Unsupported Browser
The American College of Surgeons website is not compatible with Internet Explorer 11, IE 11. For the best experience please update your browser.
Menu
Become a member and receive career-enhancing benefits

Our top priority is providing value to members. Your Member Services team is here to ensure you maximize your ACS member benefits, participate in College activities, and engage with your ACS colleagues. It's all here.

Become a Member
Become a member and receive career-enhancing benefits

Our top priority is providing value to members. Your Member Services team is here to ensure you maximize your ACS member benefits, participate in College activities, and engage with your ACS colleagues. It's all here.

Become a Member
ACS
ACS Case Reviews

Pseudoangiomatous Spindle Cell Lipoma: A Rare Variant of Lipoma Presenting as a Perineal Hernia

May 8, 2023

Abstract

Background

A 66-year-old male presented with swelling of the right gluteal area that was found to be consistent with a pseudoangiomatous spindle cell lipoma (PASCL) on surgical pathology.

Summary

Our 66-year-old obese male patient presented to the general outpatient surgery clinical referred for swelling of the right gluteal area. There was a 10 × 12 cm swelling soft in consistency on physical exam, clinically consistent with a lipoma. With reduced swelling, movement was noted in the abdomen, and the patient described a sensation of abdominal pressure. Ultrasound showed a hypoechogenic area in the gluteal fold region, which appeared to herniate through a pelvic wall defect. CT scan of the pelvis showed a large, well-circumscribed oval mass in the deep pelvis, posterior and lateral to the rectosigmoid, which extended into the right ischiorectal fossa. The patient underwent surgical resection of the mass, and the final surgical pathology report showed pseudoangiomatous spindle cell lipoma.

Conclusion

PASCL is a very rare subtype of spindle cell lipoma. We present a case of a 66-year-old male with an unusual physical exam and a large pelvic mass, which turned out to be a PASCL. This is the first reported case of PASCL found in the pelvis. The limited number of reported PASCL cases highlights the lack of understanding of these rare tumors and the need for further investigation.

Key Words

pseudoangiomatous spindle cell lipoma; lipoma


Case Description

Soft tissue swelling is a common clinical presentation of many patients referred to general surgery clinics. Lipomas are one of the most common causes of non-traumatic soft tissue swelling, typically presenting as benign subcutaneous lesions that are painless, mobile, and soft to the touch. Most lipomas are less than 5 cm in size and are commonly located along the trunk and extremities. Treatment of symptomatic lipomas involves surgical removal of the fat cells and fibrous capsule and is typically performed due to pain, cosmetic preference, or concerns about diagnosis. An accurate diagnosis is typically achieved via clinical examination; however, an ultrasound examination can help distinguish a lipoma from an epidermoid or ganglion cyst.1 A malignant liposarcoma should be considered in the differential when a soft tissue mass is greater than 5 cm, increasing in size, painful, or deep to the muscle fascia.2 In situations of diagnostic uncertainty, differentiation between a lipoma and liposarcoma can be determined preoperatively via biopsy, preferably core needle biopsy, due to high diagnostic accuracy and low incidence of complication.3 Herein, we discuss a case in which a patient who presented with soft tissue swelling in the gluteal area was eventually diagnosed with a rare pseudoangiomatous spindle cell lipoma.

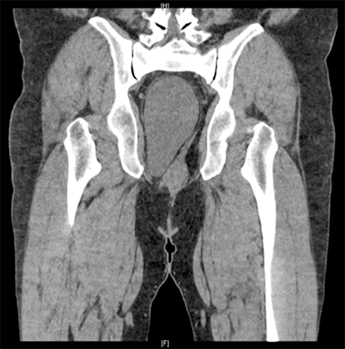
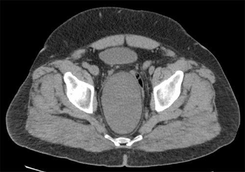
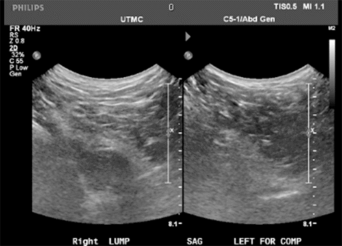
The patient is a 66-year-old White male with a medical history of morbid obesity who presented to the outpatient surgery clinic with swelling to the right gluteal area. He demonstrated a 10 × 12 cm soft tissue mass on physical examination along the right inferior gluteal fold. Though the lesion was clinically consistent with a lipoma, applying gentle pressure to the mass resulted in referred pain and pressure within the abdomen. There was no cough impulse, but movement was noticed in the abdomen when reducing the swelling. The differential diagnosis was expanded to include a soft tissue lesion extending from the pelvis and/or a hernia defect. Given the patient's habitus and equivocal physical exam findings, an ultrasound was performed, which noted a hypoechogenic area in the gluteal fold region appearing to herniate through a defect with coughing followed by spontaneous reduction. (Figure 1A) The contralateral region was imaged without similar findings, raising the suspicion of a gluteal hernia versus a gluteal lipoma. Due to poor compliance, the patient was initially lost to follow-up but returned to the clinic within a year with complaints of a symptomatic increase in the size of the swelling. A CT scan of the pelvis demonstrated a large well-circumscribed oval mass measuring 11.9 × 7.5 × 14.9 cm in the deep pelvis posterior and lateral to the rectosigmoid colon extending into the ischiorectal fossa on the right side. The internal density of the mass was 17 Hounsfield units. It appeared to be a cystic fluid collection with  possible blood or proteinaceous debris (Figure 1B and Figure 1C).

Figure 1. Ultrasound Imaging. Published with Permission

A) Hypoechogenic area in gluteal fold region, which appeared to herniate through defect with coughing and reduction.
A) Hypoechogenic area in gluteal fold region, which appeared to herniate through defect with coughing and reduction.
B) CT imaging of pelvis showed large, well-circumscribed oval mass in deep pelvis posterior and lateral to rectosigmoid, which extended into right ischiorectal fossa. Measured 11.9 × 7.5 × 14.9 cm. Internal density of mass was 17 Hounsfield units.
B) CT imaging of pelvis showed large, well-circumscribed oval mass in deep pelvis posterior and lateral to rectosigmoid, which extended into right ischiorectal fossa. Measured 11.9 × 7.5 × 14.9 cm. Internal density of mass was 17 Hounsfield units.
C) CT imaging of pelvis showed large, well-circumscribed oval mass in deep pelvis posterior and lateral to rectosigmoid, which extended into right ischiorectal fossa. Measured 11.9 × 7.5 × 14.9 cm. Internal density of mass was 17 Hounsfield units.
C) CT imaging of pelvis showed large, well-circumscribed oval mass in deep pelvis posterior and lateral to rectosigmoid, which extended into right ischiorectal fossa. Measured 11.9 × 7.5 × 14.9 cm. Internal density of mass was 17 Hounsfield units.

Preoperatively a colonoscopy was performed, which did not identify any external compression of the colon due to the mass. Given the growth pattern, the patient's symptomatology, and the concern for possible malignancy, the patient was taken to the operating room for an exploratory laparotomy and excision of the pelvic mass two years after initial presentation. A right perineal incision was made overlying the palpable gluteal mass. The lesion was excised, and on more in-depth dissection, the distal end of the mass was felt to be herniating through the pelvic floor. Dissection was completed above and below the pelvic floor, and the mass was excised in toto with the capsule intact (Figure 2). Intraoperative findings included a pelvic mass adjacent to the sigmoid colon herniating through the pelvic floor and a right gluteal mass. A rigid proctoscope was done to confirm no injury to the rectum. The pelvic floor was then repaired along with the closure of the abdomen.

Figure 2. Gross Surgical Specimen Removed in toto with Intact Capsule. Published with Permission

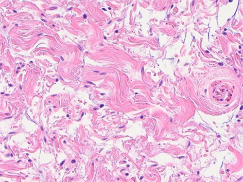
The final pathology report was consistent with a pseudoangiomatous spindle cell lipoma. Grossly, the soft tissue mass was red to yellow in color, well-circumscribed, and measured 19.0 × 9.6 × 3.3 cm. Upon palpation, the mass appears gelatinous with central firm nodular areas. Serial sectioning revealed a pink-tan heterogenous and multilobulated cut surface with areas of myxoid change and cystic degeneration. Focal areas of hemorrhage were also noted. The impression of firm pink to tan nodules centrally was confirmed (Figure 3).

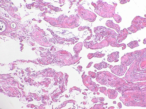
Figure 3. Surgical Pathology. Published With Permission

A) 2x: Tumor contained broad collagenous areas with interspersed benign lipomatous elements
A) 2x: Tumor contained broad collagenous areas with interspersed benign lipomatous elements
B) 4x: Tumor also demonstrated islands of collagenous and vascular stroma surrounded by pseudovascular channels
B) 4x: Tumor also demonstrated islands of collagenous and vascular stroma surrounded by pseudovascular channels
C) 10x: Ropey collagen was present diffusely throughout tumor, distinct pathologic finding in spindle cell lipomas
C) 10x: Ropey collagen was present diffusely throughout tumor, distinct pathologic finding in spindle cell lipomas
D) 20x: Bland-appearing spindle cells in background of ropey collagen
D) 20x: Bland-appearing spindle cells in background of ropey collagen

Discussion

Spindle cell lipomas are benign neoplasms of the subcutaneous adipose tissue. Subtypes of spindle cell lipomas include fibroblastic, myxoid, low-fat, fat-rich, and pseudoangiomatous types.4 Grossly, these lesions resemble a typical soft tissue lipoma and are often wrapped in a clear fibrous capsule. Histopathological evaluation of these rare tumors includes identifying mild spindle cells, large amounts of rope-like collagen fibers, and adipocytes.

The pseudoangiomatous variant of spindle cell lipomas (PASCL) is rare. Hawley et al. first described these lesions in 1994 while presenting the case reports of five adult middle-aged male patients with similar soft tissue lesions. Approximately 22 case reports have been published thus far.4,6,8 While these lesions have mostly been found in the subcutaneous regions of the neck and shoulders, they have been reported to occur along the cheek, chest, chin, elbow, finger, subscapular area, and thumb.5,8

These lesions were initially categorized as vascular lesions due to the irregularly branching sinusoidal channels, which divide the tumor into lobules similar to vascular structures.9,10 Additional studies could not demonstrate that the cells lining these spaces immunoexpressed endothelial markers, such as CD31, CD34, or Factor VIII-related antigens. Hawley proposed the myxoid degeneration of stroma as the likely origin of these unique neoplasms.5 More recent studies have shown CD34 expression in these lesions, making the categorization of PASCL a topic of debate.6,9‒11 However, recent work by Mark et al. demonstrated that PASCL does not show reactivity with specific endothelial immunomarkers: CD31, D2-40, FLi-1, and ERG.7 This led the group to support Hawley's initial theory of stromal degeneration as the origin of PASCL. Due to these tumors' rarity, the genetic information of PASCL has only been collected in two cases. In both cases, fluorescence in situ hybridization (FISH) was used to demonstrate the loss of chromosome 13q material in PASCL.4,11

To our knowledge, this case is unique because it is the first case of PASCL found in the pelvis. It also highlights how little is currently known about PASCL. Opportunities for an investigation into the origin of this tumor have been minimal.4

Conclusion

Pseudoangiomatous spindle cell lipoma is a very rare subtype of spindle cell lipoma. We present a case of a 66-year-old male with an unusual physical exam and a large pelvic mass, which proved to be a pseudoangiomatous spindle cell lipoma on final pathology. The limited number of reported PASCL cases highlights the lack of understanding of these rare tumors and the need for further investigation.

Lessons Learned

There are many subtypes of spindle cell lipoma, including pseudoangiomatous spindle cell lipoma. This tumor was named after its irregularly branching sinusoidal channels, which appear similar to vascular structures. This tumor's true origin is still debated, with the current leading theory being that it results from stromal degeneration.

Authors

Clapp Ma; Dominiak NRb; Schroeder Jerew Kb; Niranjan Sc; Sutton Ja; Baskara AKa

Author Affiliations

  1. Department of Surgery, University of Toledo Medical Center, Toledo, OH 43614
  2. Department of Pathology, University of Toledo Medical Center, Toledo, OH 43614
  3. Department of Family Medicine and Bariatric Medicine, University of Toledo Medical Center, Toledo, OH 43623

Corresponding Author

McKenzie Clapp, MD
Department of Surgery
University of Toledo Medical Center
3000 Arlington Avenue
Toledo, OH 43615
Email: mckenzie.clapp@rockets.utoledo.edu

Disclosure Statement

The authors have no conflicts of interest to disclose.

Funding/Support

The authors have no relevant financial relationships or in-kind support to disclose.

Received: October 14, 2020
Revision received: December 14, 2020
Accepted: February 1, 2021

References

  1. Rahmani G, McCarthy P, Bergin D. The diagnostic accuracy of ultrasonography for soft tissue lipomas: a systematic review. Acta Radiol Open. 2017;6(6):2058460117716704. Published 2017 Jun 30. doi:10.1177/2058460117716704
  2. Sinha S, Peach AH. Diagnosis and management of soft tissue sarcoma. BMJ. 2010;341:c7170. Published 2010 Dec 29. doi:10.1136/bmj.c7170
  3. Strauss DC, Qureshi YA, Hayes AJ, Thway K, Fisher C, Thomas JM. The role of core needle biopsy in the diagnosis of suspected soft tissue tumours. J Surg Oncol. 2010;102(5):523-529. doi:10.1002/jso.21600
  4. Chen S, Huang H, He S, et al. Spindle cell lipoma: clinicopathologic characterization of 40 cases. Int J Clin Exp Pathol. 2019;12(7):2613-2621. Published 2019 Jul 1.
  5. Hawley IC, Krausz T, Evans DJ, Fletcher CD. Spindle cell lipoma--a pseudoangiomatous variant. Histopathology. 1994;24(6):565-569. doi:10.1111/j.1365-2559.1994.tb00577.x
  6. Bhat A, Vijaya C, Rao SB. Pseudoangiomatous variant of spindle cell lipoma: Report of a rare case. Indian J Pathol Microbiol. 2016;59(3):376-378. doi:10.4103/0377-4929.188142
  7. Marks E, Amin SM, Xia L, Guitart J, Laskin W. Pseudoangiomatous Spindle Cell Lipoma: a distinct subtype of spindle cell lipoma. Pathol Int. 2017;67(3):176-178. doi:10.1111/pin.12497
  8. Panagopoulos I, Gorunova L, Lobmaier I, Andersen HK, Bjerkehagen B, Heim S. Cytogenetic Analysis of a Pseudoangiomatous Pleomorphic/Spindle Cell Lipoma. Anticancer Res. 2017;37(5):2219-2223. doi:10.21873/anticanres.11557
  9. Ragsdale BD. Tumors with fatty, muscular, osseous, and/or cartilaginous differentiation. In: Elder DE, Elenitsas R, Johnson BL, Murphy GF, Xu X, editors. Lever's Histopathology of the Skin. 10th ed. Philadelphia: Lippincott Williams and Wilkins; 2009. p. 1061-1071
  10. Weiss SW, Goldblum JR: Benign tumors of peripheral nerves. In:Weiss SW and Goldblum JR, editors. Enzinger and Weiss's Soft Tissue Tumors. 5th ed. Philadelphia: Mosby Elsevier; 2008. p. 825-902
  11. Zouaidia F, Coindre JM. Le lipome à cellules fusiformes pseudoangiomateux : à propos de six cas [Pseudoangiomatous spindle cell lipoma: about six cases]. Ann Pathol. 2011;31(4):242-245. doi:10.1016/j.annpat.2011.04.003
  12. Forcucci JA, Sugianto JZ, Wolff DJ, Maize JC Sr, Ralston JS. "Low-Fat" Pseudoangiomatous Spindle Cell Lipoma: A Rare Variant With Loss of 13q14 Region. Am J Dermatopathol. 2015;37(12):920-923. doi:10.1097/DAD.0000000000000286