Unsupported Browser
The American College of Surgeons website is not compatible with Internet Explorer 11, IE 11. For the best experience please update your browser.
Menu
Become a member and receive career-enhancing benefits

Our top priority is providing value to members. Your Member Services team is here to ensure you maximize your ACS member benefits, participate in College activities, and engage with your ACS colleagues. It's all here.

Become a Member
Become a member and receive career-enhancing benefits

Our top priority is providing value to members. Your Member Services team is here to ensure you maximize your ACS member benefits, participate in College activities, and engage with your ACS colleagues. It's all here.

Become a Member
ACS
ACS Case Reviews

Presentation, Imaging, and Management of a Rare Case of Paraganglioma of the Gallbladder

December 16, 2022

Abstract

Background

A 67-year-old female patient presented to the emergency department for epigastric pain and was diagnosed with a paraganglioma on final pathology following laparoscopic cholecystectomy.

Summary

A 67-year-old female patient presented to the emergency department (ED) with complaints of epigastric pain. Initial laboratory findings were significant for mildly elevated AST, ALT, and alkaline phosphatase, with normal bilirubin. Subsequent ultrasound revealed a vascular lesion of the anterior gallbladder wall measuring 1.0 × 1.3 cm, concerning for possible gallbladder polyp versus malignancy. The patient was discharged from the ED after conservative management with instructions to follow-up outpatient in a surgery clinic but was ultimately lost to follow-up. She then returned to the ED two months later, complaining of chronic right groin pain radiating down her leg. At this time, she underwent CT abdomen/pelvis that again demonstrated the gallbladder mass, with an interval increase in size to 1.2 × 1.6 cm. The patient was admitted for MRI/MRCP, which characterized the mass as a polyp with concerns for extra-anatomic extension anteromedially. Imaging was unable to categorize the lesion as malignant or not definitively.

While gallbladder polyps represent a common etiology of benign gallbladder masses, paragangliomas of the gallbladder are a much rarer entity. Consequently, the patient underwent an uncomplicated laparoscopic cholecystectomy; final pathology revealed a 1 × 1 cm paraganglioma of the gallbladder with negative margins. Patients with asymptomatic polyps less than 1 cm in size with no risk factors for gallbladder adenocarcinoma are typically managed conservatively with serial ultrasound imaging. On the contrary, polyps greater than 1 cm in size are associated with an increased risk for malignancy, warranting management with open cholecystectomy. Meanwhile, symptomatic polyps without risk factors for adenocarcinoma can be managed with laparoscopic cholecystectomy.

Conclusion

Paragangliomas of the gallbladder represent an uncommon subset of gallbladder masses. Surveillance guidelines for gallbladder paragangliomas have yet to be defined, underscoring the importance of further research regarding this rare pathology.

Key Words

paraganglioma, gallbladder; gallbladder polyp; gallbladder cancer


Case Description

Paragangliomas are rare, extraadrenal, catecholamine-secreting neuroendocrine tumors originating from neural crest cell migration during embryogenesis. Each year, approximately only 500 to 1,000 cases of paragangliomas are diagnosed in the United States.1 These tumors can be associated with both the parasympathetic and the sympathetic nervous systems.1,2 Paragangliomas associated with the parasympathetic nervous system tend to be asymptomatic and nonfunctional, whereas those associated with the sympathetic nervous system are typically symptomatic and functional (norepinephrine-secreting). Studies have failed to demonstrate a survival difference in functional versus nonfunctional paraganglioma tumors.2 Typically, these tumors are benign; however, a small percentage may be malignant—more commonly sympathetic-associated tumors—lending to the importance of early detection and subsequent surgical resection with curative intent.1 Most commonly, paragangliomas originate in the adrenal medulla; however, there have been reported cases of their discovery in other anatomical locations, including the carotid body, mediastinum, lung, urinary bladder, the vagus nerve, retroperitoneum, and kidney as well as the hepatic duct.3‒6 In one center that reviewed 22 cases of paraganglioma of the retroperitoneum over a 40-year period at their hospital, 5 ten-year disease-free survival rates were recorded. In patients who had the tumor resected, the five- and ten-year disease-free survival rates were 75% and 45%, respectively, which dropped to 19% and 19% for unresected tumors. In this review, a predictor of survival was complete resection of the tumor.7

Paragangliomas of the gallbladder represent an even rarer subset of paraganglioma tumors, with only a limited number of published case reports. Previous case reports have demonstrated various presenting symptoms, including intermittent right upper quadrant pain, recurrent hematemesis secondary to a hemorrhagic tumor, and in patients with a tumor originating on the hepatic duct, obstructive jaundice.1‒9 Gallbladder paragangliomas can also be found in asymptomatic patients, incidentally discovered when patients undergo abdominal imaging or surgery for other reasons.10 We discuss the case of a middle-aged woman with paraganglioma of the gallbladder.

The patient is a 67-year-old female with a history of hypertension, diabetes, and hyperlipidemia. She initially presented to our hospital for epigastric pain and, on ultrasound, was found to have a vascular lesion of the anterior gallbladder wall that measured 1.0 × 1.3 cm (Figure 1). At that time, the concern was for gallbladder polyp versus malignancy. Her laboratory findings were significant for a mildly elevated ALT, AST, and alkaline phosphatase but normal bilirubin. The patient was given a referral to follow-up in the surgery clinic but never presented.

Figure 1. Transverse View of Well-Vascularized Gallbladder Lesion. Published with Permission

The patient then returned to our emergency department two months later. During the emergency department workup, she had a CAT scan of the abdomen and pelvis that again noted the gallbladder mass along the anterior wall, now measuring 1.2 × 1.6 cm (Figure 2). At that time, she was admitted for MRI/MRCP. The MRI characterized the lesion as a polyp, with bulging of the wall concerning for extraanatomic extension anteromedially, but again was unable to say whether there was an underlying malignancy definitively. The patient was optimized and underwent an uneventful laparoscopic cholecystectomy, finding grossly intact serosa without extension of the lesion into surrounding structures. The decision was made at that time to perform a simple cholecystectomy. The patient recovered without complication from the surgery and was discharged home. The final pathology returned as a 1 × 1 cm paraganglioma with negative margins.

Figure 2. Axial View of Hyper-Vascular Enhancing Gallbladder Mass during CT with IV Contrast. Published with Permission

Discussion

During preoperative planning for gallbladder masses, a presumptive diagnosis guides the type of operation planned. The lesion that the patient presented with could not be definitively differentiated from a benign gallbladder polyp on CT or MRI imaging. Gallbladder polyps are a common etiology of benign gallbladder masses. Polypoid lesions of the gallbladder can be divided into pseudotumors (cholesterol polyps or adenomyomatosis) and adenomas. Cholesterol polyps constitute the most common polypoid lesion of the gallbladder and present as immobile, pedunculated, and echogenic lesions within the gallbladder with no acoustic shadowing on ultrasound imaging. Typically, cholesterol polyps measure less than 1 cm and are often multiple. In contrast, adenomyomatosis demonstrates a sessile lesion, often greater than 1 cm in size. Adenomas grow within the gallbladder wall and cannot be easily differentiated from adenocarcinoma in the preoperative setting.11

Polyps measuring greater than 1 cm, while rare, are associated with an increased risk for adenocarcinoma, warranting management with open cholecystectomy.11,12 Symptomatic polypoid lesions without factors concerning for adenocarcinoma can be managed with laparoscopic cholecystectomy. Conversely, asymptomatic polyps measuring less than 1 cm and no other risk factors for gallbladder adenocarcinoma (growth, simultaneous gallstones present, patients older than 60 years) can be managed conservatively with serial ultrasound imaging.12,13

Malignant lesions of the gallbladder have been noted to demonstrate early and prolonged enhancement, in contrast to benign lesions that exhibit early enhancement with subsequent washout.14 One study has noted that high b-value DWI may prove helpful in distinguishing between benign and malignant polypoid lesions of the gallbladder, based on the finding that malignant lesions may demonstrate high signal intensity on DWI MRI.15

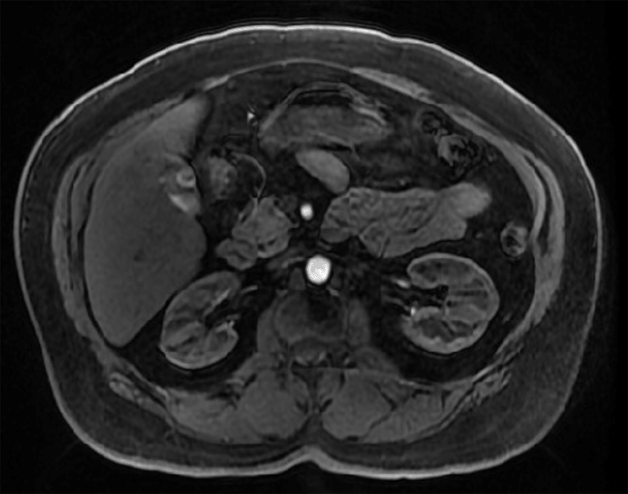
The lesion was described as a well-defined hypervascular mass on CAT scan in our patient. At the same time, on MRI, the pre-T1 series showed a lesion partially obscured by particulate within the gallbladder. T2-imaging showed a well-defined, briskly enhancing mass inseparable from the gallbladder wall with associated bulging (Figure 3). Other case reports have described paragangliomas as homogenous or heterogeneous soft-tissue masses with increased enhancement due to hypervascularity on CT imaging and low to intermediate signal intensity on MRI T1-weighted images, in contrast to the high-intensity signaling seen on T2-weighted images.16

Figure 3. Pre-T1 Series Axial 3D LAVA Phase of Well-Defined Gallbladder Mass, Inseparable from Gallbladder Wall. Published with Permission

As part of the workup reviewed in other case reports, a right upper quadrant ultrasound and CT scan of the abdomen were the most commonly obtained studies. In addition, one group performed an endoscopic ultrasound, another an upper GI series, and another performed an MRI, similarly to our case.2,3,9,10,16,17 Interestingly, the patient who was found to have paraganglioma of the gallbladder after bariatric surgery was noted to have a gallbladder mass intra-operatively, which led to the cholecystectomy.2

There are no defined guidelines for surveillance of paragangliomas of the gallbladder. National Comprehensive Cancer Cancer Network (NCCN) provides guidelines for postresection surveillance of adrenal and extra-adrenal paragangliomas. These include history and physical as well as CT imaging from 12 weeks to a year after surgery, with tumor markers drawn based on symptomatology at diagnosis and afterward. Annual surveillance occurs 12 months later.18

As discussed earlier, a differential for gallbladder mass is helpful when planning operative intervention. Except for adenocarcinoma of the gallbladder that has spread beyond the lamina propria or muscular layer, a simple cholecystectomy is sufficient when an operation is performed for gallbladder mass.11 The exception is when there is an extraanatomic extension of the paraganglioma to adjacent organs. It would be beneficial to take additional margins from the affected organ in such cases. In a review of other cases of paraganglioma of the gallbladder, none presented with systemic symptoms, as was the case in our patient. In each, a simple cholecystectomy was deemed sufficient.

As a diagnosis of paraganglioma of the gallbladder cannot be definitively made preoperatively, we concur with the current management when masses or lesions of the gallbladder are <1 cm with follow-up ultrasounds at intervals of 6 to 12 months.

Conclusion

Paraganglioma of the gallbladder remains an extremely rare entity that must remain on the differential when irregular masses of the gallbladder are encountered. A high clinical suspicion is required to pursue a more in-depth workup with an MRI that may yield some of the typical features of a neuroendocrine tumor, including high vascularity. The images attained during the workup of our patient, along with close coordination with our radiology colleagues, further our ability to suspect a neuroendocrine tumor of the gallbladder preoperatively.

Ultimately the diagnosis of paraganglioma of the gallbladder relies on obtaining a tissue sample. The distinction between benign and malignant paraganglioma must be made based on the presence or absence of metastatic disease. In our patient, after the pathologic diagnosis of a neuroendocrine tumor, paraganglioma type, radiology re-reviewed the imaging and determined no evidence of metastatic disease.

Lessons Learned

Preoperative diagnosis of gallbladder paraganglioma requires a high level of clinical suspicion. Typical MRI imaging findings may help surgeons plan the correct operation for a patient based on extraanatomic extension. While guidelines for surveillance of adrenal paragangliomas are well-defined, further work is required to optimize long-term surveillance in this subset of patients.

References

  1. Ikram A, Rehman A. Paraganglioma. [Updated 2021 Sep 9]. In: StatPearls [Internet]. Treasure Island (FL): StatPearls Publishing; 2022 Jan-. Available from: https://www.ncbi.nlm.nih.gov/books/NBK549834/
  2. Mehra S, Chung-Park M. Gallbladder paraganglioma: a case report with review of the literature. Arch Pathol Lab Med. 2005;129(4):523-526. doi:10.5858/2005-129-523-GPACRW
  3. Miller TA, Weber TR, Appelman HD. Paraganglioma of the gallbladder. Arch Surg. 1972;105(4):637-639. doi:10.1001/archsurg.1972.04180100080019
  4. Sarma DP, Rodriguez FH Jr, Hoffmann EO. Paraganglioma of the hepatic duct. South Med J. 1980;73(12):1677-1678. doi:10.1097/00007611-198012000-00050
  5. Hitanant S, Sriumpai S, Na-songkla S, Pichyangkula C, Sindhavananda K, Viranuvatti V. Paraganglioma of the common hepatic duct. Am J Gastroenterol. 1984;79(6):485-488.
  6. Caceres M, Mosquera LF, Shih JA, O'Leary JP. Paraganglioma of the bile duct. South Med J. 2001;94(5):515-518.
  7. Sclafani LM, Woodruff JM, Brennan MF. Extraadrenal retroperitoneal paragangliomas: natural history and response to treatment. Surgery. 1990;108(6):1124-1130.
  8. Wolff M. Paraganglioma of the gallbladder. Arch Surg. 1973;107(3):493. doi:10.1001/archsurg.1973.01350210117035
  9. Cho YU, Kim JY, Choi SK, et al. A case of hemorrhagic gallbladder paraganglioma causing acute cholecystitis. Yonsei Med J. 2001;42(3):352-356. doi:10.3349/ymj.2001.42.3.352
  10. AlMarzooqi R, AlJaberi L, Rosenblatt S, Plesec T, Berber E. A rare case of paraganglioma of the cystic duct. Int J Surg Case Rep. 2018;52:16-19. doi:10.1016/j.ijscr.2018.09.041
  11. Jackson PG, Evans SRT. Biliary System. In: Townsend CM, ed. Sabiston Textbook of Surgery: The Biological Basis of Modern Surgical Practice. 20th ed. Elsevier; 2017:1482-1519.
  12. Mellnick VM, Menias CO, Sandrasegaran K, et al. Polypoid lesions of the gallbladder: disease spectrum with Pathologic correlation [published correction appears in Radiographics. 2015 May-Jun;35(3):973] [published correction appears in Radiographics. 2015 Jul-Aug;35(4):1316]. Radiographics. 2015;35(2):387-399. doi:10.1148/rg.352140095
  13. Wiles R, Thoeni RF, Barbu ST, et al. Management and follow-up of gallbladder polyps : Joint guidelines between the European Society of Gastrointestinal and Abdominal Radiology (ESGAR), European Association for Endoscopic Surgery and other Interventional Techniques (EAES), International Society of Digestive Surgery - European Federation (EFISDS) and European Society of Gastrointestinal Endoscopy (ESGE). Eur Radiol. 2017;27(9):3856-3866. doi:10.1007/s00330-017-4742-y
  14. Inui K, Yoshino J, Miyoshi H. Diagnosis of gallbladder tumors. Intern Med. 2011;50(11):1133-1136. doi:10.2169/internalmedicine.50.5255
  15. Irie H, Kamochi N, Nojiri J, Egashira Y, Sasaguri K, Kudo S. High b-value diffusion-weighted MRI in differentiation between benign and malignant polypoid gallbladder lesions. Acta Radiol. 2011;52(3):236-240. doi:10.1258/ar.2010.100234
  16. Koplay M, Sivri M, Alptekin H, Erdoğan H, Nayman A. Gallbladder paraganglioma: computed tomography and magnetic resonance imaging findings. Prague Med Rep. 2014;115(3-4):145-148. doi:10.14712/23362936.2014.46
  17. Ece İ, Alptekin H, Çelik ZE, Şahin M. Gallbladder paraganglioma. Ulus Cerrahi Derg. 2014;31(4):244-246. Published 2014 Sep 8. doi:10.5152/UCD.2014.2691
  18. National Comprehensive Cancer Network. Pheochromocytoma/Paraganglioma (Version 2.2020). Available from: https://www.nccn.org/professionals/physician_gls/pdf/neuroendocrine.pdf

Authors

Siegel La; Suss Nb; Morin Nc

Author Affiliations

  1. Department of Surgery, SUNY Downstate Health Sciences University, Brooklyn, NY 11203
  2. College of Medicine, SUNY Downstate Health Sciences University, Brooklyn, NY 11203
  3. Department of Bariatric Surgery, Kings County Hospital Center, Brooklyn, NY 11203

Corresponding Author

Leon Siegel, MD
80 Winthrop Street, Apt. L5
Brooklyn, NY 11225
Phone: 530-902-8018
E-mail: leon.siegel@downstate.edu

Disclosure Statement

The authors have no conflicts of interest to disclose.

Funding/Support

The authors have no relevant financial relationships or in-kind support to disclose.

Received: September 18, 2020
Revision received: October 27, 2020
Accepted: November 24, 2020