Unsupported Browser
The American College of Surgeons website is not compatible with Internet Explorer 11, IE 11. For the best experience please update your browser.
Menu
Become a member and receive career-enhancing benefits

Our top priority is providing value to members. Your Member Services team is here to ensure you maximize your ACS member benefits, participate in College activities, and engage with your ACS colleagues. It's all here.

Become a Member
Become a member and receive career-enhancing benefits

Our top priority is providing value to members. Your Member Services team is here to ensure you maximize your ACS member benefits, participate in College activities, and engage with your ACS colleagues. It's all here.

Become a Member
ACS
ACS Case Reviews

Splenic Rupture Following Colonoscopy

May 8, 2023

Abstract

Background

A female patient presented to the emergency department (ED) 37 hours following a colonoscopy with diffuse and severe abdominal pain.

Summary

We present a case report of an urgent splenectomy following a routine colonoscopy in a 60-year-old female. The patient presented to the ED due to abdominal pain 37 hours following a colonoscopy. A computed tomography (CT) scan of the abdomen and pelvis revealed a ruptured spleen with a 12 × 15 cm parenchymal hematoma, a large halo of blood around the liver, and a moderate amount of blood in the pelvis. Surgical intervention was pursued due to the amount of blood loss and the size of her splenic parenchymal hemorrhage. The patient received a total splenectomy. She was discharged five days post-splenectomy with no complications.

Conclusion

Splenic rupture is a serious complication of any colonoscopy. If perforation and post-polypectomy syndrome have been ruled out, the emergency physician and/or surgeon should have a high index of suspicion for splenic rupture. Although the occurrence is rare, this case reminds physicians to have a suspicion of splenic trauma in patients presenting with abdominal pain following uncomplicated or complicated colonoscopies.

Key Words

splenic rupture; colonoscopy; splenectomy


Case Description

Each year 1.69 million colonoscopies are estimated to be performed in the United States alone.1 Due to the high volume of colonoscopies performed in the US each year, it is vital to consider possible complications. Literature reports splenic trauma with colonoscopy to have an incidence of approximately 0.0005%-0.017% and a mortality rate of 5%.2

A 60-year-old female underwent a diagnostic colonoscopy seven weeks following an episode of diverticulitis. Prior to presentation, her abdominal surgical history included a cesarean section, hysterectomy, and cholecystectomy. The patient's previous episode of diverticulitis resolved with outpatient oral antibiotics. Significant past medical history also includes epilepsy well controlled with Lamotrigine 100mg BID, and she reported being asymptomatic for over a year. A less than 1 cm pedunculated polyp in the descending colon was removed with the hot snare technique during the colonoscopy. It also showed moderate severity diverticulosis in the sigmoid and descending colon. The scope was noted to have easily passed from the rectum to the cecum without needing position changes or external pressure. The patient was discharged in satisfactory condition without any reported pain.

She represented to the emergency department 37 hours status post colonoscopy with abdominal pain in her left and right upper quadrants and suprapubic region. The patient stated her abdominal pain began several hours after recovery from her colonoscopy, and the pain was constant and nonradiating in nature. Her pain was ranked 10/10 in severity.

Vital signs before surgery included blood pressures ranging from 118/80 mmHg to 158/84 mmHg and heart rates ranging from 104-124 bpm. A physical exam revealed a soft, non-distended abdomen with tenderness to palpation in all four quadrants.

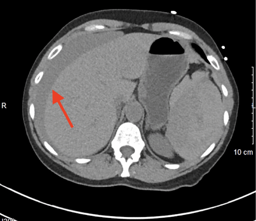
Initial hemoglobin and hematocrit were 9.2 g/dL and 27.5%, respectively, and the WBC was 22,200/mm3. Creatinine was 3.6 mg/dL, and BUN was measured at 44 mg/dL. No prior laboratory values were available for comparison. A non-contrast CT scan of the abdomen and pelvis was obtained due to elevated creatinine, which showed a grade IV splenic rupture according to the American Association for the Surgery of Trauma (AAST) splenic injury scale. The parenchymal hematoma was reported to be 12 × 15 cm with a large halo of blood around the liver (Figure 1). A moderate amount of blood was also evident in the pelvis (Figure 2). Operative management was pursued versus nonoperative means due to the grade of the splenic rupture and the amount of blood in the abdomen.

Figure 1. CT Image Demonstrating Grade IV Splenic Rupture. Published with Permission

12 × 15 cm parenchymal hematoma with large halo of blood around liver (arrow).
12 × 15 cm parenchymal hematoma with large halo of blood around liver (arrow).

Figure 2. CT of Pelvis Demonstrating Free Blood Around Rectum (arrow). Published with Permission

CT of Pelvis Demonstrating Free Blood Around Rectum (arrow).
CT of Pelvis Demonstrating Free Blood Around Rectum (arrow).

Upon splenectomy, the splenic capsule was found to be avulsed with a grapefruit-sized clot emanating from the splenic hilum. The patient tolerated the procedure well, and recovery was uneventful. No apparent adhesions were noted in the abdomen during the operation. Additionally, there were no hematomas or perforations upon inspection of the colon.

Discussion

The first case of splenic perforation following colonoscopy was reported in 1974 by Wherry and Zehner.3 It has an incidence of approximately 0.0005%-0.017% and a mortality rate of 5%. These statistics are likely higher in reality but are under-reported due to reluctance to publish morbidity information, publication bias, absence of specific code for this complication, and the fact that the majority of these cases may remain undetected.2 The most common presenting symptoms consist of abdominal pain (46.1%), left shoulder pain (40.91%), dizziness/lightheadedness (7.79%), and syncope/collapse (5.19%).4,5 Our patient presented with diffuse abdominal pain. This pain was further supported by the objective findings of hypertension, 148/71mm Hg, and tachycardia, 124 bpm. Anemia and leukocytosis are the most common presenting laboratory abnormalities.6 Our patient had hemoglobin and hematocrit of 9.2 and 27.5%, respectively; unfortunately, no baseline hemoglobin levels were available. Leukocytosis was present at 22,200. A diagnosis of splenic rupture is confirmed with CT imaging of the abdomen.

Differential diagnosis for abdominal pain following a recent colonoscopy should include perforation versus post-polypectomy syndrome versus splenic rupture. Perforation was quickly eliminated from the differential due to a lack of free air in the abdomen. Additionally, post-polypectomy syndrome was eliminated from the differential due to the normal-appearing colon, as evidenced by the CT scan.

A ruptured spleen can be managed nonoperatively with medicine or operatively with splenectomy/splenic embolization. Nonoperative treatment consists of continuous monitoring of hemodynamic stability in the intensive care unit and blood transfusion, along with possible splenic artery embolization. Failure rates of nonoperative management have been reported at 10%.2 Predictors of failed nonoperative management include grade II splenic laceration or above, old age, preexisting splenic disease, hemodynamic instability, one unit of blood transfusion, and hemoperitoneum.7 In this presenting case, surgical management was chosen in light of the high-grade splenic rupture. Following operative management, the patient was adequately vaccinated within an appropriate timeline. These vaccinations included the 13-valent and 23-valent pneumococcal vaccines, the H. influenzae type B vaccine, and the quadrivalent and monovalent meningococcal vaccinations.

The mechanism of splenic rupture following endoscopy is not fully understood, but several theories exist. The most common explanation consists of excessive traction from the splenocolic ligament during navigation of the colon with the colonoscope, thereby pulling the splenic capsule off the spleen, causing avulsion and laceration.8 Theories regarding anatomic variations of the splenocolic ligament have also been presented, indicating that a small splenocolic ligament makes splenic rupture more likely. Furthermore, excessive external pressure on the left hypochondrium during the procedure can stimulate blunt trauma.9 Any prior abdominal surgery or infection which increases adhesions and limits mobility of the spleen also places the patient at increased risk for splenic rupture.10 In this case, the patient had two prior abdominal surgeries and a recent bout of diverticulitis which could have contributed to the adverse event considering the presence of adhesions.

Splenic injuries can be a fatal complication of colonoscopies that, although rare, are likely more common than the literature shows, given the presence of under-reporting.2 Regardless, the colonoscopist should take special precautions to avoid excessive traction while navigating the splenic flexure. In addition, the emergency department physician should have a high index of suspicion of possible splenic rupture if a patient presents with abdominal pain following a recent colonoscopy.

Conclusion

Splenic rupture is a severe complication of any colonoscopy. If perforation and post-polypectomy syndrome have been ruled out, the emergency physician and/or surgeon should have a high index of suspicion for splenic rupture. Although the occurrence is rare, this case reminds physicians to have a suspicion of splenic trauma in patients presenting with abdominal pain following uncomplicated or complicated colonoscopies.

Lessons Learned

Splenic rupture is an often-overlooked complication of colonoscopy that can have fatal consequences even in uncomplicated colonoscopies. The most likely mechanism includes the avulsion of the splenic capsule due to excessive traction on the splenocolic ligament during navigation of the colon. If hemodynamically stable, treatment is based on the grade of splenic rupture, which determines if the spleen is salvageable. Urgent splenectomy is necessary if the patient is hemodynamically unstable.

Authors

Foster RT; Wallace DR; Majors J

Author Affiliations

Department of Surgery, Mercer University School of Medicine, Columbus, GA 31901

Corresponding Author

Ryan T. Foster, LT, MC, USN
Walter Reed National Military Medical Center
Email: ryantfoster23@gmail.com

Disclosure Statement

The authors have no conflicts of interest to disclose.

Funding/Support

The authors have no relevant financial relationships or in-kind support to disclose.

Received: October 26, 2020
Revision received: November 29, 2020
Accepted: February 1, 2021

References

  1. Vijan S, Inadomi J, Hayward RA, Hofer TP, Fendrick AM. Projections of demand and capacity for colonoscopy related to increasing rates of colorectal cancer screening in the United States. Aliment Pharmacol Ther. 2004;20(5):507-515. doi:10.1111/j.1365-2036.2004.01960.x
  2. Ha JF, Minchin D. Splenic injury in colonoscopy: a review. Int J Surg. 2009;7(5):424-427. doi:10.1016/j.ijsu.2009.07.010
  3. Wherry DC, Zehner H Jr. Colonoscopy-fiberoptic endoscopic approach to the colon and polypectomy. Med Ann Dist Columbia. 1974;43(4):189-192.
  4. Jehangir A, Poudel DR, Masand-Rai A, Donato A. A systematic review of splenic injuries during colonoscopies: Evolving trends in presentation and management. Int J Surg. 2016;33 Pt A:55-59. doi:10.1016/j.ijsu.2016.07.067
  5. Doctor NM, Monteleone F, Zarmakoupis C, Khalife M. Splenic injury as a complication of colonoscopy and polypectomy. Report of a case and review of the literature. Dis Colon Rectum. 1987;30(12):967-968. doi:10.1007/BF02554287
  6. Pasumarthy L, Srour J. Splenic Perforation Following Colonoscopy. Gastroenterology Res. 2009;2(3):175-177. doi:10.4021/gr2009.05.1292
  7. Shankar S, Rowe S. Splenic injury after colonoscopy: case report and review of literature. Ochsner J. 2011;11(3):276-281.
  8. Taylor FC, Frankl HD, Riemer KD. Late presentation of splenic trauma after routine colonoscopy. Am J Gastroenterol. 1989;84(4):442-443.
  9. Lalor PF, Mann BD. Splenic rupture after colonoscopy. JSLS. 2007;11(1):151-156.
  10. Espinal EA, Hoak T, Porter JA, Slezak FA. Splenic rupture from colonoscopy. A report of two cases and review of the literature. Surg Endosc. 1997;11(1):71-73. doi:10.1007/s004649900298