive outcome, evidenced by progressively reduced pain, increased activity, and no recurrence.7,19,20,22 However, the benefit gained with the involvement of a dedicated pain management team cannot be understated. Given the chronicity of this injury, anatomic repair alone is unlikely to alleviate pain in the immediate perioperative period completely, and long-term pain management is often required.

Lessons Learned

Successful repair and patient recovery will likely require not only standardized operative protocol but also long-term postoperative support and pain management regimens. Stabilizing operative techniques such as mesh placement have shown longer-term success in repairing costochondral ruptures, intercostal hernias, and similar injuries in the literature, particularly for patients with significant comorbidities, as seen in our case. Because there is no consensus on screening for and repairing these complex injuries, setting guidelines to detect and manage these injuries effectively would significantly benefit the healthcare team and patients in guiding care delivery to optimize patient outcomes and quality of life. Patients with extensive comorbidities, in particular, are at higher risk of worse outcomes, lower quality of life, and unresolved long-term chronic pain.21,23–25 There is an even greater imperative to establish a management protocol that accounts for the multifactorial patient factors that impact their perioperative risk and outcomes.

Authors

Ma LWa; Bessoff KEb; Forrester JDb

Author Affiliations

  1. Stanford University School of Medicine, Stanford, CA 94305
  2. Department of General Surgery, Stanford University, Stanford, CA 94305

Corresponding Author

Lucy W. Ma, BA
Division of General Surgery
Stanford University School of Medicine
300 Pasteur Drive, H3680
Stanford, CA 94305
Phone: (650) 497-2212
Email: lucywma@stanford.edu

Disclosure Statement

The authors have no conflicts of interest to disclose.

Funding/Support

The authors have no relevant financial relationships or in-kind support to disclose.

Received: October 22, 2021
Revision received: January 27, 2022
Accepted: February 7, 2022

References

  1. Sinopoli J, Strong A, Kroh M, Allemang M, Raymond DP. Spontaneous Chest Wall Herniation in Centrally Obese Patients: A Single-Center Experience of a Rare Problem. Am Surg. 2021;87(2):222-227. doi:10.1177/0003134820950280
  2. Gooseman MR, Rawashdeh M, Mattam K, Rao JN, Vaughan PR, Edwards JG. Unifying classification for transdiaphragmatic intercostal hernia and other costal margin injuries. Eur J Cardiothorac Surg. 2019;56(1):150-158. doi:10.1093/ejcts/ezz020
  3. Hansen AJ, Toker A, Hayanga J, Buenaventura P, Spear C, Abbas G. Minimally Invasive Repair of Adult Slipped Rib Syndrome Without Costal Cartilage Excision. Ann Thorac Surg. 2020;110(3):1030-1035. doi:10.1016/j.athoracsur.2020.02.081
  4. Nummela MT, Bensch FV, Pyhältö TT, Koskinen SK. Incidence and Imaging Findings of Costal Cartilage Fractures in Patients with Blunt Chest Trauma: A Retrospective Review of 1461 Consecutive Whole-Body CT Examinations for Trauma. Radiology. 2018;286(2):696-704. doi:10.1148/radiol.2017162429
  5. Subhas N, Kline MJ, Moskal MJ, White LM, Recht MP. MRI evaluation of costal cartilage injuries. AJR Am J Roentgenol. 2008;191(1):129-132. doi:10.2214/AJR.07.3396
  6. Lopez V Jr, Ma R, Li X, Steele J, Allen AA. Costal cartilage fractures and disruptions in a rugby football player. Clin J Sport Med. 2013;23(3):232-234. doi:10.1097/JSM.0b013e31825b55ed
  7. Meyer CA, White CS. Cartilaginous disorders of the chest. Radiographics. 1998;18(5):1109-1242. doi:10.1148/radiographics.18.5.9747610
  8. Thomasson J, Maxwell R. Intercostal hernias. Am Surg. 2010;76(8):E125-E127.
  9. Ross RT, Burnett CM. Atraumatic lung hernia. Ann Thorac Surg. 1999;67(5):1496-1497. doi:10.1016/s0003-4975(99)00225-8
  10. Hiscoe DB, Digman GJ. Types and incidence of lung hernias. J Thorac Surg. 1955;30(3):335-342.
  11. Glenn C, Bonekat W, Cua A, Chapman D, McFall R. Lung hernia. Am J Emerg Med. 1997;15(3):260-262. doi:10.1016/s0735-6757(97)90009-7
  12. Wani AS, Kalamkar P, Alhassan S, Farrell MJ. Spontaneous intercostal lung herniation complicated by rib fractures: a therapeutic dilemma. Oxf Med Case Reports. 2015;2015(12):378-381. Published 2015 Dec 22. doi:10.1093/omcr/omv069
  13. Cole FH Jr, Miller MP, Jones CV. Transdiaphragmatic intercostal hernia. Ann Thorac Surg. 1986;41(5):565-566. doi:10.1016/s0003-4975(10)63045-7
  14. Weissberg D, Refaely Y. Hernia of the lung. Ann Thorac Surg. 2002;74(6):1963-1966. doi:10.1016/s0003-4975(02)04077-8
  15. Malghem J, Vande Berg B, Lecouvet F, Maldague B. Costal cartilage fractures as revealed on CT and sonography. AJR Am J Roentgenol. 2001;176(2):429-432. doi:10.2214/ajr.176.2.1760429
  16. Biswas S, Keddington J. Soft right chest wall swelling simulating lipoma following motor vehicle accident: transdiaphragmatic intercostal hernia. A case report and review of literature. Hernia. 2008;12(5):539-543. doi:10.1007/s10029-008-0342-8
  17. Munnell ER. Herniation of the lung. Ann Thorac Surg. 1968;5(3):204-212. doi:10.1016/s0003-4975(10)66333-3
  18. Fackeldey V, Junge K, Hinck D, et al. Repair of intercostal pulmonary herniation. Hernia. 2003;7(4):215-217. doi:10.1007/s10029-003-0135-z
  19. Roy SP, Benjamin AT, Langcake M, Selvendran S. Traumatic lung herniation managed by rib fixation alone. ANZ J Surg. 2020;90(11):2362-2364. doi:10.1111/ans.15763
  20. Mohandas P, Krim AOA, Glenn J. Clinicoradiological diagnosis: Cough-induced transdiaphragmatic intercostal herniation. BJR Case Rep. 2020;6(2):20190061. Published 2020 Sep 29. doi:10.1259/bjrcr.20190061
  21. Luijendijk RW, Hop WC, van den Tol MP, et al. A comparison of suture repair with mesh repair for incisional hernia. N Engl J Med. 2000;343(6):392-398. doi:10.1056/NEJM200008103430603
  22. Daniels SP, Kazam JJ, Yao KV, Xu HS, Green DB. Cough-induced costal cartilage fracture. Clin Imaging. 2019;55:161-164. doi:10.1016/j.clinimag.2019.03.007
  23. Wang CY, Chen YC, Chien TH, et al. Impact of comorbidities on the prognoses of trauma patients: Analysis of a hospital-based trauma registry database. PLoS One. 2018;13(3):e0194749. Published 2018 Mar 20. doi:10.1371/journal.pone.0194749
  24. Wohlgemut JM, Ramsay G, Griffin RL, Jansen JO. Impact of deprivation and comorbidity on outcomes in emergency general surgery: an epidemiological study. Trauma Surg Acute Care Open. 2020;5(1):e000500. Published 2020 Jul 27. doi:10.1136/tsaco-2020-000500
  25. Krpata DM, Blatnik JA, Novitsky YW, Rosen MJ. Evaluation of high-risk, comorbid patients undergoing open ventral hernia repair with synthetic mesh. Surgery. 2013;153(1):120-125. doi:10.1016/j.surg.2012.06.003