Unsupported Browser
The American College of Surgeons website is not compatible with Internet Explorer 11, IE 11. For the best experience please update your browser.
Menu
Become a member and receive career-enhancing benefits

Our top priority is providing value to members. Your Member Services team is here to ensure you maximize your ACS member benefits, participate in College activities, and engage with your ACS colleagues. It's all here.

Become a Member
Become a member and receive career-enhancing benefits

Our top priority is providing value to members. Your Member Services team is here to ensure you maximize your ACS member benefits, participate in College activities, and engage with your ACS colleagues. It's all here.

Become a Member
ACS
ACS Case Reviews

Actinomycosis of the Ascending Colon: An Atypical Presentation Causing Bowel Microperforation in a Patient Undergoing Chemotherapy for Burkitt Lymphoma

May 8, 2023

Abstract

Background

Abdominal actinomycosis is a rare, chronic, invasive infection with a highly variable presentation, making it a great mimicker of other more common diseases. Bowel perforation from actinomycosis is extremely uncommon and is usually associated with an obstructing mass, often mistaken for malignancy.

Summary

The patient is a 25-year-old male who was diagnosed with Burkitt lymphoma seven months prior and had completed initial treatment; however, he later required inpatient chemotherapy for a recurrence in the central nervous system. While admitted, the patient was referred to the colorectal surgery service for acutely worsening abdominal pain, hemodynamic instability, and evidence of right colonic perforation on a CT scan in the setting of C. difficile infection and chemotherapy-induced neutropenia. An emergent exploratory laparotomy was performed, revealing extensive pneumatosis of the entire right colon and a pale distal colon with no obvious areas of gross perforation. A total colectomy was performed. Histologic examination revealed multiple foci of mucosal involvement by Actinomyces spp. in the ascending colon with associated submucosal hemorrhage and mucosal ischemia. Actinomyces did not appear to invade beyond the submucosa. There were no features of C. difficile colitis, and no distinct perforation was noted. He was initially given imipenem-cilastatin for treatment of both actinomycosis and gram-negative bacteremia. The patient was later transitioned to ceftriaxone for an additional four weeks of parenteral antibiotic coverage. He is now continuing treatment with oral amoxicillin for twelve months of therapy.

Conclusion

To our knowledge, this is the first reported case of colonic microperforation secondary to actinomycosis in an immunocompromised patient. Due to its rare occurrence and variable presentation, abdominal actinomycosis can pose a diagnostic challenge, particularly in the acute setting. In cases requiring emergent surgery, confirming a histologic diagnosis of actinomycosis postoperatively is important, as long-term antibiotic therapy is necessary to prevent recurrent disease.

Key Words

abdominal actinomycosis; immunocompromised; bowel perforation; acute presentation


Case Description

Actinomycosis is a rare, chronic granulomatous disease caused by Gram-positive filamentous bacteria of the genus Actinomyces. These bacteria are commensal organisms in the oropharyngeal, gastrointestinal, and urogenital tracts, which can cause disease in the setting of mucosal disruption. The most common human pathogen is Actinomyces israelii, though other species have been reported to cause infection. Most cases are cervicofacial, with abdominopelvic cases representing only 20% of infections.1 Presentation is usually chronic with the insidious onset of nonspecific symptoms, often mistaken for malignancy.2-4 The role of immunosuppression as a predisposing factor is not well described, and most reported cases have occurred in immunocompetent patients.5 Here, we report an atypical presentation of actinomycosis causing microperforation of the ascending colon in a patient undergoing chemotherapy for Burkitt lymphoma.

The patient is a 25-year-old male with Burkitt lymphoma diagnosed seven months prior who underwent treatment with seven cycles of hyper-CVAD chemotherapy (cyclophosphamide, vincristine, doxorubicin, dexamethasone, methotrexate, and cytarabine) plus rituximab and twelve cycles of intrathecal chemotherapy, initially achieving remission. However, six months later, he presented with recurrence in the central nervous system (CNS), requiring additional treatment. He received high-dose methotrexate with rituximab at an outside hospital and was eventually transferred to our hospital, given an interval increase in the size of the CNS lesion.

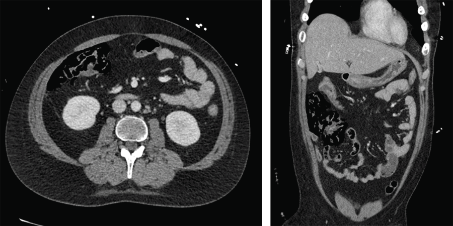
At our hospital, he received treatment with CYVE chemotherapy (cytarabine and etoposide), complicated by neutropenia and several days of diarrhea with associated abdominal pain. On day nine of treatment, he was diagnosed with Clostridium difficile (C. difficile) infection and was started on oral vancomycin. The following day, his abdominal pain acutely worsened, and he became hemodynamically unstable, requiring intubation and maximum vasopressor support. That day, his white blood cell count was 10 cells/mm3 and his platelets were 17,000 cells/mm3. Hemoglobin was 7.6 g/dL. An abdominal computed tomography (CT) scan (Figure 1) revealed pneumatosis of the right colon with extraluminal free air of the colonic mesentery suggestive of bowel perforation secondary to ischemia. He was transfused several units of platelets and packed red blood cells. Colorectal surgery was consulted, and the patient was taken to the operating room emergently for exploratory laparotomy.

Figure 1. CT Images. Published with Permission

There is extensive new pneumatosis within the wall of ascending colon with evidence of extraluminal gas contained within adjacent mesentery. Remainder of colon is thick-walled but decompressed
There is extensive new pneumatosis within the wall of ascending colon with evidence of extraluminal gas contained within adjacent mesentery. Remainder of colon is thick-walled but decompressed

Upon arrival in the OR, the patient remained hypotensive on maximum vasopressor support. Intraoperatively, the patient was found to have extensive pneumatosis of his entire right colon; however, no ischemia was present, and no areas of gross perforation were noted. The distal colon from transverse to sigmoid appeared decompressed and pale. Given the patient's severe sepsis in the setting of a prior diagnosis of C. difficile infection, we decided to perform a total colectomy to the level of the distal sigmoid. A temporary abdominal closure device was placed at the end of the case due to worsening instability, and the patient was taken to the intensive care unit in critical condition for continued resuscitation. He subsequently recovered, was weaned off vasopressor medications, and was extubated. Two days later, he was taken back to the OR for abdominal washout and closure. An end ileostomy was created without complication.

Upon opening the specimen on the back table at the conclusion of the index case, two distinct areas of hemorrhage, measuring about 2 × 2 cm each, were noted on the mucosal side of the cecum that was not visible from the serosal surface. No obvious perforation was found. Histologic examination of the colon specimen (Figure 2) revealed multiple foci of mucosal involvement by Actinomyces spp. in the ascending colon with associated submucosal hemorrhage and mucosal ischemia. Actinomyces did not appear to invade beyond the submucosa. The ileocecal valve appeared to be the most involved segment of the bowel. There were no features of C. difficile colitis on histologic examination, and no distinct perforation was noted.

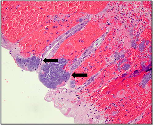
Figure 2. Hematoxylin and Eosin (H&E) and Warthin-Starry Stains. Published with Permission

A) High power (40x): Multiple foci of mucosal involvement by Actinomyces spp. with marked submucosal hemorrhage. Areas of mucosa involved by Actinomyces are almost completely destroyed and associated with marked submucosal hemorrhage. Actinomyces in submitted sections do not appear to invade beyond submucosa.
A) High power (40x): Multiple foci of mucosal involvement by Actinomyces spp. with marked submucosal hemorrhage. Areas of mucosa involved by Actinomyces are almost completely destroyed and associated with marked submucosal hemorrhage. Actinomyces in submitted sections do not appear to invade beyond submucosa.
B) High power shows filamentous nature of actinomyces.
B) High power shows filamentous nature of actinomyces.

The infectious disease service was consulted and recommended an initial course of imipenem-cilastatin to treat both actinomycosis and the patient's Enterobacter and Klebsiella bacteremia identified on perioperative blood cultures. After two weeks, the patient was transitioned to ceftriaxone for an additional four weeks of parenteral antibiotic therapy. He is continuing treatment with oral amoxicillin for a total of 12 months of therapy per infectious disease recommendations.

Discussion

Actinomycosis is a rare, invasive disease caused primarily by Actinomyces israelii.1 In most cases, disruption of the mucosal barrier of the oropharynx, gastrointestinal tract, and urogenital tract is needed for infection to occur. Once the mucosa is breached, allowing invasion by Actinomyces and other pathogens, a granulomatous reaction ensues, followed by extensive reactive fibrosis and necrosis; eventually, this can lead to the formation of abscesses, draining sinuses, or fistulas, depending on the chronicity of the infection.6

The majority of actinomycotic infections occur in the cervicofacial area and are preceded by dental surgery or trauma. Abdominopelvic infections account for approximately 20% of all reported cases of actinomycosis; the ileocecal region and appendix are the most commonly affected areas.7,8 Predisposing factors include recent abdominal surgery, trauma, neoplasia, perforated viscus, and prolonged use of intrauterine contraceptive devices.3,9 The majority of reported cases have occurred in immunocompetent individuals.5 Rarely, however, abdominal actinomycosis has been reported in immunocompromised patients, including individuals with human immunodeficiency virus10,11 and those receiving immunosuppressive medications in the setting of autoimmune disease,12,13 hematologic malignancy,14 and solid organ transplantation.15,16 A study in 2014 by Pierre and colleagues17 showed worse outcomes in immunocompromised patients who developed invasive actinomycosis compared to those who were immunocompetent.

Abdominal actinomycosis can present as anything from an intraluminal mass to abscess formation or fistulization to complete obstruction requiring emergent surgery.18 Due to these patients' nonspecific and variable presentation, abdominal actinomycosis can mimic many other gastrointestinal diseases, including malignancy, inflammatory bowel disease, appendicitis, and diverticulitis.19 While a history of bowel perforation is a well-described predisposing factor for the development of invasive actinomycosis,20 bowel perforation on presentation is exceedingly rare. To our knowledge, colonic perforation due to intestinal actinomycosis has only been reported twice in the English literature. In both cases, the perforation was associated with a large obstructing mass.2,19 Our case was unusual in that the extensive pneumatosis was not secondary to ischemia; in fact, other than pneumatosis, the colon appeared healthy. We surmised that the area of mucosal injury/hemorrhage led to full-thickness damage of the colon wall, causing a microperforation and the resulting pneumatosis, as well as extraluminal air within the colon mesentery. This type of process would not typically cause florid sepsis in an immunocompetent host. Still, the translocation of bacteria from the colon wall to the bloodstream associated with this injury likely led to severe sepsis in our patient.

Interestingly, our patient was diagnosed with C. difficile infection after presenting with abdominal pain and diarrhea the day before his operation. It is possible that he was simply a carrier of C. difficile, as his symptoms may have been secondary to the undiagnosed Actinomyces infection. Regardless, we believe the cause of his pneumatosis was indeed Actinomyces, as perforation is not typically seen with C. difficile except in the setting of toxic megacolon, which this patient did not have. It is unclear if infection with one bacterium made him more susceptible to infection with the other, but ultimately we believe both occurred synchronously due to his significant immunosuppression.

Most cases of abdominal actinomycosis are diagnosed postoperatively, as most patients will undergo exploratory laparotomy with resection due to the high suspicion for malignancy.21 Histologic examination of resected tissue will reveal branching filamentous gram-positive rods consistent with Actinomyces spp. Characteristic yellow sulfur granules may also be identified; however, these are only present in 50% of cases and are therefore not required for definitive diagnosis.22 First-line treatment of uncomplicated abdominal actinomycosis is long-term antibiotic therapy; even so, most patients have undergone surgical resection before establishing a definitive diagnosis. In these cases, postoperative management should include antibiotic therapy for up to one year to avoid relapsing infection. Penicillin is the drug of choice in most cases.23 Given our patient was immunocompromised and presented with complicated disease, we decided to continue antibiotic treatment for the full 12-month course. While the cure rate is approximately 90% with combined medical and surgical therapy,24 morbidity is considerably high in complicated infections requiring extensive surgical resection, as in our patient.

Conclusion

Abdominal actinomycosis is rare and presents a diagnostic challenge due to its highly variable presentation and ability to mimic other, more common diseases. Bowel perforation from actinomycosis is extremely uncommon and is typically associated with an obstructing mass. Immunosuppression as a predisposing factor is not well-established. To our knowledge, this is the first reported case of colonic microperforation secondary to actinomycosis in an immunocompromised patient.

Lessons Learned

Confirming the diagnosis postoperatively in acute presentations requiring emergent surgery is important, as long-term antibiotic therapy is necessary to prevent recurrent disease.

Authors

Cyprich Ja; Ibrahim Ab; Tatishchev Sb; Koller SEc

Author Affiliations

  1. Keck School of Medicine, University of Southern California, Los Angeles, CA 90033
  2. Department of Pathology, Keck School of Medicine, University of Southern California, Los Angeles, CA 90033
  3. Division of Colorectal Surgery, Department of Surgery, Keck School of Medicine, University of Southern California, Los Angeles, CA 90033

Corresponding Author

Sarah E. Koller, MD
Division of Colorectal Surgery
Keck School of Medicine
University of Southern California
1441 Eastlake Avenue, NTT
Ste. 7418
Los Angeles, CA 90033
Email: sarah.koller@med.usc.edu

Disclosure Statement

The authors have no conflicts of interest to disclose.

Funding/Support

The authors have no relevant financial relationships or in-kind support to disclose.

Received: August 30, 2020
Revision received: November 29, 2020
Accepted: February 1, 2021

References

  1. Acevedo F, Baudrand R, Letelier LM, Gaete P. Actinomycosis: a great pretender. Case reports of unusual presentations and a review of the literature. Int J Infect Dis. 2008;12(4):358-362. doi:10.1016/j.ijid.2007.10.006
  2. Yang SS, Im YC. Severe abdominopelvic actinomycosis with colon perforation and hepatic involvement mimicking advanced sigmoid colon cancer with hepatic metastasis: a case study. BMC Surg. 2018;18(1):51. Published 2018 Aug 2. doi:10.1186/s12893-018-0386-3
  3. Yegüez JF, Martinez SA, Sands LR, Hellinger MD. Pelvic actinomycosis presenting as malignant large bowel obstruction: a case report and a review of the literature. Am Surg. 2000;66(1):85-90.
  4. Ridha A, Oguejiofor N, Al-Abayechi S, Njoku E. Intra-Abdominal Actinomycosis Mimicking Malignant Abdominal Disease. Case Rep Infect Dis. 2017;2017:1972023. doi:10.1155/2017/1972023
  5. Oostman O, Smego RA. Cervicofacial Actinomycosis: Diagnosis and Management. Curr Infect Dis Rep. 2005;7(3):170-174. doi:10.1007/s11908-005-0030-0
  6. Smego RA Jr, Foglia G. Actinomycosis. Clin Infect Dis. 1998;26(6):1255-1263. doi:10.1086/516337
  7. Deshmukh N, Heaney SJ. Actinomycosis at multiple colonic sites. Am J Gastroenterol. 1986;81(12):1212-1214.
  8. Garner JP, Macdonald M, Kumar PK. Abdominal actinomycosis. Int J Surg. 2007;5(6):441-448. doi:10.1016/j.ijsu.2006.06.009
  9. Ferrari TC, Couto CA, Murta-Oliveira C, Conceição SA, Silva RG. Actinomycosis of the colon: a rare form of presentation. Scand J Gastroenterol. 2000;35(1):108-109. doi:10.1080/003655200750024623
  10. Litt HI, Levine MS, Maki DD, Sachdeva RM, Einhorn E. Ileal actinomycosis in a patient with AIDS. AJR Am J Roentgenol. 1999;172(5):1297-1299. doi:10.2214/ajr.172.5.10227506
  11. Lisa-Gracia M, Martín-Rivas B, Pajarón-Guerrero M, Arnáiz-García A. Abdominal actinomycosis in the last 10 years and risk factors for appendiceal actinomycosis: review of the literature. Turk J Med Sci. 2017;47(1):98-102. Published 2017 Feb 27. doi:10.3906/sag-1511-52
  12. Oztekin K, Akercan F, Yucebilgin MS, et al. Pelvic actinomycosis in a postmenopausal patient with systemic lupus erythematosus mimicking ovarian malignancy: case report and review of the literature. Clin Exp Obstet Gynecol. 2004;31(2):154-157.
  13. Charalabopoulos K, Charalabopoulos AK, Papalimneou V, Ioachim E, Constantopoulos SH. Lung, pleural and colon actinomycosis in an immunocompromised patient: a rare form of presentation. Chemotherapy. 2003;49(4):209-211. doi:10.1159/000071147
  14. Chen CY, Chen YC, Tang JL, Lin WC, Su IJ, Tien HF. Splenic actinomycotic abscess in a patient with acute myeloid leukemia. Ann Hematol. 2002;81(9):532-534. doi:10.1007/s00277-002-0487-y
  15. Leach TD, Sadek SA, Mason JC. An unusual abdominal mass in a renal transplant recipient. Transpl Infect Dis. 2002;4(4):218-222. doi:10.1034/j.1399-3062.2002.t01-1-01009.x
  16. Laish I, Benjaminov O, Morgenstern S, Greif F, Ben-Ari Z. Abdominal actinomycosis masquerading as colon cancer in a liver transplant recipient. Transpl Infect Dis. 2012;14(1):86-90. doi:10.1111/j.1399-3062.2011.00669.x
  17. Pierre I, Zarrouk V, Noussair L, Molina JM, Fantin B. Invasive actinomycosis: surrogate marker of a poor prognosis in immunocompromised patients. Int J Infect Dis. 2014;29:74-79. doi:10.1016/j.ijid.2014.06.012
  18. Choi MM, Baek JH, Lee JN, Park S, Lee WS. Clinical features of abdominopelvic actinomycosis: report of twenty cases and literature review [published correction appears in Yonsei Med J. 2009 Oct 31;50(5):737. Beak, Jeong Heum [corrected to Baek, Jeong Heum]]. Yonsei Med J. 2009;50(4):555-559. doi:10.3349/ymj.2009.50.4.555
  19. Norwood MG, Bown MJ, Furness PN, Berry DP. Actinomycosis of the sigmoid colon: an unusual cause of large bowel perforation. ANZ J Surg. 2004;74(9):816-818. doi:10.1111/j.1445-1433.2004.03156.x
  20. Putman HC Jr, Dockerty MB, Waugh JM. Abdominal actinomycosis; an analysis of 122 cases. Surgery. 1950;28(5):781-800.
  21. Harris LF, Kakani PR, Selah CE. Actinomycosis. Surgical aspects. Am Surg. 1985;51(5):262-264.
  22. Weese WC, Smith IM. A study of 57 cases of actinomycosis over a 36-year period. A diagnostic 'failure' with good prognosis after treatment. Arch Intern Med. 1975;135(12):1562-1568.
  23. Valour F, Sénéchal A, Dupieux C, et al. Actinomycosis: etiology, clinical features, diagnosis, treatment, and management. Infect Drug Resist. 2014;7:183-197. Published 2014 Jul 5. doi:10.2147/IDR.S39601
  24. Privitera A, Milkhu CS, Datta V, Rodriguez-Justo M, Windsor A, Cohen CR. Actinomycosis of the sigmoid colon: A case report. World J Gastrointest Surg. 2009;1(1):62-64. doi:10.4240/wjgs.v1.i1.62