Unsupported Browser
The American College of Surgeons website is not compatible with Internet Explorer 11, IE 11. For the best experience please update your browser.
Menu
Become a member and receive career-enhancing benefits

Our top priority is providing value to members. Your Member Services team is here to ensure you maximize your ACS member benefits, participate in College activities, and engage with your ACS colleagues. It's all here.

Become a Member
Become a member and receive career-enhancing benefits

Our top priority is providing value to members. Your Member Services team is here to ensure you maximize your ACS member benefits, participate in College activities, and engage with your ACS colleagues. It's all here.

Become a Member
ACS
ACS Case Reviews

Peritoneal Recurrence of Early-Stage Gastric Cancer With Associated Endoscopic Tattoo Pigment Two Years After Total Gastrectomy and D2 Lymphadenectomy

December 16, 2022

Abstract

Background

Endoscopic tattooing is the most frequently performed and studied technique for the preoperative marking of gastrointestinal lesions. We present a patient with a splenic hilar recurrence, occurring two years after total gastrectomy and D2 lymphadenectomy for early gastric cancer. Pathologic examination demonstrated recurrent gastric adenocarcinoma with associated tattoo pigment in soft tissues and hilar lymph nodes.

Summary

A 72-year-old woman was found to have a PET-avid splenic hilar mass on surveillance imaging two years following resectioning a stage IA gastric adenocarcinoma of the fundus. Following her total gastrectomy and D2 lymphadenectomy (0/26), revealing early-stage cancer and R0 resection, she did not receive adjuvant therapy and subsequently underwent surveillance. Two years postoperatively, surveillance CT demonstrated recurrence in the left upper quadrant at the splenic hilum. The patient received four cycles of FOLFOX with radiological evidence of response and no new sites of disease observed on preoperative CT of the chest, abdomen, and pelvis. She was recommended to undergo resection of oligometastatic disease. She underwent staging laparoscopy and subsequently successful resection of the splenic hilar mass. Pathologic examination identified recurrent gastric adenocarcinoma associated with dark tattoo pigment in the perisplenic soft tissue and splenic hilar lymph nodes, likely related to the preoperative endoscopic marking at the time of her original diagnosis. Despite the common use of endoscopic tattooing, there is limited literature reporting delayed tumor recurrence associated with preoperative marking. Therefore, we recommend that great care should be taken during the endoscopic tattooing of gastric lesions.

Conclusion

Endoscopic tattooing for localization of gastric cancers may be associated with the risk of peritoneal seeding or locoregional spread.

Key Words

endoscopic tattooing; gastric cancer; peritoneal seeding


Case Description

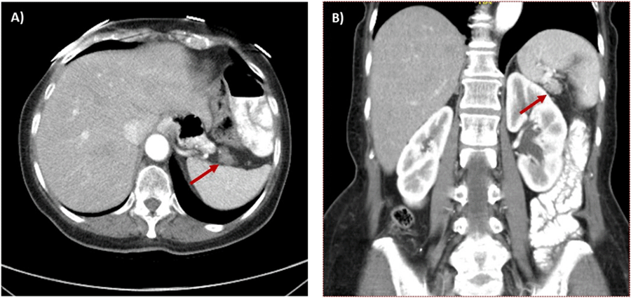
We report a rare presentation of peritoneal recurrence manifested as a splenic hilar mass with associated endoscopic tattoo pigments in a patient two years after total gastrectomy for early-stage gastric cancer. A 72-year-old woman presented two years ago with reflux symptoms for which she underwent an EGD that revealed a large sessile gastric fundal polyp. Endoscopic biopsies followed by endoscopic mucosal resection demonstrated a foveolar-type adenoma with focal high-grade dysplasia. A complete endoscopic mucosal resection was not technically possible as the borders of the lesion were tattooed endoscopically. She subsequently underwent a laparoscopic gastric wedge resection. Pathologic examination revealed foci of moderately differentiated invasive tubular type gastric adenocarcinoma, invasive deep into the submucosa, arising in a 4.5 cm gastric adenoma with high-grade dysplasia. There was focal lymphovascular invasion. The surgical margins were free. The patient then underwent a total gastrectomy with D2 lymphadenectomy and feeding jejunostomy tube placement. There was no residual carcinoma, 26 negative lymph nodes, and free margins, with final pathologic stage 1A (pT1b pN0 pM0). As her cancer was a completely resected, early-stage gastric adenocarcinoma, the patient was recommended to undergo surveillance only. She presented 21 months postoperatively with vague abdominal pain and imaging findings concerning for a PET-avid lesion in the left upper quadrant at the splenic hilum, concerning for either a peritoneal metastasis or a nodal metastasis (Figure 1). Given concern for the possibility of more extensive peritoneal carcinomatosis, laparoscopy with peritoneal washings was performed that did not reveal other sites of carcinomatosis or yield positive cytology.

Figure 1. Abdominal CT Scan Demonstrating Recurrent Left Upper Quadrant Mass at Splenic Hilum. Published with Permission

A) Axial CT image with arrow noting left upper quadrant mass that was PET-avid; and B) coronal CT image with arrow identifying same left upper quadrant mass.

The following week, she underwent exploratory laparotomy with adhesiolysis that demonstrated no other gross areas of disease besides the mass at the splenic hilum, which was entirely resected. Macroscopic black pigment was identified in the tumor nodule (Figure 2A).

Microscopic examination demonstrated well to moderately differentiated adenocarcinoma in soft tissue, associated with a desmoplastic stromal reaction and nonbirefringent black pigment compatible with tattoo pigment (Figure 2B and Figure 2C). Similar black pigment was present in the two benign lymph nodes included with the resection.

Figure 2. Gross and Microscopic Images of Excised Splenic Hilar Mass Demonstrating Adenocarcinoma with Associated Black Tattoo Pigment. Published with Permission

A) Gross photograph of excised hilar mass; and B-C) photomicrographs of excised mass showing well to moderately differentiated adenocarcinoma in soft tissue with focal associated black foreign pigment compatible with tattoo pigment (red arrow) (H&E; B, 20x and C, 100x magnification).

A review of the patient’s endoscopy records and pathology from two years prior noted that she underwent incomplete snare mucosal resection of a sessile gastric polyp on the greater curvature. The borders of the polyp were tattooed with an injection of 3 mL of SPOT (carbon black), with three total injections along the circumference of the polyp. The tumor in the splenic hilum was histologically similar to the gastric primary.

Discussion

Intraoperative localization of gastrointestinal tract lesions identified by upper or lower endoscopy can be challenging, especially in the era of minimally invasive surgery where there is no haptic feedback to assist in identification. Preoperative marking was selected to eliminate the need for intraoperative endoscopy or anterior gastrostomy. Consequently, many preoperative marking techniques have been described, such as endoscopic clipping,1 computer-assisted endoscopic marking,2 and indocyanine green injection with intraoperative fluoroscopic guidance. However, the most frequently performed and well-studied technique is endoscopic tattooing, achieved by injection of submucosal dye.3 Since it was first reported by Sauntry et al. in 1958, endoscopic tattooing for gastrointestinal lesion localization has been widely used worldwide.4 Endoscopic tattooing has been described for preoperative marking of esophageal, gastric, pancreatic, small intestinal, and colorectal lesions.3 Other reported benefits of endoscopic tattooing include an increased number of harvested lymph nodes in colon cancer and improved identification of primary tumors following neoadjuvant chemoradiation in locally advanced rectal cancer.5

Many researchers studied the safety and efficacy of different dyes in endoscopic tattooing. Hammond et al.6 assessed eight tattooing agents in an animal model and demonstrated that only indocyanine green and India ink (diluted carbon particles) could persist beyond two days. Still, one drawback of India ink was severe inflammatory reactions. Recently, SPOT (GI Supply, Camp Hill, Pennsylvania, USA), consisting of sterile purified carbon particles, has been FDA-approved as a tattooing agent.3

Technically, optimal endoscopic tattooing is achieved with precise submucosal injection of dye at a critical depth to provide extraluminal visibility of the tattoo for ease of intraoperative detection. However, known risks of this technique include transmural injections that can cause perforation or tumor inoculation. Therefore, two methods have been described for consistent injections within the submucosa only: 1) creation of a saline bleb to facilitate dye injection or 2) direct injection of the dye into the submucosa by approaching the mucosa tangentially and lifting the needle toward the center of the lumen with a controlled, slow injection after creating a small submucosal bleb.7

According to many case series, the reported risk of clinical complications after endoscopic tattooing is relatively low (0.22-5.6%).3,5,8,9 Nizam et al. published a large review of 447 cases, with a reported risk of clinical complications of 0.22%; furthermore, most of these complications were related to transmural injection.8 Other case reports note minor complications, including dye spillage (2.4%), focal peritonitis, infected hematoma, and abscess formation.5 Of these complications, tumor inoculation is one of the risks that can lead to tumor spread or locoregional recurrence. However, all case reports are in preoperative tattooing of patients with colorectal cancers, not upper gastrointestinal malignancies.10‒12 A single case of gastric laceration and hematemesis associated with endoscopic tattooing has been published.13 Furthermore, other studies describe the association of more invasive upper gastrointestinal endoscopic procedures, such as percutaneous endoscopic gastrostomy, endoscopic submucosal dissection, and endoscopic mucosal resection, with a risk of gastric perforation14,15 and peritoneal seeding.16,17

Our patient is unique as she represents the first report of the presence of tattoo pigment in a peritoneal metastasis and lymph nodes two years following total gastrectomy and D2 lymphadenectomy in early-stage gastric cancer. Our case highlights the potential risk of endoscopic tattooing in patients with upper gastrointestinal cancers and the importance of imaging surveillance to identify locoregional or distant recurrences.

Conclusion

Endoscopic tattooing is potentially risky for peritoneal seeding and locoregional recurrence, even in early-stage cancers.

Lessons Learned

Endoscopic tattooing is used to facilitate intraoperative identification of gastrointestinal lesions. However, in patients at risk for or with known invasive cancer, alternative localizing techniques, such as intraoperative endoscopy, should be considered.

References

  1. Matsuda T, Iwasaki T, Hirata K, et al. Simple and reliable method for tumor localization during totally laparoscopic gastrectomy: intraoperative laparoscopic ultrasonography combined with tattooing. Gastric Cancer. 2017;20(3):548-552. doi:10.1007/s10120-016-0635-z
  2. Hu W, Wang B, Sun L, et al. Computer-simulated biopsy marking system for endoscopic surveillance of gastric lesions: a pilot study. Biomed Res Int. 2015;2015:197270. doi:10.1155/2015/197270
  3. Luigiano C, Ferrara F, Morace C, et al. Endoscopic tattooing of gastrointestinal and pancreatic lesions. Adv Ther. 2012;29(10):864-873. doi:10.1007/s12325-012-0056-2
  4. Sauntry JP, Knudtson KP. A technique for marking the mucosa of the gastrointestinal tract after polypectomy. Cancer. 1958;11(3):607-610. doi:10.1002/1097-0142(195805/06)11:3<607::aid-cncr2820110322>3.0.co;2-y
  5. Trakarnsanga A, Akaraviputh T. Endoscopic tattooing of colorectal lesions: Is it a risk-free procedure?. World J Gastrointest Endosc. 2011;3(12):256-260. doi:10.4253/wjge.v3.i12.256
  6. Hammond DC, Lane FR, Welk RA, Madura MJ, Borreson DK, Passinault WJ. Endoscopic tattooing of the colon. An experimental study. Am Surg. 1989;55(7):457-461.
  7. Rex DK. The Appropriate Use and Techniques of Tattooing in the Colon. Gastroenterol Hepatol (N Y). 2018;14(5):314-317.
  8. Nizam R, Siddiqi N, Landas SK, Kaplan DS, Holtzapple PG. Colonic tattooing with India ink: benefits, risks, and alternatives. Am J Gastroenterol. 1996;91(9):1804-1808.
  9. Ponsky JL, King JF. Endoscopic marking of colonic lesions. Gastrointest Endosc. 1975;22(1):42-43. doi:10.1016/s0016-5107(75)73687-8
  10. Uehara H, Yamazaki T, Iwaya A, et al. A rare case of peritoneal deposits with carbon pigmentation after preoperative endoscopic tattooing for sigmoid colon cancer. Int J Colorectal Dis. 2019;34(2):355-358. doi:10.1007/s00384-018-3189-1
  11. Sun B. Endoscopic tattooing: a risk for tumor implantation. Int J Colorectal Dis. 2020;35(3):571-574. doi:10.1007/s00384-019-03495-9
  12. Cappell MS, Courtney JT, Amin M. Black macular patches on parietal peritoneum and other extraintestinal sites from intraperitoneal spillage and spread of India ink from preoperative endoscopic tattooing: an endoscopic, surgical, gross pathologic, and microscopic study. Dig Dis Sci. 2010;55(9):2599-2605. doi:10.1007/s10620-009-1044-5
  13. Gonzalez-Tallon AI, Rivero-Fernandez M, Calvo-Ramos I, et al. Hematemesis With Gastric Laceration After Tattooing a Polyp With Purified Carbon: A Review of the Literature. Gastroenterology Res. 2017;10(1):45-49. doi:10.14740/gr728w
  14. Huh CW, Kim GJ, Kim BW, Seo M, Kim JS. Long-term Clinical Outcomes and Risk of Peritoneal Seeding after Endoscopic Submucosal Dissection for Early Gastric Cancer: A Focus on Perforation during the Procedure. Gut Liver. 2019;13(5):515-521. doi:10.5009/gnl18350
  15. Ikehara H, Gotoda T, Ono H, Oda I, Saito D. Gastric perforation during endoscopic resection for gastric carcinoma and the risk of peritoneal dissemination. Br J Surg. 2007;94(8):992-995. doi:10.1002/bjs.5636
  16. Hirao M, Yamada T, Michida T, et al. Peritoneal Seeding after Gastric Perforation during Endoscopic Submucosal Dissection for Gastric Cancer. Dig Surg. 2018;35(5):457-460. doi:10.1159/000481715
  17. Gleeson FC, Lee JH, Dewitt JM. Tumor Seeding Associated With Selected Gastrointestinal Endoscopic Interventions. Clin Gastroenterol Hepatol. 2018;16(9):1385-1388. doi:10.1016/j.cgh.2018.05.014

Authors

Soliman BGa; Lim Sa; Schwartz MRb; Krishnan Kc; Bernicker EHd; Holder AMa

Author Affiliations

  1. Department of Surgery, Houston Methodist Hospital, Houston, TX 77030
  2. Department of Pathology and Genomic Medicine, Houston Methodist Hospital, Houston, TX 77030
  3. Department of Medicine, Massachusetts General Hospital, Boston, MA 02114
  4. Department of Medical Oncology, Houston Methodist Cancer Center, Houston, TX 77030

Corresponding Author

Ashley M. Holder, FACS
Division of Surgical Oncology
University of Alabama at Birmingham
1808 7th Avenue South, BDB 571
Birmingham, AL 35294
Email: amholder@uab.edu

Disclosure Statement

The authors have no conflicts of interest to disclose.

Funding/Support

The authors have no relevant financial relationships or in-kind support to disclose.

Received: July 18, 2020
Revision received: September 29, 2020
Accepted: December 7, 2020