Unsupported Browser
The American College of Surgeons website is not compatible with Internet Explorer 11, IE 11. For the best experience please update your browser.
Menu
Become a member and receive career-enhancing benefits

Our top priority is providing value to members. Your Member Services team is here to ensure you maximize your ACS member benefits, participate in College activities, and engage with your ACS colleagues. It's all here.

Become a Member
Become a member and receive career-enhancing benefits

Our top priority is providing value to members. Your Member Services team is here to ensure you maximize your ACS member benefits, participate in College activities, and engage with your ACS colleagues. It's all here.

Become a Member
ACS
ACS Case Reviews

Endoscopic Ultrasound-Guided Drainage of a Complex Subphrenic Postoperative Collection

May 8, 2023

Abstract

Background

Postoperative collections are a recognized source of increased morbidity and mortality following abdominal surgery. Image-guided percutaneous drainage is traditionally the preferred technique to drain intraabdominal fluid collections. However, technical feasibility and anatomical access may sometimes limit percutaneous drainage as a treatment modality. Endoscopic ultrasound (EUS) has emerged as an important treatment option for postoperative collections that failed previous drainage attempts.

Summary

An otherwise well, 53-year-old female presented to our hospital for an elective laparoscopic right hemihepatectomy for metachronous colorectal liver metastasis (CRLM). This was complicated by a large right subcapsular collection. She underwent attempted percutaneous drainage, which unfortunately failed secondary to patient discomfort. The microbiology, culture sensitivity specimen from the subhepatic space collection aspirate grew Enterococcus faecalis. Further percutaneous attempts were discussed with the interventional radiologist, who considered the collection inaccessible. On day 20 of the admission, due to persisting fevers, the subhepatic space collection was drained by endoscopic ultrasound, and a 4 cm pigtail catheter was inserted via the duodenum. The abscess cavity was noted to be approximately 4 cm from the duodenum and required transhepatic access. The procedure was uncomplicated, and subsequent imaging confirmed adequate positioning and reduction of the collection. The patient improved clinically, her closed suction drain was removed, and she was discharged to the hospital in the home program for outpatient intravenous antibiotics. She remains well on follow-up.

Conclusion

To our knowledge, this is the first report in the literature describing the use of EUS to drain a right subphrenic abscess. Endoscopic transmural drainage of postoperative collections is a useful alternative to consider when percutaneous drainage fails and may avoid the need for morbid and complex revisional surgery in centers with sufficient endoscopic expertise.

Key Words

subphrenic abscess; endoscopic ultrasound drainage; hemihepatectomy; postoperative collection


Case Description

An otherwise well, 53-year-old female presented to our hospital for an elective laparoscopic right hemihepatectomy for metachronous colorectal liver metastasis (CRLM). Her past history was significant for a laparoscopic-assisted anterior resection of a T4N2 adenocarcinoma removed 11 months prior; following that, she received six months of adjuvant chemotherapy.

At surgery, intraoperative ultrasound confirmed the presence of two lesions in segments V and VII/VIII, with no obvious peritoneal or nodal disease evident. Her procedure was completed laparoscopically, a closed suction drain was placed, and the patient was sent to the intensive care unit post-procedure as per unit protocol.

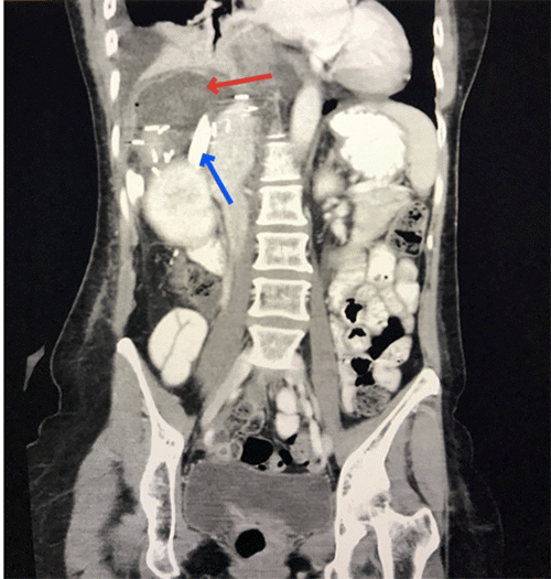
She was discharged to the ward on day 2. On day 3, the surgeon on the morning ward round noted 490 ml of intermittent bilious output from her drain as her synthetic liver function deteriorated. Endoscopic retrograde cholangiopancreatography was considered, and an expectant approach was adopted as the bile leak did not persist. Her liver function improved to baseline during her admission, but on day 12, in the setting of increasing fever and inflammatory markers, a CT of the abdomen and pelvis was performed (Figure 1). This demonstrated a 7.1 cm subcapsular collection with the drain tip positioned at its inferior aspect. She was placed on intravenous antibiotics and underwent an attempted percutaneous catheter (14 Fr Navarre) drainage of the collection (Figure 2). The procedure was completed successfully under adequate sedation. Unfortunately, however, the patient experienced severe pain refractory to analgesia during recovery.

Figure 1. Coronal View CT Abdomen and Pelvis Demonstrating Right Subphrenic Collection. Published with Permission

Figure 2. Fluoroscopic Image Demonstrating Radiological Drainage. Published with Permission

Following a discussion with the treating clinician and without practical alternatives, the drain was removed shortly after that. The microbiology, culture sensitivity specimen from the subhepatic space collection aspirate grew Enterococcus faecalis. Further percutaneous attempts were discussed with the interventional radiologist, who considered the collection inaccessible. On day 20 of the admission, due to persisting fevers, the subhepatic space collection was drained by endoscopic ultrasound, and a 4 cm pigtail catheter was inserted via the duodenum. The abscess cavity was noted to be approximately 4 cm from the duodenum and required transhepatic access. The procedure was uncomplicated, and subsequent imaging confirmed adequate positioning and reduction of the collection (Figure 3). The patient improved clinically, her closed suction drain was removed, and she was discharged to the hospital in the home program for outpatient intravenous antibiotics. She remains well on follow-up.

Figure 3. CT Abdomen and Pelvis Demonstrating Interval Improvement in Right Subphrenic Collection Post-Endoscopic Drainage with Plastic Stent In-Situ. Published with Permission

Discussion

Postoperative collections are a recognized source of increased morbidity and mortality following abdominal surgery. Traditionally, image-guided percutaneous drainage is the preferred technique used to drain intra-abdominal fluid collections.1 Percutaneous drainage is safe and effective, avoiding general anesthesia and limiting trauma to the surrounding tissues. However, technical feasibility and anatomical access may sometimes limit percutaneous drainage as a treatment modality. Furthermore, the relatively narrow caliber and long length of percutaneous drains may not provide the most favorable fluid dynamics to facilitate prompt and effective drainage.

Experience with EUS-guided drainage of symptomatic pancreatic fluid collections2 has led to the adoption of interventional EUS for collections adjacent to the gastrointestinal tract.3-5 In a small series by Varadarajulu et al.,6 technical and clinically successful drainage was achieved for all patients following EUS-guided drainage of postoperative pancreatic fluid collections. More recently, with increasing expertise and experience, endoscopic ultrasound has emerged as a viable alternative and important treatment option for postoperative collections that failed previous drainage attempts.3 Furthermore, recent comparisons favor endoscopic drainage over surgical and percutaneous approaches, with improved clinical outcomes and significant reductions in disease recurrence.7,8 Endoscopic drainage also remains an attractive option over percutaneous access without needing external drainage and revisional surgery. It allows for internal drainage, debridement, or necrosectomy and a dynamic interface between fluid collections, internal organs, and surrounding vasculature.9,10 Furthermore, internal stent placement facilitates lower rates of additional interventions, infection, and fluid and/or electrolyte losses.7,10

In the literature, postoperative abdominal collections have been accessed successfully from several locations, including the esophagus, rectum, stomach, and duodenum, with high technical and clinical success.4 Experience with endoscopic drainage of peripancreatic fluid collections has led to familiarity and expertise with the transgastric or transduodenal approach. The choice between either approach appears to be related to the collection's location and distance in relation to the gastrointestinal lumen. In our case, the transduodenal approach was elected due to the relative proximity of the subphrenic collection to the duodenum.

Endoscopic drainage of complicated pancreatic and peripancreatic fluid collections is commonly described. Alternatively, endoscopic drainage of postoperative abdominal fluid collections following non-pancreatic surgery is less common, with limited data available. Cases described include those following bariatric, colorectal, gynecological, esophagogastric, hepatic surgery, and orthotopic liver transplantation with excellent technical and clinical outcomes.4,10

Subphenic collections pose a significant challenge to percutaneous drainage, given the proximity to the lung and pleural space. Hemothorax and inadvertent pleural access are the most common complications associated with drainage,11 and empyema is uncommon.3 EUS-guided drainage is potentially a safe and effective therapeutic strategy for drainage of subphrenic collections, providing excellent dynamic anatomical and vascular orientation. Indeed, EUS has been used successfully and safely to drain subphrenic abscesses with a reported clinical and technical success rate of 100%.11,12

Conclusion

Endoscopic transmural drainage is considered a viable therapeutic option for postoperative collections close to the gastrointestinal tract. To our knowledge, this is the first report in the literature describing using EUS to drain a right subphrenic abscess. An additional feature of this report is the location of the collection. Indeed, in the largest series of patients undergoing endoscopic drainage of postoperative collections, attempts were only made for collections less than 1cm from the gastrointestinal tract.4

Lessons Learned

Endoscopic transmural drainage of postoperative collections is a useful alternative to consider when percutaneous drainage fails and may avoid the need for morbid and complex revisional surgery in centers where sufficient endoscopic expertise exists.

Authors

Ackermann TGa; Croagh DGa,b

Author Affiliations

  1. Department of Upper Gastrointestinal/Hepatobiliary and General Surgery Unit, Monash Health, Melbourne, Victoria, Australia
  2. Department of Surgery, Monash University, Victoria, Australia

Corresponding Author

Travis G. Ackermann, MD
Monash Health Clayton
242-246 Clayton Road
Clayton, VIC 3168
Australia
Phone: + 61 (3) 9594 6207
Email: ackermanntravis@gmail.com

Meeting Presentation

Melbourne GUT Club, Melbourne, Victoria, December 2018
International Liver Laparoscopic Society 2019, Tokyo, Japan, May 2019

Disclosure Statement

The authors have no conflicts of interest to disclose.

Funding/Support

The authors have no relevant financial relationships or in-kind support to disclose.

Received: October 20, 2020
Revision received: December 27, 2020
Accepted: February 1, 2021

References

  1. Jaffe TA, Nelson RC. Image-guided percutaneous drainage: a review. Abdom Radiol (NY). 2016;41(4):629-636. doi:10.1007/s00261-016-0649-3
  2. Seewald S, Groth S, Omar S, et al. Aggressive endoscopic therapy for pancreatic necrosis and pancreatic abscess: a new safe and effective treatment algorithm (videos). Gastrointest Endosc. 2005;62(1):92-100. doi:10.1016/s0016-5107(05)00541-9
  3. Gupta T, Lemmers A, Tan D, Ibrahim M, Le Moine O, Devière J. EUS-guided transmural drainage of postoperative collections. Gastrointest Endosc. 2012;76(6):1259-1265. doi:10.1016/j.gie.2012.07.037
  4. Donatelli G, Fuks D, Cereatti F, et al. Endoscopic transmural management of abdominal fluid collection following gastrointestinal, bariatric, and hepato-bilio-pancreatic surgery. Surg Endosc. 2018;32(5):2281-2287. doi:10.1007/s00464-017-5922-1
  5. Piraka C, Shah RJ, Fukami N, Chathadi KV, Chen YK. EUS-guided transesophageal, transgastric, and transcolonic drainage of intra-abdominal fluid collections and abscesses. Gastrointest Endosc. 2009;70(4):786-792. doi:10.1016/j.gie.2009.04.049
  6. Varadarajulu S, Wilcox CM, Christein JD. EUS-guided therapy for management of peripancreatic fluid collections after distal pancreatectomy in 20 consecutive patients. Gastrointest Endosc. 2011;74(2):418-423. doi:10.1016/j.gie.2011.03.1242
  7. Mohan BP, Shakhatreh M, Dugyala S, et al. EUS versus percutaneous management of postoperative pancreatic fluid collection: A systematic review and meta-analysis. Endosc Ultrasound. 2019;8(5):298-309. doi:10.4103/eus.eus_18_19
  8. Dhindsa BS, Mashiana HS, Dhaliwal A, et al. EUS-guided biliary drainage: A systematic review and meta-analysis. Endosc Ultrasound. 2020;9(2):101-109. doi:10.4103/eus.eus_80_19
  9. Kwon YM, Gerdes H, Schattner MA, et al. Management of peripancreatic fluid collections following partial pancreatectomy: a comparison of percutaneous versus EUS-guided drainage. Surg Endosc. 2013;27(7):2422-2427. doi:10.1007/s00464-012-2752-z
  10. Mudireddy PR, Sethi A, Siddiqui AA, et al. EUS-guided drainage of postsurgical fluid collections using lumen-apposing metal stents: a multicenter study. Gastrointest Endosc. 2018;87(5):1256-1262. doi:10.1016/j.gie.2017.08.011
  11. Seewald S, Brand B, Omar S, Yasuda I, Seitz U, Mendoza G, et al. EUS-guided drainage of subphrenic abscess. Gastrointestinal endoscopy
  12. Morita S, Kamimura K, Suda T, et al.v Endoscopic ultrasound-guided transmural drainage for subphrenic abscess: report of two cases and a literature review. BMC Gastroenterol. 2018;18(1):55. Published 2018 Apr 27. doi:10.1186/s12876-018-0782-2