Unsupported Browser
The American College of Surgeons website is not compatible with Internet Explorer 11, IE 11. For the best experience please update your browser.
Menu
Become a member and receive career-enhancing benefits

Our top priority is providing value to members. Your Member Services team is here to ensure you maximize your ACS member benefits, participate in College activities, and engage with your ACS colleagues. It's all here.

Become a Member
Become a member and receive career-enhancing benefits

Our top priority is providing value to members. Your Member Services team is here to ensure you maximize your ACS member benefits, participate in College activities, and engage with your ACS colleagues. It's all here.

Become a Member
ACS
ACS Case Reviews

Vesico-cutaneous Fistula: A Rare Complication of Complex Pelvic Trauma Management

March 8, 2023

Abstract

Background

A 51-year-old male developed a vesico-cutaneous fistula four weeks after nonselective bilateral internal iliac embolization for an exsanguinating pelvic fracture. This case was managed with sub-total cystectomy and ileal conduit formation.

Summary

Exsanguinating pelvic fractures account for almost 10% of blunt pelvic traumas. It is associated with a mortality rate exceeding 20%, mainly from hemorrhagic shock in the first 24 hours of injury. Extraperitoneal pelvic packing (EPP) is an efficient method to slow the bleeding before the definitive hemorrhage control, i.e., angioembolization (AE) in hemodynamically unstable patients.

Conclusion

Complications of AE, especially bilateral AE, such as gluteal muscle necrosis and exceedingly rare bladder necrosis, can have devastating outcomes. Nephrostomy and urinary diversion have been recommended, and more recently, cystectomy and ileal conduit formation for managing bladder necrosis.

Key Words

pelvic fracture; hemorrhagic shock; extraperitoneal pelvic packing; angioembolization; bladder necrosis


Case Description

A 51-year-old male was found unconscious and hypotensive after being crushed between two trucks. Resuscitation was commenced, a pelvic binder was applied, and he was transported to a Level I Trauma Center. A pelvis X ray showed pelvic fractures with bilateral sacroiliac joint diastasis. Focused assessment with sonography in trauma (FAST) was negative, but blood was aspirated during diagnostic peritoneal aspiration. An emergency laparotomy was performed, and a large pelvic hematoma communicating with the abdominal cavity was found without any other associated intraperitoneal injury. Extraperitoneal packing (EPP) was performed, followed by a catheter angiogram, which demonstrated significant extravasation of contrast from both internal iliac arteries (Figure 1), which were angioembolized (AE) proximally using multiple 6 and 8 mm Interlock-35 2D fibered embolization coils (Boston Scientific LLC, Marlborough, Massachusetts, USA). This resulted in rapid hemodynamic stability and allowed a full body computed tomography (CT) scan with intravenous contrast injection. CT scan showed large retroperitoneal hematomas with no evidence of intra- or extraperitoneal visceral injury.

Figure 1: Angiogram Immediately After EPP. Published With Permission

Stabilization of hemodynamics shows extravasation of contrast from bilateral internal iliac artery and absence of contrast enhancement distal to these points.
Stabilization of hemodynamics shows extravasation of contrast from bilateral internal iliac artery and absence of contrast enhancement distal to these points.

After physiological restoration, he underwent a relook laparotomy two days after damage control laparotomy and EPP, during which the pelvic packs were removed. There was no obvious bladder injury. The rectum was found to be dusky but viable. The abdomen was closed, and the pelvis was stabilized with an external fixator. Due to the severity of the pelvic injury, urethral and/or bladder injuries were suspected. An urethrocystogram was planned to be performed after removing the pelvic external fixator. His postoperative recovery was complicated by surgical site infection of the midline incision, bilateral lower limb deep venous thrombosis, intraabdominal and retroperitoneal collections, and urinary and fecal incontinence. These were managed with debridement of the infected wound followed by applying negative pressure dressings, antibiotics, anticoagulation, and percutaneous drainage of collections. Three weeks post-AE, urinary incontinence with minimal post-void residuals was noted following catheter removal. Four weeks post-AE, large volume urine extravasation was noticed via a 2 cm midline defect through the supra-pubic incision. CT cystogram confirmed the presence of a vesico-cutaneous fistula.

After a multidisciplinary discussion and careful evaluation of risks, surgical repair was planned. The external fixator was located directly over the vesico-cutaneous fistula. Thus, the operation was deferred for two weeks to obtain access to the pelvis on the day of removal. Meanwhile, the fistula was managed with a large indwelling catheter which had minimal effect on fistula output. Urine leak from the fistula was controlled via a stoma bag.

In the operating room, a cystoscopy revealed an ischemic bladder mucosa with necrosis along its midline axis with a large anterior bladder wall defect—a devascularized rigid prostatic urethra consistent with an infarcted prostate. The bladder trigone appeared viable. Bilateral retrograde pyelograms showed normal distal ureters. The lower midline incision was opened, and the fistula tract was excised. Notably, a dense desmoplastic ischemia-related reaction affected the extraperitoneal dissection of the bladder and distal ureters. The infarcted and fixed prostate was left in situ. Cystectomy and standard ileal conduit with Bricker ureteroileal anastomosis over 7Fr Bander stents (Cook Medical LLC, Bloomingdale, Indiana, USA) were performed. He developed a postoperative ileus for two weeks requiring total parenteral nutrition. He was discharged to a rehabilitation center after a three-month hospital admission.

Discussion

Exsanguinating pelvic fractures complicate 10% of blunt pelvic trauma.1 The mortality rate exceeds 20%, mainly from hemorrhagic shock in the first 24 hours postinjury.2 EPP is a technique to temporize bleeding before AE, which can definitively control bleeding in hemodynamically unstable patients.3,4

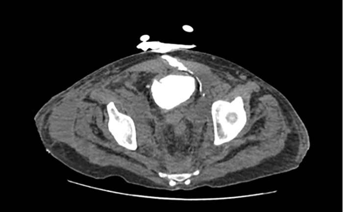
Complications such as visceral necrosis can arise, particularly if nonselective internal iliac AE has been performed.5 There are four previous case reports of bladder necrosis following AE for exsanguinating pelvic injury.6‒9 In all cases, bladder necrosis occurred a few weeks after AE. It may present with hematuria,8 wound infection,9 or, in our case, with a vesico-cutaneous fistula (Figure 2).

Figure 2. CT Cystogram Demonstrating Contrast Extravasation Through Fistula. Published With Permission

The etiology of the bladder ischemic necrosis in our patient is likely a result of bilateral Internal Iliac angioembolization. The pelvic floor and gluteal muscles were spared from fulminant necrosis. There was no dramatic rise in serum creatinine kinase to suggest gluteal necrosis. Contributory factors to the development of fistula may include systemic hypoperfusion from bleeding, EPP, and the use of a negative pressure wound dressing during the initial wound dehiscence. The use of negative pressure may have contributed to fistula formation through direct trauma to an ischemic bladder as well as potentiating vasoconstriction and ischemia.10 An attempted primary repair failed in one of the case reports due to ischemia and poor tissue perfusion.8 Bilateral nephrostomies, allowing the urinary bladder to heal via secondary intention, have been used in older case reports.6,8 Cystectomy and ileal conduit were reported in the most recent case report.9

Intraoperatively, in our case, an infarcted and immobile prostate was encountered in addition to the necrotic bladder (Figure 3), which was left in situ due to consideration for a prolonged operating time and potential injury to adjacent structures. This approach is supported by emerging data post deliberate prostatic artery embolization in the treatment of prostatic hypertrophy, indicating that leaving an infarcted prostate in situ is safe with a low rate of adverse effects.11

Figure 3. Intraoperative Finding of Necrotic Bladder (yellow arrows) With Urinary Catheter (green arrow) Visible at Bladder Neck and Ureteric Catheters In Situ (white arrows).

Conclusion

EPP is a temporizing measure prior to AE in managing exsanguinating pelvic fracture in hemodynamically unstable patients. Bladder necrosis is a rare complication of bilateral nonselective internal iliac embolization that presents late and requires a high index of suspicion to make the diagnosis.

Lessons Learned

Whereas the urinary bladder has an extensive and variable blood supply, it is not immune to ischemic necrosis following AE, particularly when the bilateral internal iliac artery has been performed. Ileal conduit urinary diversion is a reasonable option in these patients, and the infarcted prostate can be left in situ.

Authors

Moghadam Aa; Ting Fb; Okullo ATb; So Se,f; Hossack Tb,d; Hsu JMa,c

Author Affiliations

  1. Trauma Service, Westmead Hospital, Sydney, New South Wales, Australia
  2. Department of Urology, Westmead Hospital, Sydney, New South Wales, Australia
  3. University of Sydney, Discipline of Surgery, Sydney, New South Wales, Australia
  4. University of Western Sydney, Discipline of Surgery, Sydney, New South Wales, Australia
  5. Department of Radiology, Westmead Hospital, Sydney, New South Wales, Australia
  6. University of Sydney, Discipline of Radiology, Sydney, New South Wales, Australia

Corresponding Author

Alireza Moghadam, MD, FRACS
Trauma Service, Westmead Hospital
Cnr Hawkesbury Road and Darcy Road
Westmead NSW 2145, Australia
Phone: +61 403679133
Email: moghadam.md@gmail.com

Disclosure Statement

The authors have no conflicts of interest to disclose.

Funding/Support

The authors have no relevant financial relationships or in-kind support to disclose.

Received: July 18, 2020
Revision received: December 16, 2020
Accepted: February 2, 2021

References

  1. Eastridge BJ, Starr A, Minei JP, O'Keefe GE, Scalea TM. The importance of fracture pattern in guiding therapeutic decision-making in patients with hemorrhagic shock and pelvic ring disruptions. J Trauma. 2002;53(3):446-451. doi:10.1097/00005373-200209000-00009
  2. Lewis RH Jr, Sharpe JP, Berning B, Fabian TC, Croce MA, Magnotti LJ. Impact of a simplified management algorithm on outcome following exsanguinating pelvic fractures: A 10-year experience. J Trauma Acute Care Surg. 2019;86(4):658-663. doi:10.1097/TA.0000000000002162
  3. Burlew CC, Moore EE, Stahel PF, et al. Preperitoneal pelvic packing reduces mortality in patients with life-threatening hemorrhage due to unstable pelvic fractures. J Trauma Acute Care Surg. 2017;82(2):233-242. doi:10.1097/TA.0000000000001324
  4. Hsu JM, Yadev S, Faraj S. Controlling hemorrhage in exsanguinating pelvic fractures: Utility of extraperitoneal pelvic packing as a damage control procedure. Int J Crit Illn Inj Sci. 2016;6(3):148-152. doi:10.4103/2229-5151.190655
  5. Matityahu A, Marmor M, Elson JK, et al. Acute complications of patients with pelvic fractures after pelvic angiographic embolization. Clin Orthop Relat Res. 2013;471(9):2906-2911. doi:10.1007/s11999-013-3119-z
  6. Braf ZF, Koontz WW Jr. Gangrene of bladder. Complication of hypogastric artery embolization. Urology. 1977;9(6):670-671. doi:10.1016/0090-4295(77)90319-3
  7. Hietala SO. Urinary bladder necrosis following selective embolization of the internal iliac artery. Acta Radiol Diagn (Stockh). 1978;19(2):316-320. doi:10.1177/028418517801900204
  8. Sieber PR. Bladder necrosis secondary to pelvic artery embolization: case report and literature review. J Urol. 1994;151(2):422. doi:10.1016/s0022-5347(17)34969-8
  9. Ali A, Nabi G, Swami S, Somani B. Bladder necrosis secondary to internal iliac artery embolization following pelvic fracture. Urol Ann. 2014;6(2):166-168. doi:10.4103/0974-7796.130657
  10. Heuser M, Laabs SO, Plothe KD. Extraperitoneal bladder leakage after provision of topical negative therapy: a case report. J Wound Care. 2005;14(9):406. doi:10.12968/jowc.2005.14.9.26834
  11. Pisco JM, Bilhim T, Costa NV, et al. Randomised Clinical Trial of Prostatic Artery Embolisation Versus a Sham Procedure for Benign Prostatic Hyperplasia. Eur Urol. 2020;77(3):354-362. doi:10.1016/j.eururo.2019.11.010