Unsupported Browser
The American College of Surgeons website is not compatible with Internet Explorer 11, IE 11. For the best experience please update your browser.
Menu
Become a member and receive career-enhancing benefits

Our top priority is providing value to members. Your Member Services team is here to ensure you maximize your ACS member benefits, participate in College activities, and engage with your ACS colleagues. It's all here.

Become a Member
Become a member and receive career-enhancing benefits

Our top priority is providing value to members. Your Member Services team is here to ensure you maximize your ACS member benefits, participate in College activities, and engage with your ACS colleagues. It's all here.

Become a Member
ACS
ACS Case Reviews

Internal Hernia of Ileocolic Anastomosis through Mesenteric Defect from Prior Duodenojejunostomy

December 16, 2022

Abstract

Background

A 25-year-old man with a history of obstructing ileocolonic Crohn's disease and superior mesenteric artery syndrome that was treated with a laparoscopic duodenojejunostomy presented to the clinic requiring internal hernia repair.

Summary

The patient is a 25-year-old man with a history of obstructing ileocolonic Crohn's disease requiring laparoscopic ileocolic resection. One year after the resection, he had superior mesenteric artery (SMA) syndrome treated with a laparoscopic duodenojejunostomy. The patient presented with abdominal pain, diarrhea, vomiting, and oral intolerance and was admitted for presumed Crohn's flare with concern for possible stricture. After two weeks in the hospital, the patient had a sudden increase in abdominal pain and distension with worsening leukocytosis. The CT scan demonstrated dilated loops of small bowel in the left abdomen and decompressed loops in the right side of the abdomen, lateral to the ascending colon, with a swirling of mesenteric vessels, indicative of an internal hernia with obstruction. There was grossly dilated but viable small bowel with decompression distally upon opening the abdomen. There was an internal hernia such that the ileocolic anastomosis and a large portion of the small bowel were herniated through a 2 cm mesenteric defect adjacent to the duodenojejunostomy anastomosis.

Conclusion

When mesenteric defects are not closed during abdominal operations, they can increase the risk of internal hernias. We present a case of a patient with a mesenteric defect that was not closed during a prior surgery and therefore created an internal hernia requiring reoperation to correct. We believe routine closure of mesenteric defects will help to decrease the need for reoperation surgeries due to internal hernia formation.

Key Words

duodenojejunostomy; internal hernia; mesenteric defects


Case Description

Internal hernias arise most commonly from iatrogenic mesenteric defects. While there is still some debate about whether mesentery defects should be closed routinely to prevent future internal herniation, the consensus in the literature is that routine closure is recommended.1 Studies show that routine closure of mesentery defects significantly decreased the need to re-operate due to small bowel obstruction complications.2 We present herein an unusual case of internal hernia of an ileocolic anastomosis after prior right colectomy and duodenojejunostomy, which supports the practice of routine closure of mesentery defects.

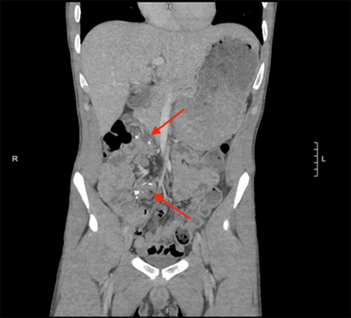
The patient is a 25-year-old man with a history of obstructing ileocolonic Crohn's disease requiring laparoscopic ileocolic resection. One year after the resection, he had superior mesenteric artery syndrome treated with a laparoscopic duodenojejunostomy. His Crohn's was managed with long-term prednisone and ustekinumab after previously failing adalimumab, certolizumab, infliximab, and vedolizumab. Two months before this hospitalization, a CT scan demonstrated normal orientation of both duodenojejunal and ileocolic anastomoses (Figure 1).

Figure 1. CT Scan Demonstrating Normal Orientation of Stapled Ileocolic Anastomosis (Lower Arrow) and Stapled Duodenojejunstomy (Upper Arrow). Published with Permission

Duodenojejunostomies are commonly performed for the surgical treatment of superior mesenteric artery (SMA) syndrome. They create an alternative path to bypass the obstruction created by the compression of the superior mesenteric artery on the small bowel. While they are most effective in treating SMA syndrome, they have also been shown to be useful in the surgical management of other conditions such as duodenal obstruction caused by chronic pancreatitis and symptomatic annular pancreas in adults.3,4 In fact, stapled gastro/duodenojejunostomies have been shown to shorten reconstruction times during pylorus-preserving pancreaticoduodenectomies.5 Duodenojejunostomies have a diverse utility and are standard for SMA syndrome, but caution must be taken with the iatrogenic mesenteric defect created in the operation because it is a potential space for internal herniation.

The patient presented with abdominal pain, diarrhea, vomiting, and oral intolerance and was admitted for presumed Crohn's flare with concern for possible stricture. He was started on intravenous steroids and underwent video capsule endoscopy, demonstrating inflammation and ulceration in the small intestine without stricture. However, his symptoms did not improve with IV steroids. After two weeks in the hospital, the patient had a sudden increase in abdominal pain and distension with worsening leukocytosis. The CT scan demonstrated dilated loops of small bowel in the left abdomen and decompressed loops in the right side of the abdomen, lateral to the colon, with a swirling of mesenteric vessels, indicative of an internal hernia with low-grade obstruction (Figure 2 and Figure 3). 

Figure 2. CT Scan Demonstrating Ileocolic Anastomosis in Mid-Abdomen (Middle Arrow) With Substantial Amount of Small Bowel to Right Lateral of Anastomosis (Side Arrow). Published with Permission

Figure 3. CT Scan Demonstrating Duodenojejunostomy in Prior Orientation in Right Upper Quadrant (Upper Arrow) and Partial Mesenteric Swirl (Lower Arrow). Published with Permission

The patient was taken to the operating room for an emergency exploratory laparotomy due to concern for an internal hernia. Upon opening the abdomen, there was grossly dilated but viable small bowel with distal decompressed bowel. There was an internal hernia between two leaves of mesentery next to the duodenojejunostomy anastomosis. The entire ileocolic anastomosis and a large portion of the small bowel had herniated through this 2 cm mesenteric defect. The internal hernia was easily reduced, the mesenteric defect closed, and the abdomen closed.

After surgery, the patient had vomiting that resolved after a few days of a clear liquid diet. He subsequently did well with a low-fiber diet and was discharged eight days after surgery with an oral steroid taper course.

Discussion

Internal hernias commonly cause small bowel obstruction after abdominal operations, especially after operations reconfiguring the gastrointestinal tract, such as the laparoscopic Roux-en-Y gastric bypass (LRYGB).6 Data concerning internal hernias from duodenojejunostomies is scarce; therefore, much of the knowledge regarding internal hernias is derived from bariatric complications. In laparoscopic bariatric procedures, internal hernias have been found to occur in up to 5% of patients.7 Stenberg et al. showed in a randomized controlled trial that the closure of surgically created mesenteric defects reduced the incidence of internal hernias at the three-year postop mark. The cumulative incidence of reoperation for internal hernia complications was significantly reduced in the closure arm compared to the non-closure group. Due to this significant result, the authors recommended routine closure of all mesenteric defects created or discovered during laparoscopic gastric bypass surgery. However, it is important to note that in the same study, they also found that closure of the mesenteric defects increased kinking of the jejunojejunostomy, which increased the incidence of early small bowel obstruction.1

In our patient, we found a mesenteric defect from his laparoscopic duodenojejunostomy that had not been closed, allowing the internal hernia to form. This defect was identified on CT by the presence of the mesenteric swirl sign, which according to the literature, is the most sensitive (78-100%) and specific (80-90%) for diagnosing internal hernias when compared to other radiographic signs. Other radiographic signs, such as the hurricane eye sign, mushroom sign, signs of small bowel obstruction, clustered small bowel loops, or enlarged mesenteric lymph nodes, had good specificities (70-100%) but had overall low sensitivities (0-44%).8,9

Al Harakeh et al. found that there were also differences in bowel obstruction and internal hernia formation rates depending on whether patients received an LRYGB routing the Roux limb via a retrocolic/retrogastric (RC/RG) versus an antecolic/antegastric (AC/AG) position. Those in the RC/RG group had increased rates of bowel obstruction and internal hernias when compared to the AC/AG group. This finding further supports the idea that surgical techniques and decisions made to close or not to close defects impact patient outcomes.

Conclusion

This case study demonstrates an unusual circumstance of internal hernia that provides support for the closure of defects in the mesentery found or created during any abdominal operation, whether bypass surgeries or duodenojejunostomies, to prevent reoperation due to small bowel obstruction. Closing the mesentery defect at the time of this patient's duodenojejunostomy could have possibly prevented the subsequent internal hernia and emergency surgery.

Lessons Learned

We believe that this case study further supports the routine closure of mesentery defects during gastrointestinal surgery to reduce the incidence of reoperations, particularly in a case where the patient was at higher risk for internal herniation due to mobilization of a large amount of bowel in previous surgeries.

References

  1. Stenberg E, Szabo E, Ågren G, et al. Closure of mesenteric defects in laparoscopic gastric bypass: a multicentre, randomised, parallel, open-label trial. Lancet. 2016;387(10026):1397-1404. doi:10.1016/S0140-6736(15)01126-5
  2. de la Cruz-Muñoz N, Cabrera JC, Cuesta M, Hartnett S, Rojas R. Closure of mesenteric defect can lead to decrease in internal hernias after Roux-en-Y gastric bypass. Surg Obes Relat Dis. 2011;7(2):176-180. doi:10.1016/j.soard.2010.10.003
  3. Sharma H, Marwah S, Singla P, Garg A, Bhukkal B. Roux-en-Y duodenojejunostomy for surgical management of isolated duodenal obstruction due to chronic pancreatitis. Int J Surg Case Rep. 2017;31:209-213. doi:10.1016/j.ijscr.2017.01.008
  4. Chittawadagi B, Senthilnathan P, Jankar SV, Sabnis SC, Parthasarathi R, Palanivelu C. Laparoscopic Roux-en Y duodenojejunostomy: A safe and physiological treatment for symptomatic annular pancreas in adults [published online ahead of print, 2019 Jan 4]. J Minim Access Surg. 2019;16(2):121-125. doi:10.4103/jmas.JMAS_245_18
  5. Sato N, Yabuki K, Kohi S, et al. Stapled gastro/duodenojejunostomy shortens reconstruction time during pylorus-preserving pancreaticoduodenectomy. World J Gastroenterol. 2013;19(48):9399-9404. doi:10.3748/wjg.v19.i48.9399
  6. Nimeri AA, Maasher A, Al Shaban T, Salim E, Gamaleldin MM. Internal Hernia Following Laparoscopic Roux-en-Y Gastric Bypass: Prevention and Tips for Intra-operative Management. Obes Surg. 2016;26(9):2255-2256. doi:10.1007/s11695-016-2267-0
  7. Nguyen NT, Goldman C, Rosenquist CJ, et al. Laparoscopic versus open gastric bypass: a randomized study of outcomes, quality of life, and costs. Ann Surg. 2001;234(3):279-291. doi:10.1097/00000658-200109000-00002
  8. Iannuccilli JD, Grand D, Murphy BL, Evangelista P, Roye GD, Mayo-Smith W. Sensitivity and specificity of eight CT signs in the preoperative diagnosis of internal mesenteric hernia following Roux-en-Y gastric bypass surgery. Clin Radiol. 2009;64(4):373-380. doi:10.1016/j.crad.2008.10.008
  9. Lockhart ME, Tessler FN, Canon CL, et al. Internal hernia after gastric bypass: sensitivity and specificity of seven CT signs with surgical correlation and controls. AJR Am J Roentgenol. 2007;188(3):745-750. doi:10.2214/AJR.06.0541
  10. Al Harakeh AB, Kallies KJ, Borgert AJ, Kothari SN. Bowel obstruction rates in antecolic/antegastric versus retrocolic/retrogastric Roux limb gastric bypass: a meta-analysis. Surg Obes Relat Dis. 2016;12(1):194-198. doi:10.1016/j.soard.2015.02.004
  11. Xu Z, Guo W. [Clinical research progress of mesenteric internal hernia after Roux-en-Y reconstruction]. Zhonghua Wei Chang Wai Ke Za Zhi. 2017;20(3):352-356.

Authors

Hayssen HA; Gao G; Pearl JP

Author Affiliation

University of Maryland Medical Center, Baltimore, MD 21201

Correspondence Author

Hilary Hayssen, MD
Department of Surgery
University of Maryland Medical Center
22. S. Greene Street
Baltimore, MD 21201
Phone: 952-240-1776
Email: hhayssen@som.umaryland.edu

Disclosure Statement

The authors have no conflicts of interest to disclose.

Funding/Support

The authors have no relevant financial relationships or in-kind support to disclose.

Received: June 18, 2020
Revision received: November 8, 2020
Accepted: December 9, 2020