Unsupported Browser
The American College of Surgeons website is not compatible with Internet Explorer 11, IE 11. For the best experience please update your browser.
Menu
Become a member and receive career-enhancing benefits

Our top priority is providing value to members. Your Member Services team is here to ensure you maximize your ACS member benefits, participate in College activities, and engage with your ACS colleagues. It's all here.

Become a Member
Become a member and receive career-enhancing benefits

Our top priority is providing value to members. Your Member Services team is here to ensure you maximize your ACS member benefits, participate in College activities, and engage with your ACS colleagues. It's all here.

Become a Member
ACS
ACS Case Reviews

Perforated Appendiceal Diverticulitis Mimicking Appendicitis

May 8, 2023

Abstract

Background

Appendiceal diverticulitis is a rare presentation of acute abdominal pain. Preoperatively, the diagnosis is difficult but should be considered in older patients or those whose symptoms are atypical, repetitive, or of a longer duration. In cases of diagnostic uncertainty or where concerns for more complicated disease exist, a computed tomography (CT) scan may be useful preoperatively. Appendiceal diverticulitis is associated with a higher risk of perforation and appendiceal neoplasms; therefore, timely appendicectomy is recommended.

Summary

We present a case of a 57-year-old patient who presented with a protracted history of symptoms suggesting subacute appendicitis. Her primary practitioner confirmed the diagnosis preoperatively on CT. The patient underwent an urgent laparoscopic appendicectomy with partial caecectomy for an abnormally dilated appendix with intraoperative suspicion for an appendiceal malignancy. On review of her histopathology, a mucosal outpouching consistent with complicated appendiceal diverticulitis was found to be associated with perforation into the mesoappendix. Her recovery was uncomplicated, and she was discharged on postoperative day 4.

Conclusion

Although rare, surgeons should consider appendiceal diverticulitis as a possible differential diagnosis for patients presenting with signs and symptoms of appendicitis. Although the management of appendiceal diverticulitis and appendicitis are similar, the presence of a more complicated disease in the former and the possibility of associated neoplasia suggest research efforts to identify these patients to allow for optimal preoperative planning accurately are recommended.

Key Words

appendiceal diverticulosis; perforated appendiceal diverticulitis


Case Description

A 57-year-old female re-presented to our institution with a nine-day history of centralized abdominal pain radiating to the right lower quadrant (RLQ). Her significant past history included type II diabetes mellitus (on oral hypoglycaemics), hypertension, hypercholesterolemia, and a previous vaginal hysterectomy for a prolapsed uterus.

Our patient initially presented to the emergency department (ED) on day one of her symptoms; however, the pain was reported in the epigastric region at that stage. She was discharged home after further clinical work-up with normal bloods and upper abdominal ultrasound. The pain, however, persisted and began radiating to the RLQ. She saw her primary practitioner, who ordered a computed tomography (CT) scan of the abdomen and pelvis, which demonstrated marked thickening of a dilated distal appendix measuring 1.6 cm and associated surrounding fat stranding (Figure 1 and Figure 2). After receiving these findings, she was advised to re-present to our ED for further clinical review.

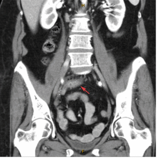
Figure 1. CT Coronal Slice, Demonstrating Thickened Dilated Appendix (arrow). Published with Permission

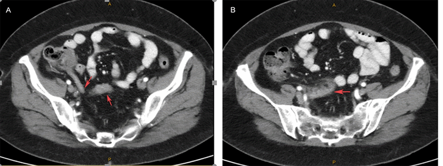
Figure 2. CT Axial Slices. Published with Permission

Images demonstrate normal proximal appendix thickening distally (2A, arrow) with associated distal fat stranding and fluid (2B, arrow).
Images demonstrate normal proximal appendix thickening distally (2A, arrow) with associated distal fat stranding and fluid (2B, arrow).

Images demonstrate normal proximal appendix thickening distally (2A, arrow) with associated distal fat stranding and fluid (2B, arrow).

On presentation that evening, she was found to be febrile (38.2° C) and tachycardic (heart rate 109 beats per minute). Her inflammatory markers, however, were largely unremarkable, with a normal white cell count of 10.8 103/uL (normal 4.0-11.0 103/uL) and a mildly raised C-reactive protein of 15 mg/L (normal 0-5mg/L). On examination, her abdomen was soft with focal peritonism, and rebound tenderness in the RLQ was noted. She was admitted to hospital, commenced on intravenous antibiotics overnight, and proceeded to an urgent laparoscopy the next day.

Intraoperatively, the appendix was found to be markedly dilated, firm, and adherent to the retroperitoneum at the sacrum (Figure 3). Both caecum and appendiceal base were thought to be unremarkable, with no concerning features of malignancy seen elsewhere in the abdomen. Given the dilated appendix, we performed a laparoscopic appendicectomy with partial caecectomy (Figure 4). A portion of the caecum attached to the appendiceal base was resected to allow for a greater margin due to the suspicion that the appearance of the appendix may indicate a neoplasm.

Figure 3. Intraoperative Photo at Laparoscopy Demonstrating Dilated and Firm Appendix (*) Adherent to Retroperitoneum (#). Published with Permission

Figure 4. Intraoperative Photo of Resected Whole Appendix with Attached Caecum. Published with Permission

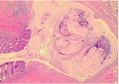
Figure 5. Histology Showing Ruptured Appendiceal Diverticulum with Extravasated Mucus in Cavity Surrounded by Inflamed Fibrogranulation Tissue Devoid of Lining Mucosa. Published with Permission

The patient recovered well and was discharged on day four postoperatively without complication. On follow-up two weeks later, she remained well.

Discussion

Diverticulosis of the vermiform appendix is rare; diverticulitis of the appendix is even rarer still. In a large population study of 71,000 appendicectomies, appendiceal diverticulosis was found in 0.5-1.5% of all postoperative and autopsy specimens.1 Meanwhile, in other series, diverticulitis of the appendix accounted for 0.3-3.7% of all appendicectomies performed.2-8

The etiology of appendiceal diverticulosis can be conceptualized into two types: congenital or acquired. Congenital forms are rare and considered true diverticula with the involvement of all layers of the appendiceal wall. The majority are acquired, with pseudodiverticula consisting of mucosa, submucosa, and serosa only without muscle involvement. Acquired diverticulosis is thought to arise from repetitive inflammation weakening the appendiceal wall or, alternatively, raised intraluminal pressure secondary to obstruction, either by faecolith, inflammation, mucosal folds, polyps, or tumor.7 Additionally, appendiceal diverticulosis is thought to be unrelated to the presence of colonic diverticulosis.9,10

Clinically, differentiating appendiceal diverticulitis from other more common causes of RLQ pain can be difficult. Patients with appendiceal diverticulitis may present with RLQ pain and other classical symptoms of acute appendicitis. Reportedly, however, there are important features on presentation suggestive of appendiceal diverticulitis. The disease typically occurs after the third decade of life (based on its pathogenesis of acquired pressure). Individuals affected by it usually report a more protracted history of insidious abdominal pain prior to presentation (as with our patient). Furthermore, symptoms may be repetitive and preceded by similar episodes.7,9 Radiologically, findings suggestive of appendiceal diverticulitis on CT include saccular protrusions of the appendiceal wall and a peri appendicular or caecal fluid collection. However, the reported sensitivity of CT for appendiceal diverticulitis is 24-86%.12 In one series, all 34 histologically proven appendiceal diverticulitis cases were misdiagnosed as uncomplicated acute appendicitis preoperatively on CT.4

Not uncommonly, patients with appendiceal diverticulitis present with more complicated disease such as perforation. This event occurs in up to 66% of cases at a rate four times greater than the incidence seen in acute appendicitis.3,7 Typically, the perforation occurs into the mesoappendix and is retroperitoneal as the acquired diverticulum is mostly mesenteric in location.7,9 Critically, a mass resulting from perforation into the mesoappendix may be mistaken for carcinoma, a finding which was mirrored in our patient. Of greatest concern are the reports from some series about a possible link between appendiceal diverticulosis and appendiceal neoplasms,4,7,8,11 although the explanation for this link remains unclear.

Patients with appendiceal diverticulitis may present with features similar to appendicitis. Appendiceal diverticulitis, however, should be considered in older patients or those whose symptoms are repetitive, of a longer duration, or varying from that found in classical appendicitis, including only minor pain or absence of nausea, vomiting, or anorexia. As elderly patients are at higher risk of appendiceal neoplasms, presentation with atypical symptoms should prompt suspicion of a cause aside from appendicitis and raise higher consideration for surgical intervention. A CT may be useful preoperatively in cases of diagnostic uncertainty or where concerns for more complicated disease exist. Nevertheless, surgical management is often challenging in symptomatic patients with a clinical concern for appendicitis due to more complicated disease.

Conclusion

We describe a rare case of perforated appendiceal diverticulitis masquerading as subacute appendicitis for which a laparoscopic appendicectomy with partial caecectomy was performed due to the intraoperative suspicion of a malignant appendiceal mass. Although the management of these two conditions is similar, with appendicectomy recommended for both, the presence of more complicated disease in the former and the possibility of associated neoplasia suggest research efforts to identify these patients preoperatively to allow optimal surgical planning accurately would be recommended.

Lessons Learned

Appendiceal diverticulitis mimics appendicitis in terms of symptoms, clinical presentation, and radiological findings. The former condition has a higher association with complications, including perforation and, most importantly, neoplasms. Any suspicion of appendiceal diverticulitis should be treated with caution intraoperatively and examined thoroughly on histopathology.

Authors

Liu Ka; Chan Yb; Tay YKc; Ackermann TGa,d

Author Affiliations

  1. Department of General Surgery, Monash Health, Melbourne, Victoria, Australia
  2. Department of Pathology, Monash Health, Melbourne, Victoria, Australia
  3. Department of Colorectal Surgery, Monash Health, Dandenong, Australia
  4. Department of Upper Gastrointestinal/Hepatobiliary and General Surgery Unit, Monash Health, Melbourne, Victoria, Australia

Corresponding Author

Kerry Liu, MBBS
Monash Medical Centre
246 Clayton Road
Clayton VIC 3168
Australia
Phone: +61 431389687
Email: kerry.liu79@gmail.com

Disclosure Statement

The authors have no conflicts of interest to disclose.

Funding/Support

The authors have no relevant financial relationships or in-kind support to disclose.

Received: October 31, 2020
Revision received: December 27, 2020
Accepted: February 1, 2021

References

  1. Collins DC. 71,000 human appendix specimens: a final report, summarizing forty years' study. Am J Proctol. 1963; 14:265–281
  2. Delikaris P, Stubbe Teglbjaerg P, Fisker-Sørensen P, Balslev I. Diverticula of the vermiform appendix. Alternatives of clinical presentation and significance. Dis Colon Rectum. 1983;26(6):374-376. doi:10.1007/BF02553377
  3. Sohn TJ, Chang YS, Kang JH, et al. Clinical characteristics of acute appendiceal diverticulitis. J Korean Surg Soc. 2013;84(1):33-37. doi:10.4174/jkss.2013.84.1.33
  4. Marcacuzco AA, Manrique A, Calvo J, et al. Clinical implications of diverticular disease of the appendix. Experience over the past 10 years. Cir Esp. 2016;94(1):44-47. doi:10.1016/j.ciresp.2014.05.003
  5. Yamana I, Kawamoto S, Inada K, Nagao S, Yoshida T, Yamashita Y. Clinical characteristics of 12 cases of appendiceal diverticulitis: a comparison with 378 cases of acute appendicitis. Surg Today. 2012;42(4):363-367. doi:10.1007/s00595-012-0152-6
  6. Käser SA, Willi N, Maurer CA. Prevalence and clinical implications of diverticulosis of the vermiform appendix. J Int Med Res. 2013;41(4):1350-1356. doi:10.1177/0300060513487651
  7. Abdullgaffar B. Diverticulosis and diverticulitis of the appendix. Int J Surg Pathol. 2009;17(3):231-237. doi:10.1177/1066896909332728
  8. Dupre MP, Jadavji I, Matshes E, Urbanski SJ. Diverticular disease of the vermiform appendix: a diagnostic clue to underlying appendiceal neoplasm. Hum Pathol. 2008;39(12):1823-1826. doi:10.1016/j.humpath.2008.06.001
  9. Kabiri H, Clarke LE, Tzarnas CD. Appendiceal diverticulitis. Am Surg. 2006;72(3):221-223.
  10. Trollope ML, Lindenauer SM. Diverticulosis of the appendix: a collective review. Dis Colon Rectum. 1974;17(2):200-218. doi:10.1007/BF02588104
  11. Medlicott SAC, Urbanski SJ. Acquired diverticulosis of the vermiform appendix: a disease of multiple etiologies. Int J Surg Pathol 1998;6:23-6. doi: 10.1177/106689699800600106
  12. Fukata K, Takamizawa J, Miyake H, et al. Diagnosis of appendiceal diverticulitis by multidetector computed tomography. Jpn J Radiol. 2020;38(6):572-578. doi:10.1007/s11604-020-00950-4