Unsupported Browser
The American College of Surgeons website is not compatible with Internet Explorer 11, IE 11. For the best experience please update your browser.
Menu
Become a member and receive career-enhancing benefits

Our top priority is providing value to members. Your Member Services team is here to ensure you maximize your ACS member benefits, participate in College activities, and engage with your ACS colleagues. It's all here.

Become a Member
Become a member and receive career-enhancing benefits

Our top priority is providing value to members. Your Member Services team is here to ensure you maximize your ACS member benefits, participate in College activities, and engage with your ACS colleagues. It's all here.

Become a Member
ACS
ACS Case Reviews

Perforated Umbilical Littre Hernia with Familial Component

May 8, 2023

Abstract

Background

A 67-year-old male patient presented with abdominal pain and was found to have a perforated Meckel's diverticulum in an umbilical hernia consistent with a Littre's hernia. The patient's son had a bleeding Meckel's diverticulum two years prior that underwent surgical intervention.

Summary

Our patient presented to the hospital with worsening abdominal pain, nausea, and vomiting over the course of one day. The patient had been doing heavy yard work at his home the previous day when he suddenly developed abdominal pain and a new bulge in his abdomen. The patient was found to have free air on his CT scan and a WBC of 20,000. The patient was taken to the operating room and found to have a perforated Meckel's diverticulum in his umbilical hernia sac 90 cm from his ileocecal valve. The patient underwent small bowel resection with side-to-side anastomosis and primary repair of his umbilical hernia. The patient's son had undergone resection of a Meckel's diverticulum two years prior due to bleeding complications from the diverticulum.

Conclusion

Meckel's diverticulum is the most common congenital malformation of the gastrointestinal tract. It rarely presents as a perforated umbilical hernia, known as a Littre hernia. Meckel's diverticulum is not thought to have a familial origin and rarely ever presents with a familial component. More research is needed to study this possible genetic component further. To our knowledge, this is one of the very few cases ever discussed of a Meckel's diverticulum in an umbilical hernia with perforation (Littre hernia) with a familial component.

Key Words

Meckel's diverticulum; Littre hernia; perforated umbilical hernia


Case Description

A 67-year-old man presented to the emergency department with the chief complaint of worsening abdominal pain, nausea, and vomiting over the course of one day. The patient reported some mild heavy lifting the day before but had minimal pain, with a new bulge noted near his umbilicus. On physical exam, the patient was found to have a very distended abdomen with focal tenderness in the periumbilical region. The patient's CT scan showed a large amount of free air with a small umbilical hernia. Before taking the patient to the OR, he asked, "Could I have a Meckel's diverticulum causing my problems? My son had this same surgery performed two years ago. He had a bleeding Meckel's diverticulum."

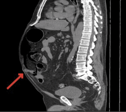
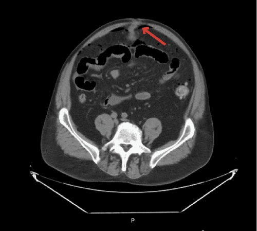
Figure 1. CT Scans Demonstrating Meckel's Diverticulum. Published with Permission

A) Abdomen axial view with Meckel’s diverticulum present in hernia sac protruding through fascia (arrow)
A) Abdomen axial view with Meckel’s diverticulum present in hernia sac protruding through fascia (arrow)
B) sagittal view with Meckel’s diverticulum present in umbilical hernia (arrow)
B) sagittal view with Meckel’s diverticulum present in umbilical hernia (arrow)

The patient was taken to the operating room and underwent laparotomy. A midline incision was performed, and a perforated Meckel's diverticulum was found in his supraumbilical hernia sac. The Meckel's diverticulum measured 3.5 × 2.0 × 2.0 cm and had a small 1 cm perforation at the tip of the appendage. The diverticulum was approximately 90 cm from the ileocecal valve and was resected using a GIA stapler. The bowel underwent a side-to-side anastomosis, and the umbilical hernia was repaired in the primary fashion.

Figure 2. Intraoperative Photos. Published with Permission

A) Intraoperative view of perforated Meckel’s diverticulum with forceps pointing out perforated tip.
A) Intraoperative view of perforated Meckel’s diverticulum with forceps pointing out perforated tip.
B) resected ileum with Meckel’s diverticulum present.
B) resected ileum with Meckel’s diverticulum present.

The patient had no postoperative complications and was discharged home on postoperative day 5. Meckel's diverticulum pathology showed ectopic gastric mucosa with acute serositis. On postoperative follow-up, the patient had total pain relief and resumed his regular home routine.

Discussion

A Littre hernia is defined as a Meckel's diverticulum that protrudes through a potential space in the abdomen. Littre hernias are very rare and have only been discussed in the literature less than 50 times, to our knowledge, in the last 300 years since their discovery.8 Alexis de Littre first discovered this type of hernia when he found an ileal diverticulum protruding into an inguinal hernia in 1700.9 Fifty percent of Littre hernias present in the inguinal region, 20% in the femoral region, and 20% in the umbilical region.6,7 Other places of presentation include ventral and incisional hernias. There are very few reports of a perforated Littre hernia in the literature.

A Meckel's diverticulum is a true diverticulum located on the antimesenteric border of the terminal ileum. Johann Friedrich Meckel first described the diverticulum's anatomy and embryology in 1809. Classically, we describe Meckel's diverticulum with the rule of twos: two percent of the population, male-to-female ratio of 2:1, two types of mucosa (gastric versus pancreatic), and generally presents before age two with a diverticulum that measures two inches in length.4,5 The diverticulum in adults is usually less than 100 cm (2 ft) from the ileocecal valve. Most patients go their entire life with no significant issues but can present with various clinical findings, including gastrointestinal bleeding, Meckel's diverticulitis, bowel obstruction, intussusception, or perforation.9 The management of a Meckel's diverticulum depends on the presentation of the patient and whether the patient is symptomatic. Treatment of a symptomatic Meckel's diverticulum requires surgical resection of the bowel, while asymptomatic treatment varies throughout the literature. Symptomatic management options include diverticulectomy versus surgical resection.3 Surgical resection is recommended if there is bowel wall edema, inflammation involving the base of the diverticulum, or perforation, as was the case with our patient. We recommend bowel resection with primary anastomosis in the setting of any symptomatic Meckel's diverticulum, especially when found perforated in hernias. We also recommend repair of the hernia at that time, primarily or with a form of mesh, depending on the presentation of any compromised bowel per the surgeon's recommendations.

There have been few case reports of familial hereditary aspects of Meckel's diverticulum. The rare reports that have noted this finding showed an autosomal dominant inheritance, but no genes have been identified.1,2 We present another case with a father/son finding of symptomatic Meckel's diverticulum.

Conclusion

Meckel's diverticulum is the most common congenital malformation of the gastrointestinal tract.3 It rarely presents as a perforated umbilical hernia known as Littre's hernia. Meckel's diverticulum is not thought to have a familial origin and rarely presents with a familial component in the same family. More research is needed to study this possible genetic component further. To our knowledge, this is one of the very few cases ever discussed of a Meckel's diverticulum in an umbilical hernia with perforation (Littre hernia) with a familial component.

Lessons Learned

Surgeons must have a broad understanding of all possible differentials when patients present to the hospital with free air. They must be able to adjust when presented with a finding that is rarely described or seen, such as a Littre's hernia.

Authors

Bishop MAa; Palakodeti Sb

Author Affiliations

  1. Department of Surgery, Mercy St. Vincent Medical Center, Toledo, OH 43608
  2. The Toledo Clinic, Toledo, OH 43623

Corresponding Author

Michael A. Bishop, DO
Department of Surgery
Mercy St. Vincent Medical Center
2213 Cherry Street, ACC 1st Floor
Toledo, OH 43608
Email: mbishop1628@gmail.com

Disclosure Statement

The authors have no conflicts of interest to disclose.

Funding/Support

The authors have no relevant financial relationships or in-kind support to disclose.

Received: September 10, 2020
Revision received: November 29, 2020
Accepted: December 7, 2020

 

References

  1. Morrison PJ, Spence RAJ. Meckel's diverticulum. In: Genetics for surgeons, London: Remedica; 2005.
  2. Passarge E, Stevenson RE. Meckel's diverticulum. In: Human malformations and related anomalies, 2nd, Stevenson RE, Hall JE (Eds), Oxford University Press, Oxford 2006. p.1111.
  3. Sagar J, Kumar V, Shah DK. Meckel's diverticulum: a systematic review [published correction appears in J R Soc Med. 2007 Feb;100(2):69]. J R Soc Med. 2006;99(10):501-505. doi:10.1177/014107680609901011
  4. Yahchouchy EK, Marano AF, Etienne JC, Fingerhut AL. Meckel's diverticulum. J Am Coll Surg. 2001;192(5):658-662. doi:10.1016/s1072-7515(01)00817-1
  5. Soltero MJ, Bill AH. The natural history of Meckel's Diverticulum and its relation to incidental removal. A study of 202 cases of diseased Meckel's Diverticulum found in King County, Washington, over a fifteen year period. Am J Surg. 1976;132(2):168-173. doi:10.1016/0002-9610(76)90043-x
  6. Yagmur Y, Akbulut S, Can MA. Gastrointestinal perforation due to incarcerated Meckel's diverticulum in right femoral canal. World J Clin Cases. 2014;2(6):232-234. doi:10.12998/wjcc.v2.i6.232
  7. Castleden WM. Meckel's diverticulum in an umbilical hernia. Br J Surg. 1970;57(12):932-934. doi:10.1002/bjs.1800571216
  8. Perlman JA, Hoover HC, Safer PK. Femoral hernia with strangulated Meckel's diverticulum (Littre's hernia). Am J Surg. 1980;139(2):286-289. doi:10.1016/0002-9610(80)90275-5
  9. Skandalakis PN, Zoras O, Skandalakis JE, Mirilas P. Littre hernia: surgical anatomy, embryology, and technique of repair. Am Surg. 2006;72(3):238-243.