Unsupported Browser
The American College of Surgeons website is not compatible with Internet Explorer 11, IE 11. For the best experience please update your browser.
Menu
Become a member and receive career-enhancing benefits

Our top priority is providing value to members. Your Member Services team is here to ensure you maximize your ACS member benefits, participate in College activities, and engage with your ACS colleagues. It's all here.

Become a Member
Become a member and receive career-enhancing benefits

Our top priority is providing value to members. Your Member Services team is here to ensure you maximize your ACS member benefits, participate in College activities, and engage with your ACS colleagues. It's all here.

Become a Member
ACS
ACS Case Reviews

Parietopericardial Hernia with Small Bowel Strangulation Postpericardial Window

December 16, 2022

Abstract

Background

A 64-year-old woman presented to the emergency department with pneumopericardium two weeks post-pericardial window with imaging revealing parietopericardal hernia containing small bowel.

Summary

Parietopericardial herniation is described as the herniation of abdominal contents through a diaphragm defect into the pericardial space and is seen after various surgical and non-surgical etiologies. We present a patient post pericardial window with small bowel strangulation due to parietopericardial herniation.

Conclusion

The differential diagnosis for pneumopericardium post-cardiothoracic surgical procedures should include parietopericardial hernia to identify herniation earlier and involve appropriate surgical consultation.

Key Words

diaphragm; hernia; parietopericardial hernia; pneumopericardium


Case Description

Parietopericardial herniation occurs via disruption in the structural integrity of the diaphragm via various methods, including congenital malformations, trauma, or postoperatively. This weak point in the diaphragm may lead to herniation of abdominal contents into the chest causing tamponade physiology and possible organ strangulation or ischemia. We present a case of a 64-year-old woman with metastatic breast cancer who had a pericardial window with subsequent parietopericardial herniation and small bowel strangulation.

The patient presented as a transfer to our hospital due to worsening clinical condition with findings of pneumopericardium and complaints of dyspnea. Upon initial presentation to the outlying hospital, she did not have obstructive symptoms or abdominal pain. She presented to our emergency department with acute onset generalized abdominal pain that radiated to her back with associated dizziness, weakness, and vomiting. She had a past medical history significant for metastatic breast cancer treated with radiation and chemotherapy. Two weeks prior to this presentation, she underwent a subxiphoid pericardial window at another hospital for a malignant pericardial effusion with tamponade physiology and was subsequently discharged home. Her other notable medical history was relevant for malnutrition, chronic obstructive pulmonary disease, type II diabetes mellitus, and a 44 pack/year smoking history.

CT imaging was done at an outlying hospital with intravenous but without oral contrast of the chest, abdomen, and pelvis. Imaging revealed pneumopericardium; however, a diagnosis of the parietopericardial herniation was not made. The decision was made to transfer this patient to our tertiary care center for further evaluation and treatment.

Upon arrival, the patient had diffuse abdominal pain and obstructive symptoms. Vital signs were temperature of 95.9°F, sinus tachycardia with a rate of 124 beats per minute, blood pressure 88/60mmHg, respiratory rate of 30, and 97% SaO2 on 4L nasal cannula. Given her change in exam, repeat imaging was obtained to assess for abdominal pathology. Repeat imaging revealed parietopericardial herniation, which contained small bowel (Figure 1 to Figure 3). A small number of ascites was noted on CT. Broad-spectrum antibiotics and fluid resuscitation were initiated, and acute care surgery was consulted. Her lab work was notable for worsening leukocytosis, liver function tests concerning for shock liver, acute kidney injury, and elevated INR (Figure 1).

Figure 1. Coronal CT Image Herniation of Small Bowel Herniation into Pericardial Space. Published with Permission

Arrow pointing to pericardial and small bowel interface.

Figure 2. Sagittal CT Image of Small Bowel Herniation into Pericardial Space. Published with Permission

Arrows showing diaphragm defect with small bowel entering pericardial space.

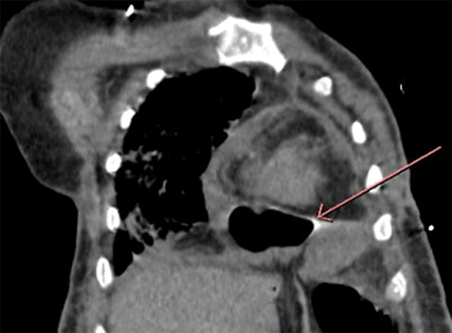
Figure 3. Axial Image Showing Small Bowel in Pericardial Space with Air-Fluid Level. Published with Permission

Lab Tertiary Admission Initial Presentation
White Blood Cells 14.35 7.8
Hemoglobin 9 9.4
Hematocrit 29.5 30.4
Platelet Count 189 168
Sodium 140 137
Potassium 6.1 5.1
Chloride 110 111
Bicarbonate 18 15
BUN 30 16
Creatinine 1.7 0.9
Lactic Acid 2.2 2.3
AST 2,058 57
ALT 1,412 46
Albumin 1.9 1.8
PT 16.5
INR 1.3
Troponin <0.01
Table 1. Laboratory Results at Initial Outlying ED and Admission to Tertiary Care Center.
Lab Tertiary Admission Initial Presentation
White Blood Cells 14.35 7.8
Hemoglobin 9 9.4
Hematocrit 29.5 30.4
Platelet Count 189 168
Sodium 140 137
Potassium 6.1 5.1
Chloride 110 111
Bicarbonate 18 15
BUN 30 16
Creatinine 1.7 0.9
Lactic Acid 2.2 2.3
AST 2,058 57
ALT 1,412 46
Albumin 1.9 1.8
PT 16.5
INR 1.3
Troponin <0.01

Her clinical status was rapidly deteriorating shortly after admission to our center. Given the patient's multiple comorbidities and grave illness in the setting of metastatic breast cancer, her family decided to proceed with comfort measures. The patient subsequently expired on hospital day one. No autopsy was performed.

Discussion

Diaphragm disruption occurs via various etiologies, leading to potential hernia formation in the pericardial space. This condition is most commonly described as a peritoneal pericardial herniation post blunt trauma, often with delayed presentation.1,2 Congenital malformations like Morgagni diaphragmatic hernia have also presented as cardiac tamponade with herniation of abdominal contents into the pericardial space.3

Cardiothoracic surgical procedures which disrupt normal diaphragm architecture have been described as causing herniation. These include driveline insertion during LVAD placement, congenital cardiac surgery, and esophagectomy.4‒8 Stomach and colonic herniation postpericardial window have also been reported.9 Parietopericardial herniation has been seen with subxiphoid epicardial pacing wire placement and coronary artery bypass graft utilizing the right gastroepiploic artery.10,11 While small bowel strangulation has been described in a patient with central tendon diaphragm disruption without previous cardiac surgery,12 there have not been any cases reported of small bowel herniation post cardiac surgery.

The repair of parietopericardial hernias has been successfully described via laparoscopic approach, laparotomy, and median sternotomy.13‒15 Techniques for repairing the hernia defect depend on the size and chronicity of the herniation. Chronic parietopericardial hernia defects may have adhesions to the pericardium, making an approach via median sternotomy preferred, while an intraabdominal approach is preferred in acute settings. These repairs can be done with primary closure or by utilizing mesh placement.13

We are presenting a patient who had small bowel herniate into the pericardial space after a subxiphoid window resulting in bowel strangulation and infarction. This rare presentation is a surgical emergency and should be included in the differential of pneumopericardium in the setting postpericardial window or cardiac surgery. Rapid identification and general surgical consult should be made in the emergency department so that the patient may be taken back to the operating room emergently to reduce and resect any ischemic or infarcted bowel.

Conclusion

The differential diagnosis for pneumopericardium postcardiac surgical procedures should include parietopericardial hernia to identify herniation earlier and involve appropriate surgical consultation.

Lessons Learned

Patients with pneumopericardium post-trauma or surgical procedure which entails diaphragm disruption should include parietopericardial hernia in the differential diagnosis with emergent surgical consultation. Delay in identification, consultation, and transfer to tertiary care centers can result in strangulation of the hernia contents leading to overall increased morbidity and mortality.

References

  1. Moore TC. Traumatic pericardial diaphragmatic hernia. Arch Surg. 1959;79:827-830. doi:10.1001/archsurg.1959.04320110129022
  2. Kumar S, Kumar S, Bhaduri S, More S, Dikshit P. An undiagnosed left sided traumatic diaphragmatic hernia presenting as small intestinal strangulation: A case report. Int J Surg Case Rep. 2013;4(5):446-448. doi:10.1016/j.ijscr.2013.02.006
  3. Dyamenahalli U, Williams P, Lee TK. Right heart tamponade and intermittent cyanosis due to Morgagni diaphragmatic hernia in a neonate. J Pediatr Surg Case Reports. 2020;54:101369. doi:10.1016/j.epsc.2019.101369
  4. Groth SS, Whitson BA, D'Cunha J, Andrade RS, Maddaus MA. Diaphragmatic hernias after sequential left ventricular assist device explantation and orthotopic heart transplant: early results of laparoscopic repair with polytetrafluoroethylene. J Thorac Cardiovasc Surg. 2008;135(1):38-43. doi:10.1016/j.jtcvs.2007.09.017
  5. Chatterjee S, Williams NN, Ohara ML, Twomey C, Morris JB, Acker MA. Diaphragmatic hernias associated with ventricular assist devices and heart transplantation. Ann Thorac Surg. 2004;77(6):2111-2114. doi:10.1016/j.athoracsur.2003.10.108
  6. Panda BR, Sumangala SG, Katewa A, Naik SK, Mishra J, Kumar RK. Intrapericardial diaphragmatic hernia after arterial switch operation. Ann Thorac Surg. 2010;90(5):e73-e74. doi:10.1016/j.athoracsur.2010.07.085
  7. Saito T, Yasui K, Kurahashi S, et al. Intrapericardial diaphragmatic hernia into the pericardium after esophagectomy: a case report. Surg Case Rep. 2018;4(1):94. Published 2018 Aug 13. doi:10.1186/s40792-018-0499-z
  8. Docekal J, Fabian T. Pericardial window formation complicated by intrapericardial diaphragmatic hernia. Case Rep Surg. 2014;2014:132170. doi:10.1155/2014/132170
  9. Murari VJ, Alexander GL, Cassivi SD. Massive intrapericardial herniation of stomach following pericardial window. Hernia. 2004;8(3):273-276. doi:10.1007/s10029-003-0202-5
  10. Swartz D, Livingston C, Tio F, Mack J, Trinkle JK, Grover FL. Intrapericardial diaphragmatic hernia after subxiphoid epicardial pacemaker insertion: case reports. J Thorac Cardiovasc Surg. 1984;88(4):633-635.
  11. Waller DA, Satur CM, Mitchell IM, Sivanathan UM. Iatrogenic peritoneopericardial hernia following coronary artery bypass surgery. Eur J Cardiothorac Surg. 1992;6(3):156-157. doi:10.1016/1010-7940(92)90122-e
  12. Lee JH, Kim SW. Small bowel strangulation due to peritoneopericardial diaphragmatic hernia. J Cardiothorac Surg. 2014;9:65. Published 2014 Apr 2. doi:10.1186/1749-8090-9-65
  13. Kessler R, Pett S, Wernly J. Peritoneopericardial diaphragmatic hernia discovered at coronary bypass operation. Ann Thorac Surg. 1991;52(3):562-563. doi:10.1016/0003-4975(91)90930-o
  14. Al-Ghnaniem R, Ahmed I, Bosanac Z, Philips S. Successful laparoscopic repair of acute intrapericardial diaphragmatic hernia secondary to penetrating trauma. J Trauma. 2009;67(6):E181-E182. doi:10.1097/TA.0b013e31809fef31
  15. Spiliotopoulos K, de la Cruz KI, Gkotsis G, Preventza O, Coselli JS.v Repair of Intrapericardial Diaphragmatic Hernia during Aortic Surgery in a 78-Year-Old Woman. Tex Heart Inst J. 2017;44(2):150-152. Published 2017 Apr 1. doi:10.14503/THIJ-16-5985

Authors

Miter SLa; Atkins MBb; Kassar OMa; Singh Ra

Author Affiliations

  1. Department of Surgery, Inova Fairfax Hospital, Falls Church, VA 22042
  2. Department of Radiology, Inova Fairfax Hospital, Falls Church, VA 22042

Corresponding Author

Ramesh Singh, MD, MRCS, FACC
Inova Heart and Vascular Institute
8110 Gatehouse Road
Falls Church, VA 22042
Phone: 703-776-3563
Email: ramesh.singh@inova.org

Disclosure Statement

The authors have no conflicts of interest to disclose.

Funding/Support

The authors have no relevant financial relationships or in-kind support to disclose.

Received: October 4, 2020
Revision received: November 11, 2020
Accepted: November 24, 2020