Unsupported Browser
The American College of Surgeons website is not compatible with Internet Explorer 11, IE 11. For the best experience please update your browser.
Menu
Become a member and receive career-enhancing benefits

Our top priority is providing value to members. Your Member Services team is here to ensure you maximize your ACS member benefits, participate in College activities, and engage with your ACS colleagues. It's all here.

Become a Member
Become a member and receive career-enhancing benefits

Our top priority is providing value to members. Your Member Services team is here to ensure you maximize your ACS member benefits, participate in College activities, and engage with your ACS colleagues. It's all here.

Become a Member
ACS
ACS Case Reviews

Primary Pancreatic Tuberculosis Presenting Differently in an Immunocompetent Host

March 8, 2023

Abstract

Background

Cystic lesions of the pancreas are usually secondary to inflammatory or neoplastic etiologies. In endemic areas, tuberculosis can rarely cause infectious pancreatitis. Isolated pancreatic tuberculosis is commonly associated with miliary disease and a compromised immune system. A pancreatic pseudocyst secondary to isolated pancreatic tuberculosis in an immune-competent patient was diagnosed and managed as follows.

Summary

An otherwise healthy 34-year-old woman presented with recurrent pancreatic-type pain and episodic low-grade pyrexia for a duration of four months. She denied any previous history or contact with tuberculosis. Cross-sectional imaging showed a large unilocular cystic lesion in the pancreatic neck and body, with surrounding necrotic lymphadenopathy. Percutaneous fluid aspiration and analysis were unremarkable, and microscopy was negative for cellular atypia. Staining and culture for bacteria were also inconclusive. Reverse transcriptase polymerase chain reaction (rt-PCR) for mycobacterial antigen was positive in cyst fluid. Antitubercular therapy was started, and she had transient symptomatic relief. However, her pain worsened with the onset of fever, chills, and signs of systemic sepsis. She underwent percutaneous external drainage of the now-formed pancreatic abscess with an improvement in symptoms. Antitubercular therapy was continued for six months, following which the patient had complete symptomatic recovery with radiological remission of the pancreatic lesion. A low-output pancreatic fistula through the drain site was persistent for nearly a year, which was managed expectantly, and the drain tube was removed. She is doing well at five-year follow-up.

Conclusion

Tuberculosis of the pancreas can present as infectious pancreatitis, pseudocyst masquerading as cystic neoplasm, and peri-pancreatic abscess. Diagnosis is confirmed by rt-PCR analysis of cyst fluid and managed by medical and/or radiological intervention. In endemic regions, tell-tale signs of febrile pancreatitis with suspicious cystic pancreatic lesions and locoregional necrotic lymphadenopathy warrant a high index of suspicion.

Key Words

infective pancreatitis; pseudocyst; pancreatic abscess; external drainage; non-surgical management

Abbreviations

CECT: Contrast-enhanced computed tomography
MRI: Magnetic resonance imaging
MRCP: Magnetic resonance cholangiopancreatography
MPD: Main pancreatic duct
EUS: Endoscopic ultrasound
CEA: Carcino-embryonic antigen
rt-PCR: Reverse transcriptase polymerase chain reaction
DNA: Deoxyribonucleic acid
PCD: Percutaneous drain
IPMN: Intraductal papillary mucinous neoplasm


Case Description

A 34-year-old woman presented with four months history of recurrent dull aching upper abdominal pain radiating to the back alongside low-grade episodic pyrexia, malaise, and lethargy. Mild anorexia was present without any significant weight loss or pancreatic exocrine insufficiency. She had no known medical comorbidities or any past history or contact with tuberculosis. On examination, she was moderately built with adequate nutrition and hydration status. Abdominal examination showed an ill-defined non-tender lump in the epigastrium, extending into the umbilical region and under the left costal margin.

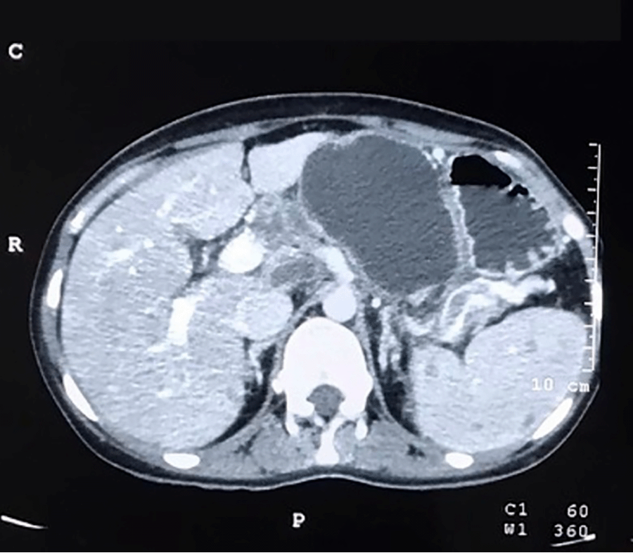
On evaluation, routine hemogram and biochemistry were within normal limits. Serum amylase and lipase were raised three times beyond normal. Pancreas protocol triphasic contrast-enhanced computed tomography (CECT) and contrast-enhanced magnetic resonance imaging (MRI) of the abdomen with cholangiopancreatography (MRCP) showed a large unilocular cystic lesion measuring 8.4 × 6.4 cm with non-enhancing thickened walls in the region of pancreatic neck and body (Figure 1). There was no evidence of calcifications, septations, or mural nodularity. Pancreatic parenchyma adjoining the cyst was atrophic, with some normally enhancing pancreas preserved near uncinate and tail regions. No peripancreatic fat stranding or post-inflammatory sequelae were noted. The main pancreatic duct (MPD) was prominent towards the tail, with no observed communication with the cyst (Figure 2). Multiple necrotic periportal and peripancreatic lymphadenopathy were also noted. A working diagnosis of pancreatitis, secondary to suspected cystic neoplasm of the pancreas, was made.

Figure 1. CECT Scan Axial Cuts Showing Large Cystic Lesion in Pancreatic Neck and Body. Published With Permission

Note. Thickened unenhanced walls and absence of mural nodularity.
Note. Thickened unenhanced walls and absence of mural nodularity.

Figure 2. T2-Weighted MRI Axial Image Showing Cystic Pancreatic Lesion. Published With Permission

Note. Prominent MPD at tail.
Note. Prominent MPD at tail.

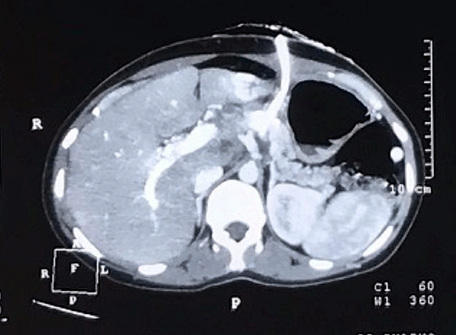
Endoscopic ultrasound (EUS) was performed for better characterization, which showed a thick-walled unilocular cyst with no vascularity or mural nodules. Cyst fluid aspirated was clear, non-viscous, and non-hemorrhagic with high amylase (6550 U/L) levels. Adenosine deaminase (ADA) levels were high (54 IU/L), and carcinoembryonic antigen (CEA) levels were low (3.4 ng/mL). Fluid cytology showed scant cellularity with no atypical cells. Gram stain and acid-fast staining of cyst fluid, like bacterial cultures, were negative. Per institutional protocol for fever evaluation, the fluid was further analyzed for tuberculosis by reverse-transcriptase polymerized chain reaction (RT-PCR), which was positive for mycobacterial DNA. Thus, first-line antitubercular therapy was initiated. Despite an initial symptomatic improvement for two weeks, she developed intermittent high-grade fever spikes with chills and worsening abdominal pain. Signs of systemic sepsis soon ensued. She underwent external percutaneous drainage (PCD) of the fluid-filled cavity (Figure 3), draining frank purulent effluent.

Figure 3. Post-PCD Insertion CECT Scan Axial Cuts, Showing Drain Tube In Situ Within Cyst Cavity. Published With Permission

Following drainage, symptoms gradually resolved, and her general condition improved. Serial clinical and radiological follow-up was performed every month until the end of six months of antitubercular treatment. CECT showed complete resolution of the pancreatic cystic lesion, with normal adjacent parenchyma (Figure 4). She, however, developed a low-output pancreatic fistula through the PCD tube, with fluid amylase levels >90,000 IU/ L. The patient was kept on regular follow up during the next year. During the follow-up, drain output gradually decreased, amylase levels decreased to <10,000 U/L, and the drain was gradually withdrawn and removed. The patient was kept on close surveillance, and she is doing well at five years follow-up. There is no evidence of pancreatic exocrine insufficiency or relapse of tuberculosis.

Figure 4. Follow-up CECT at Six Months Antitubercular Therapy, Showing No Residual Lesion. Published With Permission

Discussion

Solid organ tuberculosis is predominantly a disease of the immuno-compromised.1,2 In the immune-competent host, it is usually seen with miliary disease.3 About 300 cases of primary pancreatic tuberculosis have been reported in world literature.4 Usual presentation of pancreatic tuberculosis is a solid non-homogenous mass or pseudotumor, often misdiagnosed as pancreatic malignancy. Diagnosis of pancreatic tuberculosis is usually confirmed on final histopathology after surgical resection.5,6 Other varied presentations have been reported in the literature, namely masquerading as intraductal papillary mucinous neoplasm (IPMN),7 focal pancreatitis,8 and peripancreatic abscess with necrotic lymphadenopathy.9,10 Pancreatic tuberculosis presenting as acute moderately severe pancreatitis with locoregional complications is rare.11

Pancreatic cystic neoplasm was a plausible differential diagnosis in our patient. The unilocular cyst in the neck and body region with thick non-enhancing walls without any obvious ductal communication was suspicious of mucinous cystadenoma or branch-duct IPMN.12 However, EUS and fluid analysis ruled them out due to the serous nature of aspirate, low mucin, and CEA. Moreover, a cyst-fluid amylase value >5000U/L greatly favored pseudocyst.13

Diagnosing pancreatic tuberculosis by cyst-fluid microscopy and culture has been previously described,5-7 but is often inconclusive, as evidenced by our case. A histopathological examination requires subjecting a potentially benign condition through a morbid procedure.14 The fluid sample obtained by endoscopic or percutaneous approaches with rt-PCR has 64% sensitivity for the detection of tubercular antigens.15,16

Tubercular abscesses usually respond well to standard antitubercular therapy without the frequent need for external drainage. However, in view of local and systemic sepsis, as in our case, external drainage is warranted. EUS-guided internal drainage is not considered prudent for an infected pseudocyst (previously called pancreatic abscess17), as it is often unsuccessful due to frequent blockage or ineffective drainage.18

Surgery is not routinely indicated in pancreatic tuberculosis. A symptomatic pancreatic mass or asymptomatic lesion with diagnostic uncertainty is an absolute indication for resection.5,6 One report of open necrosectomy and drainage for pancreatic abscess has been described for pancreatic tuberculosis.11 The aim of managing pancreatic tuberculosis remains to defer laparotomy, owing to poor healing and increased morbidity and mortality in these patients.

Conclusion

Primary tuberculosis of the pancreas can present as infectious pancreatitis, pseudocyst masquerading as cystic neoplasm, or pancreatic abscess. RT-PCR of cyst-fluid can confirm the diagnosis with acceptable results. Most cases can be managed nonoperatively with antitubercular therapy, seldom requiring radiological and/or endoscopic interventions.

Lessons Learned

Febrile pancreatitis with peri-pancreatic fluid collection in the presence of multiple necrotic retroperitoneal lymph nodes should be evaluated for tuberculosis, especially in the endemic area. There exists a good chance of cure with non-surgical therapy.

Authors

Kumar S; Madhavan SM; Masood S

Author Affiliation

Department of Surgical Gastroenterology, Dr. Ram Manohar Lohia Institute of Medical Sciences, Vibhuti Khand, Gomti Nagar, Lucknow, Uttar Pradesh, India

Corresponding Author

Shakeel Masood, MCh
Department of Surgical Gastroenterology
Dr. Ram Manohar Lohia Institute of Medical Sciences
Vibhuti Khand, Gomti Nagar, Lucknow
Uttar Pradesh, India 226010
Phone: (+91) 9793033880
Email: shakeelmasood65@gmail.com

Meeting Presentation

International Hepato-Pancreato-Biliary Association, India Chapter National Conference, Pune Maharashtra, India, February 2018

Disclosure Statement

The authors have no conflicts of interest to disclose.

Funding/Support

The authors have no relevant financial relationships or in-kind support to disclose.

Received: July 20, 2020
Revision received: October 28, 2020
Accepted: November 24, 2020

References

  1. Malikowski T, Mahmood M, Smyrk T, Raffals L, Nehra V. Tuberculosis of the gastrointestinal tract and associated viscera [published correction appears in J Clin Tuberc Other Mycobact Dis. 2020 Sep 09;21:100177]. J Clin Tuberc Other Mycobact Dis. 2018;12:1-8. Published 2018 Apr 14. doi:10.1016/j.jctube.2018.04.003
  2. Saluja SS, Ray S, Pal S, et al. Hepatobiliary and pancreatic tuberculosis: a two decade experience. BMC Surg. 2007;7:10. Published 2007 Jun 24. doi:10.1186/1471-2482-7-10
  3. Chaudhary P. Hepatobiliary tuberculosis. Ann Gastroenterol. 2014;27(3):207-211.
  4. Baraboutis I, Skoutelis A. Isolated tuberculosis of the pancreas. JOP: J Pancreas 2004;5:155–158.
  5. Ozkan F, Bulbuloglu E, Inci MF, Sayar H, Kahraman H, Yuksel M. Isolated pancreatic tuberculosis mimicking malignancy and causing obstructive jaundice. J Gastrointest Cancer. 2013;44(1):118-120. doi:10.1007/s12029-012-9374-5
  6. Hellara O, Noomène F, Toumi O. A pseudotumoral presentation of pancreatic tuberculosis. J Visc Surg. 2012;149(4):e282-e283. doi:10.1016/j.jviscsurg.2012.04.004
  7. Bhatia V, Garg PK, Arora VK, Sharma R. Isolated pancreatic tuberculosis mimicking intraductal pancreatic mucinous tumor. Gastrointest Endosc. 2008;68(3):610-611. doi:10.1016/j.gie.2007.12.022
  8. Rana SS, Bhasin DK, Rao C, Singh K. Isolated pancreatic tuberculosis mimicking focal pancreatitis and causing segmental portal hypertension. JOP. 2010;11(4):393-395. Published 2010 Jul 5.
  9. Veerabadran P, Sasnur P, Subramanian S, Marappagounder S. Pancreatic tuberculosis-abdominal tuberculosis presenting as pancreatic abscesses and colonic perforation. World J Gastroenterol. 2007;13(3):478-479. doi:10.3748/wjg.v13.i3.478
  10. de Miguel F, Beltran J, Sabas JA, Sádaba F, Santamaría JM, Bustamante V. Tuberculous pancreatic abscess. Br J Surg. 1985;72(6):438. doi:10.1002/bjs.1800720608
  11. Rawla P, Bandaru SS, Vellipuram AR. Review of Infectious Etiology of Acute Pancreatitis. Gastroenterology Res. 2017;10(3):153-158. doi:10.14740/gr858w
  12. Khan A, Khosa F, Eisenberg RL. Cystic lesions of the pancreas. AJR Am J Roentgenol. 2011;196(6):W668-W677. doi:10.2214/AJR.10.4378
  13. Hammel P, Levy P, Voitot H, et al. Preoperative cyst fluid analysis is useful for the differential diagnosis of cystic lesions of the pancreas. Gastroenterology. 1995;108(4):1230-1235. doi:10.1016/0016-5085(95)90224-4
  14. Pandita KK; Sarla, Dogra S. Isolated pancreatic tuberculosis. Indian J Med Microbiol. 2009;27(3):259-260. doi:10.4103/0255-0857.53212
  15. Ahlawat SK, Charabaty-Pishvaian A, Lewis JH, Haddad NG. Pancreatic tuberculosis diagnosed with endoscopic ultrasound guided fine needle aspiration. JOP. 2005;6(6):598-602. Published 2005 Nov 10.
  16. Makeshkumar V, Madhavan R, Narayanan S. Polymerase chain reaction targeting insertion sequence for the diagnosis of extrapulmonary tuberculosis. Indian J Med Res. 2014;139(1):161-166.
  17. Banks PA, Bollen TL, Dervenis C, et al. Classification of acute pancreatitis--2012: revision of the Atlanta classification and definitions by international consensus. Gut. 2013;62(1):102-111. doi:10.1136/gutjnl-2012-302779
  18. Tyberg A, Karia K, Gabr M, et al. Management of pancreatic fluid collections: A comprehensive review of the literature. World J Gastroenterol. 2016;22(7):2256-2270. doi:10.3748/wjg.v22.i7.2256