Unsupported Browser
The American College of Surgeons website is not compatible with Internet Explorer 11, IE 11. For the best experience please update your browser.
Menu
Become a member and receive career-enhancing benefits

Our top priority is providing value to members. Your Member Services team is here to ensure you maximize your ACS member benefits, participate in College activities, and engage with your ACS colleagues. It's all here.

Become a Member
Become a member and receive career-enhancing benefits

Our top priority is providing value to members. Your Member Services team is here to ensure you maximize your ACS member benefits, participate in College activities, and engage with your ACS colleagues. It's all here.

Become a Member
ACS
ACS Case Reviews

Colosalpingeal Fistula Resulting from Acute Complicated Diverticulitis

December 16, 2022

Abstract

Background

A 91-year-old woman presented with colosalpingeal fistula formation due to acute complicated diverticulitis.

Summary

Our patient presented with abdominal pain, fever, and leukocytosis with a past medical history including diverticulitis. A CT scan showed a large encapsulated gas collection in the lower abdomen and a small pneumoperitoneum. She was taken to the operating room for an emergent exploratory laparotomy, and a fistula tract was found connecting the right fallopian tube to the sigmoid colon. She survived the operation and has recovered well. A literature review revealed 15 reported cases of colosalpingeal fistula in the past 60 years due to various causes, including diverticulitis, inflammatory bowel disease, tuberculosis, and pelvic inflammatory disease.

Conclusion

Diverticulitis is a well-described disease associated with significant morbidity, and fistula formation occurs in approximately 14% of complicated cases. Colosalpingeal fistula formation is exceedingly rare and can often be repaired with elective surgery. We report a case of an elderly woman that fared well after emergent surgery for perforated diverticulitis with tubo-ovarian abscess and colosalpingeal fistula.

Key Words

colosalpingeal fistula; diverticulitis, acute care surgery; tubo-ovarian abscess


Case Description

A 91-year-old female presented to the emergency department with intermittent abdominal pain for five days, associated fever, and malaise. She had a sensation of air bubbles rising in her abdomen. Her past medical history included diverticulitis, arthritis, and hypertension. Her surgical history consisted of remote open cholecystectomy and hernia repair. Her temperature was 37.6°C (99.7°F), her pulse was 126 beats per minute, and her blood pressure was 117/76 mmHg. On exam, she was not distressed and had normal bowel sounds with no abdominal skin lesions. Her abdomen was diffusely tender with mild rigidity and rebound tenderness.

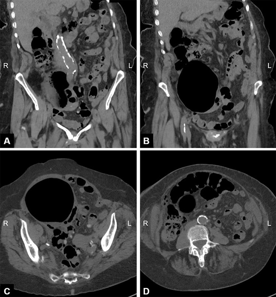
An initial plain radiograph of the chest showed a right upper quadrant lucency and could not rule out pneumoperitoneum. A computed tomography (CT) scan of the abdomen and pelvis without contrast showed a large encapsulated gas collection in the anterior right lower quadrant with fluid layering posteriorly, a small volume pneumoperitoneum in the right upper and lower quadrants, and abundant colonic diverticula (Figure 1). Laboratory results revealed leukocytosis of 16,100 cells per microliter (normal: 3,400-9,600). Hemoglobin and lactate measurements were within normal limits.

Figure 1. CT Scan of Abdomen and Pelvis Showing Right Adnexal Gas Encapsulation With Small Pneumoperitoneum in Coronal (A, B) and Transverse (C, D) Views. Published with Permission

The decision was made to proceed with an exploratory laparotomy due to the possibility of a perforated viscus. A small amount of air was released upon entering the peritoneal cavity, and a cystic mass was visualized extending from the right adnexa to the sigmoid colon. The mass was dissected from the right adnexa and opened, which expressed a large amount of air and some purulent fluid. Separating the mass from the sigmoid colon revealed a fistula tract with surrounding diverticulosis. There were no other areas of diseased bowel. A resection of the diseased sigmoid colon with primary anastomosis and diverting ileostomy was performed due to the patient’s age and lack of bowel preparation.

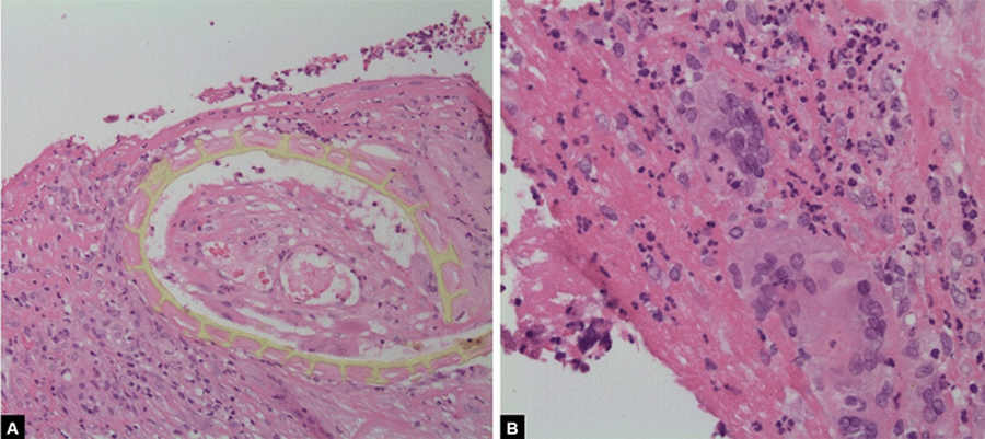
The patient tolerated the procedure well with no postoperative complications and was discharged eight days later to a skilled nursing facility. The pathology report confirmed that the cystic mass was a tubo-ovarian abscess likely secondary to sigmoid diverticulitis, as demonstrated by foreign plant material and multinucleated giant cells within the abscess wall (Figure 2). The patient underwent a barium enema one month later, which showed acceptable filling of the colon (Figure 3). An ileostomy reversal was completed, and the patient has been doing well postoperatively.

Figure 2. Hematoxylin and Eosin (H&E) Stain. Published With Permission

A) 200x magnification showing foreign plant material within abscess wall; and B) at 400x magnification, demonstrating multinucleated giant cells within abscess wall.

Figure 3. Postoperative Barium Enema Showing Diverticula but Adequate Filling of Colon with Right Anterior Oblique A) and Anterior-Posterior (B) Views. Published with Permission

Discussion

Acute diverticulitis produces approximately 200,000 inpatient admissions and over 2.7 million outpatient visits annually in the United States.1 The mainstay treatment of uncomplicated diverticulitis is medical management with antibiotics and pain control, but the disease may progress and require surgical intervention. Complicated diverticulitis occurs in approximately 12% of diverticulitis cases and includes abscess formation, obstruction, perforation, strictures, and fistulas.1 Fistulas account for approximately 14% of complications,2 and the most common are colovesical and colovaginal fistulas, followed by coloenteric, colouterine, and colocutaneous fistulas.3

Among patients presenting with acute diverticulitis, 5% to 20% undergo emergent colectomy due to complications.4,5 It is important to recognize the trend towards less invasive treatment for complicated diverticulitis, especially in elderly patients without obstructive or fistulizing disease. Interventions such as percutaneous drainage and laparoscopic lavage may be able to delay surgery and improve the mortality and morbidity of emergent operations. This is an area of active investigation and should be utilized depending on the patient’s characteristics as well as the acuity and type of diverticulitis.1

A literature review we conducted on colosalpingeal fistula revealed 15 cases published internationally in the past 60 years. The fistulas were due to multiple causes, including nine from diverticulitis, three from tuberculosis, two from inflammatory bowel disease, and one from pelvic inflammatory disease. The ages of the reported patients range from 22 to 84 years old, with a median age of 45. Only two colosalpingeal cases, due to diverticulitis, required emergency surgery, and the patients fared well postoperatively.

Age is an important consideration in emergent surgery and complicated diverticulitis. Lidsky et al. found in a review of 2,264 patients undergoing emergent surgery for diverticulitis that age ≥80 years old was associated with increased postoperative mortality (odds ratio = 2.69, p = 0.001).6 The complication rate in diverticulitis was shown to not significantly increase with advanced age in a meta-analysis of ten studies;7 however, Bharucha et al. found that the complication rate did increase with age in a population-based study in Minnesota (odds ratio = 1.27 per increasing decade, 95% CI, 1.04–1.57).2 Gender is also a significant risk factor as men are more commonly affected by diverticular disease until age 50, then the prevalence shifts to being higher in women than men.8

These factors must be considered when deciding the treatment plan for a patient with acute complicated diverticulitis. Our case highlights the case of a 91-year-old woman with diverticulitis and the rare complication of colosalpingeal fistula causing a large tubo-ovarian abscess and pneumoperitoneum requiring emergent surgery.

Conclusion

Fistula formation is a well-described complication of diverticulitis, and among the fistula types, colosalpingeal is exceedingly rare. Several factors should be considered when developing the management plan for these patients, such as age, gender, and emergent presentation. We described a case of an elderly woman with an acute abdomen that fared well after an emergent exploratory laparotomy with primary resection of the sigmoid colon. The preoperative CT scan showed diverticula and a suspected tubo-ovarian mass, but it was not until exploration that the colosalpingeal fistula tract was discovered. Therefore, while rare, a colosalpingeal fistula should be considered in complicated diverticulitis patients presenting with tubo-ovarian abscess or pneumoperitoneum.

Lessons Learned

Careful planning must take place in elderly patients undergoing emergent surgery for complication diverticulitis as rare complications may be present and affect the operative course. Computed Tomography findings may be misleading to the underlying etiology if multiple complications are overlapping, such as in our case with abscess, perforation, and fistula formation.

References

  1. Strate LL, Morris AM. Epidemiology, Pathophysiology, and Treatment of Diverticulitis. Gastroenterology. 2019;156(5):1282-1298.e1. doi:10.1053/j.gastro.2018.12.033
  2. Bharucha AE, Parthasarathy G, Ditah I, et al. Temporal Trends in the Incidence and Natural History of Diverticulitis: A Population-Based Study. Am J Gastroenterol. 2015;110(11):1589-1596. doi:10.1038/ajg.2015.302
  3. Stollman N, Raskin JB. Diverticular disease of the colon. Lancet. 2004;363(9409):631-639. doi:10.1016/S0140-6736(04)15597-9
  4. Anaya DA, Flum DR. Risk of emergency colectomy and colostomy in patients with diverticular disease. Arch Surg. 2005;140(7):681-685. doi:10.1001/archsurg.140.7.681
  5. Broderick-Villa G, Burchette RJ, Collins JC, Abbas MA, Haigh PI. Hospitalization for acute diverticulitis does not mandate routine elective colectomy. Arch Surg. 2005;140(6):576-583. doi:10.1001/archsurg.140.6.576
  6. Lidsky ME, Thacker JK, Lagoo-Deenadayalan SA, Scarborough JE. Advanced age is an independent predictor for increased morbidity and mortality after emergent surgery for diverticulitis. Surgery. 2012;152(3):465-472. doi:10.1016/j.surg.2012.06.038
  7. Regenbogen SE, Hardiman KM, Hendren S, Morris AM. Surgery for diverticulitis in the 21st century: a systematic review. JAMA Surg. 2014;149(3):292-303. doi:10.1001/jamasurg.2013.5477
  8. Wheat CL, Strate LL. Trends in Hospitalization for Diverticulitis and Diverticular Bleeding in the United States From 2000 to 2010. Clin Gastroenterol Hepatol. 2016;14(1):96-103.e1. doi:10.1016/j.cgh.2015.03.030

Authors

Eldreth BLa; Herzog TAb

Author Affiliations

  1. Rocky Vista University College of Osteopathic Medicine, Parker, CO 80112
  2. Sangre De Cristo Surgical Associates, Pueblo, CO 81003

Corresponding Author

Bryan L. Eldreth, DO
8401 S. Chambers Road
Parker, CO 80134
Phone: 303-373-2008
Email: bryan.eldreth@gmail.com

Disclosure Statement

The authors have no conflicts of interest to disclose.

Funding/Support

The authors have no relevant financial relationships or in-kind support to disclose.

Received: September 1, 2020
Revision received: November 8, 2021
Accepted: December 7, 2020