Unsupported Browser
The American College of Surgeons website is not compatible with Internet Explorer 11, IE 11. For the best experience please update your browser.
Menu
Become a member and receive career-enhancing benefits

Our top priority is providing value to members. Your Member Services team is here to ensure you maximize your ACS member benefits, participate in College activities, and engage with your ACS colleagues. It's all here.

Become a Member
Become a member and receive career-enhancing benefits

Our top priority is providing value to members. Your Member Services team is here to ensure you maximize your ACS member benefits, participate in College activities, and engage with your ACS colleagues. It's all here.

Become a Member
ACS
ACS Case Reviews

A Rare Cause of Gastric Necrosis Treated With Total Gastrectomy and Esophagojejunostomy

March 8, 2023

Abstract

Background

A male patient presented with acute abdominal pain and hemodynamic instability secondary to acute gastric necrosis.

Summary

We present a case of a 42-year-old male with poorly controlled diabetes mellitus. He developed severe abdominal pain associated with hemodynamic instability during hospitalization for a diagnostic workup of chronic diarrhea. CT scan showed gastric pneumatosis, absence of mucosal enhancement, perigastric free air, and no signs of arterial or venous thrombosis. We performed an emergency laparotomy, where we found necrosis of the gastric fundus and lesser curvature, requiring a total gastrectomy with Roux-en-Y esophagojejunostomy. The final pathology report showed acute infectious gastritis with abscess formation, extensive mucosal necrosis, and acute peritonitis. Gram-positive bacilli were identified, and the peritoneal fluid culture was positive for Lactobacillus fermentans. Gastric gangrene secondary to phlegmonous gastritis is an acute, rare, and often fatal disease. Many etiologies are responsible for gastric necrosis; infectious gastritis is among the rarest, with only a few case reports available.

Conclusion

Phlegmonous gastritis is more common in immunosuppressed patients, who often present insidiously. Contrast-enhanced CT scan is the diagnostic modality of choice. When gastric gangrene is suspected, emergency surgical treatment is needed.

Key Words

emphysematous; gastritis; infectious; phlegmonous; gastrectomy; esophagojejunostomy


Case Description

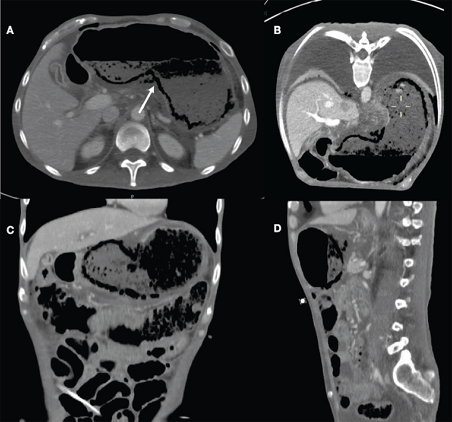
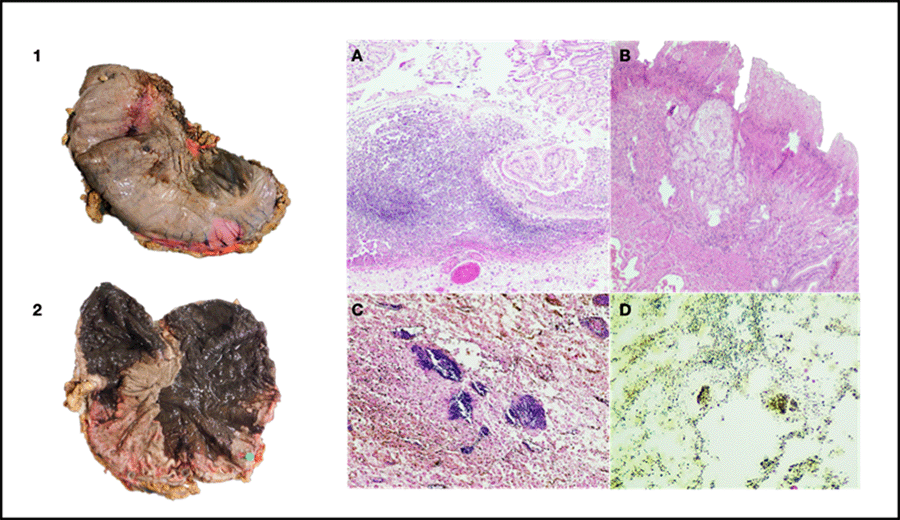
A 42-year-old male with a history of type 2 diabetes mellitus, diabetic neuropathy, diabetic retinopathy, chronic kidney disease on peritoneal dialysis, autonomic neural dysfunction, with a past surgical history of peritoneal dialysis catheter placement; was hospitalized for diagnostic workup of chronic diarrhea. During his hospital stay, he developed acute and severe abdominal pain associated with hemodynamic instability requiring fluid resuscitation and vasoactive drugs. A CT scan showed gastric pneumatosis predominantly in the gastric fundus and lesser curvature, absence of mucosal enhancement, perigastric free air, and no signs of arterial or venous thrombosis (Figure 1). Due to these findings, an exploratory laparotomy was performed in which clear abdominal free fluid was found. Due to necrosis of the gastric fundus and lesser curvature, a total gastrectomy with Roux-en-Y esophagojejunostomy was performed. He was admitted to ICU and, due to favorable evolution, was admitted to the hospital ward to continue his recovery. The pathology report showed acute infectious gastritis with abscess formation, extensive mucosal necrosis, and acute peritonitis (Figure 2). Additionally, gram-positive bacilli were identified, and the peritoneal fluid culture was positive for Lactobacillus fermentans.

Figure 1. Abdominal CT Scan. Published With Permission

Gastric wall thickening associated with gastric pneumatosis and absence of mucosal enhancement predominantly in lesser curvature.
Gastric wall thickening associated with gastric pneumatosis and absence of mucosal enhancement predominantly in lesser curvature.

Figure 2. Macroscopic and Microscopic Findings. Published With Permission

1, 2) Stomach showing necrohemorrhagic area towards lesser curvature. Mucosal infarction of 80% of anterior and posterior surfaces, affection gastric fundus, body, and antrum. A) Epithelial ulceration and formation of neutrophilic abscesses (HE 4x). B) Mucosal necrosis and ulceration associated with lymphocytic and neutrophilic transmural infiltrate (HE 4x). C) Selected fields that show bacteria individually, as well as formed clusters (HE 10x). D) Gram stain confirming the presence of gram-positive bacilli (Gram 4x).

Discussion

Acute gastric necrosis is a rare and catastrophic phenomenon that can be fatal. The stomach's abundant vascular supply makes this event very uncommon, although it can occur secondary to embolization, massive thrombosis of arterial supply, strangulation in intrathoracic herniation of the stomach, gastric outlet obstruction, bulimia nervosa, ingestion of caustic substances, complication after gastric surgery, and infectious necrotizing gastritis, as presented in this case report.1,2

Phlegmonous gastritis is a well-recognized clinical entity, first described by Couveilhier in 1862.3 It is an acute infection of the gastric wall, submucosa, and muscularis propria by pyogenic bacteria, and it is one of the rarest causes of acute gastric necrosis. Generally, phlegmonous gastritis produces a suppurative exudate with intramural abscess. However, necrotizing gastritis implies tissue death, which differs from the former.4 Etiologically, the most common microorganism is Streptococcus spp. in approximately 75% of cases, in contrast with our case, in which we isolated Lactobacillus fermentans in the peritoneal fluid.5

Despite being rare, predisposing factors such as immunosuppression, alcoholism, endoscopic procedures, severe malnutrition, and gastric cancer have been described. In some cases, no specific predisposing factors can be identified.6 In this case, we identified severe malnutrition and immunosuppression secondary to uncontrolled diabetes.

Management of emphysematous or phlegmonous gastritis is controversial, with varying morbidity and mortality between surgical and conservative management.5‒8 However, phlegmonous gastritis with acute gastric necrosis is a complex and life-threatening condition. It requires emergency laparotomy with subtotal or total gastrectomy.

Conclusion

Phlegmonous gastritis is more common in immunosuppressed patients. The clinical presentation is usually insidious and not very specific; a CT scan diagnoses most cases. Despite the scarce evidence regarding the treatment of this entity, phlegmonous gastritis is probably a less lethal condition in which successful conservative treatment with antibiotics has been described. On the other hand, necrotizing gastritis is a more severe presentation of this entity and requires immediate surgical treatment.

Lessons Learned

Gastric necrosis (when all major vessels are patent) should raise suspicion of infectious gastritis, and expeditious laparotomy is warranted. Increased awareness may lead to prompt diagnosis and treatment.

Authors

Mier y Terán-Ellis, S; Sanchez-Morales GE; Peña-Islas MA; Sarre-Lazcano RC; Alfaro-Goldaracena A

Author Affiliation

Department of Surgery, Instituto Nacional de Ciencias Médicas y Nutrición Salvador Zubirán, Mexico City, Mexico

Corresponding Author

Santiago Mier y Terán-Ellis, MD
Vasco de Quiroga #15, Belisario Domínguez Secc 16, Tlalpan
14080 Ciudad de México, CDMX
Mexico
Phone: +52 1 5526537000
Email: smiert@hotmail.com

Disclosure Statement

The authors have no conflicts of interest to disclose.

Funding/Support

The authors have no relevant financial relationships or in-kind support to disclose.

Received: August 12, 2020
Revision received: October 31, 2020
Accepted: November 24, 2020

References

  1. Strauss RJ, Friedman M, Platt N, Gassner W, Wise L. Gangrene of the stomach: a case of acute necrotizing gastritis. Am J Surg. 1978;135(2):253-257. doi:10.1016/0002-9610(78)90111-3
  2. Mukhopadhyay M, Saha AK, Sarkar A, et al. Gastric gangrene due to necrotizing gastritis. Indian J Surg. 2011;73(1):65-67. doi:10.1007/s12262-010-0134-0
  3. Webster VJ. Necrotizing gastritis and phlegmonous gastritis--are they separate entities?. Aust N Z J Surg. 1980;50(2):194-196. doi:10.1111/j.1445-2197.1980.tb06667.x
  4. Kobus C, van den Broek JJ, Richir MC. Acute gastric necrosis caused by a β-hemolytic streptococcus infection: a case report and review of the literature. Acta Chir Belg. 2020;120(1):53-56. doi:10.1080/00015458.2018.1500799
  5. Min SY, Kim YH, Park WS. Acute phlegmonous gastritis complicated by delayed perforation. World J Gastroenterol. 2014;20(12):3383-3387. doi:10.3748/wjg.v20.i12.3383
  6. Park CW, Kim A, Cha SW, et al. A case of phlegmonous gastritis associated with marked gastric distension. Gut Liver. 2010;4(3):415-418. doi:10.5009/gnl.2010.4.3.415
  7. Szuchmacher M, Bedford T, Sukharamwala P, Nukala M, Parikh N, Devito P. Is surgical intervention avoidable in cases of emphysematous gastritis? A case presentation and literature review. Int J Surg Case Rep. 2013;4(5):456-459. doi:10.1016/j.ijscr.2012.12.021
  8. Zamora Elson M, Labarta Monzón L, Escos Orta J, Cambra Fierro P, Vernal Monteverde V, Seron Arbeloa C. Gastritis enfisematosa, eficacia del tratamiento con antibioterapia precoz [Emphysematous gastritis: Effectiveness of early antibiotic therapy]. Gastroenterol Hepatol. 2016;39(6):393-395. doi:10.1016/j.gastrohep.2015.05.008