Unsupported Browser
The American College of Surgeons website is not compatible with Internet Explorer 11, IE 11. For the best experience please update your browser.
Menu
Become a member and receive career-enhancing benefits

Our top priority is providing value to members. Your Member Services team is here to ensure you maximize your ACS member benefits, participate in College activities, and engage with your ACS colleagues. It's all here.

Become a Member
Become a member and receive career-enhancing benefits

Our top priority is providing value to members. Your Member Services team is here to ensure you maximize your ACS member benefits, participate in College activities, and engage with your ACS colleagues. It's all here.

Become a Member
ACS
ACS Case Reviews

Rare Case of Anal Plasmablastic Lymphoma in a Patient with HIV

March 8, 2023

Abstract

Background

Perianal lesions are common in HIV-positive individuals. Plasmablastic lymphoma is an aggressive HIV-related lymphoma that most frequently occurs in the oral cavity. Rarely can these lymphomas present in the perianal region.

Summary

Our patient is a 62-year-old male with HIV who presented with two months of increasing perianal pain and a perianal mass with associated inguinal lymphadenopathy. A rectal exam under anesthesia revealed a firm 11 cm × 6 cm left anterior perianal mass extending 10 cm proximally into the anal canal and rectum. A biopsy of the mass revealed histologic and immunochemical characteristics consistent with plasmablastic lymphoma. The patient is currently undergoing combination chemotherapy.

Conclusion

HIV-related perianal disease is common, even in the antiretroviral therapy era. Plasmablastic lymphoma is a rare, aggressive tumor that infrequently presents outside the oral cavity. This case report emphasizes the importance of maintaining a broad differential diagnosis and obtaining a biopsy when presented with a suspicious perianal mass in a patient with HIV.

Key Words

plasmablastic lymphoma; perianal mass; HIV


Case Description

Perianal disease affects up to one-third of patients with human immunodeficiency virus (HIV) and is the most common reason for surgical referral among infected patients.1,2 The differential diagnosis of HIV-related perianal masses is wide and includes benign and malignant pathologies. Non-Hodgkin lymphoma (NHL) is one of the most common HIV-related cancers and is 11 times more likely to develop in HIV-infected individuals compared to the general population.3 Plasmablastic lymphoma is a rare, particularly aggressive subtype of B cell lymphoma that accounts for approximately 2.6% of all HIV-related NHL and is considered an AIDS-defining illness.4 These lymphomas most frequently occur in the oral cavity,5 though a handful of extra-oral cases have been reported.6-9 Here, we present a rare case of advanced anal plasmablastic lymphoma in a patient with HIV.

The patient is a 62-year-old male with HIV on highly active antiretroviral therapy (HAART) who was referred to the colorectal surgery clinic after two months of increasing perianal pain and a perianal mass. The patient first noticed the mass one year prior and sought medical care in Thailand ; however, no treatment was offered then. The patient subsequently relocated to the United States. The patient described a mass that had been enlarging over the prior two months and was associated with increased pain and occasional bleeding. The patient also reported multiple enlarging left inguinal masses over the last month. He denied any fevers, weight loss, or night sweats.

The patient had been diagnosed with HIV 18 months prior to presentation and was started on HAART at the time of diagnosis. His CD4 count was 279 cells/mm3 with an undetectable viral load at the time of presentation to the colorectal surgery clinic. He reported no other known past medical history and denied any history of other sexually transmitted infections. The patient reported being in a monogamous relationship with his wife and denied any history of anoreceptive intercourse.

Anorectal examination revealed a large perianal mass encompassing an area 6 cm radially from the anal verge in the left anterior quadrant. There was a 2 cm area of skin erosion overlying the mass without active bleeding (Figure 1). The mass was palpable from within the anal canal as an indurated area with smooth overlying mucosa. The remainder of the physical exam was significant for multiple enlarged, tender, and mobile left inguinal lymph nodes.

The patient was brought to the operating room for rectal examination under anesthesia (EUA) and biopsy. EUA was consistent with the exam findings in the clinic. The external component of the mass measured 11 × 6 cm and extended 10 cm proximally into the rectum. The mass was firm and felt to be fixed to the prostate anteriorly. Multiple biopsies were taken of the anal canal portion of the mass using a Tru-Cut® biopsy needle, and a punch biopsy device was used to remove several pieces of the external portion of the mass. All biopsies were sent to pathology for analysis.

Figure 1. Examination of Large Left Anterior Perianal Mass With 2 cm Area of Skin Erosion Overlying Mass. Published With Permission

Histologic examination of the specimen revealed diffuse sheet-like infiltration by cohesive monomorphic cells with immunoblastic morphology (Figure 2). These cells displayed large eccentrically placed nuclei with slightly irregular nuclear contours, fine chromatin, prominent nucleoli, and abundant cytoplasm. Numerous mitotic figures, apoptotic cells, and tingible body macrophages were identified. Immunohistochemical staining demonstrated strong positivity for CD138, MUM-1, and c-MYC, high proliferation index by Ki-67 (70%), and negative staining with CD20, PAX-5, and rare weak staining with CD79a. Epstein-Barr encoding region (EBER) in situ hybridization was positive. These findings were consistent with the final pathologic diagnosis of plasmablastic lymphoma.

Figure 2. Microscopic Imaging at 20x. Published With Permission

A) Hematoxylin and eosin: sheet-like infiltration of plasmablastic cells; B) CD20: lymphoma cells negative; C) CD138: lymphoma cells positive; and D) Epstein-Barr encoding region (EBER) in situ hybridization: lymphoma cells positive.
A) Hematoxylin and eosin: sheet-like infiltration of plasmablastic cells; B) CD20: lymphoma cells negative; C) CD138: lymphoma cells positive; and D) Epstein-Barr encoding region (EBER) in situ hybridization: lymphoma cells positive.

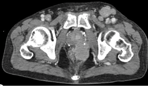
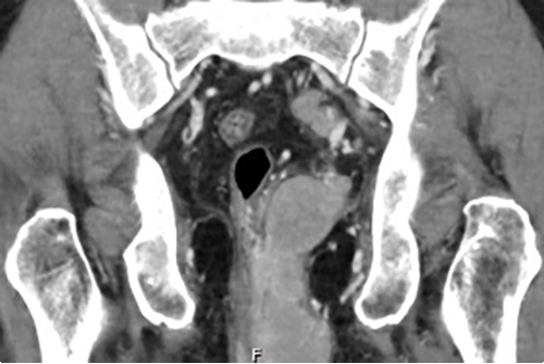
A positron emission tomography-computed tomography (PET-CT) scan was performed, demonstrating the left perianal mass predominantly occupying the ischiorectal fossa with a loss of the normal fat plane between the seminal vesicles and the rectal wall, suggesting local invasion (Figure 3). PET-CT was also significant for multiple enlarged pelvic and inguinal lymph nodes bilaterally, multiple hypermetabolic nodal stations below the diaphragm, and areas of extra nodal disease in the bone marrow and spleen, consistent with Ann Arbor stage IV disease.

Figure 3: CT I mages of Perianal Mass. Published With Permission

Hyperdense mass in left ischiorectal fossa, extending into left supralevator space
Hyperdense mass in left ischiorectal fossa, extending into left supralevator space
Left external iliac lymphadenopathy. Cranial extent of tumor with mass effect on rectum
Left external iliac lymphadenopathy. Cranial extent of tumor with mass effect on rectum

The patient was referred to hematology and promptly began chemotherapy with a V-EPOCH regimen consisting of bortezomib, etoposide, prednisone, vincristine, cyclophosphamide, and doxorubicin. The patient has now completed his second cycle of V-EPOCH with plans for additional chemotherapy per hematology recommendations.

Discussion

Perianal disease in patients with HIV is common, occurring in up to 34% of infected patients.1 Perianal complaints are the most common reason for surgical referral in patients with HIV.2 The differential diagnosis of HIV-related perianal disease can be classified into benign and malignant pathologies. Benign diseases include anal condylomas, abscesses, and ulcers, often resulting from infectious etiologies such as human papillomavirus, cytomegalovirus, herpes simplex virus, and Candidal yeast infections.10-12 The overwhelming majority of perianal malignancies in patients with HIV is squamous cell carcinoma, which is typically preceded by intraepithelial neoplasia.13 Tissue biopsy for histopathologic examination is key to distinguishing between benign and malignant lesions.

Although one of the most common HIV-associated malignancies, NHL has rarely been reported in the anorectal region.14 Plasmablastic lymphoma is an aggressive subtype of NHL that occurs predominantly in the oral cavity of HIV-positive patients.5 Rarely have perianal cases been reported in the literature.6-9 These lymphomas are four times more likely to occur in males, with a median age at presentation of 40 years in the HIV-positive population. Regardless of the primary site, most cases present as a rapidly enlarging mass with associated B symptoms.15 Interestingly, our patient did not complain of any B symptoms despite the advanced stage of the tumor at the time of presentation.

Excisional biopsy is the gold standard for the diagnosis of plasmablastic lymphoma. Unfortunately, this is not always feasible, depending on the location of the mass. Core biopsies are sufficient, along with immunohistochemistry, to narrow the differential diagnosis.15 Morphologically, plasmablastic lymphoma is characterized by immature cells with abundant eosinophilic cytoplasm organized in a diffuse ‘starry-sky’ pattern typical of high-grade B cell lymphomas. Mitotic figures, apoptotic bodies, and tingible body macrophages are abundant. Immunostaining typically reveals positivity for CD38, CD138, and MUM1 and negativity for CD20 and CD45. The ki-67 index is usually greater than 80%, and most cells are infected with Epstein-Barr virus.16

While treatment of plasmablastic lymphoma typically involves combination chemotherapy, a lack of prospective studies means that treatment is not standardized. Combination therapy with cyclophosphamide, doxorubicin, vincristine, and prednisone (CHOP) is commonly used in the treatment of NHL. However, recent National Comprehensive Cancer Network (NCCN) guidelines suggest CHOP is inadequate for t reating plasmablastic lymphoma.17 NCCN guidelines currently recommend infusional dose-adjusted EPOCH therapy (etoposide, prednisone, vincristine, cyclophosphamide, and doxorubicin). In recent years, studies have suggested the benefit of adding bortezomib to the EPOCH regimen (known as V-EPOCH).18,19 In a systematic review from 2015, Castillo and colleagues recommend six cycles of EPOCH or V-EPOCH for first-line treatment.20 Our patient is currently receiving V-EPOCH therapy and has continued HAART as recommended by NCCN guidelines.17

Despite advances in chemotherapy regimens, the prognosis for plasmablastic lymphoma remains poor. These patients often present at a late stage with extra nodal disease,21 as was the case with our patient. A multi-institutional study of 50 patients with HIV-related plasmablastic lymphoma reported a median overall survival (OS) of 11 months and an estimated five-year OS rate of 24%.22 A more recent meta-analysis including 127 HIV-positive patients with plasmablastic lymphoma similarly reported a median OS of ten months.23 A cohort study of 61 patients found that younger age and early-stage disease were associated with more favorable survival outcomes,24 suggesting the importance of early diagnosis and treatment in these patients.

Conclusion

The overall incidence of benign and malignant perianal disease in HIV-infected individuals has not changed despite the advent of HAART in the 1990s.25,26 Due to the increased number of patients living with HIV in the antiretroviral therapy era, the burden of HIV-related perineal disease remains high . It continues to be a common reason for referral to colorectal surgeons.27 Malignancy should always be included in the differential diagnosis for a perianal mass in a patient with HIV, and a biopsy should be obtained expeditiously. It was particularly consequential in this case of plasmablastic lymphoma, given the aggressive nature of the disease and the potential for survival benefit with early recognition and treatment.

Lessons Learned

HIV-related perineal disease is common, even in the era of antiretroviral therapy. Plasmablastic lymphoma, although rare, is an aggressive tumor that should be considered in the HIV-infected patient presenting with a perianal mass. Early diagnosis and treatment may improve survival.

Authors

Cyprich Ja; Noren ERb; Date Jc, Brynes RKc, Ortega AEb; Koller SEb

Author Affiliations

  1. Keck School of Medicine, University of Southern California, Los Angeles, CA 90033
  2. Division of Colorectal Surgery, Department of Surgery, Keck School of Medicine, University of Southern California, Los Angeles, CA 90033
  3. Department of Pathology, Keck School of Medicine, University of Southern California, Los Angeles, CA 90033

Corresponding Author

Sarah E. Koller, MD
Division of Colorectal Surgery
Keck School of Medicine
University of Southern California
1441 Eastlake Avenue, NTT Suite 7418
Los Angeles, CA 90033
Phone: (323) 865-3690
Email: sarah.koller@med.usc.edu

Disclosure Statement

The authors have no conflicts of interest to disclose.

Funding/Support

The authors have no relevant financial relationships or in-kind support to disclose.

Received: August 26, 2020
Revision received: October 25, 2020
Accepted: November 24, 2020

References

  1. Wexner SD, Smithy WB, Milsom JW, Dailey TH. The surgical management of anorectal diseases in AIDS and pre-AIDS patients. Dis Colon Rectum. 1986;29(11):719-723. doi:10.1007/BF02555318
  2. Miles AJ, Mellor CH, Gazzard B, Allen-Mersh TG, Wastell C. Surgical management of anorectal disease in HIV-positive homosexuals. Br J Surg. 1990;77(8):869-871. doi:10.1002/bjs.1800770808
  3. Gibson TM, Morton LM, Shiels MS, Clarke CA, Engels EA. Risk of non-Hodgkin lymphoma subtypes in HIV-infected people during the HAART era: a population-based study. AIDS. 2014;28(15):2313-2318. doi:10.1097/QAD.0000000000000428
  4. Carbone A, Gloghini A, Canzonieri V, Tirelli U, Gaidano G. AIDS-related extranodal non-Hodgkin's lymphomas with plasma cell differentiation. Blood. 1997;90(3):1337-1338.
  5. Delecluse HJ, Anagnostopoulos I, Dallenbach F, et al. Plasmablastic lymphomas of the oral cavity: a new entity associated with the human immunodeficiency virus infection. Blood. 1997;89(4):1413-1420.
  6. Chetty R, Hlatswayo N, Muc R, Sabaratnam R, Gatter K. Plasmablastic lymphoma in HIV+ patients: an expanding spectrum. Histopathology. 2003;42(6):605-609. doi:10.1046/j.1365-2559.2003.01636.x
  7. Tavora F, Gonzalez-Cuyar LF, Sun CC, Burke A, Zhao XF. Extra-oral plasmablastic lymphoma: report of a case and review of literature. Hum Pathol. 2006;37(9):1233-1236. doi:10.1016/j.humpath.2006.04.009
  8. Lim JH, Lee MH, Lee MJ, et al. Plasmablastic lymphoma in the anal canal. Cancer Res Treat. 2009;41(3):182-185. doi:10.4143/crt.2009.41.3.182
  9. Chagas LA, Camilo GB, Machado DC, et al. Plasmablastic lymphoma of the anal canal in an HIV-infected patient. Am J Case Rep. 2014;15:543-549. Published 2014 Dec 6. doi:10.12659/AJCR.892313
  10. Yuhan R, Orsay C, DelPino A, et al. Anorectal disease in HIV-infected patients. Dis Colon Rectum. 1998;41(11):1367-1370. doi:10.1007/BF02237051
  11. Barrett WL, Callahan TD, Orkin BA. Perianal manifestations of human immunodeficiency virus infection: experience with 260 patients. Dis Colon Rectum. 1998;41(5):606-612. doi:10.1007/BF02235268
  12. Nadal SR, Manzione CR, Galvão VM, Salim VR, Speranzini MB. Perianal diseases in HIV-positive patients compared with a seronegative population. Dis Colon Rectum. 1999;42(5):649-654. doi:10.1007/BF02234144
  13. Oette M, Mosthaf FA, Sautter-Bihl ML, Esser S. HIV-Associated Anal Dysplasia and Anal Carcinoma. Oncol Res Treat. 2017;40(3):100-105. doi:10.1159/000456715
  14. Freudenberg S, Palma P, Grobholz R, Ngendahayo L, Post S. HIV-related and Epstein-Barr virus-associated anal Burkitt's lymphoma: report of a case. Dis Colon Rectum. 2005;48(8):1656-1659. doi:10.1007/s10350-005-0106-9
  15. Bibas M, Castillo JJ. Current knowledge on HIV-associated Plasmablastic Lymphoma. Mediterr J Hematol Infect Dis. 2014;6(1):e2014064. Published 2014 Nov 1. doi:10.4084/MJHID.2014.064
  16. Castillo J, Pantanowitz L, Dezube BJ. HIV-associated plasmablastic lymphoma: lessons learned from 112 published cases. Am J Hematol. 2008;83(10):804-809. doi:10.1002/ajh.21250
  17. National Comprehensive Cancer Network. B-Cell Lymphomas (Version 1.2020). https://www.nccn.org/professionals/physician_gls/pdf/b-cell.pdf. Accessed April 8, 2020.
  18. Castillo JJ, Guerrero-Garcia T, Baldini F, et al. Bortezomib plus EPOCH is effective as frontline treatment in patients with plasmablastic lymphoma. Br J Haematol. 2019;184(4):679-682. doi:10.1111/bjh.15156
  19. Saba NS, Dang D, Saba J, et al. Bortezomib in plasmablastic lymphoma: a case report and review of the literature. Onkologie. 2013;36(5):287-291. doi:10.1159/000350325
  20. Castillo JJ, Bibas M, Miranda RN. The biology and treatment of plasmablastic lymphoma. Blood. 2015;125(15):2323-2330. doi:10.1182/blood-2014-10-567479
  21. Castillo JJ, Reagan JL. Plasmablastic lymphoma: a systematic review. ScientificWorldJournal. 2011;11:687-696. Published 2011 Mar 22. doi:10.1100/tsw.2011.59
  22. Castillo JJ, Furman M, Beltrán BE, et al. Human immunodeficiency virus-associated plasmablastic lymphoma: poor prognosis in the era of highly active antiretroviral therapy. Cancer. 2012;118(21):5270-5277. doi:10.1002/cncr.27551
  23. Morscio J, Dierickx D, Nijs J, et al. Clinicopathologic comparison of plasmablastic lymphoma in HIV-positive, immunocompetent, and posttransplant patients: single-center series of 25 cases and meta-analysis of 277 reported cases. Am J Surg Pathol. 2014;38(7):875-886. doi:10.1097/PAS.0000000000000234
  24. Loghavi S, Alayed K, Aladily TN, et al. Stage, age, and EBV status impact outcomes of plasmablastic lymphoma patients: a clinicopathologic analysis of 61 patients. J Hematol Oncol. 2015;8:65. Published 2015 Jun 10. doi:10.1186/s13045-015-0163-z
  25. Gonzalez-Ruiz C, Heartfield W, Briggs B, Vukasin P, Beart RW. Anorectal pathology in HIV/AIDS-infected patients has not been impacted by highly active antiretroviral therapy. Dis Colon Rectum. 2004;47(9):1483-1486. doi:10.1007/s10350-004-0606-z
  26. Bower M, Powles T, Newsom-Davis T, et al. HIV-associated anal cancer: has highly active antiretroviral therapy reduced the incidence or improved the outcome?. J Acquir Immune Defic Syndr. 2004;37(5):1563-1565. doi:10.1097/00126334-200412150-00004
  27. Centers for Disease Control and Prevention. HIV Surveillance Report, 2018 (Preliminary). https://www.cdc.gov/hiv/pdf/library/reports/surveillance/cdc-hiv-surveillance-report-2018-vol-30.pdf. Accessed April 8, 2020.