Unsupported Browser
The American College of Surgeons website is not compatible with Internet Explorer 11, IE 11. For the best experience please update your browser.
Menu
Become a member and receive career-enhancing benefits

Our top priority is providing value to members. Your Member Services team is here to ensure you maximize your ACS member benefits, participate in College activities, and engage with your ACS colleagues. It's all here.

Become a Member
Become a member and receive career-enhancing benefits

Our top priority is providing value to members. Your Member Services team is here to ensure you maximize your ACS member benefits, participate in College activities, and engage with your ACS colleagues. It's all here.

Become a Member
ACS
ACS Case Reviews

Delayed Presentation of Breast Implant-Associated Anaplastic Large Cell Lymphoma: A Single Patient Split Breast Case-Control Experience

March 8, 2023

Abstract

Background

Breast implant-associated anaplastic large cell lymphoma (BIA-ALCL) is a rare primary malignancy of the breast that has garnered significant attention in recent years. The disease was recognized as a distinct entity in 2016, and evidence-based guidelines for diagnosis and management have since been established. The classic presentation of BIA-ALCL is the spontaneous development of a periprosthetic fluid collection at least one year after breast implant placement. All reported cases have involved textured implants. While most cases are indolent with an excellent prognosis, some are more aggressive and may involve regional nodal or distant metastases.

Summary

A 62-year-old female with a history of cosmetic augmentation mammaplasty and prior BIA-ALCL of the right breast presented to the plastic surgery clinic with several months of increasing right breast fullness and discomfort. She had markedly asymmetric breasts but no palpable masses or lymphadenopathy. Diagnostic mammography and targeted right breast ultrasound raised concern for implant-associated malignancy. Given the patient's history of breast lymphoma, concerning physical examination and the available imaging, the patient was taken to the operating room for bilateral breast implant removal via en bloc capsulectomy. The procedure was performed within ten days of the initial consultation. Gross intraoperative examination of the right breast capsule was concerning for malignancy. Microscopic evaluation of the capsule and periprosthetic fluid specimens confirmed the presence of BIA-ALCL associated with the removed right breast implant.

Conclusion

This case highlights the importance of a multidisciplinary approach to diagnosing and treating BIA-ALCL as protocols evolve. While it may be most common for the plastic surgeon to field questions and concerns about BIA-ALCL, patients often initially present to other specialists, such as surgical oncologists and primary care physicians. Clinicians across specialties need to be educated on the current knowledge regarding BIA-ALCL to provide the best possible care for these patients.

Key Words

breast; breast cancer; delayed complication; mass; surgery


Case Description

A 62-year-old female with a history of cosmetic augmentation mammaplasty and prior breast implant-associated anaplastic large cell lymphoma (BIA-ALCL) of the right breast presented to the plastic surgery clinic with several months of increasing right breast fullness and discomfort. She underwent elective augmentation mammoplasty in 1985 with the placement of a textured saline implant on the right and a smooth saline implant on the left as part of a comparative trial. She was diagnosed with ALCL of the right breast in January 2009, confirmed by a pericapsular solid mass biopsy. She underwent chemotherapy, and the implants were retained. Post-chemotherapy PET/CT scans were negative, and the patient was followed by medical oncology at least annually. Routine mammography in 2018 noted concern for right implant rupture with extravasated, non-resorbed saline within the capsule. The patient was then hospitalized in 2019 for right-sided chest pain and shortness of breath; a chest CT scan obtained at that time showed, again, a collapsed right breast implant with a large surrounding fluid collection suggesting intracapsular rupture, for which the patient was referred to a plastic surgery clinic.

On initial presentation, the patient had markedly asymmetric breasts (Figure 1). There were no palpable masses or lymphadenopathy. Diagnostic mammography and targeted right breast ultrasound raised concern for implant-associated malignancy, with no discrete mass visualized. Given the patient's history of breast lymphoma, concerning physical examination and the available imaging, the patient was taken to the operating room for bilateral breast implant removal via en bloc capsulectomy, defined as gross removal of the entire implant contained within the capsule without performing a capsulotomy. The procedure was performed within ten days of the initial consultation.

Figure 1. Initial Presentation. Published With Permission

Marked breast asymmetry, with right breast significantly larger than left breast.
Marked breast asymmetry, with right breast significantly larger than left breast.

Inframammary incisions were made, and en bloc resection was completed bilaterally (Figure 2A). Both implants were in the subglandular plane. The left implant was smooth and saline-filled; the right implant was textured. The left periprosthetic capsule appeared grossly normal with no intracapsular fluid or evidence of thickening or nodules (Figure 2B). In stark contrast, the right capsule was markedly thickened, with yellowish periprosthetic fluid and white caseous material within the capsule without discrete tumor nodules (Figures 2C and 2D). Both surgical sites were thoroughly irrigated prior to closure, and the patient had an uncomplicated postoperative course.

Figure 2A. Intraoperative Findings. Published with Permission

Intraoperative photograph of exposure of right breast implant capsule
Intraoperative photograph of exposure of right breast implant capsule

Figure 2B.

Following en bloc resection of bilateral breast implants and capsules, right capsule was noted to be significantly larger than left capsule
Following en bloc resection of bilateral breast implants and capsules, right capsule was noted to be significantly larger than left capsule

Figure 2C.

Right capsule was markedly thickened and filled with white caseous material
Right capsule was markedly thickened and filled with white caseous material

Figure 2D.

Approximately 125 mL of periprosthetic fluid was drawn from right capsule and sent for pathology and flow cytometry
Approximately 125 mL of periprosthetic fluid was drawn from right capsule and sent for pathology and flow cytometry

On microscopic examination of the right capsule (Figure 3), there was a thick layer of fibrinonecrotic material on the luminal side of the capsule, corresponding to the gross caseous material. Within the fibrin was extensive tumor necrosis and ghosts of lymphoma cells, with small pockets of preserved large lymphoma cells. Immunohistochemistry showed the neoplastic cells to be positive for CD30, CD4, epithelial membrane antigen, TIA-1, and CD43. The left implant capsule had only reactive changes and no morphologic evidence of lymphoma.

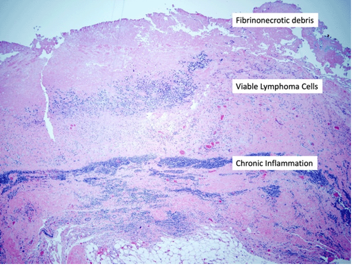
Figure 3A. Histopathologic Examination of Intraoperative Specimens. Published with Permission

)Low magnification image (4x) showing full-thickness section of right breast implant capsule with abundant fibrinonecrotic debris in luminal aspect with pockets of viable tumor cells and fibroadipose tissue with chronic inflammation in periphery of capsule (hematoxylin and eosin stain)
)Low magnification image (4x) showing full-thickness section of right breast implant capsule with abundant fibrinonecrotic debris in luminal aspect with pockets of viable tumor cells and fibroadipose tissue with chronic inflammation in periphery of capsule (hematoxylin and eosin stain)

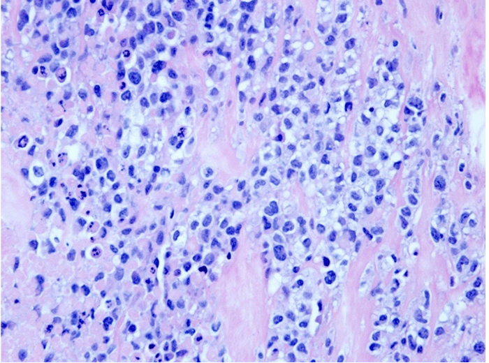
Figure 3B.

Higher magnification image (40x) showing numerous atypical/pleomorphic tumor cells, including occasional horseshoe/kidney-shaped Reniform cells with prominent Golgi eosinophilic material and many single apoptotic cells (hematoxylin and eosin stain)
Higher magnification image (40x) showing numerous atypical/pleomorphic tumor cells, including occasional horseshoe/kidney-shaped Reniform cells with prominent Golgi eosinophilic material and many single apoptotic cells (hematoxylin and eosin stain)

Figure 3C.

Tumor cells are negative for CD3 (top left) and show positivity for CD4 (top-middle), CD30 (top-right), and CD43 (bottom-left) (immunohistochemistry stain). Tumor cells are focally positive for epithelial membrane antigen (bottom-middle) and cytotoxic marker TIA-1 with prominent Golgi pattern (bottom-right) (immunohistochemistry stain).
Tumor cells are negative for CD3 (top left) and show positivity for CD4 (top-middle), CD30 (top-right), and CD43 (bottom-left) (immunohistochemistry stain). Tumor cells are focally positive for epithelial membrane antigen (bottom-middle) and cytotoxic marker TIA-1 with prominent Golgi pattern (bottom-right) (immunohistochemistry stain).

The patient continues to follow regularly with both plastic surgery and medical oncology, and she is doing well. Postoperative PET/CT scans have shown no evidence of local or regional lymph node spread. Unfortunately, due to the chronic seroma with increasing size, there is a significant deflation deformity of the right breast (Figure 4), and she is considering autologous-based reconstruction.

Figure 4A. Postoperative Follow-Up Photographs Six Months After Bilateral Breast Implant Removal and Capsulectomies. Published with Permission

Figure 4B.

Discussion

BIA-ALCL is a rare primary malignancy of the breast that has garnered significant attention in recent years. The disease was first described in 1997,1 with the US Food and Drug Administration releasing a warning statement in 20112 and the World Health Organization recognizing the disease as a distinct entity in 2016.3 The National Comprehensive Cancer Network has since established evidence-based guidelines for diagnosis and management.4

The classic presentation of BIA-ALCL is the spontaneous development of a periprosthetic fluid collection at least one year after implant placement. All reported cases have involved textured implants,5 without significant risk differences between silicone- and saline-filled implants.6 Pathologic evaluation of periprosthetic fluid shows a monoclonal proliferation of CD30+ and anaplastic lymphoma kinase-negative T-cells.7 Although the pathogenesis is not yet fully understood, it is generally believed to involve a chronic inflammatory response leading to T-cell dysplasia in patients with genetic susceptibility.7,8 The standard of care for confirmed cases is the removal of the affected implant via en bloc capsulectomy.4 While most cases are indolent with an excellent prognosis, some are more aggressive and may involve regional nodal or distant metastases.9

This case report highlights a unique presentation of BIA-ALCL in a patient with one textured implant and one smooth implant. To the authors' knowledge, no studies to date report "split breast" trials to investigate the incidence of BIA-ALCL in textured versus smooth implants in the same patient. Such a study would be unethical, given the now-known relationship between textured implants and ALCL. However, similar studies have been performed to evaluate capsular contracture formation. In double-blind prospective trials in which patients received one textured and one smooth silicone gel implant, the textured implants were found to be protective against capsular contracture.10,11

The patient received her cosmetic breast augmentation free of charge by enrolling in a study similar to the aforementioned split-breast studies. The patient subsequently developed BIA-ALCL on the side of the textured implant. To the authors' knowledge, this unique presentation has not been described in the literature and emphasizes the increased risk associated with textured implants and the importance of surveillance.

This case is also an unfortunate example of a delay in treatment. Although pathology reports in 2009 showed ALCL, a delay in implant removal and capsulectomy was likely due to both a discontinuity of care and a lack of established guidelines for BIA-ALCL management. This highlights the importance of a multidisciplinary approach to diagnosing and treating BIA-ALCL as protocols continue to evolve. The current recommendation for resectable disease is complete excision by total capsulectomy and implant removal; at this time, sentinel lymph node biopsy is not a part of the treatment algorithm.12 Multidisciplinary care is important for all cases, particularly those with unresectable disease or cases that may benefit from additional therapy aside from surgery.12 While it may be most common for the plastic surgeon to field questions and concerns about BIA-ALCL, patients often initially present to other specialists, such as surgical oncologists or primary care physicians. Clinicians across specialties need to be educated on the current knowledge regarding BIA-ALCL in order to provide the best possible care for these patients.

Conclusion

BIA-ALCL is a primary malignancy of the breast associated with textured breast implants that has garnered attention in recent years, both within the medical and surgical communities as well as the popular media. Most cases are indolent and are associated with good outcomes, but the disease may progress to involve local and regional lymph nodes or distant metastases. This case highlights the importance of a multidisciplinary approach to diagnosing and treating BIA-ALCL. Patients often initially present to specialists such as surgical oncologists, as well as to primary care physicians. Thus, it is paramount for clinicians, particularly surgeons, to be educated on the current knowledge regarding BIA-ALCL and its presentation to promote appropriate surveillance and guide therapy.

Lessons Learned

BIA-ALCL is a primary malignancy of the breast that is not yet fully understood. All reported cases of BIA-ALCL have been associated with the use of textured breast implants. Surgeons, as well as primary care and other physicians, should be aware of BIA-ALCL and its presentation in patients with breast implants.

Authors

Bonett AMa,b; Alba Ba,b; O'Neill ESa,b; Fidai Sc; Soriano Pd; Zia MFd; Doscher MEa; Grevious MAa; Hasan JSa

Author Affiliations

  1. Division of Plastic & Reconstructive Surgery, John H. Stroger Hospital of Cook County, Chicago, IL 60612
  2. Division of Plastic & Reconstructive Surgery, Rush University Medical Center, Chicago, IL 60612
  3. Department of Pathology, John H. Stroger Hospital of Cook County, Chicago, IL 60612
  4. Division of Hematology & Oncology, John H. Stroger Hospital of Cook County, Chicago, IL 60612

Corresponding Author

Jafar S. Hasan, MD, MBA, FACS
Division of Plastic & Reconstructive Surgery
John H. Stroger Hospital of Cook County
1969 W. Ogden Avenue
Chicago, IL 60612
Email: jhasan@cookcountyhhs.org

Disclosure Statement

The authors have no conflicts of interest to disclose.

Funding/Support

The authors have no relevant financial relationships or in-kind support to disclose.

Received: September 25, 2020
Revision received: December 23, 2020
Accepted: February 1, 2021

References

  1. Keech JA Jr, Creech BJ. Anaplastic T-cell lymphoma in proximity to a saline-filled breast implant. Plast Reconstr Surg. 1997;100(2):554-555. doi:10.1097/00006534-199708000-00065
  2. FDA update on the safety of silicone gel-filled breast implants. FDA.gov. Accessed September 23, 2020. https://www.fda.gov/files/medical%20devices/published/Update-on-the-Safety-of-Silicone-Gel-Filled-Breast-Implants-%282011%29.pdf
  3. Swerdlow SH, Campo E, Pileri SA, et al. The 2016 revision of the World Health Organization classification of lymphoid neoplasms. Blood. 2016;127(20):2375-2390. doi:10.1182/blood-2016-01-643569
  4. Clemens MW, Jacobsen ED, Horwitz SM. 2019 NCCN Consensus Guidelines on the Diagnosis and Treatment of Breast Implant-Associated Anaplastic Large Cell Lymphoma (BIA-ALCL). Aesthet Surg J. 2019;39(Suppl_1):S3-S13. doi:10.1093/asj/sjy331
  5. Doren EL, Miranda RN, Selber JC, et al. US Epidemiology of Breast Implant-Associated Anaplastic Large Cell Lymphoma. Plast Reconstr Surg. 2017;139(5):1042-1050. doi:10.1097/PRS.0000000000003282
  6. Collett DJ, Rakhorst H, Lennox P, Magnusson M, Cooter R, Deva AK. Current Risk Estimate of Breast Implant-Associated Anaplastic Large Cell Lymphoma in Textured Breast Implants. Plast Reconstr Surg. 2019;143(3S A Review of Breast Implant-Associated Anaplastic Large Cell Lymphoma):30S-40S. doi:10.1097/PRS.0000000000005567
  7. Clemens MW, Brody GS, Mahabir RC, Miranda RN. How to Diagnose and Treat Breast Implant-Associated Anaplastic Large Cell Lymphoma. Plast Reconstr Surg. 2018;141(4):586e-599e. doi:10.1097/PRS.0000000000004262
  8. Di Napoli A, Jain P, Duranti E, et al. Targeted next generation sequencing of breast implant-associated anaplastic large cell lymphoma reveals mutations in JAK/STAT signalling pathway genes, TP53 and DNMT3A. Br J Haematol. 2018;180(5):741-744. doi:10.1111/bjh.14431
  9. Collins MS, Miranda RN, Medeiros LJ, et al. Characteristics and Treatment of Advanced Breast Implant-Associated Anaplastic Large Cell Lymphoma. Plast Reconstr Surg. 2019;143(3S A Review of Breast Implant-Associated Anaplastic Large Cell Lymphoma):41S-50S. doi:10.1097/PRS.0000000000005568
  10. Hakelius L, Ohlsén L. A clinical comparison of the tendency to capsular contracture between smooth and textured gel-filled silicone mammary implants. Plast Reconstr Surg. 1992;90(2):247-254.
  11. Hakelius L, Ohlsén L. Tendency to capsular contracture around smooth and textured gel-filled silicone mammary implants: a five-year follow-up. Plast Reconstr Surg. 1997;100(6):1566-1569. doi:10.1097/00006534-199711000-00030
  12. Marra A, Viale G, Pileri SA, et al. Breast implant-associated anaplastic large cell lymphoma: A comprehensive review. Cancer Treat Rev. 2020;84:101963. doi:10.1016/j.ctrv.2020.101963