Unsupported Browser
The American College of Surgeons website is not compatible with Internet Explorer 11, IE 11. For the best experience please update your browser.
Menu
Become a member and receive career-enhancing benefits

Our top priority is providing value to members. Your Member Services team is here to ensure you maximize your ACS member benefits, participate in College activities, and engage with your ACS colleagues. It's all here.

Become a Member
Become a member and receive career-enhancing benefits

Our top priority is providing value to members. Your Member Services team is here to ensure you maximize your ACS member benefits, participate in College activities, and engage with your ACS colleagues. It's all here.

Become a Member
ACS
ACS Case Reviews

Surgical Management of an Intrahepatic Type II Choledochal Cyst

December 16, 2022

Abstract

Background

Choledochal cysts are rarely encountered in clinical practice. The most common type of choledochal cyst is type I (dilatation of the extrahepatic biliary tree). Type II choledochal cysts typically present as a resectable diverticulum off the extrahepatic biliary tree. Choledochal cysts should be treated surgically when technically feasible, as they increase the risk of future malignancy.

Summary

We present a case of an intrahepatic type II choledochal cyst originating from the right hepatic duct that was managed laparoscopically. The patient is an 18-year-old male that presented with epigastric pain. Subsequent imaging and workup demonstrated a choledochal cyst. The cyst was discovered to be intrahepatic and originating off the right hepatic duct but appeared to be a type II cyst with a single communicating biliary connection. The cyst was excluded and partially resected; the remaining portion of the cyst was treated with mucosectomy and fulguration. The patient has recovered well from surgery and is being followed clinically.

Conclusion

Choledochal cysts are rare clinical findings, and type II choledochal cysts are the rarest form. We present a case of an intrahepatic type II choledochal cyst originating off of the right hepatic duct that was successfully managed laparoscopically. This study is important because it is a unique presentation of a rare disease process that can be used to increase clinical understanding and awareness of choledochal cysts.

Keywords

choledochal cyst; intrahepatic type II cyst; pediatric surgery


Case Description

Choledochal cysts are well-described in the surgical literature but are rarely encountered clinically. Of the five described types, type I cysts are the most common. These involve dilatation of the extrahepatic biliary tree.1 Choledochal cysts are resected when possible, as their presence is associated with increased rates of biliary cancer.1,2 Type II choledochal cysts are the rarest of choledochal cysts and generally present as a diverticulum of the extrahepatic biliary system.2‒4 We present a case of an intrahepatic type II choledochal cyst with a biliary connection to the right hepatic duct.

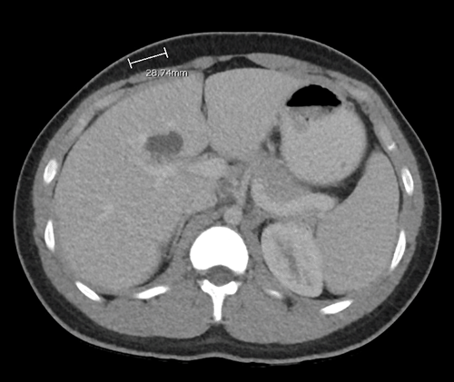
The patient is an 18-year-old male with glucose-6-phosphate-dehydrogenase deficiency that initially presented to the emergency room with epigastric pain. A CT abdomen and pelvis with contrast was obtained, demonstrating dilatation of the gallbladder and a cystic structure directly adjacent to or contiguous with the gallbladder (Figure 1). The patient's symptoms resolved, and he was sent home with clinical follow-up.

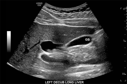
He did not have epigastric or right upper quadrant pain recurrence after his initial emergency room visitation. The patient was evaluated in pediatric surgery clinic and underwent a right upper quadrant ultrasound to attempt further delineation of the cyst. The ultrasound demonstrated a 3.6 cm cystic lesion abutting or within segment IV, also noted to contain several gallstones (Figure 2). The patient was diagnosed with a choledochal cyst, likely type I based on imaging and was deemed appropriate for elective minimally invasive excision of the cyst with plans for bilioenteric reconstruction.

There did not appear to be an obvious choledochal cyst in the field of dissection after mobilization of the gallbladder and hepatoduodenal ligament. An intraoperative cholangiogram was performed, which demonstrated an intrahepatic saccular cyst originating off of the right hepatic duct, with one communicating biliary connection (Figure 3). The cyst appeared to be an intrahepatic type II choledochal cyst. The intrahepatic cyst was dissected away from the liver parenchyma and entered. Sludge and stones were removed, and then the feeding duct off the right hepatic duct was clamped, confirming exclusion of the cyst. The feeding duct was then clipped to exclude the cyst permanently. Complete excision of the cyst was attempted, but the proximity of the right hepatic duct precluded completion of the excision. Mucosectomy was performed except for the portion intimately adhered to the right hepatic duct; the remaining portion of the cyst was fenestrated and fulgurated. A confirmation cholangiogram demonstrated complete exclusion of the cyst and intact biliary tree anatomy (Figure 4).

The patient tolerated the procedure well and recovered uneventfully, going home 36 hours after surgery. He was seen in the clinic postoperatively and has no complaints; he has recovered appropriately and feels well overall. Pathology demonstrated a 2.0 × 1.5 × 0.4 cm tan and firm specimen consistent with a choledochal cyst, and the gallbladder was consistent with chronic cholecystitis.

Figure 1. Preoperative CT Scan Demonstrating Choledochal Cyst. Published with Permission

Figure 2. Ultrasound Demonstrating Gallbladder and Choledochal Cyst Containing Gallstones. Published with Permission

Figure 3. Intraoperative Cholangiogram Demonstrating Choledochal Cyst Originating Off Right Hepatic Duct. Published with Permission

CBD = common bile duct, CHD = common hepatic duct, CDC = choledochal cyst. Arrow points to right hepatic duct and left hepatic duct bifurcation.

Figure 4. Completion Cholangiogram Demonstrating Filling of Biliary Tree With Exclusion of Choledochal Cyst. Published with Permission

CBD = common bile duct, CHD = common hepatic duct. Arrow points to right hepatic duct and left hepatic duct bifurcation.

Discussion

Choledochal cysts are rare clinical findings that present in many ways and at nearly all ages into adulthood.1,2 Due to increased long-term sequelae and malignancy rates, surgical excision is recommended when possible.1,5 The etiology of choledochal cysts is uncertain; several theories exist, including failed regression of the biliary tree during embryogenesis and chronic inflammation from various pathologies.2,3,6 There are five distinguished types of choledochal cysts based on the Todani classification.2‒4 Of these choledochal cysts, type II (typically presenting as an extrahepatic diverticulum) is the rarest, accounting for 2 to 3% of all choledochal cysts.4,7

Treatment for type II choledochal cysts is surgical excision, when feasible, as their presence is associated with increased rates of biliary malignancy.1,2 Due to their most common location in the extrahepatic biliary tree and the common presence of a single biliary tree connection, laparoscopic approaches are typically feasible.33 Type II choledochal cysts do not always present in childhood. This type of cysts may also be encountered during other procedures and should be resected in these scenarios when feasible.4

There have been several case reports that describe atypical presentations of type II choledochal cysts. Type II choledochal cysts have also been implicated in pancreatic disease. One report describes a young patient with hemorrhagic pancreatitis who was found to have a mixed type I and type II choledochal cyst that was resected safely,8 while another report described a patient with neoplastic degeneration of type II choledochal cyst in the pancreatic head requiring pancreaticoduodenectomy.7

Despite increasing literature and case studies regarding choledochal cysts, clinical understanding of the disease process remains limited. Additionally, choledochal cysts, particularly type II choledochal cysts, are rare clinical findings in practice. Bhojwani et al. reported a type II choledochal cyst that originated off the right hepatic duct; the cyst was thought to be a duplicate gallbladder and was safely resected laparoscopically.5 Management of our patient's intrahepatic cyst was based on several intraoperative factors and findings. Key to the decisions was the intimate anatomic relationship between the right hepatic duct and the right portal vein; avoiding injuring these structures was paramount, thus precluding the performance of a complete resection or mucosectomy. While a central hepatectomy would have removed the entirety of the cyst, the surgeons felt this option to be too extreme and highly morbid for this patient.

An intrahepatic type II choledochal cyst is a rare presentation of a rare disease process, thus making it a unique addition to the expanding literature regarding choledochal cysts and their management. With continued investigation, expanding clinician knowledge may aid in improved diagnosis and treatment of choledochal cysts. The patient in this case report had a unique presentation of an intrahepatic type II choledochal cyst originating off the right hepatic duct. He underwent partial excision, mucosectomy, fulguration, and exclusion. He was recently seen in the clinic and continues to recover uneventfully from surgery. The patient will continue to be followed clinically to monitor for continued successful recovery in the future.

Conclusion

Choledochal cysts are rare clinical findings, and type II choledochal cysts are the rarest form. We present a case of an intrahepatic type II choledochal cyst originating off of the right hepatic duct that was successfully managed laparoscopically. This study is important because it is a unique presentation of a rare disease process that can be used to increase clinical understanding and awareness of choledochal cysts.

Lessons Learned

Choledochal cysts, while rare, can present in a variety of ways. Clinicians should continue increasing awareness of different types of choledochal cysts to provide the most appropriate patient care.

References

  1. Soares KC, Goldstein SD, Ghaseb MA, Kamel I, Hackam DJ, Pawlik TM. Pediatric choledochal cysts: diagnosis and current management. Pediatr Surg Int. 2017;33(6):637-650. doi:10.1007/s00383-017-4083-6
  2. Moslim MA, Takahashi H, Seifarth FG, Walsh RM, Morris-Stiff G. Choledochal Cyst Disease in a Western Center: A 30-Year Experience. J Gastrointest Surg. 2016;20(8):1453-1463. doi:10.1007/s11605-016-3181-4
  3. Liu DC, Rodriguez JA, Meric F, Geiger JL. Laparoscopic excision of a rare type II choledochal cyst: case report and review of the literature. J Pediatr Surg. 2000;35(7):1117-1119. doi:10.1053/jpsu.2000.7840
  4. Yamashita H, Otani T, Shioiri T, et al. Smallest Todani's type II choledochal cyst. Dig Liver Dis. 2003;35(7):498-502. doi:10.1016/s1590-8658(03)00224-x
  5. Bhojwani R, Jain N, Mishra S. Laparoscopic evaluation and resection of type-II choledochal cyst arising from right hepatic duct mimicking gall bladder duplication [published online ahead of print, 2018 Sep 3]. J Minim Access Surg. 2018;15(2):158-160. doi:10.4103/jmas.JMAS_101_18
  6. Lobeck IN, Dupree P, Falcone RA Jr, et al. The presentation and management of choledochocele (type III choledochal cyst): A 40-year systematic review of the literature. J Pediatr Surg. 2017;52(4):644-649. doi:10.1016/j.jpedsurg.2016.10.008
  7. Jiménez-Ballester MA, Soria-Aledo V, Martín-Lorenzo JG, et al. Type II intrapancreatic choledochal malignant cyst in adults: duodenopancreatectomy. Rev Esp Enferm Dig. 2014;106(3):223-226.
  8. Sen SS, Menon P, Solanki S, Bhatia A, Sen IM. Acute pancreatitis with Cullen's sign presentation in a case of mixed type I and II choledochal cyst. J Pediatr Surg. 2019;54(10):2187-2190. doi:10.1016/j.jpedsurg.2019.06.011

Authors

Mahoney RCa; Woo RKa,b; Puapong DPa,b; Johnson SMa,b

Author Affiliations

  1. Department of Surgery, University of Hawai'i John A. Burns School of Medicine, Honolulu, HI 96813
  2. Department of Pediatric Surgery, Kapi'olani Medical Center for Women and Children, Honolulu, HI 96826

Corresponding Author

Reid C. Mahoney, MD
1356 Lusitana Street, Ste. 610
Honolulu, HI 96813
Phone: 630-346-6216
Email: rmahoney@hawaii.edu

Disclosure Statement

The authors have no conflicts of interest to disclose.

Funding/Support

The authors have no relevant financial relationships or in-kind support to disclose.

Received: July 18, 2020
Revision received: October 30, 2020
Accepted: November 24, 2020