Unsupported Browser
The American College of Surgeons website is not compatible with Internet Explorer 11, IE 11. For the best experience please update your browser.
Menu
Become a member and receive career-enhancing benefits

Our top priority is providing value to members. Your Member Services team is here to ensure you maximize your ACS member benefits, participate in College activities, and engage with your ACS colleagues. It's all here.

Become a Member
Become a member and receive career-enhancing benefits

Our top priority is providing value to members. Your Member Services team is here to ensure you maximize your ACS member benefits, participate in College activities, and engage with your ACS colleagues. It's all here.

Become a Member
ACS
ACS Case Reviews

Pancreatic Tophaceous Gout Masquerading as a Pancreatic Tail Mass

December 16, 2022

Abstract

Background

A 62-year-old female with a history of gout presented with a persistent lesion in the tail of the pancreas.

Summary

Our patient presented at age 62 with abdominal pain and diarrhea with a provisional diagnosis of diverticulitis. Subsequent studies led to the incidental discovery of a mass in the tail of the pancreas. Three attempts of endoscopic ultrasound with fine needle aspiration were nondiagnostic. The patient underwent surgery to resect the mass with robotic distal pancreatectomy and splenectomy. Final pathology revealed uric acid crystals, consistent with gout. While gout is a very common disorder, the incidence of visceral tophi, and especially gout in the pancreas, is rarely reported. This patient’s presentation and imaging suggested a solid pancreatic neoplasm, which underscores the need for definitive diagnosis and management.

Conclusion

Gouty tophi typically present in the first metatarsophalangeal joint or knee. This case of pancreatic tophaceous gout mimicking a pancreatic tumor highlights the diagnostic difficulty of these rare lesions. Distal pancreatectomy ultimately proved both diagnostic and therapeutic.

Key Words

pancreatic gout; gouty tophi; robotic distal pancreatectomy


Case Description

Gout is a common disorder of uric acid metabolism in which chronic hyperuricemia leads to monosodium urate (MSU) crystal formation. The prevalence of gout ranges from 0.1% to >10%.1,2 Tophi form from a chronic granulomatous reaction to MSU crystals, and these tophi are the cardinal sign of advanced gout. Tophi classically involve the first metatarsophalangeal joint or the knee. However, recent reports demonstrate unusual presentations of visceral tophi, including within heart valves, liver, breast, colon, and lungs.3‒7 We report a rare presentation of a gouty tophus in the pancreas that mimicked pancreatic malignancy, posing significant diagnostic challenges.

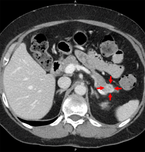
The patient is a 62-year-old female with a history of hypertension, hyperlipidemia, GERD, and gout who presented with abdominal pain and diarrhea for several days. The patient had a CT scan for suspected diverticulitis during prior evaluation at an outside facility that showed concern for a pancreatic tail mass or focal pancreatitis due to peripancreatic inflammatory change. Lipase was 29 U/L, which was within normal limits. A repeat CT scan at our facility revealed a 2.1 × 1.5 cm ovoid mass within the pancreatic tail, demonstrating arterial enhancement and progressive enhancement on portal venous phase imaging (Figure 1). She was referred to a gastroenterologist for endoscopic ultrasound (EUS).

Figure 1. Axial CT Imaging With Multiphase Pancreatic Protocol. Published with Permission

A) Progressive enhancement on portal venous phase and B) arterial enhancement with finding of hypodense lesion (red arrows) in the pancreatic tail measuring 2.1 × 1.5 cm.

EUS revealed a 2.6 cm hypoechoic, irregular mass in the tail of the pancreas without involvement of adjacent organs (Figure 2). Fine needle aspiration (FNA) revealed ductal epithelial cells with atypia, fragments of stroma with atrophic ductal epithelium, and fat necrosis suggestive of chronic pancreatitis.

Figure 2. Endoscopic Ultrasound of Tail of Pancreas. Published with Permission

Red arrows show irregular hypoechoic lesion measuring 2.6 cm.

Given the atypical cells on the first EUS biopsy, a second EUS was performed and again demonstrated a focal lesion in the pancreatic tail. Again, cytology was non-diagnostic. A sulfur colloid nuclear scan was performed and ruled out an accessory spleen. A third and final EUS FNA demonstrated a degenerated specimen with rare ductal cells and a few islet cells with fat necrosis and autolysis. Further workup showed elevated chromogranin A and a normal level of carbohydrate antigen 19-9 tumor marker.

Given the absence of a definitive diagnosis and concern for a possible pancreatic neuroendocrine tumor due to the enhancement pattern and elevated chromogranin A, the patient was referred to surgical oncology. A robotic distal pancreatectomy and splenectomy with intraoperative pancreatic ultrasound were performed (Figure 3).

Figure 3. Robotic-Assisted Distal Pancreatectomy and Splenectomy with Intraoperative Ultrasound to Localize Pancreatic Lesion (Red Arrows) in Tail. Published with Permission

The patient tolerated the procedure well and was discharged on postoperative day 4 without complications. Final pathology revealed pseudocysts containing necrotic material and polarizable crystals consistent with uric acid crystals, along with focal chronic pancreatitis.

Discussion

Recent advances in imaging modalities have helped diagnose gout in the absence of clinically evident disease. On ultrasound, tophi classically appear as hyperechoic, heterogeneous lesions with poorly defined borders.2,8,9 However, in our case, both EUS and multiphasic thin sliced CT scans showed a solid hypodense mass on late arterial enhancement, which is more suggestive of a solid pancreatic neoplasm.10‒12 Furthermore, the most common causes of an incidentally found solid pancreatic mass are pancreatic ductal adenocarcinoma, pancreatic neuroendocrine tumor, solid pseudopapillary tumor, and focal chronic pancreatitis.13 Therefore, the pancreatic mass was largely suspected to be malignant, and although gout is considered the “great mimicker,” a gouty tophus in the pancreas is rarely considered on the list of differential diagnoses of a pancreatic lesion.

The development of gouty tophi within the pancreas is a rare but documented event. Four cases have been described to date.4,14‒16 All patients were asymptomatic and incidentally diagnosed on routine imaging. The first published case described a gouty tophus in a pancreatic pseudocyst14 compared to the remaining three cases, where the tophi presented as a pancreatic lesion, mimicking pancreatic cancer.4,15,16 A tissue biopsy was obtained by either EUS FNA or multiple attempts with CT-guided biopsy. Of note, all these lesions also appeared hypoechoic on EUS, suggesting an etiology other than gouty tophi.

As with the previous three cases, the workup of our patient’s pancreatic lesion was challenging. However, one major difference distinguishes the present case. While guidelines suggest using EUS FNA following multiphasic CT, three attempts at EUS FNA were unable to provide a tissue diagnosis. Solid pancreatic incidentalomas are revealed to be malignant in 34-61% of cases.13 Without a definite diagnosis on FNA, we could not ascertain whether this mass was benign or malignant. Additionally, benign pancreatic lesions have varying potentialities for malignant transformation, and certain subtypes of pancreatic cystic neoplasms are more likely to transform into malignancy than others.17 After discussion with the patient, the decision was made to resect the mass to provide a definitive diagnosis and potential curative resection if malignancy was discovered. In contrast, three of four cases of pancreatic gout in the literature achieved resolution of the mass on CT after treatment with allopurinol9 18 months after the initial presentation.15,16 The fourth case was treated with allopurinol, and serial CT scans showed no change in mass size after six months.4 In summary, in this case, surgery was required to provide a definitive classification of the pancreatic lesion in lieu of conclusive diagnostic evidence. When EUS FNA following multiphasic CT does not yield a clear diagnosis, we propose that surgical resection is recommended for definitive diagnosis.

The pathogenesis of tophi development in the pancreas is unknown. All of the patients either had a history of known gout or documented uric acid elevations at the time of diagnosis. Specific factors that may contribute to tophi formation in our patient are lack of urate lowering therapy, prolonged duration of disease, and impaired renal function, which is known to cause under-excretion of uric acid and has been implicated in around 90% of cases of gout.2,19 Additionally, alcohol is a well-known risk factor because it affects the metabolism of purine bases, increasing uric acid levels.2,4,18 Unique to three of the four previous cases where patients had a history of heavy alcohol use, our patient reported no alcohol use.

Although no adverse effects have been associated with pancreatic gout, tophi of other locations have been associated with malignancy. A case of mucinous adenocarcinoma of the renal pelvis in a patient with a history of chronic gout has been reported.20 Kaur et al.20 suggest that inflammation from chronic uric acid lithiasis caused glandular metaplasia of the urothelium as a response to injury with subsequent transformation to dysplasia and adenocarcinoma. Several cases of sarcomas arising in association with musculoskeletal tophi have also been reported.21,22 More specifically, in the case of fibrosarcoma, histologic examination showed a tophi granuloma within the tumor.21 In the case of a malignant fibrous histiocytoma, rapidly enlarging tophi on the metacarpophalangeal joint were resected, and pathology showed urate crystals surrounded by tumor cells.22 Additionally, in a recent report by Ministrini et al.,5 hepatocellular carcinoma was found in the location of a previously discovered, biopsy-proven urate tophus of the liver. Although there is no definitive proof of a direct oncogenic effect of a gouty tophus, the authors suggest that chronic inflammation related to the tophus pathogenesis could be a factor in carcinogenesis.

Conclusion

Gouty tophi typically present in the first metatarsophalangeal joint or knee. We report a case of pancreatic tophaceous gout that mimicked pancreatic neoplasm, highlighting the need for a definitive diagnosis despite the diagnostic difficulty. Distal pancreatectomy ultimately proved both diagnostic and therapeutic.

Lessons Learned

Pancreatic gout is a very rare entity. EUS findings of pancreatic tophi appear hypoechoic compared to the classic hyperechoic appearance. Distal pancreatectomy is an effective cure for pancreatic tophi, eliminating diagnostic uncertainty by ruling out malignancy and preventing the potential for malignant transformation.

References

  1. Kuo CF, Grainge MJ, Zhang W, Doherty M. Global epidemiology of gout: prevalence, incidence and risk factors. Nat Rev Rheumatol. 2015;11(11):649-662. doi:10.1038/nrrheum.2015.91
  2. Ragab G, Elshahaly M, Bardin T. Gout: An old disease in new perspective - A review. J Adv Res. 2017;8(5):495-511. doi:10.1016/j.jare.2017.04.008
  3. Chhana A, Dalbeth N. The gouty tophus: a review. Curr Rheumatol Rep. 2015;17(3):19. doi:10.1007/s11926-014-0492-x
  4. Shrestha S, Kamal F, Ali Khan M, Tombazzi CR. Gouty Tophi Manifesting as a Pancreatic Foci. Am J Med Sci. 2019;358(4):294-298. doi:10.1016/j.amjms.2019.07.001
  5. Ministrini S, Baronio G, Zorzi F, et al. Unusual presentation of gouty tophus in the liver with subsequent appearance in the same site of HCC: a correlate diagnosis? Case report. World J Surg Oncol. 2019;17(1):10. Published 2019 Jan 8. doi:10.1186/s12957-018-1546-8
  6. Ning TC, Keenan RT. Unusual clinical presentations of gout. Curr Opin Rheumatol. 2010;22(2):181-187. doi:10.1097/BOR.0b013e3283361ac0
  7. Forbess LJ, Fields TR. The broad spectrum of urate crystal deposition: unusual presentations of gouty tophi. Semin Arthritis Rheum. 2012;42(2):146-154. doi:10.1016/j.semarthrit.2012.03.007
  8. Naredo E, Uson J, Jiménez-Palop M, et al. Ultrasound-detected musculoskeletal urate crystal deposition: which joints and what findings should be assessed for diagnosing gout?. Ann Rheum Dis. 2014;73(8):1522-1528. doi:10.1136/annrheumdis-2013-203487
  9. de Ávila Fernandes E, Kubota ES, Sandim GB, Mitraud SA, Ferrari AJ, Fernandes AR. Ultrasound features of tophi in chronic tophaceous gout. Skeletal Radiol. 2011;40(3):309-315. doi:10.1007/s00256-010-1008-z
  10. Feldman MK, Gandhi NS. Imaging Evaluation of Pancreatic Cancer. Surg Clin North Am. 2016;96(6):1235-1256. doi:10.1016/j.suc.2016.07.007
  11. Zhang L, Sanagapalli S, Stoita A. Challenges in diagnosis of pancreatic cancer. World J Gastroenterol. 2018;24(19):2047-2060. doi:10.3748/wjg.v24.i19.2047
  12. Goodman M, Willmann JK, Jeffrey RB. Incidentally discovered solid pancreatic masses: imaging and clinical observations. Abdom Imaging. 2012;37(1):91-97. doi:10.1007/s00261-011-9720-2
  13. Santo E, Bar-Yishay I. Pancreatic solid incidentalomas. Endosc Ultrasound. 2017;6(Suppl 3):S99-S103. doi:10.4103/eus.eus_72_17
  14. Khanna D, Tang SJ, Wallace WD, Roth BE, Hahn BH. Gouty tophi in a pancreatic pseudocyst. Arthritis Rheum. 2002;46(2):565-566. doi:10.1002/art.10067
  15. Gupta S, McMahan Z, Patel PC, Markham DW, Drazner MH, Mammen PP. Pancreatic gout masquerading as pancreatic cancer in a heart transplant candidate. J Heart Lung Transplant. 2009;28(10):1112-1113. doi:10.1016/j.healun.2009.05.039
  16. Koh H, Low HC, Seet JE, Chua WY. Pancreatic gout and the role of multimodality imaging in its management. BMJ Case Rep. 2016;2016:bcr2016215449. Published 2016 May 17. doi:10.1136/bcr-2016-215449
  17. Khalid A, Brugge W. ACG practice guidelines for the diagnosis and management of neoplastic pancreatic cysts. Am J Gastroenterol. 2007;102(10):2339-2349. doi:10.1111/j.1572-0241.2007.01516.x
  18. Yamamoto T, Moriwaki Y, Takahashi S. Effect of ethanol on metabolism of purine bases (hypoxanthine, xanthine, and uric acid). Clin Chim Acta. 2005;356(1-2):35-57. doi:10.1016/j.cccn.2005.01.024
  19. Dalbeth N, House ME, Horne A, Taylor WJ. Reduced creatinine clearance is associated with early development of subcutaneous tophi in people with gout. BMC Musculoskelet Disord. 2013;14:363. Published 2013 Dec 21. doi:10.1186/1471-2474-14-363
  20. Kaur G, Naik VR, Rahman MN. Mucinous adenocarcinoma of the renal pelvis associated with lithiasis and chronic gout. Singapore Med J. 2004;45(3):125-126.
  21. Wang JJ, Wang HY, Cheng K, et al. Fibrosarcoma arising from gouty tophi: report of a unique case and review of literature. Int J Clin Exp Pathol. 2015;8(4):4227-4232. Published 2015 Apr 1.
  22. Carnero S, Terán P, Trillo E. Malignant fibrous histiocytoma arising in a gouty tophus at the second metacarpophalangeal joint. J Plast Reconstr Aesthet Surg. 2006;59(7):775-778. doi:10.1016/j.bjps.2005.12.010

Authors

Seldomridge ANa; Nasr Jb; Schmidt CRc; Boone BAc

Author Affiliations

  1. School of Medicine, West Virginia University, Morgantown, WV 26506
  2. Section of Digestive Diseases, West Virginia University, Morgantown, WV 26506
  3. Division of Surgical Oncology, Department of Surgery, West Virginia University, Morgantown, WV 26505

Corresponding Author

Brian A. Boone, MD
Department of Surgery
PO Box 9238, Ste. 7700 HSS
Morgantown, WV 26506
Phone: 304-293-7095
Email: brian.boone@hsc.wvu.edu

Disclosure Statement

The authors have no conflicts of interest to disclose.

Funding/Support

The authors have no relevant financial relationships or in-kind support to disclose.

Received: August 16, 2020
Revision received: November 9, 2020
Accepted: November 24, 2020