Unsupported Browser
The American College of Surgeons website is not compatible with Internet Explorer 11, IE 11. For the best experience please update your browser.
Menu
Become a member and receive career-enhancing benefits

Our top priority is providing value to members. Your Member Services team is here to ensure you maximize your ACS member benefits, participate in College activities, and engage with your ACS colleagues. It's all here.

Become a Member
Become a member and receive career-enhancing benefits

Our top priority is providing value to members. Your Member Services team is here to ensure you maximize your ACS member benefits, participate in College activities, and engage with your ACS colleagues. It's all here.

Become a Member
ACS
ACS Case Reviews

Amyand’s Hernia and Complicated Appendicitis Presenting as an Abdominal Wall Abscess

March 8, 2023

Abstract

Background

An Amyand’s hernia is characterized by the presence of a portion of the appendix within the inguinal hernia sac. Its incidence is roughly 1%, and most cases present in children. Acute appendicitis within the hernia sac is extremely rare, with a reported incidence of 0.1%. The evidence regarding the optimal approach for this presentation is limited. The most commonly described treatment includes an open appendectomy with or without a hernia repair. There are no current recommendations regarding managing complicated appendicitis within an Amyand’s hernia. We report the case of an 84-year-old female with an Amyand’s hernia complicated with perforated appendicitis and an abdominal wall abscess managed with percutaneous drainage and laparoscopic appendectomy.

Summary

An 84-year-old female presented to the emergency department with one week of right lower quadrant tenderness, skin changes, and fevers. She was febrile on admission, and a computed tomography of the abdomen and pelvis showed a perforated appendix incarcerated within a right inguinal hernia and an associated abdominal wall abscess. She was admitted to the hospital to undergo successful percutaneous abscess drainage and intravenous antibiotic treatment. After an appropriate clinical improvement, she was discharged to a skilled nursing facility tolerating a regular diet. One month after, the patient returned for an interval laparoscopic appendectomy. Based on a discussion with the patient’s health care proxy and considering the patient’s comorbidities and goals of care, the decision was made not to pursue an inguinal hernia repair. She continues to recover appropriately.

Conclusion

The incidence of complicated appendicitis within an Amyand’s hernia is extremely rare. Most reports in the literature describe a standard open approach for appendectomy; however, laparoscopy is also considered a safe alternative. The decision to perform a hernia repair with mesh must be individualized and consider the patient’s demographic factors and associated morbidity.

Key Words

perforated appendicitis; complicated appendicitis; Amyand’s hernia; abdominal wall abscess


Case Description

Amyand’s hernia is an inguinal hernia containing a portion of the appendix. It has an incidence of 1%, and most cases present in the pediatric population.1 Most commonly, a normal appendix or acute uncomplicated appendicitis is found in the hernial sac. The treatment consists of a hernia repair after successfully reducing the appendix back into the abdominal cavity. The presence of complicated appendicitis inside the hernia is extremely rare, and the optimal management is uncertain. Most case reports describe an open approach to treating complicated Amyand’s hernia.

We describe the case of an 84-year-old female presenting with a right Amyand’s hernia containing a perforated appendix and a large associated abdominal wall abscess. Her medical history includes hypertension, dementia, and no prior surgical interventions. She presented to the emergency department with a one-week course of progressive right lower quadrant pain, nausea, and chills. During the initial evaluation, she was found to be febrile. Her physical exam noted right lower quadrant tenderness with overlying skin erythema and fluctuance to palpation. A computed tomography (CT) of the abdomen and pelvis showed an incarcerated, perforated appendix coursing into the right inguinal canal with an adjacent 6.9 × 4.5 × 7 cm abdominal wall abscess. She was admitted to the hospital for intravenous antibiotic treatment and percutaneous drainage of the abscess by interventional radiology. The abscess culture grew Escherichia coli and Streptococcus anginosus. On hospital day 10, she was discharged to a nursing facility for drain care, where an oral course of amoxicillin-clavulanate for 14 days was completed. Approximately one month later, the patient returned to the operating room for an interval laparoscopic appendectomy. Upon exploration of the abdomen, the appendix was found to be incarcerated within the right inguinal hernia. Once successfully reduced, a standard laparoscopic appendectomy was completed. No fluid collections were evidenced in the abdomen or abdominal wall. A large right inguinal defect was visualized, and the decision to pursue a definitive hernia repair at a later stage was made, given her high risk for mesh infection. Her postoperative course was uneventful. During her postoperative follow-up, her son and heath care proxy decided not to pursue hernioplasty, given her recent functional decline and high morbidity risk.

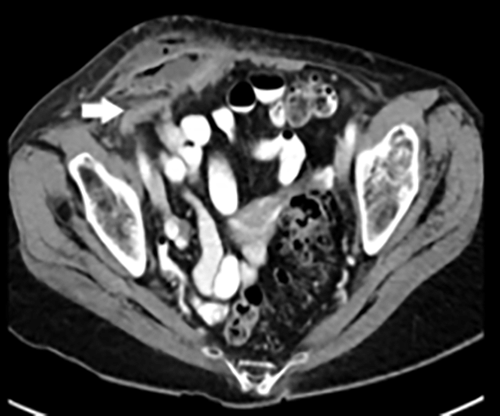
Figure 1. CT Scan of Inflamed Appendix With Tip Inside Right Inguinal Hernia. Published With Permission

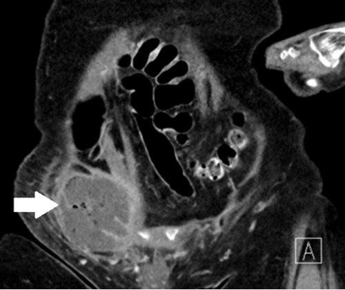
Figure 2. Abdominal Wall Abscess Measuring 6.9 × 4.5 × 7.0 cm. Published With Permission

Figure 3. Intraoperative Image of Incarcerated Appendix Within Right Inguinal Hernia. Published With Permission

Discussion

Claudius Amyand described the first successful appendectomy in October 1735 at St. Georges Hospital, London.2 The eponym of Amyand’s hernia refers to an inguinal hernia that contains a portion of the appendix. This rare condition most commonly presents with a normal appendix; however, multiple stages of acute appendicitis within the inguinal hernia have also been described in the literature. Computer tomography can assess complicated appendicitis involving perforation, necrosis, or an abscess, and the definitive surgical management will vary based on these complications.

In 2008, Losanoff and Basson introduced a classification based on the inflammatory stage of the appendix, including the recommended treatment for each type.3 Type 1 describes a normal appendix and recommends mesh hernioplasty +/- appendectomy. Type 2 will have acute uncomplicated appendiceal inflammation within the hernia sac, and open appendectomy with an open hernia repair without prosthetic mesh placement is advised. Type 3 includes complicated appendicitis (perforation, abscess), and the treatment is aimed at source control of the acute infection. Hernia repair during the first operation is not advised, given the high risk of mesh infection. Type 4 includes other pathologies as the cause of acute appendicitis (i.e., malignancy, diverticulitis), and the treatment should be specific to that disease process.

Laparoscopic appendectomy has become the mainstay treatment for acute appendicitis. In the last decade, nonoperative treatment with antibiotics has been demonstrated to be non-inferior to appendectomy.4,5 Complicated appendicitis is routinely managed with nonoperative treatment, including abscess drainage when indicated. The decision to perform an interval appendectomy must be based on the patient’s age and symptoms. For patients older than 40 years of age presenting with perforated appendicitis and a periappendicular abscess, interval appendectomy after six to eight weeks is recommended due to a higher incidence of appendiceal neoplasms.6 Rates of malignancy are lower for younger patients, and recurrence of symptoms after non-surgical management is estimated to be around 12%-24%. Repeat nonoperative management and interval appendectomy are associated with similar morbidity in this age group,7 and surgical management is usually recommended for recurrent symptoms.8

Many authors have described low morbidity rates for patients undergoing laparoscopic appendectomy and hernia repair with mesh when a healthy, non-perforated appendix is encountered.9-11 The decision to perform an appendectomy must also consider specific patient factors, like age, medical history, functional status, and life expectancy. Younger patients with good functional status should be optimal candidates for appendectomy during hernioplasty. If an appendectomy is performed in a clean fashion, the use of prosthetic mesh for hernia repair is still controversial. The risk of hernia recurrence in a non-tension-free repair must be weighed against the risk and morbidity of mesh infection. Studies on the use of polypropylene mesh for acutely incarcerated groin hernias (wound class II) showed extremely low rates of wound infection, mesh infections, and recurrence, advocating for the use of mesh during open hernia repair.12,13 In some instances, heavyweight, microporous monofilament polypropylene mesh has been used for open ventral hernia repairs with dirty wounds (class IV) with no difference in 30-day surgical site infection14 and could be considered in the appropriate clinical scenario. The consensus on international guidelines for the management of groin hernias also recommends using this type of mesh for emergent groin hernia repairs with a clean-contaminated surgical field.15 The use of biologic mesh in inguinal hernia repair has been poorly studied, and most data is extrapolated from abdominal wall hernia repairs.16 Reports of early postoperative wound infection using biologic mesh in contaminated/dirty wounds describe an approximate risk of 30%.17 As noted, the repair of complicated hernias is usually approached in an open fashion, leading to a lack of evidence to support the use of mesh during laparoscopic hernia repair for wound classes II-IV. The surgeon’s preference and expertise must guide the decision to repair the hernia with an open versus laparoscopic approach. In summary, there is currently insufficient high-quality evidence available in the literature to support the use of mesh in contaminated-dirty surgical fields, and all recommendations are based on expert opinions.18

Conclusion

Complicated appendicitis incarcerated in an inguinal hernia is extremely rare, and treatment must prioritize source control. Interval laparoscopic appendectomy is safe and recommended for patients older than 40 years of age. The decision, approach (open versus laparoscopic), and the timing to perform a hernia repair must consider the specific patient characteristics, morbidity, and the inflammatory stage of the disease.

Lessons Learned

Amyand’s hernia can be safely approached laparoscopically. The decision and approach to performing a combined appendectomy and hernia repair with mesh must be individualized and take into account the patient’s demographic factors and associated morbidity.

Authors

Torres Perez-Iglesias CAa; Kim TDb; Marinov Mc

Author Affiliations

  1. Beth Israel Deaconess Medical Center, Boston, MA 02115
  2. UIC – Metropolitan Group Hospitals, Chicago, IL 60657
  3. Section of General Surgery, Advocate Lutheran General Hospital, Park Ridge, IL 60068

Corresponding Author

Carolina A. Torres Perez-Iglesias, MD
Beth Israel Deaconess Medical Center
110 Francis Street, Suite 9B
Boston, MA 02115
Phone: (773) 620-3663
Email: ctorresp@bidmc.harvard.edu

Meeting Presentation

Society of American Gastrointestinal and Endoscopic Surgery, August 2020

Disclosure Statement

The authors have no conflicts of interest to disclose.

Funding/Support

The authors have no relevant financial relationships or in-kind support to disclose.

Received: November 23, 2020
Revision received: February 2, 2021
Accepted: February 16, 2021

References

  1. Sharma H, Gupta A, Shekhawat NS, Memon B, Memon MA.v Amyand’s hernia: a report of 18 consecutive patients over a 15-year period. Hernia. 2007;11(1):31-35. doi:10.1007/s10029-006-0153-8
  2. Williams GR. Presidential Address: a history of appendicitis. With anecdotes illustrating its importance. Ann Surg. 1983;197(5):495-506. doi:10.1097/00000658-198305000-00001
  3. Losanoff JE, Basson MD. Amyand hernia: a classification to improve management. Hernia. 2008;12(3):325-326. doi:10.1007/s10029-008-0331-y
  4. Vons C, Barry C, Maitre S, et al. Amoxicillin plus clavulanic acid versus appendicectomy for treatment of acute uncomplicated appendicitis: an open-label, non-inferiority, randomised controlled trial. Lancet. 2011;377(9777):1573-1579. doi:10.1016/S0140-6736(11)60410-8
  5. Davidson GH, Flum DR, Talan DA, et al. Comparison of Outcomes of antibiotic Drugs and Appendectomy (CODA) trial: a protocol for the pragmatic randomised study of appendicitis treatment. BMJ Open. 2017;7(11):e016117. Published 2017 Nov 15. doi:10.1136/bmjopen-2017-016117
  6. Mällinen J, Rautio T, Grönroos J, et al. Risk of Appendiceal Neoplasm in Periappendicular Abscess in Patients Treated With Interval Appendectomy vs Follow-up With Magnetic Resonance Imaging: 1-Year Outcomes of the Peri-Appendicitis Acuta Randomized Clinical Trial. JAMA Surg. 2019;154(3):200-207. doi:10.1001/jamasurg.2018.4373
  7. Darwazeh G, Cunningham SC, Kowdley GC. A Systematic Review of Perforated Appendicitis and Phlegmon: Interval Appendectomy or Wait-and-See?. Am Surg. 2016;82(1):11-15.
  8. Di Saverio S, Podda M, De Simone B, et al. Diagnosis and treatment of acute appendicitis: 2020 update of the WSES Jerusalem guidelines. World J Emerg Surg. 2020;15(1):27. Published 2020 Apr 15. doi:10.1186/s13017-020-00306-3
  9. Muroya D, Sato S, Okabe M, Kishimoto Y, Tayama K. Simultaneous laparoscopic total extraperitoneal inguinal hernia repair and laparoscopic appendectomy for Amyand’s hernia: a case report. J Med Case Rep. 2019;13(1):195. Published 2019 Jun 26. doi:10.1186/s13256-019-2131-7
  10. Holmes K, Guinn JE. Amyand hernia repair with mesh and appendectomy. Surg Case Rep. 2019;5(1):42. Published 2019 Mar 15. doi:10.1186/s40792-019-0600-2
  11. Scheidbach H, Blume B, Meyer F. Laparoskopischer Bruchlückenverschluss bei Appendizitis im Leistenhernienbruchsack (Amyand-Hernie): Ist der Einsatz eines Netzes kontraindiziert? [Laparoscopic Herniotomia and Closure in Case of Appendicitis within the Hernia Sac (Amyand's hernia): Is Use of Mesh Contraindicated?]. Zentralbl Chir. 2017;142(3):312-316. doi:10.1055/s-0035-1545722
  12. Dai W, Chen Z, Zuo J, Tan J, Tan M, Yuan Y. Risk factors of postoperative complications after emergency repair of incarcerated groin hernia for adult patients: a retrospective cohort study. Hernia. 2019;23(2):267-276. doi:10.1007/s10029-018-1854-5
  13. Bessa SS, Abdel-fattah MR, Al-Sayes IA, Korayem IT. Results of prosthetic mesh repair in the emergency management of the acutely incarcerated and/or strangulated groin hernias: a 10-year study. Hernia. 2015;19(6):909-914. doi:10.1007/s10029-015-1360-y
  14. Birolini C, de Miranda JS, Tanaka EY, Utiyama EM, Rasslan S, Birolini D. The use of synthetic mesh in contaminated and infected abdominal wall repairs: challenging the dogma-A long-term prospective clinical trial. Hernia. 2020;24(2):307-323. doi:10.1007/s10029-019-02035-2
  15. van Veenendaal N, Simons M, Hope W, Tumtavitikul S, Bonjer J; HerniaSurge Group. Consensus on international guidelines for management of groin hernias [published correction appears in Surg Endosc. 2020 Apr 22;:]. Surg Endosc. 2020;34(6):2359-2377. doi:10.1007/s00464-020-07516-5
  16. Birindelli A, Sartelli M, Di Saverio S, et al. 2017 update of the WSES guidelines for emergency repair of complicated abdominal wall hernias. World J Emerg Surg. 2017;12:37. Published 2017 Aug 7. doi:10.1186/s13017-017-0149-y
  17. De Simone B, Birindelli A, Ansaloni L, et al. Emergency repair of complicated abdominal wall hernias: WSES guidelines. Hernia. 2020;24(2):359-368. doi:10.1007/s10029-019-02021-8
  18. HerniaSurge Group. International guidelines for groin hernia management. Hernia. 2018;22(1):1-165. doi:10.1007/s10029-017-1668-x

Discussion

 

Conclusion

 

Lessons Learned

 

References

Authors

 

Author Affiliations

 

Corresponding Author

 

Disclosure Statement

 

Funding/Support

 

Received: 
Revision received: 
Accepted for publication: