Unsupported Browser
The American College of Surgeons website is not compatible with Internet Explorer 11, IE 11. For the best experience please update your browser.
Menu
Become a member and receive career-enhancing benefits

Our top priority is providing value to members. Your Member Services team is here to ensure you maximize your ACS member benefits, participate in College activities, and engage with your ACS colleagues. It's all here.

Become a Member
Become a member and receive career-enhancing benefits

Our top priority is providing value to members. Your Member Services team is here to ensure you maximize your ACS member benefits, participate in College activities, and engage with your ACS colleagues. It's all here.

Become a Member
ACS
ACS Case Reviews

Breast Pain, Palpable Mass, and a Perplexing Diagnosis

December 16, 2022

Abstract

Background

Breast pain and nodularity are the most common reasons for pre-menopausal women presenting to the surgical breast clinic—this is usually considered part of the aberrations of normal ductal involution (ANDI). Triple assessment remains the cornerstone of evaluation to identify any sinister lesion. While mastalgia may be cyclical or non-cyclical, nodularity is usually diffuse with prominence in the upper outer quadrant (UOQ) due to greater breast density in that region. We herein report an unusual case of clustered nodularity developing in the region of the axillary tail of the breast in a pre-menopausal lady with a long history of mastalgia.

Summary

A 31-year-old woman presented with lumpiness in the outer aspect of the right breast ongoing for one year and mastalgia for six months. Right breast examination showed clustered nodularity of around 4 (4 cm from the 9 to 11 o’clock position) in the axillary tail region. A mammogram revealed asymmetry in the UOQ of the right breast. Ultrasound showed dilated ducts having echogenic circumscribed echogenic masses with no internal vascularity. Contrast-enhanced MRI was used for better delineation, which showed non-mass enhancement with type 2 kinetic curve in the UOQ of the right breast measuring 5 (2.3 cm from the 9 to 11 o’clock position) reaching up to the skin. The lesion was heterogeneously hyperintense on T2 STIR and showed mild diffusion restriction, which was classified as category IVc according to the breast imaging-reporting and data system (BI-RADS). An ultrasound-guided core needle biopsy was non-contributory. A wide local excision was performed under general anesthesia, given localized clinical and suspicious radiological findings. Histopathological evaluation of the surgical specimen revealed multiple dilated ducts filled with cheesy material, reaching up to the skin with chronic periductal inflammation, and all excised margins were free. A diagnosis of duct ectasia with periductal mastitis was made.

Conclusion

Our report emphasizes the importance of a triple assessment of breast lesions and an appropriately planned surgical excision if there is an inability to make a satisfactory diagnosis after relevant investigation.

Key Words

mastalgia; breast nodularity; axillary tail of breast; duct ectasia; periductal mastitis


Case Description

A 31-year-old female presented with complaints of lumpiness in the outer aspect of the right breast ongoing for one year, which was also associated with moderate-intensity cyclical pain for the past six months. She had no history of breast or axillary lumps or nipple discharge. She was multiparous with two children who were breastfed cumulatively for five years. Her family history was negative for breast or ovarian cancer. Examination of the right breast showed an area of clustered nodularity measuring around 4 × 4 cm from the 9 to 11 o’clock position in the UOQ near the axillary tail (Figure 1). The remaining right breast, contralateral breast, and bilateral axillae were normal.

Figure 1. Schematic Representation of Clinical Findings (Arrow Represents Region of Palpable Breast Nodularity)

A bilateral mammogram with sonographic assessment was used to complete the triple assessment. There was mammographic asymmetry in the upper quadrant of the right breast (Figure 2A). Ultrasound depicted normal fibro-glandular tissue with duct ectasia in the axillary tail region. Few echogenic circumscribed echogenic masses with no internal vascularity were seen within the ducts (Figure 2E). A probability of duct ectasia with intraductal papilloma in the axillary tail region was made, and contrast-enhanced magnetic resonance imaging (CE MRI) was subsequently done for better delineation. On CE MRI, there was non-mass enhancement with a type 2 kinetic curve in the UOQ of the right breast measuring 5.0 × 2.3 cm from the 9 to 11 o’clock position, which was reaching up to the skin. The lesion was heterogeneously hyperintense on T2 STIR and showed mild diffusion restriction (Figure 2B, Figure 2C, and Figure 2D). It was classified as BIRADS IVc, and an ultrasound-guided core needle biopsy was performed. This biopsy showed benign parenchyma with foci of chronic inflammation and stromal hyalinization.

Figure 2. Mediolateral Oblique (MLO) View of Mammogram of the Right Breast. Published with Permission

A) Asymmetric density at right axillary tail location (arrow)—density does not have any spiculation or microcalcification; B) lesion (arrow) is hypointense on T1W on MRI; C) and hyperintense on STIR images—D) no enhancement on subtracted maximum intensity projection (MIP) contrast-enhanced images. E) High-resolution focused ultrasound image of abnormality reveals dilated anechoic tubular channels (arrow), suggesting duct ectasia. Echogenic intraductal content (asterisk) is likely debris due to flow demonstration on color Doppler interrogation (shown in box).

However, a wide local excision was planned because of localized clinical and suspicious radiological findings. The procedure was performed under general anesthesia, and excision with gross negative margins was achieved. Intraoperatively, the clustered nodularity noted in the axillary tail region of the right breast, which was extending up to the skin, was excised—cheesy material exuded from some of the lesions on examination of the surgical specimen. The patient had an uneventful postoperative recovery.

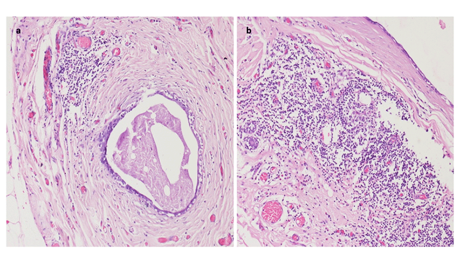
Histopathological evaluation of the surgical specimen revealed multiple dilated ducts filled with cheesy material reaching up to the skin. The epithelium of a few ducts was ulcerated. There was periductal chronic inflammation, and duct ectasia was diagnosed with periductal mastitis (Figure 3). All the excised margins were free.

Figure 3. Representative Views of Hematoxylin and Eosin Stained Sections of Dilated Ducts. Published with Permission

A) Multiple dilated ducts filled with cheesy material, periductal chronic inflammation, focal ulcerated lining, lymphohistiocytic infiltrate; B) intervening parenchyma showing dense chronic inflammation with foamy histiocytes and polymorphonuclear lymphocytes.

Discussion

Duct ectasia (DE) is classically described as the dilatation of the terminal milk ducts beneath the nipple-areola.1 There are few case reports describing DE in ducts of an axillary accessory breast.2‒4 We herein report an unusual case of DE in the peripheral milk ducts in the region of the axillary tail with normal subareolar main milk ducts.

Mammary DE often affects post- and peri-menopausal women. Its etiology is not well understood. While some believe that the filling of ducts with debris and lipoid material leads to ductal dilation and leaking intra-luminal material results in peri-ductal inflammation, others believe that periductal inflammation is the primary inciting phenomenon. This peri-ductal inflammation leads to the destruction of the ducts’ elastic lamina and, hence, dilatation.1,5,6 Because of this, some authors prefer to use the term duct ectasia/periductal mastitis (DE/PDM) to describe this entity.

DE/PDM usually presents with nipple discharge, non-cyclical mastalgia, peri-areolar abscess, mammary fistula, lump, and nipple retraction as it classically involves retro-areolar main milk ducts. While pain and nipple discharge are common in younger women, lump and nipple retraction mimicking malignancy are more common in the older age group. On examination, dilated ducts can be palpated beneath the nipple.6 This probably was the reason for Bloodgood naming this condition as “varicocele tumor of the breast” in 1923.7 In our patient, we could feel clustered nodularity in the axillary tail region likely due to dilated ducts filled with secretions, giving a “varicocele” like feel on palpation. However, she lacked the classical clinical features described above as main milk ducts were normal on clinical and radiological evaluation.

Diagnosis is usually clinical in classical DE. The literature on DE in accessory breast tissue has shown that this entity has been either a histopathological surprise on the surgical specimen of accessory breast or the patient presented with mammary fistula, abscess and pain.2,4 Presentation with focal clustered nodularity in the axillary tail region, as in our case, has not been described so far. Mammography coupled with USG breast usually demonstrates irregular thickening of the subareolar breast tissue with dilated ducts that may be filled with echogenic contents. Sometimes, these echogenic contents within the ductal lumen may make it difficult to differentiate from carcinoma, as in our case. In such scenarios, CE MRI is beneficial.

Treating DE is usually conservative with antibiotics unless there is a doubt of underlying malignancy. Direct needle biopsies from the overlying skin and incision drainage of the subareolar abscess may lead to an external mammary fistula, which is challenging to treat. Core needle biopsy, when done to rule out malignancy, should be planned from normal skin. Surgical excision in classical DE or DE involving accessory breast has been practiced when there is a suspicion of malignancy or the condition is not settling with repeated antibiotics.1,8 In our case, there was a diagnostic uncertainty because of the unique location and suspicion of malignancy; hence a wide local excision was performed. On excision, these ducts may exude creamy or pasty material,1 as was also seen on examination of the surgical specimen in our case. Histopathology confirms the diagnosis and depicts an absence of epithelial proliferation with atrophy of involved ducts and surrounding chronic inflammatory infiltrate, which demarcates the duct from surrounding fatty stroma.1

Clinical, radiological, and pathological concordance while assessing the results of the triple assessment is essential in deciding the proper management of women with any breast ailment. Management becomes straightforward if all three corroborate and point towards a benign or malignant condition. However, in situations wherein there is a discordance between clinical assessment and/or imaging with the biopsy findings, it is prudent to consider excision of the lesion via a suitably placed incision. Such an incision should commonly allow excision with negative margins. It should not compromise on further surgical management (if required) if there is a malignancy in the histopathological evaluation of the surgical specimen.

Conclusion

Triple assessment of breast lesions remains the cornerstone of evaluating breast symptoms. In case of discordance between clinical, radiological, and pathological findings, an appropriately planned surgical excision helps in proper diagnosis and management.

Lessons Learned

Our case report highlights an unusual case of a young lady having ductal ectasia involving peripheral milk ducts in the region of the axillary tail of the breast, without clinico-radiological involvement of main milk ducts. It emphasizes the importance of triple assessment of breast lesions and the relevance of an appropriately planned surgical excision in case of an inability to make a satisfactory diagnosis after relevant investigation.

References

  1. Haagensen CD. Mammary-duct ectasia; a disease that may simulate carcinoma. Cancer. 1951;4(4):749-761. doi:10.1002/1097-0142(195107)4:4<749::aid-cncr2820040413>3.0.co;2-f
  2. Zhang X, Grobmyer SR, Wang Y, Sun Q, Huang H. Duct ectasia in an accessory breast successfully treated with a flap technique: a case report. J Thorac Dis. 2016;8(12):E1585-E1588. doi:10.21037/jtd.2016.12.29
  3. Anusha AM. Duct ectasia an unusual case presentation and an overview. IOSR Journal of Dental and Medical Sciences. 2014;13(12):29-32. doi:10.9790/0853-131232932
  4. Afridi SP, Shamim MS, Rahman SU, Samo KA, Sabir S. Simultaneous duct ectasia of accessory and normally located breast. J Coll Physicians Surg Pak. 2009;19(1):57-58.
  5. Dixon JM. Periductal mastitis/duct ectasia. World J Surg. 1989;13(6):715-720. doi:10.1007/BF01658420
  6. Dixon JM, Anderson TJ, Lumsden AB, Elton RA, Roberts MM, Forrest AP. Mammary duct ectasia. Br J Surg. 1983;70(10):601-603. doi:10.1002/bjs.1800701011
  7. Bloodgood JC. The clinical picture of dilated ducts beneath the nipple frequently to be palpated as a doughy wormlike mass-The varicocele tumour of the breast. Surg Gynecol Obstet. 1923;36:486-95.
  8. Webb AJ. Mammary duct ectasia--periductal mastitis complex. Br J Surg. 1995;82(10):1300-1302. doi:10.1002/bjs.1800821003

Authors

Gupta Ea; Suhani Sa; Jana Mb; Mathur Sc; Parshad Ra

Author Affiliations

  1. Department of Surgical Disciplines, AIIMS, New Delhi, India
  2. Department of Radiodiagnosis, AIIMS, New Delhi, India
  3. Department of Pathology, AIIMS, New Delhi, India

Corresponding Author

Suhani Suhani, MD
Department of Surgical Disciplines
All India Institute of Medical Sciences
Ansari Nagar, New Delhi 110029, India
Phone: +91-9810534358
Email: drsuhani@gmail.com

Meeting Presentation

Association of Surgeons of India, Delhi State Chapter, November 2020

Disclosure Statement

The authors have no conflicts of interest to disclose.

Funding/Support

The authors have no relevant financial relationships or in-kind support to disclose.

Received: November 21, 2020
Revision received: February 22, 2021
Accepted: March 4, 2021